
垂体瘤是常见的中枢神经系统肿瘤,常因肿瘤性质不同而表现不同,同时也可有颅内高压相关表现,但以腹胀、恶心、呕吐为首发症状的病例未见报道。现总结福建医科大学附属三明市第一医院成功治疗的1例不典型垂体瘤患者诊治过程,以提高临床医师对该病的认识,避免误诊和漏诊。
版权归中华医学会所有。
未经授权,不得转载、摘编本刊文章,不得使用本刊的版式设计。
除非特别声明,本刊刊出的所有文章不代表中华医学会和本刊编委会的观点。
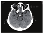
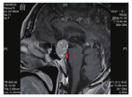
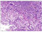
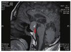
患者男,52岁,于2018年11月1日主诉"中上腹胀痛伴呕吐3 d"入院。入院前3 d无明显诱因出现中上腹胀痛,进食后明显,腹部胀痛时可见上腹部隆起,间断有恶心、呕吐,呕吐物为胃内容物,无隔夜宿食、凝血块和咖啡色物质,呈非喷射性,呕吐后中上腹胀痛可减轻,上腹部隆起可消退,食欲不振,偶感反酸、嗳气,体毛脱落明显,性欲减弱,无呕血、排黑便,无巩膜黄染、尿黄、皮肤黄,无头痛、头晕,无视物模糊,无肢体乏力,无乳腺胀痛、分泌乳汁等不适。拟"消化性溃疡并幽门梗阻?"收入院。体格检查:体温36.5 ℃,脉搏68次/min,呼吸频率20次/min,血压112/70 mmHg (1 mmHg=0.133 kPa),神情疲惫,体毛减少,双侧瞳孔等大、等圆,直径约为3 mm,对光反射灵敏,眼底和视力检查无明显异常。未见男性乳房发育。中上腹部饱满,中上腹轻度压痛,无反跳痛,可闻及振水音,肠鸣音为4~5次/min(正常参考值范围内)。四肢肌力、肌张力正常,病理征未引出。既往曾多次因胃溃疡、十二指肠溃疡发作入住福建医科大学附属三明市第一医院治疗。入院后多次查电解质:血钾波动于3.62~4.48 mmol/L,血钠波动于113.4~138.0 mmol/L,血氯波动于82.1~103.5 mmol/L。血浆渗透压为252.69 mOsm/L。血常规、肝肾功能、血糖、心肌酶、肌钙蛋白I、肌红蛋白、尿常规、血脂、凝血功能+D-二聚体+纤维蛋白降解产物、粪便常规+粪便隐血试验、游离三碘甲腺原氨酸(free triiodothyronine,FT3)、游离甲状腺素(free thyroxine,FT4)、促甲状腺激素(thyroid stimulating hormone,TSH)、CA125、CA19-9、癌胚抗原、甲胎蛋白、血淀粉酶均无异常。皮质醇无异常。血醛固酮0.05 μg/L(正常参考值为0.059~0.174 μg/L)。性激素6项:雌二醇17.0 ng/L(正常参考值为20~400 ng/L),孕酮0.02 μg/L(正常参考值为0.1~18.7 μg/L),促黄体生成素(luteinizing hormone,LH)、卵泡刺激素(follicle-stimulating hormone,FSH)、催乳素、睾酮均无异常。腹部立位片:腹部未见明显异常。心电图检查:窦性心律,窦性心动过缓,完全性右束支传导阻滞。彩色多普勒超声检查:胆囊结石,前列腺结石或钙化灶,肝脏、胰腺、脾脏、肾脏、膀胱、门静脉、肾血管、肾上腺区、腹部大血管声像图均未见明显异常,双侧输尿管未见明显扩张,胰腺和腹部主动脉周围未见明显肿大淋巴结。胃镜检查:胃窦息肉,胃窦溃疡(H2期),十二指肠球部溃疡(H2期),幽门圆形,开闭正常。全腹部CT检查:肝左叶小囊肿,胆囊结石,右肾小结石。头部和双肺CT检查:垂体占位,肿瘤伴出血?(图1)。胸部CT检查未见明显异常。头颅MRI检查:鞍区-鞍上占位,考虑垂体大腺瘤合并出血(大小约为2.7 cm×1.8 cm)(图2、图3)。入院后予艾司奥美拉唑抑酸,氯化钠补钠,营养支持治疗,并行胃肠减压,引流出墨绿色液体,每天量为600~1 100 mL。经上述治疗患者血钠恢复正常,无腹部胀痛、呕吐,生命体征平稳,转神经外科手术治疗,术后CT检查示无出血(图4),术后病理结果示垂体腺瘤(图5)。










垂体瘤是最常见的中枢神经系统肿瘤之一,根据其性质可分为功能性瘤(包括催乳素瘤、生长激素瘤、促肾上腺皮质激素瘤、促甲状腺激素瘤)和无功能性瘤。因肿瘤性质、大小、部位不同,临床表现可不同,如催乳素瘤可出现溢乳、生长激素瘤表现为肢端肥大等。其中催乳素瘤,生长激素瘤、无功能性肿瘤均可表现为大腺瘤,压迫导水管导致颅内压升高而出现头痛、恶心、呕吐等症状[1]。垂体瘤也可通过压迫周围正常组织[2]或压迫垂体供应血管[3],导致垂体激素分泌不足,出现腺垂体功能减退症,表现为恶心、呕吐、低钠血症、乏力、怕冷等[4]。结合临床表现、激素水平检测、影像学检查见垂体瘤征象,临床上可初步诊断为垂体瘤,但最终诊断还需靠术后病理明确。该病例结合临床表现,以及相关检验、影像学检查和术后病理,垂体瘤诊断明确,表现与催乳素瘤、生长激素瘤、促肾上腺皮质激素瘤、促甲状腺激素瘤不符,查LH、FSH、催乳素、FT3、FT4、TSH、皮质醇均无异常,故考虑该垂体瘤为无功能性瘤。本例患者反复呕吐,眼底检查无视盘水肿,无颅内高压表现,胃肠减压引流每日引出大量液体,胃镜检查发现幽门圆形,开闭正常,可排除幽门梗阻。此外,该患者在补充氯化钠治疗使血钠恢复正常后症状好转,故考虑呕吐是由低钠血症所致。低钠血症的原因考虑与垂体瘤出血压迫周围正常组织或压迫垂体供应血管,导致腺垂体功能减退、盐皮质激素分泌不足有关。该病例易被误诊或漏诊的原因在于该患者以中上腹部胀痛、呕吐起病,可见上腹部隆起,呕吐后腹部胀痛可减轻,体格检查中上腹部饱满,振水音阳性,结合既往曾有多次因胃溃疡、十二指肠溃疡住院病史,易被误诊为十二指肠球部溃疡合并幽门梗阻,而不进行进一步检查。由于该例患者在治疗中反复呕吐,血钠、血氯低下,而血钾始终在正常参考值范围内,未发现血钾同步下降(患者院外未补充氯化钾),为此行头颅CT和MRI检查,结果显示垂体瘤合并出血,避免了误诊和漏诊。首发症状为腹胀、恶心、呕吐而非因颅内高压所致症状的垂体瘤病例之前未见报道。本例患者经补充氯化钠治疗后腹胀、恶心、呕吐好转,胃肠减压引流量亦随之减少并顺利拔管,是否与腺垂体的盐皮质激素调控有关有待进一步研究。
所有作者均声明不存在利益冲突





















