
版权归中华医学会所有。
未经授权,不得转载、摘编本刊文章,不得使用本刊的版式设计。
除非特别声明,本刊刊出的所有文章不代表中华医学会和本刊编委会的观点。
患者女,26岁,已婚、已育,因"反复上腹痛6年,加重1个月"于2017年8月30日入院。患者自诉6年前无明显诱因出现上腹部疼痛,呈阵发性刺痛,与饮食、体位改变无明显关系,无放射痛,偶有恶心、嗳气,无呕吐,无畏寒、发热,伴有粪便干结,3~7 d排便1次,无解黏液便或脓血便等。曾在当地医院行胃镜检查提示"慢性胃炎"。近1个月腹痛发作较频繁,可向腰背部放射,伴有恶心、呕吐,呕吐物为胃内容物。患者既往体健,否认常见基础疾病,月经略不规律。
入院后体格检查:营养中等,腹部平坦,未见胃肠型及蠕动波,未见腹壁静脉曲张,腹软,剑突下有压痛,未触及腹部肿块,麦氏点无压痛、反跳痛,胆囊未及,墨菲征阴性,肝脾肋下未及,肝区无叩击痛,肝浊音界存在,双肾区无明显叩击痛,移动性浊音阴性,肠鸣音正常。
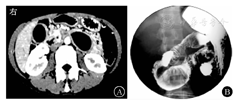
实验室检查:血常规示白细胞计数为3.82×109/L,中性粒细胞占比为0.358,红细胞计数为4.51×1012/L,血红蛋白为118 g/L,血清肿瘤标志物、血生物化学指标、ESR、尿粪常规检查均未见异常。电子胃镜检查示十二指肠降部黏膜下隆起(图1A)。超声胃镜提示十二指肠降部固有肌层低回声病灶(图1B)。上腹部CT增强检查示十二指肠水平部与升部交界处类圆形低密度影,考虑肠重复畸形或肠壁来源囊性良性病变可能性大(图2A)。上消化道钡剂造影检查提示十二指肠降部与水平部交界处外压性充盈缺损,可随肠管蠕动,考虑重复畸形可能性大(图2B)。




临床诊断考虑十二指肠重复畸形。完善术前检查未见明显手术禁忌证,决定行内镜下囊肿开窗术。见图3,予黏膜下注射亚甲蓝肾上腺素0.9%NaCl溶液,抬举可,切开黏膜约2 cm长,见少许清亮液体流出,显示囊壁,继续切开囊壁约2 cm,见大量黄色清亮液体涌出,并见囊壁内黏膜结构,予活组织检查。创面见少许渗血,予电凝止血后出血停止。术后再次入镜,内镜易于通过十二指肠球部和降部交界处。术后病理示:送检2份肠黏膜组织,其中一份部分被纤维组织构成的囊壁包绕,另一份见少许平滑肌组织。结合临床,符合十二指肠重复畸形改变。术后患者腹痛症状消失,1周后复查上腹部CT增强检查提示囊肿消失。


消化系统重复畸形是一种少见的消化道先天性畸形,目前多认为是由于肠道在胚胎发育过程中发育异常所致。理论上畸形可发生于肠道的任何部位,但文献报道以小肠多见[1],约占57%,而小肠重复畸形绝大多数位于回肠末端,其次位于十二指肠降部[2]。肠道重复畸形病理上分为4型:Ⅰ型为肠外囊肿型,Ⅱ型为肠内囊肿型,Ⅲ型为管型或双肠腔型,Ⅳ型为胸内消化道重复畸形[3]。十二指肠重复畸形常发生在十二指肠圈的内侧,呈囊性,所以临床上又称为肠源性囊肿。其组织学特点是重复畸形的壁层组织在组织学结构上与正常的肠道极为相似,有黏膜层和肌层,并与正常的肠壁共有一层浆肌层,二者的血液供应为同一来源[4]。囊肿内容物透明,无色或微黄,呈黏液状,有时含有胆汁。囊肿大小及形态表现多样,小的仅蚕豆大小,不具有特征性表现,临床诊断困难;大的囊性病灶可占据大部分腹腔,消化道钡剂造影表现为十二指肠降部或水平部的充盈缺损;肠外囊肿型且囊肿较大并有入口和出口者则囊肿显影,消化道钡剂造影有特征性表现。
十二指肠重复畸形的治疗既往主要以外科手术为主,手术方式各异,主要包括抽吸、外引流、袋状缝合、局部切除、开窗术及空肠囊肿吻合术等。抽吸、外引流、袋状缝合因不能去除病灶,术后症状不能消除,现已不采用。局部切除并行消化道重建有损伤血管、胆管和胰管的风险,但随着外科技术的发展,此类并发症逐渐减少,局部切除术可取得良好的效果[5]。亦有单纯行空肠囊肿吻合而获成功的报道[6]。直视下囊肿开窗术是治疗十二脂肠重复畸形的经典术式之一,采用此法可取得良好的效果[7]。随着腔镜技术的发展,内镜治疗领域越来越广,本例患者采用胃镜下囊肿切开术,经验是切开囊壁约2 cm,不至于因开窗小而解决不了症状或引起食物潴留。经治疗后患者腹痛症状消失,1周后复查上腹部增强CT提示囊肿消失。本病例首次探讨了内镜治疗十二指肠重复畸形的安全性和可行性。随着内镜治疗技术的发展,内镜治疗有望为肠道重复畸形患者提供一种新的治疗方法。





















