
报道1例以腹痛、反复肠梗阻为主要表现的青年患者,由于急性肠梗阻加重最终行外科手术治疗,并通过手术病理明确为罕见的肠道疾病,即特发性肠系膜静脉肌内膜增生症。
版权归中华医学会所有。
未经授权,不得转载、摘编本刊文章,不得使用本刊的版式设计。
除非特别声明,本刊刊出的所有文章不代表中华医学会和本刊编委会的观点。
患者男,29岁,因"反复腹痛1个月余"入院。患者1个月前反复出现饱食后腹胀、腹痛,伴呕吐,呕吐物为胃内容物,至当地医院就诊,行腹部CT检查提示不全性肠梗阻,盆腔少量积液;胃镜检查提示反流性食管炎;肠镜检查提示回肠末端、结直肠未见明显异常。当地医院按照肠梗阻予以对症治疗后好转出院。出院后患者仍有反复进食后腹胀、腹痛、呕吐发作,遂于2017年9月14日至中山大学附属第六医院就诊。患者平素无口腔溃疡、关节痛、皮疹,两便无异常,发病以来体质量下降10 kg。追问既往史,3个月前因触及右侧腹股沟包块于外院行超声检查提示腹股沟斜疝,平时可自行手法还纳。平素无嗜烟酒。
入院体格检查:体温36.5 ℃,脉搏86次/min,呼吸20次/min,血压110/60 mmHg(1 mmHg=0.133 kPa),心肺未见特殊表现,腹软,脐周和右下腹可见肠型,右下腹有轻压痛,无反跳痛,肠鸣音6次/min。实验室检查:血红蛋白158 g/L,白细胞计数7.0×109/L,血小板计数272×109/L,尿常规未见异常,粪便隐血试验阳性,肝功能、肾功能、凝血功能、电解质、肿瘤相关标志物均在正常范围,白蛋白45 g/L,ESR 10 mm/1 h,CRP 0.6 mg/L,结核感染T细胞斑点试验、结核菌素试验、乙型肝炎5项、丙型肝炎抗体、抗核抗体、抗双链DNA抗体、抗可溶性抗原抗体、抗中性粒细胞胞质抗体均为阴性。CT小肠造影检查提示第6组小肠肠壁增厚强化,最厚处约为0.9 cm;局部肠段狭窄,近端肠管扩张,最大径为3.2 cm;肠系膜脂肪密度增高,可见"梳样征";肠系膜根部淋巴结增多,径长约为1.0 cm,呈均匀强化(图1)。


患者CT小肠造影检查后出现剧烈腹痛、腹胀伴呕吐大量胃液,体格检查可见腹部膨隆,右下腹、脐周有压痛、反跳痛,腹肌紧张,急查腹部X线平片提示不全性小肠梗阻,结合病史考虑患者小肠梗阻并局部穿孔可能性大,予以急诊外科手术探查。术中可见腹腔内大量脓性液体,距回盲部10 cm处近端长约30 cm小肠纠结成团,与膀胱和乙状结肠有大量脓苔粘连,累及肠段水肿明显,系膜侧肠壁稍增厚,可见狭窄和穿孔部位,穿孔直径约1 cm,近端小肠稍扩张。探查其余结肠和小肠未见明显异常。结合术前检查及术中所见,术中遂决定行"部分小肠切除+回肠双腔造口+腹腔引流术",术中切除累及肠段共约30 cm(图2)。


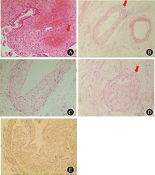
术后患者恢复可。见图3,术后病理提示小肠粘连破溃处小肠黏膜糜烂,伴炎性肉芽组织形成,血管扩张、充血和广泛出血,局部穿孔,穿孔处纤维组织增生,并见大量中性粒细胞浸润,浆膜层见大量炎性渗出物,肠壁内部分中等大小静脉管壁增厚,肌内膜增生,管腔狭窄,动脉无明显病变,符合小肠缺血穿孔的病理改变;免疫组织化学结果提示肠壁内静脉壁增厚,增生的肌内膜平滑肌肌动蛋白为阳性。


结合病史、术中探查所见、影像学及病理结果,患者特发性肠系膜静脉肌内膜增生症诊断明确。术后3个月随访患者无明显不适,体质量增加10 kg。返院复查肠镜,分别经造口向小肠两端进镜所见黏膜无异常,同时经肛门进镜所见结肠黏膜充血、红肿、质脆,呈转流性肠炎改变(图4)。


特发性肠系膜静脉肌内膜增生症是一种罕见的肠道炎症性疾病,于1991年由Genta和Haggitt[1]首先发现,迄今为止全世界约报道20余例,国内尚鲜见报道。其临床症状和内镜表现与IBD类似,但没有IBD的病理依据,病理表现以缺血性改变为主。由于特发性肠系膜静脉肌内膜增生症通常只能经手术后病理诊断,对于轻度、中度的病例往往得不到明确的诊断,发病率可能被低估。文献报道,特发性肠系膜静脉肌内膜增生症平均发病年龄约为59岁,男女比为2.7∶1,累及乙状结肠、直肠者最为常见(约占80%),也可见累及降结肠、空肠、回肠者[2]。
特发性肠系膜静脉肌内膜增生症临床上通常以体质量下降、血便、腹痛为主要表现,逐渐发展可出现肠道梗阻表现。典型病理表现为增厚肠段处的肠系膜小、中静脉平滑肌增生,平滑肌肌动蛋白染色为阳性。弹性蛋白染色可见肠系膜动脉内膜处呈阳性,而肠系膜静脉处缺如[3]。
目前特发性肠系膜静脉肌内膜增生症的发病机制和病理生理学过程尚不明确。静脉肌内膜增生并不是该病的特异表现,其最常见于冠状动脉旁路移植术中被移植的隐静脉和血液透析患者手臂动静脉瘘中的静脉侧[4,5]。这种静脉内膜增生的改变也被称为静脉"动脉化"。既往研究推测,由于肠系膜静脉的内膜增生导致静脉逐渐狭窄、闭塞,从而引起肠壁的淤血,导致肠道出现慢性缺血性改变并引起一系列临床症状[2]。
特发性肠系膜静脉肌内膜增生症常因误诊为IBD而给予相应的内科治疗,患者常因病变进展或诊断不明而接受手术。局部病变肠段切除术是常用的手术方式。本例患者起病后肠道狭窄进展迅速,出现肠梗阻表现,入院后出现肠道急性穿孔及弥漫性腹膜炎改变,最后亦是通过手术病理诊断该病。
特发性肠系膜静脉肌内膜增生症是值得内科医师尤其是IBD专科医师关注的疾病,对于部分经反复内科治疗无效的IBD需要注意与该病鉴别诊断。特发性肠系膜静脉肌内膜增生症经过手术治疗切除病变肠段后一般无复发,其长期预后仍需要进一步随访证实。
所有作者均声明不存在利益冲突





















