
版权归中华医学会所有。
未经授权,不得转载、摘编本刊文章,不得使用本刊的版式设计。
除非特别声明,本刊刊出的所有文章不代表中华医学会和本刊编委会的观点。
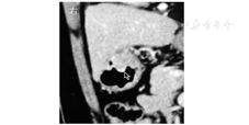
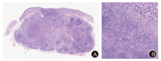
患者女,59岁,因上腹部烧灼感3年余、加重1年于2016年3月1日入院。2013年3月6日的胃镜检查显示慢性浅表性胃炎。2015年7月23日的胃镜检查显示胃体下段前壁有隆起性病变,大小约2.0 cm×2.0 cm,中央溃疡大小约0.5 cm×0.5 cm;病理检查显示慢性重度浅表活动性炎。2016年1月28日的胃镜检查显示胃体、胃窦交界处有隆起性病变,大小约2.5 cm×3.0 cm,中央浅凹溃疡灶大小约0.5 cm×0.6 cm;病理检查显示慢性中度浅表活动性炎。2016年2月18日的CT检查显示胃壁增厚,胃体小弯侧占位(间质瘤不除外),未见肿大淋巴结,见图1。入院后体格检查:体温为36.5 ℃,脉搏为78次/min,血压为130/85 mmHg (1 mmHg=0.133 kPa),一般情况可,未发现明显异常体征。胃镜检查显示胃体下部前壁有2.5 cm×3.0 cm大小的隆起性病变,中央溃疡大小约0.5 cm×0.6 cm,见图2A。超声内镜检查显示病灶处为低回声团块,内部回声欠均匀,起源于固有肌层,向腔外突出,怀疑胃间质瘤,见图2B。患者CEA、CA19-9、CA125等实验室指标均未见异常。排除相关禁忌证后,在全身麻醉下行内镜黏膜下剥离术(endoscopic submucosal dissection,ESD)。病灶周围在黏膜下注射靛胭脂,抬举征阴性;予Dual刀标记并环周切开,见图3A和图3B;继续予Dual刀及末端绝缘刀剥离黏膜及黏膜下病灶,见图3C和图3D;创面予热活检钳电凝止血,术后创面无活动性出血,病灶剥离完整,见图3E和图3F。术后病理显示,黏膜下见一大小约2.2 cm×1.5 cm×1.0 cm的病灶,边界清晰,见图4A;增生的淋巴组织间见散在成巢排列的异型细胞,伴反应性淋巴滤泡形成,见图4B。免疫组织化学检查显示,细胞角蛋白(cytokeratin,CK)5/CK6均阳性,见图5A;P40蛋白质阳性,见图5B;P63阳性;Ki-67为30%;CK7、CK20、CD20、CD3、CD5、CD56、突触素、嗜铬素A、CD34、CD31、CD23和CD21均阴性。原位杂交证实EB病毒感染存在,见图5C。病理诊断为胃淋巴上皮瘤样癌(lymphoepithelioma-like carcinoma,LELC)。与患者充分沟通,行鼻咽镜和全身正电子发射计算机断层显像(positron emission computed tomography, PET)/CT检查排除转移性癌后,接受腔镜下远端胃大部切除术并淋巴结清扫,术后病理示原肿块已切除,符合术后改变,周围未见癌残留,两切端未见癌累及,淋巴结未见癌转移(0/17)。至截稿,患者仍在随访中。










LELC是一类形态学特征与鼻咽部未分化癌相似且可发生于人体多个前肠起源器官(如胸腺、肺、宫颈、唾液腺等)的肿瘤[1]。原发于胃的LELC少见,Watanabe等[2]在1976年首次将其描述为富于淋巴样间质为特征的胃癌,后续又有学者称其为胃的淋巴上皮癌、髓样癌等[3,4],2010年消化系统肿瘤WHO分类首次将其单独列出[5]。典型的LELC特点如下:①肿瘤边界明确;②密集的淋巴间质浸润于瘤组织中,其量多于肿瘤细胞;③胞质界限不清,部分融合成合体细胞样,腺样结构形成不良;④少有纤维结缔组织反应[6]。目前,国外文献报道LELC约占所有胃恶性肿瘤的1%~4%[7],而国内文献报道则只占同期胃癌的0.5%,可能与国内医师对本病缺乏认识有关[1]。
Grogg等[8]认为胃LELC的发生与EB病毒感染或高频微卫星不稳定性(microsatellite instability-high,MSI-H)有关,报道的110例中无一例同时出现EB病毒阳性和MSI-H的情况,提示EB病毒和MSI-H是参与胃癌发生不同病原学路径的互不相关的致病因素。Min等[9]研究显示超过80%的胃LELC为EB病毒阳性,而EB病毒阴性的胃LELC中MSI-H仅占25%,其发病机制仍有待进一步研究。胃LELC预后较其他传统类型胃癌好,包括非LELC的EB病毒阳性胃癌,5年生存率达83%[10,11]。一些学者认为其较好的预后与机体的淋巴反应有关,大量淋巴组织的浸润不利于肿瘤穿透胃壁、淋巴结转移和淋巴结扩散[12]。有研究显示,EB病毒阳性是有利于胃LELC患者预后的独立因素,而MSI-H则与EB病毒阴性患者预后无明显相关性[9]。但也有学者认为患者预后与EB病毒阳性率及微卫星不稳定性状态无关[8]。
EB病毒阳性的胃LELC好发于男性,主要部位为近端胃,如胃贲门部、胃底、胃体;EB病毒阴性者相对发病年龄较大,好发于女性,且更常见于胃窦[6,9]。本例EB病毒阳性的胃LELC患者为女性,病变位于胃体、胃窦交界处,临床罕见。肿瘤虽起源于胃黏膜上皮,但可向黏膜下浸润,呈巢状、片状稀疏散在于密集浸润的淋巴组织中,加之表面黏膜可完整覆盖,常表现为黏膜下隆起性病变,传统经胃镜活组织检查的准确率较低。超声内镜可帮助判断肿瘤的边界、大小、部位等,但仍难以与胃肠道间质瘤、淋巴瘤等黏膜下肿瘤相鉴别[12]。本病例成功进行了一次性完整剥离病变,术后病理明确胃LELC的诊断,提示ESD对黏膜下肿瘤的诊断价值。此外,追加外科手术后的病理结果令人满意,基于该病相对较低的淋巴结转移率和较好的预后,ESD及随后的保守治疗可作为早期胃LELC尤其是伴有严重并发症及较高手术风险患者的可选治疗方案之一。





















