
版权归中华医学会所有。
未经授权,不得转载、摘编本刊文章,不得使用本刊的版式设计。
除非特别声明,本刊刊出的所有文章不代表中华医学会和本刊编委会的观点。
脂肪肝已是目前临床医师广泛关注的疾病之一,相比之下,脂肪胰则鲜为临床医师知晓,也未被写入经典的教科书内。早在1933年,Ogilvie在尸体解剖时就第1次提出了"脂肪胰"的概念。然而,许多学者仅将胰腺脂肪变性作为2型糖尿病、胰腺炎、胰腺癌等导致的并发症,并未将其作为一种独立的疾病予以足够的重视。脂肪胰是遗传-环境-代谢应激相关多因素所致的以腺泡细胞脂肪变性和胰腺间质脂肪沉积为主的临床病理综合征,是衰老和全身性疾病在胰腺的一种病理改变。目前,对脂肪胰的病因、发病机制、临床表现、诊断方法和防治研究均不充分,导致这些患者不能获得及时正确的诊治。
饮酒、肥胖等在引起脂肪肝的同时,也可引起胰腺脂肪变性,脂肪胰常见原因有酒精性和非酒精性两种因素。
长期饮酒后,乙醇在胰腺的代谢以非氧化代谢途径为主,通过上调胰腺固醇调节元件结合蛋白(sterol regulatory element-binding protein,SREBP)-1c、增加脂肪酸合成酶(fatty acid synthase,FAS)的表达,下调过氧化物酶体增殖体激活受体γ协同刺激因子-1α使胰腺脂肪酸合成增加、氧化减弱,胰腺游离脂肪酸(free fatty acid,FFA)含量和TG增加,促进脂质沉积[1,2]。此外,还可通过上调胰腺二酰基甘油酰基转移酶2(diacylgycerol aeyltransferase 2,DGAT2)的表达,增加TG合成;胰腺脂联素信号通路受抑也参与了这个过程[2]。单纯长期饮酒导致炎性反应的氧化代谢途径通常不被激活[1]。因此,在慢性饮酒者中,只有不到10%的酗酒者最终可发展为慢性胰腺炎。动物实验发现,单独使用乙醇并不能成功诱导具有慢性胰腺炎组织病理特点的动物模型[1]。
非酒精性脂肪胰发病率为16%~35%,其病因和病理生理机制尚不清楚。
肥胖可导致胰腺细胞内脂滴沉积和脂肪细胞浸润,肥胖患者的胰腺脂质含量明显高于非肥胖者。胰腺脂肪含量与BMI和内脏脂肪组织(visceral adipose tissue,VAT)呈正相关[3],而相对于BMI,VAT能够更好地预测胰腺脂肪含量。
代谢综合征与脂肪胰的发生密切相关。在无代谢综合征的非肥胖者、无代谢综合征的肥胖者和患代谢综合征的肥胖者3组受检者中,胰腺脂肪含量依次增高。除肥胖外,代谢综合征包含的其他代谢异常,如空腹血糖受损和(或)糖耐量异常、高血脂、高血压均与脂肪胰相关[4,5]。此外,在非肥胖的糖尿病患者中,胰腺脂肪含量与动脉粥样硬化的发生也明显相关。动物研究发现,高TG血症能够导致胰岛细胞中脂质的沉积。可见,代谢异常可能是脂肪胰发生的病因之一。然而,有研究报道,胰腺脂肪沉积可导致胰腺内分泌功能受损和糖代谢异常。因此,代谢综合征与脂肪胰的因果关系有待进一步研究。
早在1978年,Olsen在尸体解剖研究中发现,胰腺的脂肪浸润程度与衰老显著相关。衰老过程中,胰腺氧化应激促进脂质沉积。关于胰腺脂肪浸润发生的具体年龄,CT测算结果认为,男性胰腺脂肪浸润从30~40岁开始增加,此后一直持续至70岁。由于CT测定体内脏器脂肪含量不及MRI准确,笔者曾采用识别和定量检测脏器轻度脂肪浸润优于CT的双回波化学位移磁共振成像技术(magnetic resonance imaging-chemical shift imaging,MRI-CSI),检测20~70岁健康男性受试者的胰腺脂肪含量,观察到健康男性胰腺脂肪含量在50~70岁时开始增加;50~70岁胰腺脂肪含量[(6.32±1.18)%]比20~50岁男性约高1倍左右[6]。
与脂肪肝相似,慢性炎性反应可增加非脂肪组织内关键生脂基因SREBP-1、FAS、乙酰辅酶A羧化酶和脂肪组织内关键脂解基因TG脂肪酶和激素敏感脂肪酶的表达,从而促进非脂肪组织的脂质合成,增加脂肪组织的脂肪分解,降低脂肪组织脂肪储存能力,最终导致异位脂肪沉积的发生[7]。
囊性纤维化患者常有脂肪胰的病理改变,其机制可能是因黏液栓阻塞胰管引起胰腺实质损伤、坏死,进而被脂肪组织取代[8]。与此相似的是,胰腺癌或周围肿瘤浸润胰腺,胰管阻塞、胰腺组织损伤,可出现局部胰腺组织被脂肪替代的现象。血色病患者胰腺铁负荷超标,在胰腺纤维化过程中常伴有脂肪沉积。此外,脂肪胰还与舒-戴二氏综合征、Johanson-Blizzard综合征、杂合羧基酯脂肪酶突变有关,但其发生机制尚不清楚。
肝脏疾病也是脂肪胰的病因之一。多项临床研究注意到,非酒精性脂肪肝患者胰腺脂肪含量高于无脂肪肝的受检者,胰腺脂肪含量与肝脏脂肪含量呈正相关。此外,与单纯性脂肪肝相比,伴有胰腺脂质沉积的脂肪肝患者的肝脏病变和纤维化程度往往更为严重。可见,脂肪肝和脂肪胰具有相关性,但其相关机制尚不清楚。新近的研究发现,脂肪胰的发生可能与肝纤维化或HBV感染相关。HBV不仅感染正常胰腺组织和胰腺癌组织,还能在正常胰腺组织中进行复制。此外,脂肪胰还与一些药物有关,有报道罗格列酮可加重高脂高糖诱导的大鼠胰腺脂肪组织浸润,1例接受吉西他滨新辅助化学疗法的患者出现了明显的脂肪胰改变。
乙醇所致大鼠单纯脂肪胰,其胰腺外分泌功能显著降低[9]。笔者对300余例功能性胃肠病患者进行MRI-CSI检测,在诊断为单纯脂肪胰的患者中,具有腹胀、粪便不成形、腹鸣和嗳气等消化不良症状者分别占97.8%、95.6%和94.5%。这些症状在胰酶替代治疗后明显改善,提示单纯脂肪胰患者存在胰腺外分泌功能受损。这些临床表现和胰酶治疗的良好反应在国外文献中也有零星报道。
在糖尿病肥胖大鼠模型中,胰岛细胞和胰腺腺泡细胞的脂质沉积先于糖尿病出现[4,6]。多项临床研究报道,胰腺脂肪含量与胰岛素抵抗和空腹血糖升高和(或)糖耐量受损明显相关[4],胰腺脂肪含量与胰岛素的分泌呈负相关[9]。糖尿病患者胰腺脂肪含量明显高于无糖尿病的肥胖和非肥胖者[3]。然而,也有一些不同的临床研究结论,这可能与检测方法、检测对象的差异有关。胰腺脂肪含量与胰岛β细胞功能的相关性更可能发生在糖尿病临床前期。因此,检测脂肪胰有可能推动糖尿病的早期诊断。
胰腺间质脂肪组织可分泌瘦素、TNF-α和IL-1β等促炎细胞因子[10],增加患者急性胰腺炎的易感性,且易发展为重症,胰腺坏死和局部并发症的发生概率增加。
脂肪胰与慢性胰腺炎的关系比较复杂,单纯酒精性脂肪胰并没有炎性反应的证据。慢性胰腺炎相关分子(羟脯氨酸含量、α-平滑肌肌动蛋白和环氧合酶-2)均未被激活,TLR4-NF-κB炎性反应通路未活化[1]。与非酒精性脂肪胰不同,酒精性脂肪胰仅在胰腺腺泡细胞中见脂滴沉积[1],因而不存在急性胰腺炎易感性。亦有研究认为,胰腺腺泡细胞或胰岛细胞内脂滴沉积是间质脂肪浸润的前期病变。因此,非酒精性与酒精性脂肪胰是否因脂肪浸润部位差异导致与炎性反应的关系不同,尚需进一步研究。
胰腺癌淋巴结转移阳性者的胰腺组织中脂肪细胞数明显高于无淋巴结转移的患者,胰腺脂质沉积可能通过脂肪组织分泌的TNF-α和IL-1 β促进胰腺癌细胞的增殖、浸润和转移。
多项临床研究表明,脂肪胰患者接受胰十二指肠切除术后发生胰瘘的风险显著高于健康对照者。Rosso和Gaujoux团队的前瞻性研究均表明,当胰腺脂肪含量超过10%,胰腺术后胰瘘风险明显增加。因此,胰腺脂肪含量是胰腺术后胰瘘发生的重要预测因素。
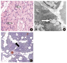
脂肪胰时可见脂质沉积于腺泡细胞、胰岛细胞内和胰腺间质(图1)[1,8,9]。目前脂肪胰的组织学诊断借鉴脂肪肝的方法,即胰腺内TG储积>胰腺湿重的5%,或光学显微镜下每单位面积见>30%的胰腺实质细胞出现脂肪变性。其缺陷是,脂肪胰时脂肪分布不均匀,胰腺组织学检测可能由于取材部位的限制,不能反映整个胰腺的脂质沉积和(或)浸润情况,容易发生诊断误差。此外,有创性组织学诊断限制了其在临床上的应用。
影像学检测避免了组织学检测的有创性,也可避免取材部位的局限性,是临床的适宜技术。
脂肪成分在超声检查中表现为回声增高。腹部超声诊断脂肪胰,多采用与肝脏、肾脏皮质或脾脏回声相比的方法,胰腺回声增高则诊断为脂肪胰。而内镜超声则多采用脾脏作为比较对象。但是,超声检查仅能对脂肪胰进行粗略分级,不能对脂肪含量进行定量检测。此外,由于胰腺纤维化组织在超声检查中也可表现为高回声,因此超声无法辨别脂肪沉积和胰腺纤维化。
平扫或增强CT检查中,胰腺脂肪呈低密度。通过与脾脏的密度相比,胰腺密度的降低用亨氏单位(Hounsfield units, Hu)表示,可对胰腺脂肪含量进行定量。有研究报道,CT测定的胰腺脂质含量与组织学检查结果明显相关。然而,目前对CT诊断脂肪胰的界值仍没有明确的定义。CT检查过程中的辐射也在一定程度上限制了其在脂肪胰诊断中的应用。
目前,多种MRI技术可用于胰腺脂质含量的测定,如MRI-CSI、三维脂-水MRI、磁共振波谱分析(magnetic resonance spectroscopy,MRS)等。其中,MRS是唯一可以无创检测活体组织中TG含量的检测方法,且敏感性和精确性最高。然而,因其对磁场均一性要求高,匀场较费时间,所以不推荐其用于日常临床工作。MRS检测耗时较长,因胰腺体积较小,检测过程中可能由于呼吸运动导致不能准确定位胰腺组织,周围脂肪组织进入敏感区,导致出现检测误差。与MRS相比,MRI-CSI可快速、简便地测定胰腺脂质,在1次屏气中完成检测,减少呼吸运动对检测结果的影响。
笔者曾采用MRI-CSI技术观察健康人群的胰腺脂肪呈均匀分布,建立了中国20~70岁健康男性胰腺脂肪含量的正常范围[20~50岁为(2.80±0.66)%,50~70岁为(6.32±1.18)]%[6]。长期饮酒使胰腺脂肪分布不均,胰腺脂肪含量较健康人群明显增加。
对于酒精性脂肪胰,停止饮酒显然是必要的。然而,动物实验观察到,停止饮酒后,胰腺腺泡细胞结构和功能的损伤仍不能自然恢复[9]。目前主要治疗脂肪胰的手段如下。
肥胖相关的非酒精性脂肪胰可通过减轻体质量得到一定程度缓解[3]。
胰酶替代治疗可以改善胰腺外分泌功能不足的相关临床症状。
甜菜碱可明显减轻饮酒导致的胰腺TG、FFA含量增高,同时减少长期饮酒导致的腺泡细胞内大量脂滴、线粒体肿胀,髓样小体和内质网肿等病理改变,并可一定程度上改善这些病变导致的胰腺外分泌功能减退。甜菜碱抗胰腺脂肪变性的作用,主要是通过恢复胰腺脂联素信号通路和直接保护腺泡细胞抑制乙醇诱导的胰腺SREBP-1c过度活化来实现[2]。
艾溴利平是一种脂蛋白脂肪酶活化剂,能够明显缓解高脂高糖饮食导致的胰腺胰岛β细胞脂质沉积,并改善胰岛素抵抗。
无论从基础实验还是临床研究方面考虑,脂肪胰目前均属"少人区"。对脂肪胰的关注有望改善部分误诊为功能性胃肠病患者的治疗效果,前移糖尿病的诊断,降低胰腺炎性反应和癌症的发病率。






















