
炎症性肠病(IBD)合并肺部病变包括非药物诱导和药物诱导的肺部异常,其中药物诱导的肺部异常相关药物主要包括柳氮磺胺吡啶、5-氨基水杨酸、硫唑嘌呤、6-巯基嘌呤、甲氨蝶呤、英夫利昔单抗等。IBD患者肺部受累发生率低、症状隐匿,易被忽视,现报道溃疡性结肠炎合并肺部病变1例,旨在提高临床医师对该病的认识。
版权归中华医学会所有。
未经授权,不得转载、摘编本刊文章,不得使用本刊的版式设计。
除非特别声明,本刊刊出的所有文章不代表中华医学会和本刊编委会的观点。
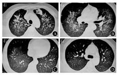
患者男,29岁,体重为52 kg,因"间断腹泻、黏液脓血便半年,拟第3疗程英夫利昔单抗(infliximab,IFX)治疗"于2018年8月20日第2次入住河北医科大学第二医院东院区消化内科。患者半年前出现腹泻、黏液脓血便,每天10余次,2017年12月29日外院电子结肠镜检查示全结肠、直肠黏膜充血水肿、糜烂,多发浅溃疡;乙状结肠黏膜活体组织检查病理结果示黏膜呈急慢性炎症伴炎性渗出,部分腺体轻度异型增生。考虑溃疡性结肠炎(ulcerative colitis,UC),给予患者美沙拉秦肠溶片口服、美沙拉秦灌肠液灌肠治疗,并予注射用甲泼尼龙琥珀酸钠60 mg(1次/d)静脉滴注14 d后改为甲泼尼龙片32 mg(1次/d)口服,症状明显好转,排黄色成形便(1次/d),无脓血,但未复查结肠镜。此后口服甲泼尼龙片,每周减量4 mg,但减量至12 mg/d时再次出现黏液脓血便,7~8次/d。于外院再次静脉滴注注射用甲泼尼龙琥珀酸钠60 mg(1次/d)10 d后,改为口服甲泼尼龙片32 mg(1次/d),症状缓解,但减量至28 mg/d时再次出现黏液脓血便,7~8次/d,遂于2018年6月25日第1次就诊于河北医科大学第二医院东院区消化内科。入院后病毒系列检查:EB病毒9.00×103拷贝数/mL,巨细胞病毒8.49×102拷贝数/mL;粪便艰难梭菌培养:艰难梭菌毒素B阳性。完善结肠镜和病理学等检查后诊断为UC(慢性复发型、广泛结肠型、活动期、重度),巨细胞病毒、EB病毒和艰难梭菌感染。根据患者既往诊疗和病情演变,考虑其存在激素依赖,给予美沙拉秦抑制肠道炎症和抗病毒、抗艰难梭菌等治疗,2018年6月29日胸部计算机断层扫描(computed tomography,CT)检查未见异常。于2018年7月9日、7月23日分别行第1、2疗程IFX治疗,2次剂量均为0.3 g(5.7 mg/kg)。患者症状逐渐好转,每天排1~2次黄色成形便,无黏液和脓血,于2018年8月6日出院。患者出院后约1周即出现咳嗽、咳白色黏液痰、气短症状,痰不易咳出、量少,无发热,症状无加重,未予特殊处理。2018年8月20日第2次入院拟行第3疗程IFX治疗。入院后体格检查:双肺呼吸音粗糙,可闻及散在湿性啰音;腹部平坦,无压痛、反跳痛和肌紧张,肠鸣音无异常。血气分析:pH值为7.37,氧分压为90 mmHg(1 mmHg=0.133 kPa),二氧化碳分压为38 mmHg,剩余碱为1.47 mmol/L;血常规检查:白细胞计数为10.88×109/L,中性粒细胞占比为0.439 0,嗜酸性粒细胞占比为0.025 8,血红蛋白为109 g/L,血小板计数为229×109/L,红细胞沉降率为14 mm/1 h,超敏C反应蛋白为225 mg/L;降钙素原为0.07 g/L;3次粪便细菌涂片和培养均未见异常;肺炎支原体抗体阴性;多次痰真菌、结核分枝杆菌涂片和痰液培养均未见异常;2次γ-干扰素释放试验均为阴性;结核菌素试验阴性;1,3-β-D葡聚糖检测和半乳糖甘露醇聚糖抗原检测均未见异常;2次病毒系列检查均阴性。2018年8月21日胸部CT检查结果与2018年6月29日相比较:双肺血管、支气管树周围出现多发片状和磨玻璃样密度增高影,边缘欠清晰,密度不均,双肺内多发病变,暂考虑多发炎性病变(图1A)。请呼吸科医师会诊协助诊治,同时给予哌拉西林他唑巴坦联合盐酸左氧氟沙星等药物行抗感染治疗2周余,患者咳嗽、咳痰症状无明显缓解,2018年9月9日复查胸部CT亦无明显好转(图1B)。复查血常规示嗜酸性粒细胞占比为0.331 8,嗜酸性粒细胞计数为2.23×109/L;肺功能检查示限制性通气功能轻度下降,弥散功能中度下降。考虑患者无细菌、真菌、支原体等感染证据,抗生素治疗无好转,且出现外周血嗜酸性粒细胞明显升高、肺功能下降,结合病史、用药情况和转归,考虑不除外药物导致嗜酸性粒细胞性肺炎可能,5-氨基水杨酸和IFX均不能除外。停用美沙拉秦口服、灌肠,暂不行第3疗程IFX治疗,并于2018年9月27日加用醋酸泼尼松片40 mg(1次/d)口服,患者气短症状消失,咳嗽、咳痰明显好转。2018年10月7日复查胸部CT提示两肺多发片状、斑片状、条片状病变,范围较前有所缩小,密度较前减低(图1C)。每天排1~2次黄色成形便,无黏液和脓血,无腹痛、发热,无咳嗽、咳痰等不适,遂出院。出院后糖皮质激素逐渐减量,并应用中药控制UC病情。2018年10月26日再次复查胸部CT,提示病变进一步好转(图1D)。


注:CT为计算机断层扫描
炎症性肠病(inflammatory bowel disease,IBD)患者肠外表现较为常见,但较少累及呼吸系统[1]。IBD患者肺部异常包括非药物诱导和药物诱导的肺部异常,以药物诱导多见。非药物诱导的肺部异常包括肺功能异常,气管异常(支气管扩张、气管支气管炎、细支气管炎、慢性化脓性支气管炎等),间质疾病(间质性肺炎、纤维性肺泡炎),自身免疫病(肺血管炎如韦格纳肉芽肿病、显微镜下多血管炎等),肺栓塞和其他肺部表现(瘘、胸膜炎、坏死性结节、结节病)等。可诱导IBD的药物包括柳氮磺胺吡啶、5-氨基水杨酸、硫唑嘌呤、6-巯基嘌呤、甲氨蝶呤、IFX等,病变包括机会性感染(曲霉菌和结核分枝杆菌等)、细支气管炎伴机化性肺炎、嗜酸性粒细胞性肺炎等,其中柳氮磺胺吡啶、5-氨基水杨酸所致肺部病变多为嗜酸性粒细胞性肺炎、肺泡炎、机化性肺炎和闭塞性细支气管炎。北京协和医院收治的11例IBD合并肺部异常患者中,IBD相关性肺疾病5例,其中肉芽肿性肺炎1例,淋巴细胞间质性肺炎1例,哮喘1例,肺栓塞2例;机会性感染6例,其中肺结核2例,铜绿假单胞菌肺炎1例,曲霉菌肺炎1例,卡式肺孢子菌肺炎1例,巨细胞病毒肺炎1例,显示机会性感染率较高,提示一定要认真鉴别是否存在感染[2]。本例患者无感染证据,结合影像学和治疗转归等表现亦不支持感染诊断;患者出现嗜酸性粒细胞占比明显升高和肺功能下降,并且在UC病情活动期间并无上述表现,而是在更换治疗药物后UC病情处于缓解期出现,考虑UC疾病本身合并肺部异常的可能较小。结合患者用药史和症状出现时间,考虑药物相关嗜酸性粒细胞性肺炎可能。
嗜酸性粒细胞性肺炎以嗜酸性粒细胞异常累积于肺实质或肺泡为特征,发病率<1/10万,其病因尚不明确,可能与寄生虫、真菌感染、药物、化学毒物接触有关[3]。常见的症状有发热、咳嗽、咳痰、呼吸困难等。根据起病缓急和病程长短,嗜酸性粒细胞性肺炎可分为慢性和急性。慢性嗜酸性粒细胞性肺炎可能由寄生虫感染、某些药物毒性等导致,也可能是特发性的,症状以咳嗽、咳痰、发热、乏力、呼吸困难、体重下降常见,喘息、夜间盗汗少见,持续数周或数月,病情进展缓慢,很少出现呼吸衰竭[3];急性嗜酸性粒细胞性肺炎临床表现与感染性肺炎和急性呼吸窘迫综合征相似,起病急,低氧血症严重[4]。嗜酸性粒细胞性肺炎的典型X线表现为非节段性、分布广泛、相互融合的肺泡和间质性改变,病变以中上肺周围性分布为主,进而呈现"肺水肿反转影";典型胸部CT表现为一侧或两侧融合性实变、斑片状实变、磨玻璃影、条带状致密影,实变病灶与正常肺组织的分界清晰[5,6]。正常情况下支气管肺泡灌洗液中嗜酸性粒细胞占比<0.02,占比为0.02~0.25时不具有特异性,然而,占比>0.25时高度提示嗜酸性粒细胞肺疾病;肺活体组织检查主要表现为肺间质和肺泡中明显的嗜酸性粒细胞浸润,以及弥漫性肺泡损伤[7]。外周血和支气管肺泡灌洗液中嗜酸性粒细胞计数增高联合影像学表现是诊断的关键[8]。本例患者在应用美沙拉秦和IFX的过程中出现了肺部病变,在发生肺部病变后,给予经验性抗感染治疗,效果不理想,后续感染相关检测均未发现感染证据,结合患者药物应用史、临床表现、外周血嗜酸性粒细胞占比明显升高和肺部影像学改变等,考虑与药物相关的嗜酸性粒细胞性肺炎可能性大。如果进一步行气管肺泡灌洗则更有利于嗜酸性粒细胞性肺炎的诊断。
在美沙拉秦诱导的肺部病变中,嗜酸性粒细胞性肺炎是最常见的类型,常发生于治疗后2~6个月,患者通常表现为劳累、发热、胸痛、咳嗽和呼吸困难。实验室检查结果包括外周血嗜酸性粒细胞增多和核周型抗中性粒细胞胞质抗体阳性[1]。IFX不良反应中常累及的系统和器官主要包括呼吸系统(30.77%)、皮肤黏膜(29.49%)、消化系统(14.10%)和心血管系统(10.26%)[9]。已有关于IFX治疗IBD过程中患者出现咳嗽、咳痰、气短症状,结合血常规、影像学和气管肺泡灌洗等检查考虑嗜酸性粒细胞性肺炎的病例报告[10]。本例患者在发生嗜酸性粒细胞性肺炎前应用美沙拉秦约半年,不能除外5-氨基水杨酸诱导的肺部病变;同时患者在应用IFX后3周左右出现了呼吸系统症状,亦不能排除IFX诱导可能。因此,结合相关检查结果,考虑为药物相关性嗜酸性粒细胞性肺炎。
药物诱导的嗜酸性粒细胞性肺炎多预后良好,患者在接受糖皮质激素治疗后通常可获得显著疗效。研究表明美泊利单克隆抗体、瑞利珠单克隆抗体等抗白细胞介素-5抗体可以通过抑制白细胞介素-5信号通路、减少血液和肺组织中嗜酸性粒细胞计数达到治疗目的[11]。本例患者及时停用美沙拉秦和IFX,并加用糖皮质激素治疗,病情明显好转。
IBD患者肺部受累发生率低、症状隐匿,易被忽视。IBD合并肺部病变包括非药物诱导和药物诱导的肺部异常,诊治过程中需要注意重点排除机会性感染。IBD常用的药物如5-氨基水杨酸、IFX等可引起嗜酸性粒细胞性肺炎,当IBD患者发生药物相关性嗜酸性粒细胞性肺炎时,要及时停用相关药物,糖皮质激素等药物治疗可获得较好的治疗效果。
所有作者均声明不存在利益冲突





















