
版权归中华医学会所有。
未经授权,不得转载、摘编本刊文章,不得使用本刊的版式设计。
除非特别声明,本刊刊出的所有文章不代表中华医学会和本刊编委会的观点。
胰腺癌占所有胰腺恶性肿瘤的85%~95%,预后很差,是癌症相关死亡的第4大原因。胰腺癌预后不良的主要原因之一是早期诊断困难。胰腺癌最常见的症状(腹痛、体质量减轻、厌食和虚弱等)是非特异性的,对于早期无症状的胰腺癌患者,缺乏有效的筛查工具。虽然胰腺癌合并胰腺炎在临床工作中偶然见到,但早已被认识和报道。胰腺癌并发胰腺炎通常临床表现为非特异性和相互重叠,导致诊断延迟和治疗延误。对于在胰腺炎背景中的胰腺癌,初始诊断困难不仅是因为缺乏明确的临床表现和实验室检查结果,而且同时也与影像学征象重叠和手术探查困难等有关。现从胰腺癌合并胰腺炎的病理生理角度出发,阐述胰腺癌合并胰腺炎时的影像学检查方法的进展。
胰腺癌和胰腺炎存在一定的关联,胰腺癌合并胰腺炎可以是不同的临床病程。不管在哪种情况下,即使临床怀疑胰腺癌,但因为胰腺癌和胰腺炎的临床症状和胰腺形态改变重叠较多,准确诊断也往往难以实现。
通常表现为在一些没有胰腺炎相关病史的具有隐性胰腺癌的病例中,突然表现出急性胰腺炎的征象,例如腹痛、血清淀粉酶和(或)血清脂肪酶水平升高。在约3%的胰腺癌病例中,急性胰腺炎为单次或多次急性发作[1]。据推测,由肿瘤引起的胰管阻塞导致管内压升高,可能损坏导管膜或破坏次级导管,导致活化胰酶的间质和腹膜后外渗。虽然这种推理符合大多数并发胰腺炎的胰腺癌病例,但是并不适用于所有病例。例如在一些胰腺癌不阻塞主胰管的病例中,也可以诱导胰腺炎;同时在大多数胰头癌病例中,肿瘤阻塞主胰管引起扩张,表现为胰腺体尾部严重萎缩,但并不发生急性胰腺炎。
胰腺癌合并慢性胰腺炎可分为2种情况。一种情况是具有慢性胰腺炎病史的病例发生胰腺癌。越来越多的研究表明,慢性胰腺炎的长期存在是胰腺癌发生、发展的重要危险因素;炎性反应导致反复的DNA损伤和基因突变的逐步积累,慢性炎性反应可能通过多种机制破坏组织的完整性,导致胰腺上皮内瘤变(pancreatic intraepithelial neoplasia,PanIN),其是癌变发生的基础,最终发生胰腺癌。从慢性胰腺炎确诊到进展为胰腺癌通常需要10~20年,随访10和20年的累积发病率分别为1.8%和4.0%。在慢性胰腺炎进展为胰腺癌之前1~2年,常因肿瘤阻塞胰管误诊为慢性胰腺炎急性发作[2]。另一种情况是由于胰腺癌的肿瘤阻塞导管导致梗阻性慢性胰腺炎。所有胰腺癌邻近的癌旁组织中均可出现或多或少的纤维组织增生和炎性反应。尤其当主胰管完全梗阻时,远端胰管明显扩张,引起周围组织萎缩和纤维组织增生,但在梗阻性胰腺炎中导管内钙盐沉积少见。
目前,胰腺癌诊断主要依靠的影像学检查方法有超声(ultrasonography)、超声内镜(endoscopic ultrasonography)、多层螺旋计算机断层扫描(multi-slice spiral computed tomography,MSCT)和MRI,以及正电子发射计算机断层扫描(positron emission computed tomography,PET)等。
经腹超声因价廉、无创、简便,被广泛应用于胰腺炎和胰腺癌的筛查。由于胰腺深居腹膜后,尤其是胰头的检查受十二指肠内气体的影响;在胰腺体尾部癌的情况下,由于缺乏胆囊扩张,以及在胃和横结肠中存在气体,检出肿瘤也相当困难。同时,胰腺超声的敏感度和准确度也高度依赖于操作者的经验、疾病进展的程度等。由于其相对低的敏感度,经腹超声并非检测胰腺肿块的理想的筛选工具,尤其不适用于合并急性胰腺炎的病例。
超声内镜是将内镜与超声相结合,在消化道内部对邻近的器官进行检查,探头接近被检组织,避免了肠道内气体的影响,从而具有较高的分辨率,图像显示比较清晰,具有敏感度高、并发症少等优点。超声内镜能够检出最大径<1 cm的小胰腺癌和包括胰腺原位癌在内的早期胰腺癌,同时在超声内镜引导下细针穿刺活组织检查(endoscopic ultrasound-guided fine-needle aspiration biopsy,EUS-FNA),可以明确病变的病理性质,并有利于发现肿块和周围肿大淋巴结。
对于胰腺癌病例,特别是最大径<3 cm的病变,据报道EUS-FNA检测胰腺恶性肿瘤的敏感度和准确度通常超过90%[3,4]。超声内镜可用于检测可能其他成像方法未能检出的小肿块(最大径<2 cm),以及其他成像方法不能确定病变性质的肿块。超声内镜可以提高急性和(或)慢性胰腺炎病例中胰腺癌检出的敏感度和特异度,能够发现在常规超声中不明显的微小的形态学改变。
超声内镜的主要局限是超声波衰减,对于最大径>4 cm的胰腺病灶,周围结构难以观察,因此通常在MSCT或MRI检查之后使用。EUS-FNA并发症发生率较低,最常见的并发症是出血、胰腺炎、穿孔和肿瘤种植。EUS-FNA作为一种侵入性和依赖于操作者的技术,还没有被广泛使用。
MSCT已经发展为亚毫米级成像,被公认为临床上诊断急慢性胰腺炎和胰腺癌的常用、准确的非侵入性影像学检查方法之一。胰腺CT扫描必须是薄层成像(≤3 mm)、多期增强和多平面重建图像[冠状和(或)矢状面]。增强扫描应该采用四期相扫描方案,包括平扫、动脉期、胰腺实质期和门静脉期。
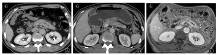
文献报道MSCT检测胰腺癌的敏感度可达90%以上[5,6]。胰腺癌通常在CT图像上表现为边界不清的实性肿块,相对正常胰腺实质略微低密度。胰腺癌合并急性胰腺炎的直接征象是胰腺轮廓扭曲,异常增多的软组织肿块突出于胰腺轮廓外,侵入相邻器官和(或)血管结构,增强呈轻度强化(图1A、图1B);如果同时发现淋巴结肿大或肝转移,则可以确立诊断。


MSCT对于胰腺癌合并慢性胰腺炎的检测仍然具有挑战性。研究发现在CT灌注成像中,胰腺癌的增强曲线呈上升型,而慢性胰腺炎显示迅速流出型,这可能对胰腺癌合并慢性胰腺炎的肿瘤检出有一定的价值。双能量计算机断层扫描(dual-energy computed tomography,DECT)和能谱CT技术可提高胰腺癌和正常实质之间的对比度噪声比[7,8,9] 。胰腺癌的DECT评估胰腺组织和胰腺癌的灌注研究表明,与健康胰腺组织相比,胰腺癌的灌注、通透性和血容量值显著降低,使用双能量灌注数据可以改善胰腺癌的检出率。CT能谱成像碘含量值的测定能敏感地检测组织内含碘量的变化,最佳单能量图像可以更好地显示肿瘤与周围组织的对比差异,对于早期胰腺癌的诊断可能具有临床价值,可能有利于胰腺癌合并慢性胰腺炎的肿瘤的检出[9]。
MRI技术的显著进步如快速自旋回波或梯度回波序列、平面回波成像和单次激发快速自旋回波等已经运用于胰腺成像中。应用薄层脂肪抑制的平扫T1加权成像(T1-weighted imaging, T1WI)、T2加权成像(T2-weighted imaging, T2WI),可使癌灶与周围胰腺组织对比更加清晰,有利于胰腺肿瘤检出。MRI无辐射损伤,对比剂更安全,这在需要经常随访复查的胰腺炎病例中尤其重要,可以避免不必要的辐射和对比剂危害。但在胰腺癌合并急性胰腺炎或者屏气配合欠佳的老年病例中,呼吸运动伪影可能会显著降低MRI图像质量。
胰腺癌的MRI典型表现是T1WI呈低信号,T2WI呈稍高信号,在扩散加权成像(diffusion-weighted imaging,DWI)上显示扩散受限,增强后呈相对弱强化的边界不清的肿块。磁共振胰胆管造影(magnetic resonance cholangiopancreatography,MRCP)上胰管的显示可用于区分慢性肿块型胰腺炎与胰腺癌。
在慢性胰腺炎中可见到胰管穿过肿块,在胰腺癌中胰管表现为不规则狭窄或完全阻塞。DWI和动态增强MRI能够区分肿瘤组织和水肿性纤维化[10,11,12,13,14]。多b值体素内非相干运动(intravoxel incoherent motion,IVIM)方法已经应用于胰腺成像,并且已有鉴别胰腺癌和正常胰腺的有价值的研究结果[15]。动态增强MRI提高了胰腺和肿瘤的信号强度差异,有利于小胰腺癌的检出(图1C),也可以用于区分胰腺癌与由慢性胰腺炎引起的局部肿块,有利于检出长期慢性胰腺炎癌变或合并的胰腺癌[13,14,16]。
临床应用较多的是PET-CT,常被用于疑似胰腺癌病例CT和MRI检查的补充,以及评价局部肿瘤复发和远处转移。18氟-脱氧葡萄糖(18F-fluorodeoxyglucose, 18F-FDG)是成像最常用的代谢性药物。肿瘤细胞代谢率高,可摄入更多的18F-FDG,从而区别胰腺内恶性病灶与正常组织。PET-CT最显著的特点是其能够显示小的病灶,对合并慢性胰腺炎的胰腺癌病例的诊断可能比常规MDCT和MRI更敏感。PET-CT上胰腺癌通常表现为摄取增加,并且在胰腺内表现为"热区"。在疑似胰腺癌病例的研究中,恶性肿瘤的18F-FDG摄取明显高于良性病变和慢性胰腺炎病例[17,18]。由于肿瘤病理学分级和纤维增生反应程度的不同,胰腺癌可能表现出低水平的18F-FDG摄取或没有摄取。同时18F-FDG特异性较差,在慢性胰腺炎活动期或急性炎性反应时可出现假阳性结果,不适用于胰腺癌合并活动性胰腺炎的检查。
PET/MRI扫描仪已应用于临床,显示出比PET-CT更大的优势,可能对MRI和MSCT形态学上无法区分的慢性胰腺炎与胰腺癌有更大的价值,PET/MRI可显著提高诊断准确率[19]。
在胰腺癌合并胰腺炎可采用的多种影像学检查方法中,MSCT可以作为筛查急性和慢性胰腺炎病例中胰腺癌的非侵入性影像学检查的首选,特别适用于急性胰腺炎、老年患者和不明原因反复发作的急性胰腺炎。在急性胰腺炎病例中进行MSCT检查时,胰腺癌可能被严重急性胰腺炎的炎性渗出掩盖,短期(间隔2~3周)CT随访可以检测胰腺炎并发症,以及更好地评估胰腺病变。慢性胰腺炎病例应定期采用CT或MRI检测局灶性胰腺肿块,当发现局部肿块时,则要警惕可能是恶性肿瘤。在有慢性胰腺炎病史和形态学改变的病例中,胰管的截断或不规则狭窄提示胰腺癌。由于慢性炎性反应过程诱导强烈的纤维化反应,超声内镜活组织检查在这些情况下不太有用。在随访检查中,若检测到慢性胰腺炎病例有局灶性胰腺肿块的增大则强烈提示胰腺癌。
不同的影像学检查方法具有不同的优缺点,联合应用可以提高诊断胰腺癌合并胰腺炎的准确率;新型成像技术,包括DECT和能谱CT,功能性MRI和PET/MRI,在胰腺癌合并胰腺炎的肿瘤检出中可能将逐渐显示其出优越性。





















