
慢性萎缩性胃炎是重要的胃癌癌前状态。高胃炎评价系统(OLGA)和基于肠化生的胃炎评价系统(OLGIM)分期(Ⅲ或Ⅳ期)与胃癌高危密切相关。本例患者为重度慢性萎缩性胃炎伴肠化生,有胃癌家族史,幽门螺杆菌根除治疗1年后仍存在重度胃黏膜萎缩和肠化生(OLGA/OLGIM分期为Ⅳ期/Ⅲ期),属胃癌高危人群。经羔羊胃提取物维B12胶囊治疗1年半后,患者胃黏膜萎缩和肠化生明显减轻(OLGA/OLGIM分期为Ⅰ期/0期)。现报告该病例,为临床治疗重度慢性萎缩性胃炎提供参考。
版权归中华医学会所有。
未经授权,不得转载、摘编本刊文章,不得使用本刊的版式设计。
除非特别声明,本刊刊出的所有文章不代表中华医学会和本刊编委会的观点。
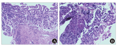
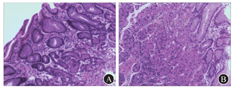
患者女,52岁,因"腹胀、嗳气等上腹部不适,加重1个月"于2018年3月13日就诊于空军军医大学西京医院消化内科门诊。查13C-尿素呼气试验(13C-urea breath test,13C-UBT)阳性,予以阿莫西林联合克拉霉素的铋剂四联疗法进行根除治疗。2018年4月27日复查13C-UBT仍为阳性,提示幽门螺杆菌根除治疗失败;于2018年5月27日行包含呋喃唑酮联合四环素在内的铋剂四联方案进行补救治疗。2018年7月3日,复查13C-UBT阴性,提示幽门螺杆菌根除成功;行胃肠镜检查提示慢性萎缩性胃炎,以胃体为著;肠镜检查未见异常。患者排便量少,上腹部不适稍有缓解,无腹胀,继续给予雷贝拉唑、马来酸曲美布汀胶囊、复方消化酶等对症治疗后好转。患者平素体健,无高血压、糖尿病等慢性病史,无吸烟、饮酒史,其父既往诊断为胃癌。鉴于患者为胃癌患者的一级亲属,嘱其1年后复查胃镜和病理活体组织检查(以下简称活检),重点关注胃体变化。2019年5月13日,患者在空军军医大学西京医院复查13C-UBT提示阴性,胃镜检查结果(图1)提示胃黏膜欠光滑,以胃体部明显,色泽相间明显,黏膜下血管纹透见,散在点片状糜烂和陈旧性出血斑;胃体、胃角和胃窦部多发灰白色微隆起,部分表面略凹陷、发红,窄带内镜观察见亮蓝嵴样改变,多系肠化生。分别在胃体上段大小弯侧、胃角和胃窦大小弯侧取材,组织质软、蠕动正常,黏液湖微浊。病理检查结果(图2)提示胃体上部大小弯侧出现黏膜中度慢性炎,重度萎缩,重度肠化生;胃角和胃窦部大小弯侧黏膜出现中度慢性炎,中度萎缩,轻度肠化生。胃炎评价系统(operative link on gastritis assessment, OLGA)/基于肠化生的胃炎评价系统(operative link on gastritis assessment based on intestinal metaplasia, OLGIM)分期为Ⅳ期/Ⅲ期。诊断:慢性萎缩性胃炎伴重度肠化生。患者伴有腹胀、嗳气等上腹部不适,予以口服羔羊胃提取物维B12胶囊(新疆生化药业有限公司,55 U/粒,2粒/次,3次/d)治疗。治疗1个月后,于2019年6月18日复诊,患者腹胀、嗳气等上腹部不适症状较前明显改善,嘱其坚持羔羊胃提取物维B12胶囊治疗。治疗半年后,于2019年12月11日复查13C-UBT呈阴性。胃镜检查结果(图3)提示贲门下大弯侧可见片状黏膜浅凹陷,底无苔,边缘黏膜尚光滑,略充血,取材处组织质软;胃体下段小弯侧可见片状黏膜微隆起,顶端糜烂,取材处组织质软;余胃黏膜尚光滑,柔软,色泽红白相间,窦部散在点片状黏膜红斑,蠕动可,黏液湖微浊。2019年12月11日病理活检结果(图4)提示胃体下段黏膜中度慢性炎,轻度急性活动,中度萎缩,中度肠化生,小凹上皮增生;贲门黏膜慢性炎急性活动,小凹上皮增生伴中度肠化生;胃窦、胃角黏膜轻度慢性炎,轻度急性活动,轻-中度萎缩;胃体上段黏膜轻度慢性炎。OLGA/OLGIM分期为Ⅲ期/Ⅱ期。诊断:慢性萎缩性胃炎伴肠化生。患者胃黏膜萎缩和肠化生程度较前减轻,嘱其继续口服羔羊胃提取物维B12胶囊治疗,半年后复查。因疫情影响,患者2020年6月未按时复诊,坚持羔羊胃提取物维B12胶囊治疗至2021年3月。2021年3月30日复查13C-UBT阴性。胃镜结果(图5)提示贲门局部黏膜充血;余胃黏膜柔软欠光滑,以胃体小弯侧明显,色泽红白相间明显,黏膜下血管纹透见,蠕动正常,黏液湖微浊。分别于胃体上段大小弯侧、胃角和胃窦部大小弯侧取材,组织质软。病理活检结果(图6)提示胃窦、胃角黏膜中度慢性炎,轻度急性活动,轻度萎缩,小凹上皮增生;胃体黏膜轻度慢性炎。OLGA/OLGIM分期为Ⅰ期/0期。诊断:慢性萎缩性胃炎,贲门炎。经羔羊胃提取物维B12胶囊治疗1年半,患者胃黏膜OLGA分期从Ⅳ期降至Ⅰ期,OLGIM分期从Ⅲ期降至0期,提示羔羊胃提取物维B12胶囊能有效降低CAG伴肠化生患者的OLGA和OLGIM分期,并有可能降低患者的胃癌发病风险。












胃癌是我国常见的恶性肿瘤之一,其中肠型胃癌占胃癌的大多数,其发生模式为正常胃黏膜→慢性非萎缩性胃炎→慢性萎缩性胃炎(chronic atrophic gastritis, CAG)→肠化生→异型增生→胃癌,已得到广泛认可[1]。作为胃癌发展中的关键阶段,CAG被认为是一种癌前状态[2]。CAG的发病率与胃癌的发病率呈正相关,即胃癌高发区萎缩性胃炎比例较高[3]。我国属于CAG高发区,人群慢性胃炎的患病率约为90%,其中萎缩和肠化生的占比分别为25.8%和23.6%[4]。研究表明,胃黏膜萎缩的范围和程度与胃癌发生的风险呈正相关[5],仅单纯萎缩的CAG患者年癌变率<2%,而合并肠化生的CAG患者年癌变率则高达10%[6]。OLGA/OLGIM分期是对胃黏膜萎缩和肠化生范围与程度的综合反映,高OLGA和(或)OLGIM分期(Ⅲ或Ⅳ期)的患者具有更高的胃癌发病风险[7,8],OLGA/OLGIM分期可作为评价CAG严重程度和对患者进行风险分层的有效手段。因此,对慢性萎缩性胃炎尤其是伴有重度肠化生的患者(高OLGA/OLGIM分期)进行及时、有效的干预,逆转或阻断胃黏膜病变的进展,对于胃癌的预防非常关键。
CAG的发生是幽门螺杆菌感染、遗传、饮食和环境等因素共同作用的结果,其中幽门螺杆菌感染被认为是最主要因素。既往研究也表明,根除幽门螺杆菌可以逆转胃黏膜萎缩,可使人群胃癌发病率降低34%~54%[9]。然而,随着胃黏膜病变的进展,根除幽门螺杆菌对降低胃癌风险的效果也逐渐降低,这可能与根除幽门螺杆菌只能逆转肠化生以下的黏膜病变有关[10,11]。此外,具有胃癌家族史的CAG患者的胃黏膜萎缩程度往往较无家族史者更严重[12]。因此,对于高胃癌风险的重度CAG患者,在常规幽门螺杆菌根除治疗后,还应考虑进行相应的药物干预治疗。
羔羊胃提取物维B12胶囊为天山羔羊第四胃提取物辅以维生素B12制成,含有胃蛋白酶、凝乳酶、乳糖酶、双歧因子等多种活性成分。多项研究显示,羔羊胃提取物维B12胶囊能够有效逆转胃黏膜萎缩和肠化生,改善上腹部胀满不适、食欲不佳等慢性胃炎相关症状[13,14,15]。该患者诊断为重度慢性萎缩性胃炎伴肠化生,有胃癌家族史,且在根除幽门螺杆菌治疗1年后仍存在胃黏膜重度萎缩和肠化生,OLGA/OLGIM分期为Ⅳ期/Ⅲ期,属于胃癌高风险人群,故予以羔羊胃提取物维B12胶囊进行治疗。治疗1年半后,患者的胃黏膜肠化生完全消失,仅胃窦部残留轻度萎缩,OLGA/OLGIM分期从Ⅳ期/Ⅲ期降为Ⅰ期/0期。本课题组曾对173例使用羔羊胃提取物维B12胶囊治疗的慢性萎缩性胃炎伴肠化生患者进行疗效观察,结果显示,治疗半年后,患者的OLGA和OLGIM分期降级的有效率分别为49.7%和32.9%,总有效率为64.7%;治疗1年后,OLGA和OLGIM分期降级的有效率分别为56.4%和41.8%,总有效率为70.9%[13]。这说明羔羊胃提取物维B12胶囊可以显著降低重度CAG患者的OLGA和OLGIM分期,并可能降低患者的胃癌发病风险。本课题组还发现,相较于低OLGA/OLGIM分期的CAG患者,羔羊胃提取物维B12胶囊对高OLGA/OLGIM分期(Ⅲ或Ⅳ期)患者的有效率更高(P<0.05),其中Ⅳ期患者的有效率高达70%左右。与其他可以有效逆转肠化生的药物(如塞来昔布、摩罗丹等)相比,羔羊胃提取物维B12胶囊不仅逆转率较高[16,17],而且不良反应发生率较低,还能够显著缓解CAG相关的胃肠道不适症状。该患者全程无不良反应报告,且在用药第1个月时腹胀、嗳气等症状明显缓解。
综上所述,在根除幽门螺杆菌的基础上,羔羊胃提取物维B12胶囊对重度慢性萎缩性胃炎患者具有较好的逆转治疗作用,可有效降低其胃癌发病风险。对于高风险(OLGA/OLGIM分期为Ⅲ或Ⅳ期)的重度慢性萎缩性胃炎患者,建议推荐使用羔羊胃提取物维B12胶囊进行治疗。
所有作者均声明不存在利益冲突





















