
版权归中华医学会所有。
未经授权,不得转载、摘编本刊文章,不得使用本刊的版式设计。
除非特别声明,本刊刊出的所有文章不代表中华医学会和本刊编委会的观点。
结肠溃疡性病变大多属疑难杂症,临床上需与结核病、IBD、淋巴瘤、白塞病、感染性肠病等鉴别;尤其是影像学检查发现肺部阴影且结核病实验室检查异常的患者,极难鉴别其结肠溃疡性病变与肠结核。系统性血管炎是一组以血管的炎症与破坏为主要病理改变的疾病,可隐匿性累及全身多个器官,以所属器官缺血、出血、炎症为主要表现[1]。系统性血管炎常累及皮肤、肾脏、肺、神经系统等,其临床表现复杂多样,无特异性,不易早期诊断。西安西京医院曾收治1例患者,其表现为肺部阴影、结肠溃疡、皮肤结节等多器官损伤,结合多次CT检查、病理活组织检查(以下简称活检)、结肠镜检查、抗结核诊断性治疗等与多学科讨论,最终排除结核病,考虑系统性血管炎,给予糖皮质激素治疗后好转。现综合讨论此例患者的诊治情况,旨在提高临床医师对该病的认识,今后能尽早明确诊断,及时治疗,改善预后。
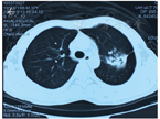
患者男,36岁,回族,因"口腔溃疡伴疱疹1年余,间断腹痛8个月"于2016年10月18日就诊于西京医院消化科。患者于2015年1月出现口腔溃疡,伴右侧颈部和胸部、背部疱疹(图1),高于皮肤表面,破损后见黄色液体,曾就诊西京医院皮肤科,考虑为免疫力低下,给予对症治疗(具体不详),但缓解不明显。2016年2月患者出现腹痛,以下腹部明显,为间断刺痛,无发热,无恶心、呕吐,无咳嗽、咳痰,无腹泻、便秘等症状,就诊于其他医院。胸部X线片显示左肺结核,胸部CT检查(图2)考虑结核病;混合淋巴细胞培养+干扰素测定A>300,混合淋巴细胞培养+干扰素测定B>150;胃镜检查显示慢性浅表性胃炎,结肠镜检查(未到达回盲部)所见肠段未见异常,小肠造影检查未见明显器质性病变。诊断为双肺继发性肺结核,给予四联(异烟肼+利福平+吡嗪酰胺+乙胺丁醇)抗结核治疗,患者腹痛症状明显缓解后出院,继续抗结核治疗。2016年5月25日患者再次出现腹痛,就诊于西京医院,小肠双源CT检查(图3)显示:盲肠内侧壁、回盲瓣、回肠末端肠壁轻度增厚,考虑炎性增厚,回盲部内侧有多发小淋巴结。6月7日因腹痛再次入住其他医院,考虑急性化脓性阑尾炎、局限性腹膜炎、肺结核。行阑尾切除术,术后病理显示急性化脓性阑尾炎及周围炎。经治疗后,患者腹痛症状消失。出院后继续四联抗结核治疗。2016年8月5日患者因腹痛就诊于其他医院,结肠镜检查显示回盲部可见巨大溃疡,覆灰苔,回盲部变形狭小,开口内径约3~4 mm,表面黏膜呈结节状或颗粒状。内镜检查诊断为回盲部溃疡,肠结核?回盲部梗阻。病理检查显示小块黏膜慢性炎伴肉芽组织形成。进一步行回盲部包块切除术,术后病理显示:"回盲部"黏膜及黏膜下层淋巴组织弥漫增生,黏膜表浅坏死、脓性渗出,肌层、浆膜层炎性水肿、炎症细胞浸润,符合溃疡性改变伴肠梗阻,"肠系膜淋巴结(5枚)"反应性增生改变,抗酸染色阴性,建议行免疫组织化学检查和会诊以排除淋巴瘤。2016年9月患者饮食不当后出现全腹胀,排便平均1次/d,最多2~3次/d,呈糊状、黄色,伴恶心、呕吐,无发热。考虑为肠梗阻,停用抗结核药物,给予胃肠减压,病情无改善。2016年10月13日西京医院病理科会诊:(回盲部)肠壁全层可见慢性炎症累及,淋巴组织增生,部分区域黏膜结构紊乱,黏膜下和系膜区见血管炎性改变;血管炎以小动脉为主,临床需进一步检测自身免疫有无异常,同时需结合系统表现排除结节性多动脉炎;未见肉芽肿结构,未见肿瘤性证据。为进一步诊治,以"回盲部炎症,结节性动脉炎待排,肠结核待排,肺结核,肠梗阻"收入院。入院时,患者精神差,体力差,胃肠减压状态,发病后体质量下降约10 kg,BMI为18 kg/m2。既往史、个人史、家族史无特殊。自述无毒物、药物及化学物质接触史,职业为铁路工人。否认嗜烟史和嗜酒史。






入院体格检查:生命体征平稳,颈部、胸部、背部可见散在片状紫褐色皮疹,无压痛,压之不褪色。右下腹可见一斜行长约4 cm的陈旧性手术瘢痕,以及一纵行长约10 cm的陈旧性手术瘢痕,均愈合良好。全腹无明显压痛,无反跳痛,无肌紧张,其余体格检查未见明显异常。
血常规白细胞计数为10.07×109/L,中性粒细胞占0.827,血红蛋白为102 g/L,血小板计数为172×109/L。粪便常规为粪便呈黄色,微稀,粪便隐血试验阳性。白蛋白为30.9 g/L,ESR为51 mm/1 h,超敏CRP为36.1 mg/L,自身抗体系列1∶100阳性,免疫球蛋白及补体系列正常,抗中性粒细胞胞质抗体阴性。甲胎蛋白为9.06 μg/L,CA125为67.99 kU/L,癌胚抗原为1.01 μg/L。结核感染T细胞斑点试验(tuberculosis infection T cell spot test,T-SPOT):抗原A为63斑点形成细胞(spot forming cell,SFC)/2.5×105外周血单个核细胞(peripheral blood mononuclear cell,PBMC),抗原B为0 SFC/2.5×105 PBMC。痰涂片浓缩法检查未见抗酸杆菌。
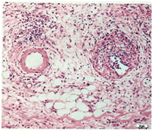
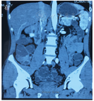
2016年10月21日皮肤结节活检病理提示:真皮浅层肉芽肿形成,周边可见多灶性淋巴组织增生及泡沫细胞浸润,同时可见血管周围炎改变,病变范围局限,非弥漫性分布。10月25日消化道造影提示:胃内滞留液多,蠕动减弱,胃排空缓慢,十二指肠淤积。10月31日胃镜检查显示慢性非萎缩性胃炎伴胆汁反流。11月1日结肠镜检查(图4)显示:吻合口(距肛门55 cm处)结肠侧可见巨大黏膜深凹陷,形态尚规则,底覆厚白苔,边缘黏膜充血水肿明显,取材质韧。内镜诊断为吻合口溃疡(性质结合病理),结肠部分切除术后,回结肠吻合术后。病理检查(图5)显示:黏膜慢性炎急性活动伴溃疡形成,未见明确恶性证据。11月14日进一步行CT引导下肺部阴影穿刺活检术,涂片偶见梭形细胞及少量坏死成分,建议结合病史及影像学综合考虑;病理诊断为肺组织慢性炎伴坏死及炭末沉着,过碘酸雪夫染色(periodic acid-Schiff stain,PAS)、抗酸染色、六铵银染色均阴性。11月16日复查胸、腹部双源CT及血管CT(图6,图7,图8)显示:①双侧肺动脉主干及分支未见异常,左肺上叶实性空洞灶较前变化不大,主动脉及主要分支显示正常;肠系膜上动脉分支显影纤细、稀疏,肠系膜下动脉主干纤细并分支稀疏。②胃壁明显肿胀,肠系膜有多发肿大淋巴结影。③空肠多发节段性肠壁增厚及狭窄、继发扩张,且较前明显;右下腹部回肠末端肠壁增厚,回盲部位于肝下缘并肠壁增厚。④左侧髂总动脉可见穿透性溃疡,管壁可见局限性瘤样凸起。










系统性血管炎。
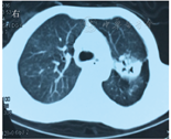
患者进食后呕吐,有间断右下腹隐痛,数字分级法(numeric rating scale,NRS)约3分,无发热,排便1次/d,无便血,无咳嗽、咳痰。持续胃肠减压,每日引流黄绿色液体约500~1 000 mL,给予加强营养支持。经多学科讨论,诊断为系统性血管炎。于2016年11月17日开始静脉滴注甲基泼尼松龙40 mg/d,并拔除胃管,鼓励患者进食,患者呕吐、食欲逐渐好转,腹痛减轻。10 d后改为醋酸泼尼松片40 mg/d,患者呕吐、腹痛逐渐消失,食欲、食量好转,体质改善后出院。继续采用醋酸泼尼松治疗并逐渐减量。2017年2月13日复诊,患者诉右下腹少许不适,无发热,排便1次/d,黄色软便,无咳嗽、咳痰,无胸闷、气短。复查ESR为29 mm/1 h;胸部CT检查(图9)显示:与2016年11月16日相比,左肺上叶空洞灶较前缩小,周围散在病变及左肺下叶背段结节基本同前。结肠镜检查(图10)显示:回肠末端未见明显异常,距肛门约50 cm处见回结肠吻合口,所见黏膜尚光滑,充血明显,触碰易出血,未见明显隆起及凹陷性病变,病变范围较前明显好转。嘱患者口服醋酸泼尼松20 mg/d, 3个月后门诊复诊。2017年5月患者为复查再次来院,一般状况良好,无腹痛、发热,无咳嗽、咳痰,排解黄色软便1次/d。嘱患者醋酸泼尼松逐渐减量至10 mg/d,3个月后再次复诊,并复查胸部CT、结肠镜等。




病理科李增山主任医师:综合患者回盲部手术后的大体标本和皮肤结节活检,均在光学显微镜下可见广泛的细胞破坏现象,淋巴细胞聚集,且以动脉壁出现严重的炎性反应为著,侵犯整个肠壁全层,未见明确结核依据,也未见肿瘤性疾病依据;CT引导下肺部阴影穿刺活检未见干酪性肉芽肿,抗酸染色阴性。故此患者考虑免疫性疾病如结节性动脉炎可能性较大,必要时可反复取材,进一步明确诊断。
放射科郑敏文主任医师:该患者的影像学检查主要从3个方面分析。①肺部:影像学提示左肺上叶空洞病灶,比较2016年2月和11月的CT检查,抗结核治疗7个月余,肺部阴影较前有缩小,但病变范围仍较大。患者肺部影像学改变在肺结核及血管炎性疾病中均可出现,故影像学检查不宜进行鉴别。②血管改变:2016年11月胸腹部CT检查提示肠系膜上下动脉分支显影纤细、稀疏,且左侧髂总动脉可见穿透性溃疡,管壁可见局限性瘤样凸起,但双侧肺动脉及主动脉主要分支未见血管损伤。③胃肠道:2016年11月CT检查提示胃壁明显肿胀,空肠多发节段性肠壁增厚及狭窄、继发扩张,较前明显;右下腹部回肠末端肠壁增厚,伴腹腔淋巴结肿大,无恶性疾病证据。
消化外科郑建勇副主任医师:中年患者,半年内已有两次腹部手术史,目前表现为恶心、呕吐,每日可自行排便,腹痛不明显,NRS约3分,为不全性肠梗阻,回盲部溃疡无恶性疾病证据,考虑患者长期禁食,体质差,腹腔内可能粘连严重,肠壁水肿,外科手术难度大,而且手术方式不易确定。因患者病史复杂,诊断不清,故建议继续内科保守治疗。
消化内科时永全主任医师:患者为中年男性,以口腔溃疡、皮肤结节为首发表现,随后出现腹痛、胸部X线片及CT检查可见肺部阴影,混合淋巴细胞培养+干扰素测定显示高水平阳性,最初诊断为肺结核、肠结核,首先给予正规四联抗结核治疗7个月,肺部阴影缩小不理想,故肺结核的证据不足。而且患者腹痛反复发作,行阑尾切除术及回盲部包块切除术,临床经过又类似CD,回盲部术后病理及皮肤结节活检病理均查见血管炎改变。结合患者存在左侧髂总动脉改变,综合上述病例特点,考虑诊断为系统性血管炎。糖皮质激素一般为系统性血管炎治疗的首选药物。治疗剂量因人、因病而异,给药方式可以口服或静脉冲击治疗[2]。应注意监测患者肺部阴影变化。待患者症状改善后,可逐渐开放饮食并观察,暂不推荐手术。
消化内科吴开春主任医师:患者为中年男性,病史长,临床表现为皮肤、肺部、结肠、左髂血管等多系统损伤,抗结核治疗过程中病情进展,皮肤结节活检及回盲部术后结肠病理均查见血管炎改变,同意诊断为系统性血管炎。同意首选糖皮质激素治疗,应密切观察肺部阴影变化,以及胃肠道症状改善情况。糖皮质激素参考用法:对于少数危重者常需要超大剂量糖皮质激素的冲击治疗,可静脉滴注甲基泼尼松龙0.5 g/d,使用3~6 d,而后口服泼尼松0.6~0.8 mg·kg-1·d-1,4周后逐渐减量,每周减5 mg,至10 mg/d维持[3]。若使用糖皮质激素后仍不能控制疾病活动,可联合使用细胞毒药物。因为长期使用中等以上剂量糖皮质激素的不良反应远远超过正规治疗的细胞毒免疫抑制剂的不良反应,并且许多系统性血管炎单用糖皮质激素不能诱导疾病缓解,所以应强调糖皮质激素与免疫抑制剂的联合使用。最常用治疗血管炎的细胞毒药物有环磷酰胺、甲氨蝶呤等[4]。对于难治性和复发者的治疗,可给予免疫球蛋白、抗胸腺细胞球蛋白、血浆置换、免疫吸附等措施[5,6]。患者行两次腹腔手术后,腹腔可能粘连、水肿,现在胃肠减压中,仍有间断呕吐,回盲部吻合口溃疡形成,但吻合口通畅,而且每日可自行排便,故暂不推荐外科手术。
目前,系统性血管炎的发病机制尚不确定,其临床表现多样、重叠,使其命名、定义、分类和诊断具有争议。按受累血管大小分类较为简单、实用,血管炎可分为以慢性肉芽肿为特征的大动脉及其分支病变、以坏死性炎症为特征的中动脉、以坏死性炎症和血栓栓塞为特征的微小动静脉病变[7]。系统性血管炎临床表现复杂,可分为原发性、继发性和单器官特异性[8]。研究发现,血管炎患者胃肠受累主要以胃肠血管损伤和胃肠黏膜微血管血栓形成为特征,临床表现主要为腹痛、腹泻、呕血、黑便、肠梗阻等[9]。内镜检查可见食管、胃、十二指肠、结直肠溃疡,病理检查多为肉芽肿或非肉芽肿性动脉炎、坏死性动脉炎和血管炎,CT检查提示肠壁增厚、缺血、坏死[10]。目前,系统性血管炎的治疗药物主要有糖皮质激素和细胞毒药物两大类,一般都需要长期治疗。但这两类药物长期应用都会引起严重不良反应。因此,有效控制炎症和避免治疗药物所带来的严重并发症,是治疗血管炎应遵循的原则。





















