
版权归中华医学会所有。
未经授权,不得转载、摘编本刊文章,不得使用本刊的版式设计。
除非特别声明,本刊刊出的所有文章不代表中华医学会和本刊编委会的观点。
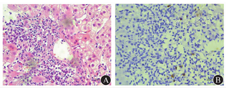
患者女,56岁,因纳差2年、恶心10 d于2015年2月14日入院。患者于入院前2年无明显诱因出现纳差,未予正规诊治。入院前10 d出现恶心症状,无呕吐、腹痛、腹泻,无皮肤瘙痒,无解白陶土样便等,为明确诊断就诊。其祖母患类风湿性关节炎,否认饮酒史、特殊药物治疗史,以及肝炎、结核病史。入院体格检查:巩膜黄染,全身浅表淋巴结未触及肿大。入院后查ALT 569 U/L,AST 277 U/L,ALP 198 U/L,GGT 183 U/L,TBil 15.2 μmol/L,DBil 11.1 μmol/L。免疫指标抗核抗体、抗平滑肌抗体、抗肝肾微粒体1抗体、抗线粒体抗体、抗线粒体抗体M2型、抗核膜糖蛋白210、抗可溶性酸性磷酸化蛋白100抗体、抗双链DNA抗体、抗Sm抗体均阴性;免疫球蛋白G(IgG) 22.0 g/L (正常值<15.6 g/L),IgG4 6.27 g/L(正常值0.03~2.01 g/L);乙型肝炎5项指标和丙型肝炎抗体均阴性;巨细胞病毒和细小病毒抗体均阴性。上腹部增强CT检查未见明显异常。肝穿刺活组织病理提示肝小叶结构尚存,部分肝细胞水肿、点状坏死和碎屑样坏死,汇管区炎和界板炎(大量淋巴细胞、浆细胞CD38和CD138阳性,少许中性粒细胞浸润),未见玫瑰花结状结构,间质纤维组织增生,并可见假小叶形成趋势,见图1A、图1B。免疫组织化学染色示CD38和CD138呈阳性,IgG4阳性浆细胞>10/高倍镜视野,IgG4阳性细胞与IgG阳性细胞比值>0.4,IgG4相关性疾病不除外,见图1C、图1D。该患者符合IgG4相关性疾病(immunoglobulin G4-related disease, IgG4-RD)的诊断标准[1],诊断为IgG4-RD。予熊去氧胆酸治疗1个月余,肝功能好转但未恢复正常。予泼尼松60 mg/d,并逐渐减量至10 mg/d,患者症状较前好转,肝功能、血清IgG和IgG4水平均恢复正常。患者自行停用泼尼松及保肝药物治疗,约3个月后肝功能指标再次异常,予泼尼松60 mg/d并逐渐减量至5 mg/d,肝功能逐渐恢复正常。经2年随访,患者肝功能持续正常,腹部超声检查未见肝纤维化进展。


患者女,61岁,因食欲减退1年半于2016年7月6日入院。患者入院前1年半无明显诱因出现食欲减退,查ALT 267 U/L,AST 164 U/L,予硫普罗宁和还原型谷胱甘肽治疗,1个月后肝功能各指标水平降至正常。入院前10个月,患者出现双下肢及双侧眼睑水肿,查白蛋白20 g/L (正常值35~55 g/L),ALT 218 U/L,AST 233 U/L,ALP 216 U/L,GGT 35 U/L,TBil 6.3 μmol/L,DBil 3.4 μmol/L,24 h尿蛋白定量420 mg(正常值<150 mg),免疫指标抗核抗体、抗平滑肌抗体、抗肝肾微粒体1抗体、抗线粒体抗体、抗线粒体抗体M2型、抗核膜糖蛋白210、抗可溶性酸性磷酸化蛋白100抗体、抗双链DNA抗体、抗Sm抗体均阴性;乙型肝炎5项指标和丙型肝炎抗体均阴性;甲状腺功能正常。诊断为肾功能不全和不明原因肝损伤,予中药治疗2个半月后,患者双下肢水肿及双侧眼睑水肿好转,肝功能各项指标及尿蛋白恢复正常。停用中药治疗6个月后,患者再次出现厌食和乏力症状。实验室检查显示肝功能异常。肝脏瞬时弹性成像示肝脏硬度为13.3 kPa (正常值<7.3 kPa)。腹部超声检查未见明显异常。肝活组织病理检查示以淋巴细胞及嗜酸性粒细胞为主,肝细胞凋亡,点灶状坏死,以中央静脉周围为著,肝细胞轻度水样变性,见图2A。不排除诊断为药物性肝病。予丁二磺酸腺苷蛋氨酸(商品名为思美泰)治疗4个月余,肝功能各指标稍好转,但未降至正常,为明确诊断就诊。入院后查血清IgG4 3.74 g/L。全身淋巴结超声检查示双侧颈部多发淋巴结Ⅰ至Ⅱ区肿大,双侧腋下多发淋巴结肿大,形态回声未见明显异常。双侧腹股沟区多发淋巴结,右侧部分轻度肿大,形态回声未见明显异常。将患者入院前肝活组织病理检查再次行免疫组织化学染色示IgG4阳性浆细胞约10/高倍镜视野,见图2B。磁共振胰胆管造影未见明显异常。因此,该患者符合IgG4-RD的诊断标准[1]。予泼尼松60 mg/d起始治疗并在12周内逐渐减量至5 mg/d,患者症状逐渐好转,肝功能各项指标和血清IgG4水平均恢复正常。然而,以泼尼松5 mg/d的剂量维持治疗4个月后,患者再次出现肝功能异常,血清IgG4水平再次升高(2.19 g/L),予泼尼松30 mg/d起始治疗,在12个月内逐渐减量至5 mg/d。经4个月随访,患者肝功能和血清IgG4水平持续正常。


患者男,59岁,因乏力7 d,尿色加深3 d于2016年9月16日入院。患者入院前7 d无明显诱因出现乏力,无恶心、呕吐、腹痛、腹胀等不适。未予正规治疗。入院前3 d出现尿色加深,呈浓茶水样,粪便颜色变浅,伴纳差、恶心、腹胀,无腹痛、呕吐等不适,为明确诊断就诊。其父亲有肝炎病史,否认饮酒史、特殊药物治疗史,以及肝炎、结核病史。入院体格检查:全身皮肤和巩膜黄染,全身浅表淋巴结未触及肿大。查ALT 3 044 U/L,AST 1 406 U/L,ALP 184 U/L,GGT 355 U/L,TBil 159.4 μmol/L,DBil 131.2 μmol/L。免疫指标抗核抗体、抗平滑肌抗体、抗肝肾微粒体1抗体、抗线粒体抗体、抗线粒体抗体M2型、抗核膜糖蛋白210、抗可溶性酸性磷酸化蛋白100抗体、抗双链DNA抗体、抗Sm抗体均阴性;IgG 15.2 g/L,IgG4 3.45 g/L;肝炎常规:甲型肝炎病毒抗体-IgM(-),乙型肝炎病毒表面抗原(+),乙型肝炎病毒表面抗体(-),乙型肝炎病毒e抗原(+),乙型肝炎病毒e抗体(-),乙型肝炎病毒核心抗体-IgG(+),丙型肝炎病毒抗体-IgG(-),丙型肝炎病毒核心抗体-cAg(-),戊型肝炎病毒抗体-IgM(-);巨细胞病毒和细小病毒抗体均阴性。HBV DNA: 1.82×105 IU/mL(正常值<1.00×102 IU/mL)。肿瘤全项检查指标铁蛋白(ferritin)>2 000 ng/mL,CA19-9 109.3 kU/L(正常值<37 kU/L)。腹部超声检查提示肝脏弥漫性病变,肝硬化?胆囊壁增厚,脾大。磁共振胰胆管造影提示胆囊壁不均匀增厚,考虑慢性炎性病变,门静脉周围淋巴水肿,考虑肝尾叶小囊肿,门静脉周围部分增大淋巴结影,少量腹水。该患者诊断为乙型肝炎。予熊去氧胆酸、腺苷蛋氨酸、异甘草酸镁保肝治疗,3 d后复查肝功能相关指标ALT 1 820 U/L,AST 916 U/L,ALP 153 U/L,GGT 311 U/L,TBil 253.3 μmol/L,DBil 227.2 μmol/L。予恩替卡韦、利福昔明联合上述保肝药物治疗约1个月后,患者症状均好转,肝功能相关指标水平明显下降,但未降至正常。HBV DNA低于检测下限。血清IgG4水平稍降低(3.34 g/L)。后继续予抗病毒治疗联合保肝药物治疗约5个月,肝功能基本恢复正常,血清IgG4仍为异常(3.01 g/L),见表1。

伴IgG4升高的乙型肝炎患者(病例3)肝功能相关指标和血清IgG4水平变化
伴IgG4升高的乙型肝炎患者(病例3)肝功能相关指标和血清IgG4水平变化
| 日期 | ALT(U/L) | AST(U/L) | ALP(U/L) | GGT(U/L) | TBil(μmol/L) | DBil(μmol/L) | IgG4(g/L) |
|---|---|---|---|---|---|---|---|
| 2016.09.16(入院) | 3 044 | 1 406 | 184 | 355 | 159.4 | 131.2 | 3.45 |
| 2016.09.19 | 1820 | 916 | 153 | 311 | 253.3 | 227.2 | - |
| 2016.09.30 | 573 | 457 | 112 | 106 | 463.2 | 381.9 | - |
| 2016.10.17 | 106 | 126 | 107 | 67 | 235.3 | 216.0 | 3.34 |
| 2017.03.13 | 25 | 62 | 74 | 53 | 33.8 | 10.3 | 3.01 |
注:IgG4为免疫球蛋白G4;ALT为丙氨酸转氨酶;AST为天冬氨酸转氨酶;ALP为碱性磷酸酶;GGT为γ-谷氨酰转肽酶;TBil为总胆红素;DBil为直接胆红素。"-"为无此值
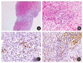
患者男,53岁,因发现肝功能异常2个月于2015年6月27日入院。既往有饮酒史约30年,约100 g/d。否认家族遗传病史,否认特殊药物治疗史及肝炎、结核病史。入院体格检查未见明显异常。查ALT 38 U/L,AST 39 U/L,ALP 343 U/L, GGT 523 U/L,TBil 35.2 μmol/L,DBil 17.2 μmol/L。免疫指标抗核抗体、抗平滑肌抗体、抗肝肾微粒体1抗体、抗线粒体抗体、抗线粒体抗体M2型、抗核膜糖蛋白210、抗可溶性酸性磷酸化蛋白100抗体、抗双链DNA抗体、抗Sm抗体均阴性;IgG 19.1 g/L,IgG4 2.08 g/L;乙型肝炎5项指标和丙型肝炎抗体均阴性;巨细胞病毒和细小病毒抗体均阴性。腹部超声检查提示肝弥漫性病变、肝实质颗粒增粗、回声欠均匀,门静脉脾静脉扩张,胆囊壁增厚伴多发结石,脾大。肝活组织病理检查提示肝小叶正常结构消失,部分肝细胞水肿,偶见不典型玫瑰花结状结构,汇管区淋巴细胞浸润,浆细胞浸润(免疫组织化学染色CD38、CD138及IgG散在阳性,IgG4偶见阳性),可见界板炎性反应,间质纤维组织增生伴假小叶形成,见图3。该患者诊断为酒精性肝病。予硫普罗宁、胆舒胶囊和还原型谷胱甘肽保肝治疗约半个月后,肝功能稍好转但未恢复正常。予甲泼尼龙40 mg/d联合上述保肝药物治疗7 d后,肝功能稍好转,血清IgG4降至正常(1.85 g/L)。后继续予甲泼尼龙40 mg/d联合上述保肝药物治疗约1个月,肝功能相关指标为ALT 29 U/L,AST 20 U/L,ALP 172 U/L,GGT 461 U/L,TBil 28.6 μmol/L,DBil 10.8 μmol/L。改为泼尼松15 mg/d联合上述保肝药物治疗,1个月后患者肝功能相关指标下降,但未完全降至正常。患者自行停用泼尼松和保肝药物。约半年后患者因上消化道出血再次入院。肝功能指标为ALT 26 U/L,AST 42 U/L,ALP 180 U/L,GGT 990 U/L,TBil 46.8 μmol/L,DBil 24.4 μmol/L。予腺苷蛋氨酸治疗1个月后肝损伤明显好转但未恢复正常,血清IgG4仍为正常(1.2 g/L),予泼尼松10 mg/d联合腺苷蛋氨酸治疗3 d后,改为泼尼松5 mg/d联合腺苷蛋氨酸治疗,6 d后患者肝功能相关指标下降,但未降至正常。患者行食管胃底静脉曲张术时因失血性休克死亡。


IgG4是血清中浓度最低的一种IgG亚型,大部分IgG4分子有两个不同的抗原结合位点,具有双重抗原特异性[2]。由于其在体内不断进行半分子交换,因此交联抗原的能力微弱。IgG4是低补体亲和力,无法激活补体系统或炎性细胞对抗原进行清除,因此具有抗炎活性[3],被称为以自然方式产生的"阻断抗体"。另外,IgG4分子通过与IgE的竞争作用参与免疫耐受,在某些感染性疾病中可抑制免疫过度反应[4]。随着对IgG4分子的逐渐认识,越来越多的血清IgG4水平升高的患者被发现,这些患者常伴随不同程度的肝功能损伤[3,5],但血清IgG4水平的升高是否与肝损伤有直接关系尚待进一步研究。本研究旨在通过详细分析4例血清IgG4升高伴肝损伤的典型病例,探讨血清IgG4升高是造成肝损伤的独立病因,还是仅为肝损伤时的伴随现象。
通过详细分析例1和例2可发现,IgG4-RD可作为独立的肝炎或肝硬化病因,具体原因如下:①2例患者均排除病毒性肝炎、药物性肝炎、自身免疫性肝病、酒精性肝病等常见肝损伤病因。②2例患者均以肝酶升高为主(例1 ALT>10倍正常值上限,AST>5倍正常值上限;例2 ALT>6倍正常值上限,AST>4倍正常值上限),胆酶仅轻度升高(例1 ALP>正常值上限,GGT>4倍正常值上限;例2 ALP正常,GGT>正常值上限)。影像学方面均未见明显胆管损伤。而在1型自身免疫性胰腺炎(autoimmune pancreatitis, AIP)或IgG4相关性胆管炎(IgG4-sclerosing cholangitis,IgG4-SC)造成的肝损伤中,以ALP和GGT升高为主[5,6],且影像学检查常提示不同程度的胆管损伤。因此2例IgG4-RD患者不可诊断为1型AIP或IgG4-SC。③根据Umemura等[7]和Chung等[8]检查提出的IgG4相关性自身免疫性肝炎(IgG4-related autoimmune hepatitis, IgG4-AIH)的诊断标准可以看出,患者均需首先满足AIH的诊断标准,而本报道的2例IgG4相关性肝病患者均不可诊断为AIH,因此也不可诊断为IgG4-AIH。综上所述,IgG4-RD可作为独立的肝炎或肝硬化病因。
乙型肝炎患者可伴随血清IgG4升高,分析例3使用抗病毒治疗前后的肝功能、HBV DNA和血清IgG4水平变化可以得出,使用抗病毒药物联合保肝药物治疗后,患者HBV DNA水平和肝功能可恢复正常,但血清IgG4水平仍为异常。因此可推测在乙型肝炎中,血清IgG4水平升高并非造成肝损伤的独立病因,而是肝损伤的伴随现象。在治疗伴血清IgG4升高乙型肝炎患者时,可优先予抗病毒联合保肝药物治疗,暂不予激素治疗。肝损伤情况缓解后,是否应用激素治疗也有待进一步研究。
酒精性肝病患者也可伴随血清IgG4升高,予激素联合保肝药物治疗后患者肝功能、血清IgG4可降至正常,停用激素及保肝药物后可能出现肝损伤复发,但血清IgG4未再次升高,表明酒精性肝病可能为该患者肝损伤的主要原因,血清IgG4可能与肝损伤无关。这一推断有待更多的病例证实。
随着对IgG4分子和IgG4-RD研究的不断深入,越来越多的临床医师意识到血清IgG4水平检测的重要性,然而临床上存在许多无法解释的血清IgG4升高的现象。本研究探讨了血清IgG4升高是造成肝损伤的独立病因还是仅为肝损伤时的伴随现象,为临床中疾病的诊断提供了指导。关于IgG4分子在疾病中的致病机制,尚有待进一步研究。





















