
版权归中华医学会所有。
未经授权,不得转载、摘编本刊文章,不得使用本刊的版式设计。
除非特别声明,本刊刊出的所有文章不代表中华医学会和本刊编委会的观点。
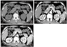
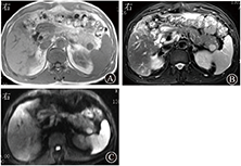
患者男,52岁,因乏力、纳差、尿黄7 d入院。患病以来胃纳明显减退,无腹痛、腹泻、恶心、呕吐、胸闷、气急等。门诊检查肝功能:TBil为33.7 μmol/L,DBil为17.9 μmol/L,ALT为73 U/L,AST为249 U/L。10年前曾行胆囊切除术,有戊型肝炎史。于2014年11月27日以慢性肝病收入院。体格检查:体温36.8 ℃,脉搏77次/min,呼吸19次/min,血压115/75 mmHg(1 mmHg=0.133 kPa)。皮肤、巩膜轻度黄染,浅表淋巴结无肿大,全身未见蜘蛛痣,未见肝掌。两肺呼吸音清,未闻及干、湿性啰音。心律齐,未闻及病理性杂音。全腹平软,腹壁无曲张静脉,全腹无压痛及反跳痛,肝区叩击痛阳性,肝脾肋下未及,墨菲征阴性,移动性浊音阴性,肠鸣音无亢进,双下肢无水肿。上腹部CT示,胰腺尾部一直径为1.2 cm类圆形病灶,平扫与胰腺等密度,动脉期病灶强化较胰腺低,呈不均匀强化,门静脉期强化均匀,与胰腺等密度(图1)。MRI示,胰尾部一直径1.2 cm类圆形病灶,T1加权像呈均匀低信号,T2加权像、弥散加权成像呈高信号,表观弥散系数呈低信号,在所有扫描序列与主脾信号相似,动脉期呈不均匀强化,门静脉期呈均匀强化(图2)。AFP、CEA正常,CA19-9 49.4 U/mL(参考范围为0~39 U/mL),烯醇化酶21.1 μg/L(参考范围为0~12.5 μg/L)。入院后给予复方甘草酸苷、丁二磺酸腺苷甲硫氨酸、熊去氧胆酸护肝退黄利胆治疗,于2014年12月22日在全身麻醉下行腹腔镜胰尾肿瘤+脾切除术,术后病理报告胰尾异位脾。




副脾是与主脾结构、功能相似的异位脾组织,副脾的发生率约为10%,其中17%位于胰腺内[1]。胰腺内异位副脾通常位于胰尾背侧,部分位于胰腺实质内,部分表面暴露于胰周脂肪,体积较小时完全位于胰腺实质内。光学显微镜下可见胰腺内异位副脾与胰腺间分界清楚的纤维间隔。胰腺内异位副脾通常无临床症状,多为体格检查时偶然发现,确诊后亦无需手术。
胰腺内异位副脾影像学通常表现为胰尾部光滑圆形、类圆形或浅分叶肿块,边界清楚。CT平扫表现为等密度或稍低密度,增强动脉期不均匀强化,门静脉期、延迟期强化均匀,与脾强化相似。MRI所有序列信号特点与主脾相似,与正常胰腺实质相比,T1加权像呈低信号,T2加权像呈高信号,弥散加权成像呈高信号,增强强化特点与CT相似,表现为动脉期不均匀强化,门静脉期、延迟期均匀强化。使用超顺磁氧化颗粒特异性MRI对比剂可提高胰腺内异位副脾的诊断准确性。胰腺内异位副脾典型影像学诊断并不困难,但主脾切除后或异位副脾内合并表皮样囊肿时会给诊断带来难度。因囊肿内壁光滑,所以寻找囊肿周围副脾组织是诊断关键[2] 。胰腺内异位副脾还需与胰尾部富血供肿瘤鉴别。胰腺囊实性乳头状瘤好发于20~40岁女性,有完整包膜,肿瘤内囊变、出血常见;CT、MRI示肿瘤内部密度、信号不均,MRI可显示肿瘤边缘低信号。胰腺神经内分泌肿瘤因具有特征性临床表现,易被早期发现,肿瘤体积较小,增强动脉期均匀强化或环形强化,门静脉期强化等于或低于胰腺。黑色素瘤、平滑肌肉瘤、肾癌等胰尾转移性肿瘤常表现为富血供,平扫肿瘤呈低密度,增强表现为动脉期不均匀强化,门静脉期强化常低于胰腺。与富血供肿瘤鉴别困难时,超顺磁氧化颗粒信号减低可有助胰腺内异位副脾的诊断。





















