
版权归中华医学会所有。
未经授权,不得转载、摘编本刊文章,不得使用本刊的版式设计。
除非特别声明,本刊刊出的所有文章不代表中华医学会和本刊编委会的观点。
随着医学的发展与进步,医学学科的不断细分,各亚专业水平得到了快速的发展和提高。但由于分科太细,导致了许多临床医师对自己专科的疾病了如指掌,而对其他专科的疾病则不甚了解,临床知识和技能越来越窄,患者得不到有效的治疗。因此,学科之间融合交叉并以一定形式组织起来形成多学科协作团队(multi-disciplinary team,MDT)的诊疗模式应运而生,成为国内外医院不断探索实践的医学新模式。
消化系疾病多是常见病,尚有诸多难题如胰腺疾病、IBD、消化系肿瘤等急需去攻克和解决。通过MDT诊疗模式,消化内科、普外科、影像科、营养科、病理科医师,以及临床药师们一起商讨、共同确定治疗方案,将成为临床医师解决难题、攻克堡垒的重要手段。
《中华消化杂志》拟在2017年推出的MDT栏目,每期刊发1例MDT病例讨论,旨在搭建一个探索与尝试MDT诊疗模式的交流平台。相信通过各医院案例的分享,经验的总结,以及实践的指导,将为推动我国消化学科的建设和发展,促进MDT模式的建立和推广起到积极的作用。
胰腺假性囊肿是急、慢性胰腺炎的常见并发症之一,其形成原因为胰腺实质或胰管破裂,外漏的胰液、坏死组织等积聚于胰腺周围,周围组织受到炎性刺激后形成无上皮细胞内衬的纤维性包囊。胰腺假性囊肿好发于胰体、胰尾,由于腹膜后间隙狭小,当囊肿体积较大时,与周围组织结构分界不清,难以分辨其组织来源,易误诊为肾囊肿或腹膜后间隙囊性肿瘤。现回顾性分析南昌大学第一附属医院收治的1例慢性胰腺炎合并胰尾巨大假性囊肿患者的病历资料,并探讨其诊断和治疗情况。
患者男,69岁,因"上腹部胀痛2月余"于2016年6月17日就诊于南昌大学第一附属医院消化科。患者于2个月前无明显诱因出现上腹部胀痛,伴腰背部放射痛,伴腹泻,约3~4次/d,呈黄色稀水便与黄色软便交替,排便后腹胀减轻。2016年5月30日,患者于外院行上腹部MRI和磁共振胰胆管造影(magnetic resonance cholangiopancreatography,MRCP)检查,显示胆总管下段狭窄并胆、胰系梗阻,胰管和胆总管下段多发结石,胆囊结石、胆囊炎,胰尾囊肿可能。为求进一步治疗,拟"胆总管结石、胰腺假性囊肿"收入南昌大学第一附属医院消化科。患者于1999年曾患急性胰腺炎合并胰腺假性囊肿,在外院行胰腺假性囊肿切除术;2015年曾患急性胰腺炎,自诉已治愈。患者有饮酒史40年,通常饮白酒,约0.5 kg/d,截至入院前已戒酒5个月。体格检查:体温为36.8 ℃,全腹部有轻压痛,以上腹痛为甚,无反跳痛。
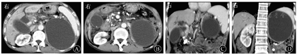
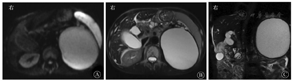
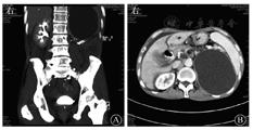
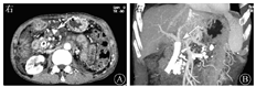
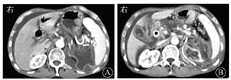
血常规WBC计数为2.74×109/L,RBC计数为3.12×1012/L,PLT计数为84×109/L。血清淀粉酶为112 U/L,胆红素水平正常。肿瘤标志物:AFP正常,CEA为11.07 μg/L,CA19-9为205.50 kU/L,CA125为116.90 kU/L。HBsAg为172.62 mIU/mL,其他乙型肝炎标志物均正常。2016年6月24日,上腹部CT平扫和增强(图1)示:①胆系扩张,胆总管下段有软组织密度影并强化,需考虑占位可能;②胆总管下段多发结石;③慢性胰腺炎并胰管明显扩张;④胆囊结石并胆囊炎;⑤肝硬化;⑥左肾结石,左肾巨大囊肿。MRI和MRCP检查(图2)示:①胆总管下段结石并胆系扩张;②胆总管下段狭窄,需排除占位;③左肾区巨大囊肿。7月2日行内镜下逆行胰胆管造影术(endoscopic retrograde cholangiopancreatography,ERCP),内镜显示食管静脉曲张(重度),胆管造影示胆总管中段明显狭窄,狭窄处长约2.0 cm,狭窄以上肝外胆管扩张,术中胆管腔内超声(intraductal ultrasonography,IDUS)检查狭窄处胆管未见明显异常,造影未见明确结石影,沿胆总管导丝置入覆膜金属支架于狭窄处。7月7日泌尿系统多普勒超声检查示左肾窝异常回声团块,考虑左肾囊肿可能。7月9日计算机断层扫描泌尿系统延时成像(computed tomographic urography,CTU)(图3)示:左肾区囊性病灶未见造影剂进入,提示假性囊肿形成可能性大。7月20日肝脏静脉血管造影(computed tomographic venography,CTV)(图4)示:肠系膜上静脉血栓形成,门静脉主干起始处闭塞,门静脉海绵样变性。8月1日复查CT增强(图5)示:①肝内胆管扩张、胆总管内置管术后改变。②慢性胰腺炎;胰尾囊肿引流术后,囊腔内积气。










①慢性酒精性胰腺炎;②胰腺假囊肿;③胰管结石;④胆总管下段炎性狭窄并胆系梗阻扩张;⑤胆囊结石;⑥酒精性肝硬化。
患者的胆总管下段狭窄经ERCP、内镜下金属覆膜支架置入术治疗后,其胆系梗阻症状缓解。2016年7月14日在超声引导下行左侧腹膜后巨大囊肿穿刺置管引流术(puncture catheter drainage,PCD),见乳白色液体自引流管溢出,当日引流300 mL液体。次日,穿刺液实验室检查结果显示:穿刺液呈脓性、乳白色、混浊无凝块;TG为0.16 mmol/L;肌酐为93.6 μmol/L,淀粉酶为5 553 U/L。提示囊肿来源于胰腺,诊断考虑胰腺假性囊肿合并感染。给予引流管冲洗、抗感染等及时的对症支持治疗。引流后2 d复查超声提示胰腺假性囊肿较前明显减小。入院第4周行ERCP胰管支架置入术,十二指肠降段可见副乳头,针状刀切开副乳头口,反复尝试,切开刀均无法进入胰管,胰管插管失败。患者CT检查示肝硬化合并腹水,血常规示三系减少,考虑酒精性肝硬化失代偿期合并脾功能亢进,给予输注白蛋白,并予呋塞米和螺内酯进行利尿治疗。入院第6周患者诉上腹部微隐痛,并感胸闷、疲倦乏力,偶有头晕,解柏油样黑便2次,每次约50 g。患者有上腹隐痛和解黑便,考虑肝源性溃疡,其次患者有重度食管静脉曲张,不能排除食管静脉曲张破裂出血的可能,嘱患者暂禁食、卧床休息,采用心电监护,停用低分子肝素钙抗凝,加用艾司奥美拉唑抑酸和奥曲肽止血治疗,1周后患者粪便转黄,病情稳定出院。
消化科何文华主治医师:患者为男性,病程长,主诉上腹部胀痛2月余入院,体格检查以上腹部痛为甚。外院上腹部MRI和MRCP检查显示胆总管下段狭窄并胆、胰系梗阻,胆总管下段多发结石,所以考虑腹痛为胆系结石所致,而胆总管下段管腔狭窄可能为炎性狭窄,患者无黄疸、发热,提示胆管未完全梗阻,可择期行ERCP取出胆总管结石并放置支架。复查CT显示胆总管下段有软组织密度影,且患者肿瘤标志物CA19-9升高,不能排除恶性病变所致的胆系梗阻,可行IDUS检查,必要时行细针穿刺以排除恶变。患者有慢性腹泻表现,既往有长期饮酒史,CT检查亦提示慢性胰腺炎,故诊断慢性酒精性胰腺炎明确。患者的胰尾囊性占位结合其慢性胰腺炎,需考虑胰腺假性囊肿的可能,但CT检查结果考虑左肾巨大囊肿,可请泌尿外科会诊。在诊治上应首先确定胆总管下段狭窄的性质,处理胆道梗阻,以缓解上腹痛症状。
影像科余晨主治医师:成人胆总管狭窄可继发于各种良恶性病变,拥有广泛的病因疾病谱。良性狭窄的病因包括医源性胰腺炎、急性或慢性胰腺炎、胆总管结石、原发性硬化性胆管炎、IgG4相关硬化性胆管炎、肝移植、复发性化脓性胆管炎、Mirizzi综合征、获得性免疫缺陷综合征相关胆管疾病和Oddi括约肌功能障碍等。恶性狭窄的病因包括胆管上皮癌、胰腺癌和壶腹周围癌。少见的病因包括胆道炎性假瘤、胆囊癌、肝癌、胆道转移癌、肝门部或胰周淋巴结肿大压迫继发胆系扩张[1]。影像学检查尤其是MRI平扫和增强与MRCP,是鉴别胆系梗阻病因较为理想的无创性方法。既往研究表明,恶性病变引起的胆道梗阻相较于良性病变更易出现以下倾向:首先,恶性病变所致的胆管壁增厚程度较良性病变更明显,病变累及范围更广,其上游胆管扩张也更为明显;其次,胆管恶性病变强化较良性病变更为明显,持续时间也更久[2];再次,胆管恶性病变在弥散加权成像(diffusion weighted imaging,DWI)上表现为更高的信号,提示其弥散受限程度更高[3];最后,胆管恶性病变更多表现为胆道偏心性狭窄,并且增厚管壁的内外缘更加毛糙、不光整[1]。综合患者在南昌大学第一附属医院的MRI和MRCP检查,首先,胆管狭窄位于胆总管下段,局部胆管壁增厚程度虽较明显,但累及长度较短,其上游胆管虽明显扩张,但其扩张程度与狭窄上方的结石直径相仿,故考虑其扩张原因应更多地归咎于狭窄上方的结石;其次,胆总管下段狭窄处管壁呈环形对称性增厚且管壁外缘较光整、轻中度强化;最后,DWI图像上的病灶信号不高,且肝门区未见明显恶性肿大淋巴结。以上这些影像学表现并不符合恶性病变的影像特征,故考虑胆总管下段梗阻为良性炎性病变所致,以慢性胰腺炎所引起的胆总管下段炎性狭窄的可能性最大。另外,患者胰胆管同时明显扩张,需要与胰头癌或壶腹周围癌所致的"双管征"进行鉴别诊断,患者胰管明显扩张的同时可见胰管钙化灶和胰腺结石影,提示胰管扩张为慢性胰腺炎所致,而并非由胰胆管共同开口处的病变所致。CA19-9升高虽常见于胰胆管和胃、肠道来源的恶性肿瘤,但低浓度增高和一过性增高亦可见于慢性胰腺炎、胆石症、肝硬化、肾功能不全、糖尿病等,故建议在治疗期间随诊复查该项指标。
泌尿外科张成主治医师:患者上腹部CT平扫和增强显示左肾结石;左肾实质见一巨大无强化囊性占位,由于囊肿与肾实质无显著分界,首先要考虑左肾巨大囊肿,其次囊肿与胰尾也紧密相连,与胰腺假性囊肿难以鉴别。建议完善左侧逆行肾盂造影或CTU,若明确诊断为左肾囊肿后,可转泌尿外科进行手术治疗。
ERCP胆管支架术后第4天患者出现发热,体温为38.9 ℃,有尿痛、尿急,考虑发热为泌尿系统感染所致,左侧腹膜后囊肿压迫泌尿系统易引起感染,需干预,但囊肿来源仍不明确。由于CTU与泌尿系统多普勒超声检查诊断意见相左,左肾区的巨大囊肿性质仍难以确定,故请多学科会诊讨论。
消化科曾皓副主任医师:关于左侧腹膜后巨大囊性占位的诊断,目前考虑胰腺假性囊肿可能性大,理由有:①患者既往有长期饮酒史,有2次急性胰腺炎病史,有胰腺假性囊肿手术史,此次发病以上腹胀痛、腹泻为临床表现,胰腺影像学检查提示胰管扩张、胰腺钙化,慢性酒精性胰腺炎诊断明确。急、慢性胰腺炎可并发胰腺假性囊肿,用一元论解释囊肿来源于胰腺有依据。② CT检查可见囊肿壁钙化,与胰腺组织钙化类似,说明囊壁部分是胰腺组织,通过仔细阅片可见囊壁与胰尾交界处似有缺损并与扩张的胰管交通。可考虑行诊断性细针穿刺,抽取囊液检测淀粉酶和肌酐水平,如淀粉酶升高则可诊断胰腺假性囊肿,如淀粉酶不高但肌酐水平高,则要考虑肾囊肿。关于胰腺假性囊肿的治疗,急性胰腺炎合并的假性囊肿约50%无症状,不需要治疗[4]。胰腺假性囊肿自然消退率在8%~70%不等,影响囊肿消退的主要因素是囊肿的大小和形成时间,<4 cm的囊肿自发消退率高,但慢性胰腺假性囊肿的自然消退率低(<10%)[5,6]。其他影响囊肿消退的因素包括多个囊肿、位置在胰尾、囊壁厚度>1 cm、胰管狭窄等。胰腺假性囊肿的治疗绝对指征:①囊肿引起腹胀、疼痛、呕吐、胃肠道出血;②囊肿压迫大血管,引起缺血性疼痛,影响肠道蠕动等;③引起胆总管狭窄或胆汁淤积;④囊肿内感染或出血;⑤胰胸瘘[5,6]。其相对指征:囊肿>4 cm,形成时间>6周,囊肿大小不变或增大。治疗方式选择:既往采用外科手术治疗胰腺假性囊肿,其治疗成功率>90%,但创伤大,并发症发生率为16%,病死率>2.5%。目前首选微创介入治疗。如囊肿与腹壁相连,可选择在超声或CT引导下经皮穿刺置管引流术,据文献报道其治疗成功率为42%~96%,囊肿复发率>24%,胰瘘是常见并发症;如囊肿与胃十二指肠紧贴,可选择在超声内镜引导下穿刺置管引流术,其成功率>85%,病死率为0.2%,复发率为7.6%,并发症发生率为12.8%;如囊肿与主胰管相通,可经十二指肠乳头置入胰管支架引流,它是经自然通道引流,创伤最小[4,5,6]。本例患者考虑是慢性胰腺炎合并胰腺假性囊肿可能性大,与腹壁紧贴,也与胰管相通,在确诊后可行经皮穿刺置管引流联合经十二指肠乳头胰管支架引流。
影像科何来昌副主任医师:CT和MRI检查均提示左侧中上腹部巨大囊肿性肿块,胰体尾部、脾脏和脾血管均向前移位,提示囊性病变位于左侧腹膜后间隙内,而腹膜后间隙内实质性器官包括胰腺、肾脏和肾上腺,需要对这些脏器来源的囊性病变进行逐一排除。结合患者的临床表现,影像学检查有慢性胰腺炎的特征性表现,确实需考虑胰腺假性囊肿的可能。然而影像学图像上可见左侧肾上腺完整并轻度上移,左肾中上部肾实质萎缩,左肾整体轻度下移,囊肿与左肾实质分界不清,而与胰腺分界较为清晰,故还要考虑囊性病变为左肾来源的可能性。左肾来源的囊性病变主要包括肾囊肿,囊性肾癌,肾盂、肾盏囊性扩张积水。其中,肾囊肿包括单纯性肾囊肿和复杂性肾囊肿。单纯性肾囊肿的影像学表现为肾实质内边缘光整、锐利,囊壁菲薄且无强化的囊性占位,囊液呈水样密度或信号影,增强亦无强化。复杂性肾囊肿是单纯肾囊肿合并出血或感染等炎性反应刺激,可使局部机化、钙化、血管及肉芽肿形成,其囊壁通常增厚,囊液成分复杂,其影像学表现也较为多变,可于囊内或囊壁出现钙化,囊内液体可因含有蛋白质、黏液成分而呈现较高的密度和磁共振序列上的复杂信号,囊内多无分隔和壁结节影,其囊壁可有强化,而囊内液体则无明显强化。囊性肾癌则多可见强化的囊壁、囊内分隔和壁结节影[7]。肾盂、肾盏囊性扩张积水多为肾结石或炎性反应继发,影像学检查可发现原发病变,CTU检查多可见造影剂进入囊性扩张的肾盂、肾盏内。本例患者CT和MRI检查均提示囊性病灶囊壁较厚、囊壁钙化,囊内未发现明确的分隔和壁结节,囊液密度较高且弥散受限,增强扫描囊壁轻度强化,然而CTU检查未见造影剂进入囊性病灶内,故考虑复杂性肾囊肿的可能性大。目前,从影像学检查上尚难确诊是胰腺假性囊肿还是左肾囊肿,建议穿刺检测分析囊内成分,可进一步将其与胰腺假性囊肿进行鉴别。
普外科张江南主任医师:从患者的影像学表现来看,左侧腹膜后间隙内有巨大囊肿,且与左肾实质分界不清,是应考虑左肾囊肿的可能,而且如此巨大的胰腺假性囊肿也较少见。但从患者的临床表现来看,患者既往有反复发作的急性胰腺炎病史,本次发病后的CT和MRI又符合慢性胰腺炎的特征,所以又要考虑胰腺假性囊肿。根据胰管的解剖结构与是否和囊肿相通,胰腺假性囊肿可分为D'EgidioⅠ、D'EgidioⅡ和D'EgidioⅢ型[8]。急性胰腺炎并发的胰腺假性囊肿一般属于D'EgidioⅠ型,即胰管解剖结构正常且与囊肿不相通。D'EgidioⅡ型常由慢性胰腺炎急性发作所致,囊肿与胰管相通。D'Egidio Ⅲ型常为慢性胰腺炎并发的胰腺假性囊肿,胰管有狭窄且与囊肿相通。CT增强和MRCP检查可发现囊肿与胰管相通,以及有明显的胰管结构异常[7,8],但胰管细微的变化(如胰尾、胰管的狭窄或闭塞)常需ERCP诊断。如果胰腺假性囊肿与胰管相通,囊液的淀粉酶和脂肪酶活性会升高。建议在CT、超声或超声内镜引导下行细针穿刺,检测穿刺液中的淀粉酶或脂肪酶水平,可帮助诊断。若确诊为胰腺假性囊肿后,可先行经皮穿刺置管引流或经十二指肠乳头胰管支架引流,引流失败可考虑行外科手术治疗。
泌尿外科钟柯兆副主任医师:患者CTU检查见左侧腹膜后间隙巨大囊肿毗邻左肾和胰尾部,囊壁厚、轻度强化,左肾盂、肾盏显影不良,不考虑左肾囊肿,而应考虑胰腺假性囊肿。左侧腹膜后间隙较狭窄,这一部位出现胰腺假性囊肿易误诊为左肾囊肿,以往泌尿外科曾有几例类似病例,在手术中发现并非左肾囊肿,而是胰腺假性囊肿。该例患者不考虑左肾囊肿的理由:首先,肾囊肿的囊壁一般很薄,而该例患者的囊壁厚,囊壁应属于胰腺炎性反应后纤维结缔组织增生包裹所致;其次,CTU示无造影剂进入囊内,说明囊液与泌尿系统不相通;最后,囊性病变虽与左肾分界不清,但是通过仔细阅片,左肾实质更似压迫萎缩改变。同意消化科的诊治意见,在多普勒超声引导下进行诊断性穿刺,检测穿刺液的肌酐和淀粉酶水平,必要时可进一步行引流治疗。
消化科吕农华主任医师:患者病情复杂,现已先后明确了胆总管狭窄的性质、左侧腹膜后囊肿的性质并进行了相应的处理。目前要讨论的是门静脉高压的问题。患者有重度食管静脉曲张,结合患者血常规三系减少合并脾功能亢进的表现,CT检查显示门静脉主干起始闭塞,门静脉海绵样变性,首先考虑肝前性门静脉阻力增加导致的门静脉高压,门静脉闭塞原因考虑与胰腺炎性反应、囊肿压迫门静脉导致血流缓慢有关。其次,患者有肠系膜上静脉血栓,也可移行致门静脉引起闭塞。国外一项前瞻性研究对266例慢性胰腺炎患者进行了超声检查和血管造影或CT扫描,结果显示主要内脏静脉闭塞的发生率为13%,其中脾静脉、门静脉和肠系膜上静脉闭塞分别为8%、4%和1%[9]。患者有长期饮酒史,CT检查提示肝硬化,但肝脏体积并不缩小,酒精性肝硬化导致的肝内型门静脉高压的可能性较小。最后,胰腺假性囊肿也可压迫脾静脉导致左侧门静脉高压,但CT检查未见脾静脉狭窄或闭塞,内镜未见胃底静脉曲张,胰源性门静脉高压可能性小;可行经颈静脉肝内门体静脉分流术(transjugular intrahepatic portosystemic shunt,TIPS)门静脉和肠系膜上静脉取栓+溶栓术进行治疗,必要时放置支架,患者出血停止后还要考虑抗凝治疗。
影像科余晨主治医师:按照血流受阻的部位,门静脉高压可分为:①肝前型,常见病因有门静脉血栓形成、门静脉海绵样变性、胰源性门静脉高压等;②肝内型,常见病因有肝炎后肝硬化、特发性门静脉高压、血吸虫病性肝硬化等;③肝后型,常见病因有巴德-吉亚利综合征(Budd-Chiari syndrome)、右心力衰竭等[10]。其中,肝炎后肝硬化所致的肝内型门静脉高压在临床上最为常见,然而本例患者乙型肝炎标志物检查中仅HBsAg为阳性,基本可排除肝炎后肝硬化所致的肝内型门静脉高压的可能。肝脏CTV显示肝静脉和下腔静脉肝段显示清晰,无明显狭窄,基本可以排除巴德-吉亚利综合征所致的肝后型门静脉高压。肝脏CTV显示肠系膜上静脉血栓形成,门静脉主干起始处闭塞,则表明此例患者的门静脉高压为肝前型。当门静脉主干和(或)分支完全或部分阻塞后,机体通过自身代偿机制根据阻塞部位可于门静脉主干和(或)分支周围、肝门区和肝十二指肠韧带处形成大量的侧支循环,由于这些血管在大体标本切面呈海绵状血管瘤样的改变,故称门静脉海绵样变性。由于患者还有慢性胰腺炎的背景,至于其是否为胰源性门静脉高压,则要看其是否符合胰源性门静脉高压的定义。胰源性门静脉高压是因胰腺疾病导致门静脉系统的属支(主要是脾静脉)梗阻、血液回流障碍而引起的区域性门静脉系统压力升高[11]。该例患者的脾静脉显示清晰,无明显管腔狭窄和阻塞的征象,因此该例患者的门静脉高压病因基本可确定为是门静脉血栓所致的肝前型门静脉高压。
血管外科邓军主治医师:推测该患者门静脉高压与门静脉主干闭塞有关,闭塞原因以血栓形成的可能性大。对于新发生的门静脉血栓,可直接采用门静脉溶栓治疗;对于已经机化的血栓,单纯溶栓效果欠佳,而手术取栓创伤大,由于患者高龄,所以暂不考虑手术治疗。介入方法可采用TIPS门静脉取栓,也可采用经皮经肝门静脉成形支架置入开通术,用支架维持门静脉入肝血流通畅。不论是否放置支架或保守治疗,均建议服用适量抗凝药物,这对长时间维持支架血流通畅和恢复患者的肝功能有积极的意义。口服抗凝药物方案有利伐沙班片或华法林,后者需每周监测PT(目标值为30 s)、凝血酶原时间-国际标准化比值(prothrombin time-international normalized ratio,PT-INR)(目标值为2~3),同时可给予低分子肝素4 000 U皮下注射,每12 h 1次。
本例患者病情复杂,先后进行多次多学科讨论。首先是行ERCP取石并置入支架解除胆总管狭窄,患者诊断困难之处在于胰腺假性囊肿与左肾囊肿的鉴别,回顾本例患者的影像学表现,其所示左侧腹膜后囊性占位在CT检查中呈稍低密度,囊壁可见钙化,在CTU检查中无造影剂进入囊内,并明确显示了囊性病灶内下方受压萎缩、明显强化的肾实质。MRI检查显示囊性病灶前缘小凸起影与胰腺尾部相连,结合该例患者有慢性胰腺炎的病史,即可诊断胰腺假性囊肿。而后患者进行了囊肿穿刺引流术,确诊了囊肿性质为胰腺假性囊肿,经引流后CT检查显示胰腺假性囊肿基本消失,由于胰头部胰管狭窄,加上胰腺钙化、胰管结石导致胰管插管困难,未能成功进行胰管支架置入术。患者的门静脉高压问题经多学科讨论后,诊断为门静脉主干闭塞导致的肝前性门静脉高压,而非胰源性门静脉高压。
此病例的诊治经验:对于病情复杂的患者需要多学科协作诊治,患者的诊治过程中有消化科、影像科、普外科、泌尿外科、血管外科等参与;位于左侧腹膜后的胰腺假性囊肿压迫肾脏后易误诊为左肾囊肿;胰腺炎除了引起脾静脉血管血栓形成,也可引起门静脉血栓和闭塞,表现为食管静脉曲张而非孤立性胃底静脉曲张。





















