
1例主要以十二指肠降部溃疡为首发临床表现的肠病相关T细胞淋巴瘤Ⅱ型患者,多次内镜下行活组织病理检查,未提示恶性病变。患者出现十二指肠梗阻后,经多学科诊疗模式讨论,由外科行十二指肠狭窄成形术,经病理检查明确诊断。
版权归中华医学会所有。
未经授权,不得转载、摘编本刊文章,不得使用本刊的版式设计。
除非特别声明,本刊刊出的所有文章不代表中华医学会和本刊编委会的观点。
肠病相关T细胞淋巴瘤(enteropathy-associated T-cell lymphoma, EATL)发病率较低,临床上较为罕见,比例不足非霍奇金淋巴瘤的1%,其疾病呈侵袭性,多表现为顽固性肠道溃疡,常以穿孔为首发表现,需要通过外科手术后的病理检查以明确诊断。EATL预后差,患者生存期短[1,2,3,4]。EATL的内镜下表现多以溃疡病变为主且以回肠为好发部位,内镜下活组织病理检查不易明确诊断,故临床上与CD、UC等良性疾病鉴别难度大,易导致漏诊、误诊[5,6,7,8]。本例患者病变主要累及部位为十二指肠降部,较为罕见,以十二指肠降部溃疡为首发临床表现,疑似CD或嗜酸细胞性胃肠炎(eosinophilic gastroenteritis)等,经多次内镜下活组织病理检查均未提示恶性病变。患者出现十二指肠梗阻后,在外科行狭窄成型术,经病理检查最终明确诊断为EATLⅡ型。现综合探讨其诊疗情况。
患者男,42岁,因"上腹痛伴腹胀3个月"入院。2017年10月于当地县医院就诊,胃镜检查提示十二指肠降部增殖性病灶。病理检查为慢性炎症。予抑酸、护胃治疗。患者腹痛、腹胀未见明显好转,可正常进食,2017年12月27日入东部战区总医院,发病期间患者仍有轻度腹痛,正常进食后无恶心、呕吐,无进食困难,无发热,体质量无明显减轻。患者既往有糖尿病病史2个月,口服二甲双胍0.5 g/次(3次/d),血糖控制在正常范围内。无酗酒、吸烟史。体格检查:体温为36.5 ℃,呼吸频率为16次/min,心率为88次/min,血压为120/78 mmHg(1 mmHg=0.133 kPa),腹软,上腹部轻度压痛,无反跳痛。口腔、肛周无溃疡性病变。
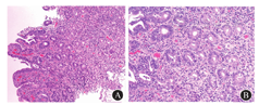
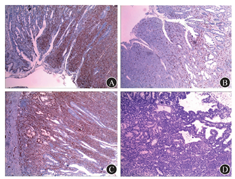
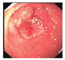
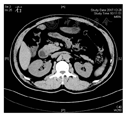
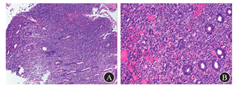
白细胞计数为8.8×109/L,嗜酸性粒细胞占0.032,血红蛋白为128 g/L,CRP为10.4 mg/L。血生物化学检查正常,ESR为19 mm/1 h。粪便隐血试验阳性,粪便钙卫蛋白为35 μg/g。自身抗体:抗核抗体阴性,血核周型抗中性粒细胞胞质抗体(peripheral anti-neutrophils cytoplasmic antibody,p-ANCA)阴性,抗酿酒酵母抗体(anti-Saccharomyces cerevisiae antibody, ASCA)阴性。结核感染T细胞斑点试验(T-cell spot of tuberculosis test,T-spot.TB)为276.5 pg/mL。肿瘤标志物阴性。2017年12月27日胃镜检查(图1)提示十二指肠降部溃疡。H.pylori阴性。2017年12月27日结肠镜检查(图2)提示回盲瓣溃疡;病理检查提示回盲瓣黏膜中度急慢性炎。2017年12月28日胃镜活组织病理检查(图3)提示黏膜重度慢性炎,间质内可见多量嗜酸性粒细胞浸润,50个/高倍视野,伴慢性溃疡,部分上皮呈低级别上皮内瘤变。免疫组织化学示CKpan(上皮+),CD68(组织细胞+),CD34(血管+),Ki-67约30%。2017年12月28日小肠CT检查(图4)显示十二指肠降部局部及水平段管壁增厚。2018年2月患者因进食困难再次行胃镜检查,病理检查提示黏膜重度慢性炎(图5)。2018年3月13日上消化道碘水造影(图6)显示十二指肠降部梗阻。2018年3月19日行剖腹探查、十二指肠狭窄成型、胃造口术,术中发现十二指肠降部和水平部交界处有一瘢痕性狭窄病灶,并与横结肠系膜有局灶性致密粘连,游离此处粘连后即可完全内翻十二指肠和胰头。十二指肠降部和水平部狭窄处宽约0.5 cm,近似完全向心性缩窄,狭窄远、近端肠管均质软,充盈良好,未见明显肿瘤样改变。术中快速病理检查提示:① 可见十二指肠组织、血管、纤维及脂肪组织,灶性见严重挤压变形的淋巴样;② 腹膜后淋巴结反应性增生。考虑良性疾病可能。术后病理检查(图7)显示:十二指肠黏膜肿物黏膜内及黏膜下层有异型肿瘤细胞弥漫浸润,核型不规则,伴绒毛萎缩。免疫组织化学检查(图8A至图8C)显示:CD3阳性,CD4阴性,CD8阴性,CD56阳性。T细胞受体基因重排检测阳性,EB病毒编码核糖核酸(Epstein-Barr virus-encoded RNA,EBER)原位杂交与免疫组织化学双重染色法阴性(图8D),考虑为单形性嗜上皮性小肠T细胞淋巴瘤(monomorphic epitheliotropic intestinal T-cell lymphoma, MEITL),相当于原WHO分类EATLⅡ型。
















① EATLⅡ型;② 十二指肠降部梗阻。
2017年12月给予加强抑酸、肠内营养治疗。2018年2月因进食困难,在导丝引导下置入鼻空肠管,行鼻饲肠内营养。2018年3月2日开始予甲泼尼龙40 mg/d静脉滴注3 d,胃管引流物减少,梗阻症状稍好转,静脉注射甲泼尼龙10 d后胃液再次明显增多。2018年3月19日为明确病因、解除梗阻,患者全身麻醉下行剖腹探查、十二指肠狭窄成形、胃造口术。术后病理明确诊断后,患者要求回当地医院休养。2018年4月9日,患者发生腹膜炎、感染性休克,再次入东部战区总医院行腹腔穿刺引流和抗感染等治疗,而后出院。2018年7月6日,入东部战区总医院行全身静脉营养,因术后出现感染性休克,故未使用包括糖皮质激素的环磷酰胺+多柔比星+长春新碱+泼尼松(CHOP)方案,而选择环磷酰胺+长春地辛+表柔比星(COA)方案。随访至截稿,患者体质量增加10 kg。
消化内科主治医师魏娟:患者为中年男性,病程较短,以上腹痛伴腹胀为首发症状,多次胃镜检查均提示十二指肠降部溃疡,并且病情进展迅速,短期内出现上消化道梗阻,有恶性行为学表现,所以首先考虑十二指肠降部溃疡为恶性病变。十二指肠恶性肿瘤以腺癌最为常见,十二指肠腺癌好发于十二指肠降部,以乳头部多见,多以隆起性病变为主,内镜下表现多以菜花状或息肉状为主。但此例患者内镜下表现为溃疡性病变,血肿瘤相关指标也未见异常,腹部CT检查未见腹腔淋巴结肿大等,胃镜活组织病理检查未提示十二指肠腺癌、淋巴瘤等恶性疾病证据,故尚需考虑由良性疾病所致的十二指肠降部溃疡,导致溃疡的常见良性疾病包括CD、嗜酸细胞性胃肠炎、白塞综合征、结核感染等。本例患者仅内镜病理活组织检查提示嗜酸性粒细胞浸润,诊断嗜酸细胞性胃肠炎的证据不足。初步考虑疑似CD,给予糖皮质激素治疗后梗阻症状仍未缓解,需进一步行外科手术,以解除梗阻,明确病理诊断。
影像科周长圣主治医师:此例患者在十二指肠降部出现深大溃疡并出现肠腔狭窄及梗阻,影像学方面与小肠腺癌难以鉴别。小肠淋巴瘤的病变肠管可呈不规则增厚,会导致肠管环形不规则狭窄。小肠淋巴瘤好发于小肠远端,病变肠管一般能保持一定程度的柔软度和扩张度,很少出现肠腔狭窄及梗阻,病灶一般较光滑,肠腔周围的脂肪层常存在,其特征性表现为受累的肠管呈"动脉瘤样"扩张[9]。在影像学方面需要与小肠腺癌相鉴别,小肠腺癌好发于小肠近端,管壁形态较僵硬,管腔易出现向心性狭窄,且小肠腺癌边缘多不规则,会向周围方向表现出浸润性生长。CD多累及小肠,病变多呈节段性分布,孤立性的深大溃疡较为罕见,且CD急性期可出现肠壁增厚,黏膜下水肿,严重时可表现为分层样表现或"靶征",此外可伴有小肠系膜血管纠集增多,呈典型的小肠系膜"尺梳征"[10]。此例患者出现十二指肠降部孤立性溃疡,且无明显"尺梳征"等CD典型CT检查表现,需进一步手术以明确溃疡性质,确定下一步治疗方案。
病理科马捷主任医师:此例患者内镜下反复活组织检查均提示炎症细胞浸润,无典型的"非干酪样肉芽肿"病理表现,诊断CD证据不足。在光学显微镜下可见大量嗜酸性粒细胞浸润,嗜酸细胞性胃肠炎通常无组织学的破坏,但多种原因可导致胃肠道组织嗜酸性粒细胞浸润,如肿瘤、过敏、感染,甚至某些IBD。十二指肠腺癌好发于十二指肠降部,内镜下多表现为"菜花状"或"息肉状"隆起性病变,出现腺体破坏、细胞异型等病理表现。此例患者十二指肠降部病变呈溃疡性改变,且多次内镜下活组织检查仅提示炎症细胞浸润,腺体结构尚完整,故诊断十二指肠腺癌无病理学证据。原发性胃肠道T细胞淋巴瘤发病率低,恶性程度高,预后差。肿瘤细胞呈高度异质性,肿瘤大小形态相对单一,疾病早期肿瘤细胞多局限于溃疡区域,伴有肉芽组织和炎症细胞的浸润,但肿瘤细胞多伴有大量嗜酸性粒细胞,一些病例中炎症细胞较多,掩盖了相对较少的肿瘤细胞,肿瘤旁黏膜常表现为肠病性的绒毛萎缩、腺管上皮增生、浆细胞增多等,肠病的程度可有不同,部分病例只表现上皮间淋巴细胞增多。据WHO关于淋巴瘤的诊断标准,Ⅱ型EATL患者可检出EB病毒阴性的T细胞[11]。本例患者肿瘤细胞具有T细胞免疫学标志:CD3阳性,CD4阴性,CD8阴性,CD56阳性,并出现T细胞受体基因重排和EBER阴性。本例患者无职业接触史,无EB病毒及人类免疫缺陷病毒接触史等淋巴瘤发病诱因。肠道淋巴瘤特别是小肠淋巴瘤的诊断较为困难,病灶多位于固有膜、黏膜下层等较深的位置,难以取得满意的组织学标本而获得正确的病理诊断。此例患者也行多次内镜活组织病理检查,但未能明确诊断,在不排除淋巴瘤时需及时安排必要的检查,特别是重复内镜检查与活组织检查,避免漏诊。如患者有手术指征,需行剖腹探查以确诊。病理科也需反复切片、仔细阅片、专家会诊以提高诊断阳性率。
普外科王新波主任医师:此例患者以十二指肠溃疡为主要表现,渐进性出现梗阻,内科治疗无效,病情发展迅速,恶性疾病不能排除,但无病理学证据支持。目前患者出现肠梗阻,需手术解除肠梗阻,但因病因尚不明确,故需谨慎选择手术方式,因狭窄病变局限,故行十二指肠狭窄成形术,在解除梗阻的同时能获取病理组织以明确病变性质,以及肿瘤的组织分类、免疫分型、病理分期,为选择合理的个体化治疗提供依据。EATL发病率极低,且多以空、回肠穿孔为首发表现,多以急诊手术获取病理组织以明确诊断。此例患者十二指肠降部近乳头部位出现溃疡更为罕见,不易与十二指肠腺癌、CD、白塞综合征等相鉴别。当内镜反复取病理组织检查未明确诊断且有手术指征时,需及时行剖腹探查以确诊。
血液内科宋萍主治医师:此例患者手术后病理检查明确为EATL,其临床特点符合原发性胃肠淋巴瘤的Dawson标准[12]:① 全身无病理性浅表淋巴结肿大;② 胸部X线片未见纵隔肿大淋巴结;③ 末梢血白细胞分类无异常;④ 以消化道病变为主或仅局限于所属区域淋巴结;⑤ 肝脾不大。EATL发病率极低且预后差,平均生存期为7个月[13],对化学治疗相对敏感,早期可术后行化学治疗,减少远处复发,延长生存期,部分患者早期行化学治疗结合放射治疗可替代手术治疗,起到保留器官的作用。此例患者为生长迅速的高度侵袭性淋巴瘤,首选全身静脉化学治疗,但要待其一般情况明显改善后才可行。EATL常规选择CHOP方案,但患者术后出现感染性休克,为了避免再次感染,故选择COA方案,待其一般情况明显改善后再继续全身静脉化学治疗。
消化内科汪芳裕主任医师:患者为中年男性,起病急,病史短。胃镜检查提示十二指肠降部溃疡,并短期内渐进性出现十二指肠降部梗阻,患者进食困难。腹部CT检查仅提示病变局限于十二指肠。消化性溃疡是导致胃十二指肠溃疡最常见的原因,但好发于十二指肠球部,球后溃疡占比<5%, 较为罕见[14]。内镜下消化性溃疡多<1.0 cm,溃疡周边可呈堤坝样改变。此例患者十二指肠降部为>3 cm的深大溃疡,不同于消化性溃疡的内镜下表现,且患者既往无慢性规律性腹痛发作病史,H.pylori检测为阴性。故消化性溃疡诊断证据不足。CD是消化道的慢性肉芽肿性透壁性炎症,可累及从食管到肛门的任何部分,病变呈节段性,且患者发病年龄较轻;病变多见于回肠和右侧结肠,十二指肠累及较为少见;多同时伴有肛周病变、营养不良等临床表现;"非干酪样肉芽肿"为其典型的病理表现[15,16,17]。此例患者出现十二指肠深大透壁性溃疡,并且回盲瓣也伴有虫噬样溃疡。病变累及消化道多个部位。胃肠镜病理检查均提示慢性炎症。此临床特点与CD相似,但CD以肠道多发性纵行溃疡或狭窄为内镜下表现,常呈跳跃性改变,但本例患者内镜下表现为十二指肠降部孤立性、透壁性溃疡,小肠其他部位未见溃疡及狭窄等。患者无慢性病史,血清炎症指标、粪便钙卫蛋白等均正常,血清白蛋白等营养指标也在正常范围内,并且多次内镜下活组织检查未见"非干酪样肉芽肿"等典型的病理表现。故诊断CD证据不足。其他良性疾病如嗜酸细胞性胃肠炎,其好发部位为胃窦及十二指肠,且以"胃流出道梗阻"为其临床表现,内镜下多见水肿,深大溃疡较为罕见。需注意的是诊断嗜酸细胞性胃肠炎需要排除恶性肿瘤如淋巴瘤、其他过敏、感染性疾病等[18]。
在前期诊断过程中,多次内镜活组织病理检查皆为良性病变,且病程中未出现发热等淋巴瘤常见体征,加之十二指肠降部并非淋巴瘤常见累及部位,鉴别诊断围绕CD、嗜酸细胞性胃肠炎等良性疾病展开,但静脉糖皮质激素治疗也无效。最终患者因十二指肠降部梗阻接受剖腹探查及解除梗阻的手术治疗,病理检查明确诊断为EATL。本例属于罕见的原发于肠道的结外型T细胞淋巴瘤,发病率不足非霍奇金淋巴瘤的1%,位于十二指肠者则更为罕见,疾病呈侵袭性,恶性程度高,预后差。内镜下常表现为多发性溃疡、溃疡型肿块及狭窄[19],溃疡呈透壁性,临床多以穿孔为首发表现,明确诊断时通常已处于疾病中晚期,绝大多数患者是通过外科手术标本明确病理诊断。虽然也有个别患者通过结肠镜检查明确诊断,但是EATL在内镜下的活组织检查阳性率并不高,特别是浸润性病变。若要提高诊断率,一方面可能需要内镜医师加强对孤立性溃疡性疾病的鉴别诊断意识,对浸润性病变建议采用内镜下多点反复取材,或同一部位深挖取材或大块活组织检查;另一方面如临床上高度怀疑恶性病变,消化科医师需与病理科、普外科医师多沟通,请病理科专家仔细阅片、专家会诊,并完善免疫组织化学或基因重排方法等明确诊断。EATL的预后极差,平均生存期不超过7个月,原发病灶位于十二指肠降部,其早期症状可能与消化性溃疡、CD或嗜酸细胞性胃肠炎等良性疾病相似,鉴别诊断尤为重要。因此,临床高度怀疑恶性疾病而反复内镜下诊断都不能明确性质的局灶性溃疡病灶,即使消化道梗阻等手术绝对指征未出现,也需及时请外科会诊,早期行剖腹探查,明确病理,以保证尽快确诊和采取有效的治疗措施。
消化道溃疡性疾病鉴别诊断如无病理学支持,在良恶性溃疡疾病鉴别诊断及治疗方面就尤为困难。EATL发病率极低,累及十二指肠降部则更为罕见,而且预后极差,多以原发性肠道溃疡为典型临床表现,易与IBD、白塞综合征、嗜酸细胞性胃肠炎所致的消化道溃疡相混淆。此例患者反复内镜下活组织病理检查均未提示"非干酪样肉芽肿"等CD典型病理学表现,但在炎症基础上可见大量嗜酸性粒细胞浸润。不论是良性疾病还是恶性疾病都有可能合并嗜酸性粒细胞增多,可能是非特异性的表现,在诊断嗜酸细胞性胃肠炎时,尚需排除其他疾病,尤其是恶性疾病如淋巴瘤。对于反复内镜检查都不能明确性质的溃疡病灶,需积极与病理科、普外科、影像科等进行多学科协作病例讨论,即使无手术绝对指征出现,也需及时请外科会诊,早期行剖腹探查,明确诊断。
所有作者均声明不存在利益冲突





















