
版权归中华医学会所有。
未经授权,不得转载、摘编本刊文章,不得使用本刊的版式设计。
除非特别声明,本刊刊出的所有文章不代表中华医学会和本刊编委会的观点。
小肠约占消化道总长度的3/4。由于小肠面积分布范围较广,其肿瘤发病隐匿,且临床早期缺乏典型的症状和体征,并缺少有效的检查手段,所以在临床中易被忽略,导致误诊、误治。现回顾性分析上海交通大学医学院附属瑞金医院收治的1例影像学表现类似淋巴瘤的空肠腺癌患者的病历资料,并探讨其诊断和治疗情况。
患者女,67岁。入院前半年无明显诱因下自觉腹部隐痛不适,左上腹稍明显,无恶心、呕吐,无腹泻,食欲可。外院胃镜检查提示慢性浅表性胃炎,十二指肠球部息肉;结肠镜检查提示结肠息肉;腹部CT检查显示空肠近端病变伴周围淋巴结肿大。后在上海交通大学医学院附属瑞金医院行小肠CT检查,提示左上腹空肠占位性病变,为进一步治疗于2015年3月27日入院。体格检查:腹部平坦,未见胃肠型和蠕动波,腹壁静脉未见显露,腹软,无明显压痛,无反跳痛,肝脾肋下未及,未触及腹部包块,移动性浊音阴性,肠鸣音正常。
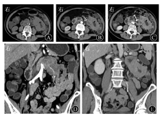
血常规检查显示,RBC计数为3.51×1012/L(下降),平均Hb量为19.4 pg(下降),平均Hb浓度为288 g/L(下降),PLT计数为489×109/L(升高)。尿常规检查阴性。肝肾功能:葡萄糖为8.81 mmol/L(升高),前白蛋白为97 mg/L(下降),白蛋白为32 g/L(下降),肌酐为43 μmol/L(下降),钾离子为3.30 mmol/L(下降)。癌抗原72-4为88.96 kU/L(升高),AFP、CEA、CA125、CA19-9、癌抗原242、癌抗原15-3均阴性。小肠CT检查(图1)显示,左上腹空肠肠壁增厚,最厚处约3 cm,形成软组织肿块伴溃疡形成,病灶密度不均匀,平扫CT平均值为42 Hu,增强后动脉期平均值为65 Hu,门静脉期平均值为75 Hu,局部肠腔扩张,周围肠管结构欠清,周围系膜密度增高,多枚淋巴结影显示部分肿大(最大径>1 cm),呈轻度强化,可见病灶中肠系膜血管呈夹心面包征;直肠壁稍厚。小肠CT检查诊断意见为左上腹空肠占位性病变,首先考虑淋巴瘤,不典型腺癌待排。小肠镜检查(图2)显示至十二指肠中段,乳头下方10 cm处见黏膜隆起增生,触之易出血,肠腔狭窄,小肠镜无法通过,取4块组织行活组织检查。小肠镜检查诊断意见为十二指肠中段隆起增生。




小肠占位(淋巴瘤?腺癌?其他待排),慢性胃炎。
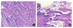
2015年4月20日行空肠恶性肿瘤切除+左半结肠切除术。术中探查发现腹腔内有少量腹水,空肠上部可及直径约10 cm的质硬肿块,累及十二指肠升段至水平段远端,并且累及肠系膜下静脉和结肠脾曲,向内侧浸润部分肠系膜上动脉侧壁。瘤周可及肿大淋巴结,腹主动脉旁亦可及散在肿大质硬淋巴结。十二指肠升段浆膜面可及散在转移结节。肝胆胰脾等均未见明显转移结节。游离出肿瘤与胰腺下缘粘连处,仔细分离受肿瘤浸润的肠系膜上动脉侧壁。进一步分离出受侵的十二指肠升段至水平段附近,切除部分受侵的胰腺组织。于肝肾隐窝和左侧结肠旁沟各置单腔引流管1根。距空肠-十二指肠吻合口以远约30 cm处完成空肠营养性造口,置入营养管长度约50 cm。术后大体病理显示,空肠见一巨大肿块,大小为10.0 cm×8.0 cm×5.5 cm,切面灰白伴出血点,质偏硬;另见粘连结肠长45 cm,距一侧切端30 cm、另一侧切端5 cm处见肿块侵犯。空肠旁找到淋巴结16枚,直径为0.3~1.0 cm。小肠系膜组织1块,直径1 cm,找到结节1枚,直径为0.5 cm。病理检查(图3)发现,肿瘤组织排列呈腺管状、梁索状,呈浸润性生长,细胞异型,核大、深染,核分裂象可见。病理诊断为空肠腺癌Ⅱ至Ⅲ级,部分黏液性(浸润型),浸润至浆膜外,脉管内见癌栓,侵犯结肠;9枚肠旁淋巴结均见癌转移,另有7枚癌结节;小肠系膜淋巴结有1枚见癌转移。免疫组织化学检查:肿瘤细胞AE1/AE3、细胞角蛋白20、细胞周期素依赖蛋白激酶(cyclin-dependent kinase,CDX)-2均阳性,增殖指数Ki67为80%阳性,雌激素受体(estrogen receptor,ER)、孕激素受体(progesterone receptor,PR)、细胞角蛋白7、CA125、嗜铬颗粒蛋白(chromogranin,CHG)、突触素和神经特异性烯醇化酶(neuron-specific enolase,NSE)均阴性。


消化科姚玮艳副主任医师(术前):患者为老年女性,具有反复腹痛的症状,体格检查无明显腹部阳性体征。小肠CT检查显示,左上腹空肠病变,首先考虑淋巴瘤。从目前的临床病史特点考虑小肠占位诊断明确,而小肠占位的性质首先考虑淋巴瘤,但从患者的年龄和小肠占位的发病特点来看,小肠腺癌不能除外,其他病理类型如腺鳞癌、神经内分泌癌、间质瘤等均需要手术后病理和免疫组织化学检查明确诊断。下一步诊疗计划:由于患者有腹痛症状,内镜检查明确部位且具有肠腔狭窄的证据,建议排除手术禁忌后行手术治疗。
放射科朱乃懿住院医师:病变定位于空肠近段,累及十二指肠水平段。病变的CT表现特点为,肠壁环形明显增厚,累及较长1段肠段,肠腔无明显狭窄,并略扩张,增强后呈渐进性中度强化,肠系膜脂肪密度增高伴多发肿大淋巴结影,与病变肠段一起包绕肠系膜血管类似夹心面包征。其中,①环肠壁明显增厚但肠腔狭窄不明显;②血管包绕;③强化程度;以上3点与典型小肠淋巴瘤的CT表现类似,前两者可为小肠淋巴瘤的相对特征性表现。因此,从小肠CT上诊断首先考虑淋巴瘤,但在极少数情况下,腺癌、间质瘤也会有这样的表现。
血液科胡炯主任医师:本病例主要关注点为胃肠道淋巴瘤的诊断和鉴别诊断。一般结外非霍奇金淋巴瘤(non-Hodgkin′s lymphomas,NHL)指起源于淋巴结以外组织的淋巴瘤,占NHL发病的25%左右。胃肠道是结外淋巴瘤常见的累及部位,占结外淋巴瘤的30%~40%。胃肠道淋巴瘤中以胃淋巴瘤最常见,占胃肠道NHL的2/3,其次为小肠和结直肠,食管较为罕见。胃肠道的病理类型以B细胞来源的淋巴瘤为主,主要包括弥漫大B细胞淋巴瘤和MALT淋巴瘤,T细胞淋巴瘤相对少见。肠道淋巴瘤多累及回肠、回盲部和升结肠部位,其次可见于远端十二指肠、空肠、横结肠、降结肠等。肠道淋巴瘤的CT影像学特点主要有肠壁不规则增厚,肠壁增厚可比较明显,少见肠梗阻表现,患者出现肠系膜多发淋巴结肿大和病变肠段呈动脉瘤样扩张,则提示淋巴瘤可能性大。即使胃肠道淋巴瘤有一定的影像学特点,但只能作为辅助诊断手段,胃肠道淋巴瘤的诊断和鉴别诊断最终依赖病理学检查、免疫组织化学检查和必要的细胞遗传学、分子生物学异常检测等,其对诊断和病理分型具有确定意义,并且病理诊断和分型也是淋巴瘤治疗的必备依据,同时也是选择免疫化学治疗方案和评估预后的重要指标。
消化科姚玮艳副主任医师(术后):原发性小肠肿瘤是临床中比较少见的消化道肿瘤,由于症状不典型,早期发现小肠肿瘤非常困难。往往出现明显症状时已属中晚期,影响了小肠肿瘤的诊疗效果。目前,随着小肠CT、小肠镜的应用已明显提高小肠肿瘤术前的确诊率,对于肿瘤部位的确定比较准确,但其性质仍然需用术后病理明确。
胃肠外科朱坚副主任医师:小肠腺癌和小肠淋巴瘤都属于小肠恶性肿瘤,发病率并不高,但恶性程度都很高。术前鉴别诊断主要依赖影像学检查、内镜下表现和活组织病理检查。临床症状对这两个疾病的鉴别意义不大。
本例患者为老年女性,而小肠腺癌好发于同年龄段的男性。腹部的不适症状主要位于左上腹,症状无特异性。随后的小肠CT检查发现近端空肠的病变,而小肠腺癌好发的部位也恰恰在此;小肠淋巴瘤则好发于黏膜下淋巴丰富的远端回肠,这应该有所提示,但也并非绝对。
患者的癌抗原72-4升高对诊断的临床意义并非很有价值,临床上关于小肠腺癌和淋巴瘤患者的肿瘤免疫指标变化,尚鲜见大数据的文献报道。根据经验,指标的变化并不具备特征性诊断价值。
术前的小肠CT表现更偏向于淋巴瘤的诊断,而小肠镜检查因十二指肠的梗阻,未完成对病变小肠的标本取样,失去了最有力的诊断依据。术后也证实十二指肠受侵犯造成狭窄。
总之,术前鉴别小肠腺癌和淋巴瘤主要依赖影像学检查、内镜下表现和活组织病理检查。当后两者无法完成而影像学检查更偏向于小肠淋巴瘤的诊断,是造成误诊的最主要原因。至于患者的性别、病变的部位和肿瘤免疫指标的变化,只能作为诊断参考依据。
放射科缪飞主任医师:小肠腺癌和淋巴瘤在胃肠道肿瘤中均属于少见肿瘤,其好发部位、影像学表现在大部分病例的术前阶段是可鉴别的,但是极少数病变影像学表现有类似之处,所以单从影像学上鉴别有一定困难。原发性小肠淋巴瘤的好发于中老年男性。原发性胃肠道淋巴瘤起自胃肠道黏膜固有层和黏膜下层的淋巴组织,其中绝大多数为NHL,霍奇金病极为罕见,一般起源于B细胞,常位于末端回肠,呈环形肠壁增厚或隆起息肉样肿物。原发小肠T细胞淋巴瘤在小肠淋巴瘤中占10%~25%,预后不良,呈溃疡性斑块或狭窄,多见于近端小肠。影像学上,肠道淋巴瘤的肠壁环形增厚伴中心残留气体,肠壁"动脉瘤样扩张""夹心面包征"或"三明治征"均为肠道淋巴瘤的常见征象。
原发性小肠腺癌占全消化道恶性肿瘤的0.8%~3.0%,可发生于任何年龄,以老年人居多,平均发病年龄约50岁,男性多于女性,好发于近端小肠,起源于小肠黏膜,向黏膜下、肌层和浆膜层发展,肠壁局限性增厚,多见不规则增厚、强化,常伴肠腔狭窄,周围淋巴结肿大。CT影像学表现可分为缩窄型、息肉肿块型、溃疡浸润型和弥漫型。缩窄型以肠壁增厚狭窄僵硬为表现,常伴肠梗阻。息肉肿块型以息肉样或分叶状软组织肿块隆起于肠腔为表现。溃疡浸润型表现为肿块表面黏膜面不连续,可显示不规则溃疡,病变肠管常扩张。弥漫型常呈侵袭性生长,直接向周围侵犯。黏液腺癌作为小肠腺癌的1种类型,有其特殊的影像学特征,表现为浸润性生长,平扫可见散在点状钙化。肿块边缘呈低密度"黏液湖",增强后门静脉期周边强化明显。淋巴结呈环形强化,中央"黏液湖"形成。
结合本病例手术记录中的描述和术后的病理诊断:肿块质地硬,侵犯十二指肠、肠系膜下静脉、结肠脾曲,以及部分肠系膜上动脉侧壁肿大淋巴结。回顾性分析其小肠CT表现特点:①形态上,肿块形态不规则,向内、向外生长,黏膜面凹凸不平,空肠浆膜面呈大小不等的结节状突起,提示病变破坏黏膜,并累及肠道全层。胃肠道NHL的生长方式一般为自黏膜固有层和黏膜下层的淋巴组织沿器官长轴蔓延,再向腔内外侵犯,可以是局部单发和(或)多发结节或肿块,局部黏膜平坦或表面溃疡。本病例肿块沿肠管长轴发展的程度快于沿肠管垂直方向,黏膜面被破坏,与淋巴瘤的表现类似而不易鉴别。肿块周围沿肠系膜浸润导致肠系膜脂肪密度增高,与淋巴结一起包绕血管,类似淋巴瘤的"夹心面包征",这些特点也导致该病例误诊为淋巴瘤。②在强化特点上,本病例呈不均匀环形强化,强化程度要弱于一般肠道腺癌而类似淋巴瘤,尤其是动脉期,肿块强化程度低于周围正常空肠壁,而显得与正常组织有明显分界,而门静脉期强化程度与正常空肠壁强化程度相仿,分界不清,从CT值看强化方式呈渐进性强化,与一般小肠腺癌速升平台型强化方式不同,而更接近于淋巴瘤的强化方式。结合病理结果,考虑肿块因存在部分黏液成分,导致肿块本身强化程度减弱,但其不均匀环形强化与淋巴瘤的较均匀强化又有所差异。③肿块和受累肠段形态僵硬,多期扫描形态和位置始终固定不变,而淋巴瘤病变的肠管仍能保持一定的扩张度和柔软度,这与其不引起纤维组织增生有关,因此该病例更应提示为腺癌而非淋巴瘤。④病变肠段两端邻近肠管轻度扩张,并非如同淋巴瘤病变侵及固有层内的自主神经丛导致肠壁肌张力下降而引起管腔扩张,即动脉瘤样扩张,本病例的扩张程度也不及"动脉瘤样扩张",因此,认为是肿块最大截面引起肠腔轻度狭窄,导致邻近肠管轻度扩张的可能性更大[1,2,3,4]。
病理科王朝夫主任医师:肿瘤的组织学类型和分化程度诊断明确,免疫表型亦支持肿瘤为肠道原发,病例报告中"另见癌结节7枚"应为淋巴结转移灶,即肠旁淋巴结16枚均有癌转移。





















