
版权归中华医学会所有。
未经授权,不得转载、摘编本刊文章,不得使用本刊的版式设计。
除非特别声明,本刊刊出的所有文章不代表中华医学会和本刊编委会的观点。
慢性胰腺炎(chronic pancreatitis,CP)是一种迁延不愈的难治性疾病,因症状顽固,需终身治疗,严重影响患者生命质量,大大加重了社会的公共医疗负担。近年来,CP在全球发病率不断上升,其病因机制和诊疗方式不断更新,日本、美国和欧洲相继颁发了临床诊疗指南。中国医师协会胰腺病专业委员会慢性胰腺炎专委会牵头组织消化内科、胆胰外科、内分泌科、影像科和病理科等多学科专家,依据最新循证医学证据和国内外最新研究结果,参照多部国际CP指南,对我国《慢性胰腺炎诊治指南(2012,上海)》[1]进行了修订。
CP:是一种由遗传、环境等因素引起的胰腺组织进行性慢性炎症性疾病,其病理特征为胰腺腺泡萎缩、破坏和间质纤维化[2]。临床以反复发作的上腹部疼痛,胰腺内、外分泌功能不全为主要表现,可伴有胰管结石、胰腺实质钙化、胰管狭窄、胰管不规则扩张、胰腺假性囊肿形成等。
酒精性慢性胰腺炎(alcoholic chronic pancreatitis,ACP):CP患者平均乙醇摄入量男性>80 g/d、女性>60 g/d,持续2年或以上,且排除其他病因[3]。
复发性急性胰腺炎(recurrent acute pancreatitis,RAP):患者至少有2次急性胰腺炎发作史,缓解期无胰腺组织或功能异常改变,是一种特殊类型的胰腺炎[4]。
遗传性CP:CP患者家族中,在两代或以上的亲属中,存在至少2个一级亲属或至少3个二级亲属患CP或RAP[5]。
特发性CP:排除任何已知病因的CP患者。
脂肪泻:患者粪便内排出过多的脂肪,又称油花样腹泻,72 h粪便脂肪收集试验测定粪便脂肪含量>7 g/d[6,7]。
3c型糖尿病:一种继发于胰腺疾病的糖尿病,又称胰源性糖尿病,常发生于CP患者。
在全球范围内,CP的发病率为9.62/10万,死亡率为0.09/10万,CP患者中以男性为主,其数量约为女性的2倍[8]。美国成人CP发病率为24.7/10万,患病率为91.9/10万[9];日本CP发病率为14/10万,患病率为52.4/10万[10];印度CP的患病率最高,达到125/10万[11];我国2003年CP患病率约为13/10万,呈逐年增长的趋势[12]。
CP致病因素多样,由遗传、环境和(或)其他致病因素共同引起。酗酒是CP主要的致病因素之一,在西方国家和日本占50%~60%[10,13],在我国约占20%[14]。目前认为遗传因素在CP发病中起重要作用,常见易感基因包括阳离子胰蛋白酶原(cationic trypsinogen, PRSS1)、丝氨酸蛋白酶抑制因子Kazal 1型(serine protease inhibitor Kazal type 1,SPINK1)、人糜蛋白酶C(chymotrypsin C, CTRC)和囊性纤维化跨膜传导调节因子(cystic fibrosis transmembrane conductance regulator,CFTR)等[15,16,17]。遗传性CP为常染色体显性遗传,外显率为80%,主要突变位于PRSS1基因。我国特发性CP主要致病基因突变为SPINK1 c.194+2T>C[16]。此外,CP致病因素还包括高脂血症、高钙血症、胰腺先天性解剖异常、胰腺外伤或手术、自身免疫性疾病等,吸烟是CP独立的危险因素[18,19]。RAP是CP形成的高危因素,约1/3的RAP患者最终演变为CP[4]。
腹痛是CP最常见的临床症状,常为上腹部疼痛,可向腰背部放射。腹痛分为两型:A型为间歇性腹痛,包括急性胰腺炎及间断发作的疼痛,疼痛发作间歇期无不适症状,可持续数月至数年;B型为持续性腹痛,表现为长期连续的疼痛和(或)频繁的疼痛加重[20]。我国CP患者中A型腹痛占绝大多数(80%以上),B型腹痛占5%,约10%的患者无腹痛症状[14]。
胰腺外分泌功能不全早期可无任何临床症状,后期可出现体质量减轻、营养不良、脂肪泻等,我国CP患者脂肪泻发生率为22.9%[21]。胰腺内分泌功能不全可表现为糖耐量异常或糖尿病,我国CP患者糖尿病发生率为28.3%[22]。CP可出现假性囊肿、胆总管狭窄、十二指肠梗阻、胰瘘、胰源性门静脉高压、胰源性胸腹水、假性动脉瘤等并发症。诊断CP后,随访8年有1.3%的患者进展为胰腺癌[23]。
上腹部压痛,急性发作时可有腹膜刺激征。由于消化吸收功能障碍可导致消瘦、营养不良,青少年患者可影响发育。当并发巨大胰腺假性囊肿时,腹部可扪及包块。当胰头显著纤维化或假性囊肿压迫胆总管下段时,可出现黄疸。
可见胰腺区伴声影的高回声病灶、胰管形态变化等。因其灵敏度不高,仅作为CP的初筛检查。此外,对于假性囊肿等CP并发症具有一定的诊断意义。
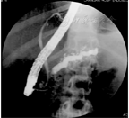
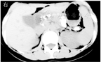
CP典型的CT表现为胰腺钙化、胰管扩张、胰腺萎缩,其诊断的灵敏度和特异度分别为80%、90%以上[24]。CT检查是显示胰腺钙化的最优方法(图2),CT平扫检查可显示胰腺微小钙化灶。常规MRI检查对CP的诊断价值与CT相似,对胰腺实质改变检查敏感,但对钙化和结石的显示不如CT。MRCP主要用于检查胆、胰管的病变,如主胰管扩张、胰腺先天变异、胆管扩张或狭窄等(图3)。




包括直接和间接试验。直接试验是评估胰腺外分泌功能最敏感、最特异的方法,但因成本高,属侵入性检查,临床应用受限。间接试验包括粪便检测、呼气试验、尿液试验和血液检测,其灵敏度和特异度相对不足,常用的检测方法有粪便弹性蛋白酶-1检测、13C混合三酰甘油呼气试验,胰泌素刺激磁共振胰胆管成像,可通过十二指肠充盈程度对胰腺外分泌功能进行半定量分级评估。
糖尿病的诊断标准为空腹血糖≥7.0 mmol/L或随机血糖≥11.1 mmol/L或口服葡萄糖耐量试验2 h血糖≥11.1 mmol/L[28]。尚未诊断糖尿病的CP患者建议每年检测1次血糖。3c型糖尿病患者胰岛β细胞自身抗体阴性,胰多肽基线水平下降,存在胰腺外分泌疾病,可与其他类型糖尿病相鉴别[29]。
重点对于特发性、青少年(起病年龄<20岁)及有胰腺疾病家族史的CP患者,可行基因检测,以CP患者外周静脉血DNA为样本,针对我国CP相关基因,如PRSS1、SPINK1、CTRC、CFTR等进行基因测序分析。
急性发作期可见血清淀粉酶升高,如合并胸、腹水,胸、腹水中的淀粉酶含量往往明显增加。血钙、血脂、甲状旁腺激素、病毒、免疫球蛋白G4等检查有利于明确病因。CP也可出现血清CA19-9增高,如明显升高,应警惕合并胰腺癌的可能。脂溶性维生素、血清白蛋白、前白蛋白、镁、视黄醇结合蛋白等指标有助于判断机体营养状况。
胰腺活组织检查方法主要包括CT或腹部超声引导下经皮胰腺穿刺、EUS-FNA及通过外科手术进行的胰腺活组织检查。由于活组织检查属有创检查,且CP具有特征性的影像学表现,目前不常规应用,主要用于CP与胰腺癌的鉴别诊断。
CP的基本组织学改变为胰腺腺泡组织的减少和纤维化。纤维化包括小叶间、小叶旁纤维化,或合并小叶内纤维化,可能伴随胰腺组织的慢性炎症浸润、胰管扩张等[30]。根据其组织病理改变,CP分为慢性钙化性胰腺炎、慢性阻塞性胰腺炎和慢性炎症性胰腺炎。慢性钙化性胰腺炎最多见,表现为散发性间质纤维化及胰管内蛋白栓子、结石形成和胰管损伤。慢性阻塞性胰腺炎因主胰管局部阻塞、胰管狭窄致近端扩张和腺泡细胞萎缩,由纤维组织取代。慢性炎症性胰腺炎主要表现为胰腺组织纤维化和萎缩及单核细胞浸润。当出现并发症时,也可见胰腺外器官的病理变化,如胆管梗阻、门静脉受压、血栓形成等。
CP的主要诊断依据:①影像学典型表现;②病理学典型改变。次要诊断依据:①反复发作上腹痛;②血淀粉酶异常;③胰腺外分泌功能不全表现;④胰腺内分泌功能不全表现;⑤基因检测发现明确致病突变;⑥大量饮酒史(达到ACP诊断标准)。
主要诊断依据满足1项即可确诊;影像学或组织学呈现不典型表现,同时次要诊断依据至少满足2项亦可确诊(表1)。CP的诊断流程见图6。

慢性胰腺炎影像学及组织学特征[31]
慢性胰腺炎影像学及组织学特征[31]
| 影像学和组织学 | 典型表现 | 不典型表现 |
|---|---|---|
| 影像学特征性表现 | 下列任何一项:①胰管结石;②分布于整个胰腺的多发钙化;③ ERCP显示主胰管不规则扩张和全胰腺散在不同程度的分支胰管不规则扩张;④ ERCP显示主胰管完全或部分梗阻(胰管结石或蛋白栓),伴上游主胰管和分支胰管不规则扩张 | 下列任何一项:① MRCP显示主胰管不规则扩张和全胰散在不同程度的分支胰管不规则扩张;② ERCP显示全胰腺散在不同程度分支胰管扩张,或单纯主胰管不规则扩张,或存在蛋白栓;③ CT检查示主胰管全程不规则扩张伴胰腺形态不规则改变;④超声或超声内镜显示胰腺内高回声病变(考虑结石或蛋白栓),或胰管不规则扩张伴胰腺形态不规则改变 |
| 组织学特征性表现 | 胰腺外分泌实质减少伴不规则纤维化。纤维化主要分布于小叶间隙,形成"硬化"样小结节改变 | 胰腺外分泌实质减少伴小叶间纤维化,或小叶内和小叶间纤维化 |
注:ERCP为内镜逆行胰胆管造影;MRCP为磁共振胰胆管造影;CT为计算机断层扫描


注:CP为慢性胰腺炎;CT为计算机断层扫描;MRI为磁共振成像;MRCP为磁共振胰胆管造影
根据CP的疾病病程和临床表现进行分期(表2),对治疗方案选择具有指导意义。临床上也可根据胰腺功能是否出现不全表现,分为代偿期和失代偿期。

慢性胰腺炎的临床分期
慢性胰腺炎的临床分期
| 临床分期 | 临床特征 |
|---|---|
| 0期(亚临床期) | 无症状 |
| 1期(无胰腺功能不全) | 腹痛或急性胰腺炎 |
| 2期(部分胰腺功能不全) | 胰腺内分泌或外分泌功能不全 |
| 3期(完全胰腺功能不全) | 同时出现胰腺内外分泌功能不全 |
| 4期(无痛终末期) | 同时出现胰腺内外分泌功能不全,且无疼痛症状 |
CP的治疗原则为祛除病因、控制症状、改善胰腺功能、治疗并发症和提高生命质量等。
CP患者需戒酒、戒烟,避免过量高脂、高蛋白饮食,适当运动。
治疗原则同急性胰腺炎[32]。
主要应用外源性胰酶替代治疗(pancreatic enzyme replacement therapy,PERT)。首选含高活性脂肪酶的肠溶包衣胰酶制剂,于餐中服用。疗效不佳时可加服PPI、H2受体拮抗剂等抑酸剂。营养不良的治疗以合理膳食+PERT为主,症状不缓解时可考虑补充中链三酰甘油。脂溶性维生素缺乏时可适当补充维生素D,尚无临床循证医学证据推荐补充维生素A、E、K[33]。
改善生活方式,合理饮食。怀疑存在胰岛素抵抗的患者,排除禁忌证后可选用二甲双胍治疗,其他不良反应显著的口服降糖药物不作首选;口服药物效果不佳时改为胰岛素治疗。对于合并严重营养不良患者,首选胰岛素治疗[33]。由于CP合并糖尿病患者对胰岛素较敏感,应注意预防低血糖的发生。
戒酒、戒烟、控制饮食等一般治疗。药物治疗采用胰酶制剂、抗氧化剂和生长抑素对疼痛缓解可能有效[34,35,36]。止痛药治疗遵循WHO提出的疼痛三阶梯治疗原则,止痛药物选择由弱到强,尽量口服给药。第一阶梯治疗首选对乙酰氨基酚,其消化道不良反应较NSAID的发生率低;第二阶梯治疗可选用弱阿片类阵痛药,如曲马多;第三阶梯治疗选用阿片类止痛药,但应注意肠麻醉综合征的发生,随着药物剂量增加,约6%的患者发展为痛觉过敏、腹痛程度加重[37]。因胰管狭窄、胰管结石等引起的梗阻性疼痛,可行内镜介入治疗(详见下文内镜介入治疗)。其他介入治疗方法如CT、超声内镜引导下的腹腔神经阻滞术等,短期疼痛缓解率约50%,但其远期止痛效果不佳,并发症发生率较高,目前开展较少[38]。内科及介入治疗无效时可考虑手术治疗。对于部分有疼痛症状并伴有主胰管扩张的CP患者,在中长期疼痛缓解方面,手术优于内镜治疗[33]。
CP内镜治疗的主要适应证为胰管结石、胰管狭窄、胰腺假性囊肿、胆管狭窄等,有利于缓解胰源性疼痛,改善患者生命质量。
CP可根据主胰管是否通畅分为主胰管梗阻型与非主胰管梗阻型。主胰管梗阻通常由胰管狭窄、胰管结石、胰管解剖异常等因素导致[14]。对于疼痛伴主胰管梗阻的患者,内镜治疗可有效缓解症状。通过内镜治疗解除梗阻后,CP患者疼痛完全缓解或部分缓解率可达71%和24%[39]。内镜治疗是解决CP梗阻性疼痛的首选方法。内镜治疗后,临床上宜评估6~8周,如果疗效不满意,可考虑手术治疗[33]。
胰管结石根据X线可否透过分为阳性结石与阴性结石,可单独或多发存在,主要分布于胰头部[39]。对于体积较小的主胰管结石,ERCP可成功完成引流。对于最大径>5 mm的主胰管阳性结石,首选体外震波碎石术(extracorporeal shock wave lithotripsy,ESWL)治疗[40],碎石成功后可再行ERCP取石,ESWL+ERCP的主胰管结石完全清除率达70%以上,主胰管引流率达90%[39,41]。与ESWL联合ERCP治疗相比,单纯ESWL治疗可能也获得理想的结石清除及疼痛缓解[42]。ESWL术后并发症主要包括胰腺炎、出血、石街、穿孔、感染等,发生率约为6%,大多数经内科保守治疗可痊愈[43]。
主胰管狭窄的治疗原则为解除狭窄,充分引流胰液。ERCP胰管支架置入是最主要的治疗方法,辅以胰管括约肌切开、狭窄扩张等操作,疼痛缓解率可达70%以上[44]。治疗首选置入单根胰管塑料支架,可定期或根据患者症状更换支架,支架通常留置6~12个月[45]。如10Fr支架留置12个月狭窄未改善,可考虑置入多根塑料支架或全覆膜自膨式金属支架[46]。ERCP治疗时,对于主胰管严重狭窄或扭曲,导致反复插管不成功者,可以尝试经副乳头插管;对于ERCP操作失败者,可采用超声内镜引导下胰管引流术,该技术难度大、风险高,仅推荐在内镜经验丰富的单位开展[47]。
CP合并良性胆总管狭窄的发生率约为15%,其中约半数患者会出现相应症状[14]。当胆总管狭窄合并胆管炎、梗阻性黄疸或持续1个月以上的胆汁淤积时,可行ERCP下胆道支架置入治疗。置入多根塑料支架者可定期或根据症状更换支架,治疗周期常为12个月,其长期有效率与胆道自膨式覆膜金属支架相仿,均为90%左右,明显优于置入单根胆道塑料支架[48,49,50]。
①保守治疗或内镜微创治疗不能缓解的顽固性疼痛;②并发胆道梗阻、十二指肠梗阻、胰腺假性囊肿、胰源性门静脉高压伴出血、胰瘘、胰源性腹水、假性动脉瘤等,不适于内科及介入治疗或治疗无效者;③怀疑恶变者;④多次内镜微创治疗失败者。
遵循个体化治疗原则,根据病因、胰管、胰腺及胰周脏器病变特点、手术操作者经验、并发症等因素进行术式选择。主要包括胰腺切除术、胰管引流术及联合术式3类。
胰腺切除术包括标准胰十二指肠切除术(pancreaticoduodenectomy, PD)或保留幽门胰十二指肠切除术(pylorus-preserving pancreaticoduodenectomy, PPPD),适用于胰头部炎性肿块伴胰胆管及十二指肠梗阻、不能排除恶性病变、胰头分支胰管多发性结石者。胰体尾切除术适用于炎性病变、主胰管狭窄或胰管结石集中于胰体尾部者。中段胰腺切除术适用于胰腺颈体部局限性炎性包块,胰头组织基本正常,胰尾部病变系胰体部炎性病变导致的梗阻性改变者。全胰切除术适用于全胰炎性改变、胰管扩张不明显或多发分支胰管结石、其他切除术式不能缓解疼痛者,有条件的中心推荐同时行自体胰岛细胞移植,以保留患者内分泌功能。
胰管引流术可最大限度保留胰腺的功能,主要为胰管空肠侧侧吻合术,适用于主胰管扩张、主胰管结石为主、胰头部无炎性肿块者。
联合术式指在保留十二指肠和胆道完整性基础上,切除胰头部病变组织,解除胰管及胆管的梗阻,同时附加胰管引流的手术。主要手术方法有Beger术及改良术式、Frey术、Izbicki术(改良Frey术)及Berne术。Beger手术又名保留十二指肠的胰头切除术,主要适用于胰头增大的CP患者。该术式与PD或PPPD相比,术后并发症和患者生命质量改善程度相当[58]。Frey手术适用于胰头肿块较小且合并胰体尾部胰管扩张伴结石的患者,胰头切除范围较前者小,有局部复发和减压引流不充分的可能性。Izbicki术较Frey术胰头切除范围大,包含钩突中央部分,同时沿胰管长轴"V"形切除部分腹侧胰腺组织,可以做到主胰管和副胰管的引流,引流效果较好。Berne术切除部分胰头组织,确保胆管和胰管引流,保留背侧部分胰腺组织,不切断胰腺。该术式相对简单,严重并发症较少,住院时间短,在缓解疼痛、保留胰腺内、外分泌功能等方面与Beger术相似[59]。
CP的治疗是内科、外科、消化内镜、麻醉和营养等多学科的综合治疗,治疗流程见图7。建议采取药物-ESWL-内镜-手术(medicine-ESWL-endotherapy-surgery,MEES)阶梯治疗模式[60]。


注:CP为慢性胰腺炎;PERT为外源性胰酶替代治疗;ERCP为内镜逆行胰胆管造影;ESWL为体外震波碎石术
CP是一种进行性疾病,部分患者病情相对稳定,持续进展者可发生内、外分泌功能不全或胰腺癌,应定期随访,通过实验室检查、CT/MRI检查、问卷调查等方式,对患者胰腺内外分泌功能、营养状况、生命质量等进行评估。此外,鉴于肿块型CP与胰腺癌鉴别困难且为胰腺癌的高危因素,建议每3个月随访1次,行肿瘤指标、影像学等检查;若未见明显异常,可适当延长随访时间。
参加本指南修订的专家(按姓氏笔画排序):王伟,王华,王铮,王琳,王鹏,王立生,王宏光,王单松,王春友,王修齐,车在前,白辰光,白雪莉,冯缨,吕芳萍,朱克祥,任旭,任延刚,刘丕,刘一品,刘立新,刘改芳,刘杰民,许威,许晓勇,孙昊,孙志广,杜奕奇,李刚,李强,李鹏,李静,李延青,李兆申,李启勇,李明阳,李晓斌,李惠萍,杨红,杨云生,杨妙芳,杨建锋,杨智清,肖斌,吴浩,吴晰,吴国生,邹文斌,辛磊,沈岩,张红,张波,张蕾,张明刚,张荣春,陆岽,陆逢春,阿依努尔·阿合曼,陈丹磊,陈汝福,陈国栋,邵卓,邵成伟,邵晓冬,林青,旺加,金钢,周小江,周思思,郎韧,赵义军,胡良皞,贺奇彬,袁方,贾玉良,党彤,殷涛,郭旭,郭涛,唐才喜,唐涌进,黄力,黄李雅,曹亚南,常晓燕,韩钧凌,覃山羽,程礼,雷宇峰,蔡建庭,蔡振寨,廖专,谭向龙,颜廷梅
主要起草者:邹文斌,吴浩,胡良皞,任旭,金钢,王铮























