
版权归中华医学会所有。
未经授权,不得转载、摘编本刊文章,不得使用本刊的版式设计。
除非特别声明,本刊刊出的所有文章不代表中华医学会和本刊编委会的观点。
患者男,54岁,因右上腹痛1年余,再发加重1 d于2015年11月17日就诊于武汉大学人民医院。患者1年前无明显诱因间断出现右上腹隐痛不适,未予以诊断治疗,1 d前进食油腻食物后症状加重,呈阵发性绞痛,伴恶心、呕吐,无肩背部放射痛,无畏寒、发热,无厌食、便秘,无黑便、血便。2015年3月因食管黏膜撕裂症(Mallory-Weiss syndrome)行急诊内镜下治疗,余无其他特殊病史。
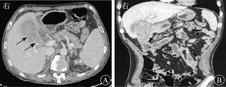
入院后体格检查:血压122/73 mmHg(1 mmHg=0.133 kPa),体温为36.8 ℃,心率为83次/min,呼吸频率为21次/min,皮肤和巩膜轻度黄染,心肺未见异常,右上腹压痛,无肌紧张,无反跳痛,墨菲征阴性。血常规示血白细胞计数为10.9×109/L,血红蛋白为120 g/L。肝功能检查示ALT为57 U/L,AST为28 U/L,GGT为214 U/L,TBil为23.90 μmol/L,DBil为19.1 μmol/L,凝血功能、肾功能、血电解质、粪便常规和尿常规等均正常,胸部X线片和心电图均正常。考虑患者为胆囊结石、胆囊炎可能性大,但需排除胆总管结石,遂行腹部超声、CT和磁共振胰胆管造影(magnetic resonance cholangiopancreatography, MRCP)检查。腹部超声检查提示为胆囊结石(填满型);CT检查提示胆囊异常强化灶,考虑肿瘤性病变、胆囊结石,胆囊与结肠密切相连,见图1;MRCP检查提示胆囊多发结石并发胆囊炎,胆囊壁增厚,胆囊与结肠紧密相连,见图2;故诊断为胆囊结石伴急性胆囊炎或胆囊肿瘤,遂拟行腹腔镜胆囊切除术。




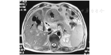
入院第2天,患者突然解黑便,量约500 mL,立即给予PPI抑酸、静脉注射尖吻蝮蛇血凝酶(商品名为苏灵)止血等治疗,行急诊胃镜检查,发现胃角和十二指肠球部溃疡(图3)。急查血常规示血红蛋白为118 g/L,故考虑消化性溃疡引起黑便可能性大,遂继续给予PPI、尖吻蝮蛇血凝酶等治疗,密切关注病情变化。入院第3天,患者出现鲜红色血便,量约2 000 mL,伴头晕、心慌,无腹痛,血压为86/60 mmHg,由于大量鲜血便,考虑为下消化道出血,立即在积极抗休克、PPI抑酸、输血、心电监护下行急诊肠镜检查,由于肠腔大量积血,影响视野,未发现出血点。遂又进行腹腔血管造影检查,发现右侧肝动脉分支造影剂蓄积,考虑假性动脉瘤,除此之外未发现造影剂流入肠道,见图4。经过全院会诊,考虑患者存在胆囊结石、胆囊炎等基础疾病,现出血原因不明,经积极保守治疗仍未控制出血,有外科手术指征,遂于11月21日行剖腹探查术,术中探查胃、小肠未见明显异常,胆囊壁增厚,并与结肠紧密相连,胆囊周围大量瘢痕组织增生,切开胆囊,可见大量血凝块,清除血凝块可见胆囊床侧胆囊内壁血管搏动性出血,缝扎胆囊内壁出血动脉,继续探查见胆囊与结肠肝曲形成内瘘,血液经瘘口流入肠腔,仔细分离胆囊结肠瘘(cholecystocolonic fistula, CCF)壁,常规切除胆囊,用可吸收线间断缝合关闭结肠瘘口,在距盲肠约25 cm末端回肠处行回肠双腔造口,腹膜、腹外斜肌腱膜、皮肤分别与肠管和肠系膜固定,0.9%氯化钠溶液清洗腹腔,放置引流管,清点器械、纱布无误后,关闭腹腔。术后病理诊断为CCF或慢性胆囊炎伴急性发作(图5)。患者术后恢复良好,随访至截稿日期,患者再无消化道出血表现。






Courvoisier[1]于1890年对CCF进行了首次报道,目前能查阅到的CCF引起消化道出血的文献报道约有13篇,其中国外8篇,国内5篇。
1960年,Chaffee[2]报道1例因解暗红色血便伴晕厥入院的76岁女性患者,钡剂灌肠检查发现造影剂进入胆囊区,最后经外科手术证实CCF的存在。Zisk等[3]于1964年研究了1例腹痛、解鲜红色血便的72岁女性患者,因钡剂灌肠检查发现造影剂位于结肠与胆囊之间、胆管积气而发现CCF。Kaplan[4]报道了1例CCF引起下消化道大量出血的71岁女性患者,经剖腹探查发现了瘘管。Singh等[5]报道了1例黑便、呼吸急促的92岁女性患者,腹部CT检查发现胆囊积气、胆囊结石异位入结肠,从而发现CCF。Okada等[6]报道了1例因大量便血就诊的58岁女性患者,超声内镜和多普勒超声检查发现结肠肝曲与胆囊间连续的低回声病灶且无血流信号,经剖腹探查发现CCF。Lee等[7]报道了1例腹痛伴呕吐和血便的72岁女性患者,因肝脏血管造影显示胆囊假性动脉瘤、造影剂流入结肠而发现CCF。Ostiz等[8]报道了1例便血的78岁女性患者,结肠镜、腹部CT和钡剂灌肠检查显示胆囊积气、胆囊与结肠肝曲紧密联系并形成瘘管。de Andrés Asenjo等[9]报道了1例腹痛、黑便伴食欲下降和体质量减轻的87岁女性患者,结肠镜、腹部CT检查发现结肠结石、胆管积气、胆囊结石并与结肠肝曲紧密相邻,经剖腹探查发现CCF。
黄志清和丁兆祥[10]报道了1例75岁因胆囊腺癌形成CCF而引起消化道出血的女性患者,通过剖腹探查发现了瘘管。张澜和王康[11]描述了1例52岁右上腹痛、解鲜红色血便的男性患者,急诊手术发现胆囊与结肠肝曲形成内瘘,瘘口不断有鲜血流出,胆囊内壁可见一动脉出血。田夫等[12]报道了1例62岁突发便血的男性患者,剖腹探查发现CCF,内瘘继发炎性肉芽肿引起下消化道出血。Xie等[13]分析了1例反复鲜血便和腹痛的45岁男性患者,腹部增强CT检查和肝脏血管造影显示胆囊积气,造影剂异常蓄积于肝右动脉,造影剂通过瘘管进入结肠,CCF因此得以发现。周立强等[14]报道了1例54岁因间断血便入院的男性患者,剖腹探查术中发现胆囊壁增厚,胆囊内大量血凝块,胆囊与结肠紧密相连,形成CCF。
从上述国内外研究报道可知,腹部超声、腹部CT、钡剂灌肠、结肠镜、腹腔血管造影检查等均可用于CCF的诊断。13例患者中有7例通过剖腹探查(含手术)确诊;3例通过腹部CT检查确诊;1例腹部CT检查提示可疑,经剖腹探查确诊;3例通过钡剂灌肠确诊;2例通过肝脏血管造影确诊;1例通过结肠镜检查确诊;1例结肠镜检查提示可疑,经剖腹探查确诊;1例超声内镜、多普勒超声检查提示可疑,经剖腹探查确诊。有5例患者影像学有胆管或胆囊积气的表现,Yarze[15]报道胆管积气或胆囊内含有气体是疑诊CCF的可靠指征。所有患者均有胆囊结石或胆囊炎相关疾病,最后均行外科手术或腹腔镜手术治疗,术后均好转。
胆囊肠道瘘是胆管疾病的罕见并发症,多继发于胆囊结石、胆囊炎。据报道,胆囊肠道瘘在胆管疾病中的发病率不足1%,CCF占胆囊肠道瘘的8%~26%,是胆囊肠道瘘第二常见类型[16,17]。据统计,CCF多见于女性患者,男女发病率之比为1.00∶2.47,中位发病年龄为68.9岁(37~90岁);CCF多于外科手术中发现,术前诊断率仅为7.9%[18,19]。CCF常表现为腹痛、腹泻、消化不良、体质量减轻等非特异性临床表现,引起消化道出血的实属少见。胆管积气、慢性腹泻、维生素K吸收不良曾被定义为CCF的三大特征性临床表现[20],也有报道认为腹泻是最常见的症状[16]。CCF一经确诊,应尽早行手术治疗,包括传统外科手术和腹腔镜手术,以防止严重胆道感染、消化道出血等并发症。
本例患者有胆囊结石、胆囊炎,后出现消化道大出血,行胃肠镜检查均未明确出血原因,病情进展,危及生命,经过曲折的诊断过程,最终通过剖腹探查术发现出血原因,才使出血得以控制。消化道出血是消化科常见疾病,常见病因有消化性溃疡、食管胃底静脉曲张破裂出血、急性糜烂性出血性胃炎、胃癌、痔、肛裂等,临床医师往往根据辅助检查结果,将诊断向上述病因靠拢。特别是本例患者曾有消化道出血病史,腹部超声、腹部CT等影像学检查除胆囊结石、胆囊炎和胆囊肿瘤可能外未提示明显异常,且后经胃镜检查提示胃和十二指肠球部溃疡,因此很容易误诊为消化性溃疡引起的出血,从而掩盖真正引起消化道出血的原因。Arvanitidis等[21]认为内镜逆行胰胆管造影和MRCP可清楚地显示造影剂进入结肠,是诊断CCF的金标准。本例患者腹部超声、腹部CT和MRCP等相关检查均未提示胆管积气或胆囊积气、造影剂进入结肠等CCF的诊断证据,虽提示有胆囊和结肠密切相连,但却未引起重视与深究,且后行腹腔血管造影亦未发现造影剂进入肠道,更易被忽视。最后行剖腹探查时发现胆囊与结肠肝曲形成内瘘,胆囊内侧有一搏动性动脉出血而导致消化道大出血。据此推断可能行腹腔血管造影检查时血凝块堵塞瘘口,造影剂未能由出血动脉经瘘管流入肠道,致使血管造影检查未发现此内瘘。
CCF引起消化道大出血的情况需引起重视和警惕,特别是对于常规检查不能明确出血原因且有胆道疾病史的患者,以免延误患者诊治,甚至危及患者生命。





















