
腹泻是肾移植术后常见的并发症之一,常见的原因是肠道感染和免疫抑制药物治疗。该例患者以腹泻、便血为主要临床表现,辅助检查提示肠道感染、结肠多发溃疡,经空军军医大学西京医院消化内科、病理科、影像科、泌尿外科多学科协作讨论,最终明确诊断为溃疡性结肠炎。器官移植术后新发炎症性肠病导致的腹泻十分罕见,在临床中容易误诊,现报告其多学科诊治经过以供临床参考。
版权归中华医学会所有。
未经授权,不得转载、摘编本刊文章,不得使用本刊的版式设计。
除非特别声明,本刊刊出的所有文章不代表中华医学会和本刊编委会的观点。
炎症性肠病(inflammatory bowel disease, IBD)是一种病因不明的肠道慢性非特异性炎症性疾病,主要包括溃疡性结肠炎(ulcerative colitis, UC)和克罗恩病,尚无法治愈。IBD的主要症状为腹痛、腹泻和血便。免疫抑制治疗是IBD的重要治疗方法,器官移植患者长期使用免疫抑制药物时新发IBD临床十分罕见,易被误诊为肠道感染等疾病。该例患者肾移植术后4年,以腹泻、便血为主要临床表现,辅助检查提示肠道感染、结肠多发溃疡,曾多次住院治疗,诊断不明。经多学科协作讨论,最终诊断为UC,属慢性复发型、广泛结肠型、重度、活动期,规律抗肿瘤坏死因子-α(tumor necrosis factor-α,TNF-α)制剂英夫利昔单抗(infliximab,IFX)治疗后好转,腹泻、便血症状缓解,随访1年,至截稿时患者病情稳定。
患者男,44岁,主因"间断腹泻、便血6个月余"于2020年9月18日就诊于空军军医大学西京医院消化内科。既往史:患者2010年被确诊为过敏性紫癜性肾炎,2015年确诊为慢性肾衰竭、原发性高血压,2016年10月22日行同种异体ABO血型相容性肾移植术,术后长期服用他克莫司(9:30口服,1.5 mg/次;21:30口服,1.0 mg/次)、咪唑立宾(50 mg/次,2次/d,与他克莫司同时服用)、泼尼松(早餐后口服,5 mg/次,1次/d)抗排斥反应治疗,病情平稳;规律服用坎地沙坦酯(8 mg/次,1次/d)降血压治疗1年,血压控制良好。个人史和家族史无特殊。2020年4月,患者无明显诱因出现腹泻,每日排便10余次,黏液脓血便,伴腹痛,以左下腹为主,便后腹痛可部分缓解。遂于当地医院就诊,实验室检查示白细胞计数为12.78×109/L,超敏C反应蛋白为12.1 mg/L;粪便隐血试验阳性;巨细胞病毒(cytomegalovirus,CMV)、EB病毒阳性;肝肾功能、红细胞沉降率(erythrocyte sedimentation rate,ESR)均未见异常;结核感染T细胞斑点试验(tuberculosis infection T cell spot test,T-SPOT)、艰难梭菌、粪便细菌培养均为阴性。2020年4月10日,患者肠镜检查(图1)示全结肠和直肠黏膜弥漫性充血、水肿,局部可见多发糜烂和浅溃疡灶,部分为深凹溃疡,表面附脓苔,考虑UC可能,病理检查示肠黏膜慢性活动性炎伴糜烂,部分隐窝不规则,可见分支,杯状细胞减少,部分表面上皮不规则,间质大量淋巴细胞、浆细胞,中等量中性粒细胞,少量嗜酸性粒细胞浸润,伴隐窝炎和隐窝微脓肿,局部淋巴滤泡形成,抗酸染色和CMV均为阴性,个别EB病毒编码的小RNA(Epstein-Barr virus-encoded RNA,EBER)呈阳性。当地医院考虑诊断为"CMV、EB病毒感染,UC不除外",给予头孢噻肟和吗啉硝唑抗感染治疗3周,联合更昔洛韦抗病毒治疗2周,同时服用美沙拉秦缓释颗粒抗炎治疗,患者每日排便次数明显减少,排便频率为3~4次/d,黏液脓血便减少。此后,患者因肾移植术后复查于某肾病中心住院。住院期间患者反复出现发热症状,体温最高达39.5 ℃,腹泻、便血症状再次加重;实验室检查示白细胞计数为14.62×109/L,超敏C反应蛋白为12.6 mg/L,ESR为104 mm/1 h;EB病毒阳性;肝肾功能未见明显异常;T-SPOT、艰难梭菌、粪便细菌培养均为阴性。2020年5月27日,患者复查肠镜示直肠至回盲部黏膜剥脱形成深大溃疡,脓苔附着,当地医院诊断考虑"结肠溃疡性质待查:感染性肠炎?药物性肠炎?UC?",给予甲泼尼龙(60 mg/d)抑制炎症,头孢唑肟抗感染治疗,人免疫球蛋白联合更昔洛韦抗病毒治疗,万古霉素联合甲硝唑治疗艰难梭菌感染,抗感染治疗后患者仍发热,遂将头孢唑肟转换为莫西沙星治疗,患者发热症状缓解,腹泻、便血症状好转,遂转换为醋酸泼尼松(30 mg/d)口服,并逐渐减量,当减量至20 mg/d时,黏液脓血便明显加重,增加剂量后,腹泻和黏液脓血便症状好转,遂以醋酸泼尼松(早餐后口服,20 mg/次;晚餐后口服,10 mg/次)维持治疗,患者排便频率降至1~2次/d,粪便性状呈黄褐色稀糊状。2020年8月27日,患者再次复查肠镜(图2)示降结肠黏膜充血、肿胀明显,弥漫性息肉样增生隆起,肠腔狭窄,无法进镜,直肠和乙状结肠黏膜弥漫性充血、肿胀,散在糜烂,未见明显溃疡,直肠近肛门口黏膜散在陈旧性出血灶。为进一步诊治,患者就诊于空军军医大学西京医院消化内科门诊,于2020年9月18日以"结肠溃疡性质待查"收治入院。自发病来,患者口服短肽型肠内营养制剂营养支持治疗,体重下降约17 kg,入院时体重指数为21 kg/m2。




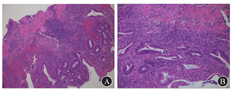
体温为36.3 ℃,脉率为84次/min,呼吸频率为16次/min,血压为124/76 mmHg(1 mmHg=0.133 kPa);神志清楚,全身浅表淋巴结无肿大,双肺呼吸音清,未闻及干湿性啰音,心率为84次/min,心脏瓣膜听诊区未闻及病理性杂音;腹部平坦,右侧腹部可见一长约10 cm陈旧性手术瘢痕,全腹无压痛和反跳痛,无肌紧张,肠鸣音未见异常。入院后血常规检查示白细胞计数为14.46×109/L,中性粒细胞计数为13.17×109/L,中性粒细胞占比为0.91;超敏C反应蛋白为14.1 mg/L,ESR为27 mm/1 h,白蛋白为35.3 g/L;粪便隐血试验和粪便白细胞均阳性;肠道菌群分布Ⅲ度失调;肝肾功能、甲状腺功能、自身抗体系列(抗核抗体、抗Sm抗体、抗双链DNA抗体、抗SSA抗体、抗Scl-70抗体、抗Jo-1抗体等)均未见明显异常;T-SPOT、CMV、EB病毒、艰难梭菌和粪便细菌培养均为阴性。2020年9月22日,患者复查肠镜(图3)示降结肠狭窄,黏膜粗糙,多发糜烂、溃疡,降结肠黏膜可见多发增生性指状突起,黏膜脆性增加,血管纹理紊乱,直肠病变较轻,内镜诊断为结肠溃疡,溃疡性质需结合病理检查结果判定。病理检查(图4)示慢性活动性肠炎,形态提示UC。2020年9月26日肠道双源计算机断层扫描(computed tomography,CT)(图5)检查示乙状结肠、降结肠、横结肠肠壁肿胀、增厚,黏膜强化,考虑为炎性改变、双肾萎缩、右侧髂窝移植肾。






UC(慢性复发型、广泛结肠型、重度、活动期);肾移植术后;原发性高血压。
入院后予以美沙拉秦缓释颗粒(2 g/次,2次/d)抗炎、中/长链脂肪乳注射液(250 mL/d)+混合糖电解质注射液(500 mL/d)+复合磷酸氢钾注射液(2 mL)等营养支持治疗;患者外院抗感染、抗病毒、糖皮质激素治疗数月,腹泻、脓血便症状明显改善,但每次糖皮质激素减量后,症状出现反复,考虑为糖皮质激素依赖,遂转换为生物制剂治疗。经与患者沟通、协商后,于2020年9月28日予以IFX治疗,患者体重为58 kg,治疗剂量为300 mg/次。患者腹泻、便血较前好转,遂出院,出院后继续口服醋酸泼尼松(早餐后口服,20 mg/次;晚餐后口服,10 mg/次),每2周减量5 mg,减量至20 mg/d时每2周减量2.5 mg。2020年10月22日患者进行第2次IFX 300 mg治疗;11月25日,因患者体重上升至66 kg,调整IFX剂量至400 mg。经3次IFX治疗后,患者腹泻、便血症状较前明显缓解,排便频率为2~3次/d,粪便性状为黄色成形软便。2021年1月,醋酸泼尼松减量至7.5 mg后患者开始间断出现腹痛、便血症状,于1月22日至空军军医大学西京医院消化内科复诊,查IFX血药浓度为1.0 μg/mL,抗IFX抗体浓度<4 ng/mL,肠镜检查(图6)示升结肠至乙状结肠见散在瘢痕,并见多发丘状或结节样、团块状隆起,黏膜粗糙,散在糜烂、溃疡,肠腔多段狭窄,镜身尚可通过;直肠散在点片状黏膜充血、糜烂,表面覆白苔,血管纹理模糊。肠镜检查结果较前好转,部分呈瘢痕愈合,降结肠狭窄较前改善。患者此次症状反复,考虑与IFX血药浓度较低有关,遂于2021年1月25日优化IFX剂量至500 mg治疗。因个人原因治疗时间延迟6周后,2021年5月14日患者于空军军医大学西京医院完成第5次IFX 500 mg治疗。2021年8月20日于当地医院完成第6次IFX 500 mg治疗。2021年9月电话随访,患者腹痛、腹泻、便血等症状较前明显缓解,排便频率为1~3次/d,无黏液脓血便,间断偶有腹痛,可耐受。


病理科陈玲主治医师:患者外院病理检查可见部分肠黏膜隐窝不规则,黏膜内炎症细胞浸润,伴隐窝炎、隐窝微脓肿形成;2020年9月空军军医大学西京医院病理检查示浆细胞、淋巴细胞、中性粒细胞等炎症细胞浸润。多次病理检查均提示肠道黏膜处于慢性炎症、急性活动状态,仍需鉴别UC或感染性结肠炎。UC肠镜下表现以局限在黏膜内的隐窝结构扭曲和淋巴细胞、浆细胞、中性粒细胞等炎症细胞浸润为特点,感染性结肠炎肠镜下特征是黏膜固有层浅表的急性炎症,肠镜下示黏膜内隐窝结构存在,但UC早期或治疗后也可有感染性结肠炎的特征性肠镜表现,故两者在鉴别上存在一定难度[1]。建议行免疫组织化学法检测CMV和EBER感染情况。该患者EBER个别阳性,而外周血EBV为阴性,多属于无临床意义的EB病毒非致病性潜伏感染,但非致病性潜伏感染与EB病毒性肠炎很难单独依靠EBER阳性细胞数量进行明确区分,需要结合临床表现、内镜特征等综合判断。
影像科赵宏亮主治医师:患者入院肠道双源CT检查示本体双肾体积明显缩小,肾皮质萎缩且强化减低,右侧髂窝内移植肾皮质强化良好,肾动脉显影良好,肾盂、肾盏未见扩张、积水;患者肠道病变主要位于降结肠、乙状结肠,呈现弥漫性的肠壁略增厚,降乙交界处为主,肠腔内见结节样软组织影,导致肠腔狭窄,呈不完全性梗阻,无IBD典型影像学表现。肠系膜动脉和分支、肠系膜静脉和属支均未见血栓。患者有腹泻、便血症状,肠镜检查示结肠多发溃疡,肠道双源CT检查可排除缺血性肠道改变,仍需结合临床表现、肠镜、病理检查结果综合判断。
泌尿外科杨晓剑副主任医师:患者以腹泻、便血为主要临床表现,第1次外院治疗考虑肠道感染,第2次外院住院时,考虑为免疫抑制剂引起的肠道病变。腹泻是肾移植术后常见并发症之一,腹泻最常见的病因是细菌、真菌、病毒等病原体感染(41.5%),其次是免疫抑制药物治疗(34.0%)[2],而肾移植术后新发IBD十分罕见。IBD常需要免疫抑制剂治疗,而器官移植术后免疫抑制剂治疗诱发IBD的机制尚不明确。关于免疫抑制治疗后诱发IBD的研究指出,同种异体移植可引起受体免疫系统重建,免疫抑制治疗可导致受体易发生机会性感染,免疫系统的重建和机会性感染可能共同作用从而引发IBD[3,4]。患者外院检查提示存在病毒感染,可能是IBD的诱因之一,也可能是患者IBD合并感染,外院同时予以抗感染、抗病毒和IBD相关药物治疗,给鉴别诊断带来困难,入院后排除了感染、自身免疫病后,结合肠镜、病理、影像学表现和相关病史,初步诊断为UC,可予生物制剂治疗。考虑患者肾移植术后免疫抑制剂联合IBD生物制剂治疗,机会性感染风险提高,在后期随诊过程中应及时复查,警惕机会性感染的发生。
消化内科梁洁副主任医师:患者为中年男性,以腹泻、便血为主要临床表现,诊治过程中主要存在2个问题。①诊断和鉴别诊断:外院多次肠镜检查示结肠多发糜烂、溃疡,实验室检查示EB病毒感染,第1次外院诊断考虑肠道感染,UC不除外,抗感染、抗病毒、抗炎等治疗后患者腹泻、便血症状缓解;第2次外院住院治疗时,考虑为免疫抑制剂引起的肠道病变,抗感染、抗病毒、糖皮质激素治疗后患者腹泻、便血症状亦可缓解,而美沙拉秦和糖皮质激素均可用于UC,因此给该患者的诊断和鉴别诊断带来一定困难;入院后需再次完善细菌、病毒、真菌、肠镜、病理、肠道双源CT等检查,排除肠道感染,最后明确诊断为UC。②治疗方案的制定:患者外院诊治过程中出现糖皮质激素依赖,根据我国《炎症性肠病诊断与治疗的共识意见(2018年,北京)》[5],可转换为生物制剂治疗。该患者有肾移植术病史,长期服用免疫抑制剂维持治疗,生物制剂的使用对该类患者是否安全、有效,仍需认真考虑。Grupper等[6]总结了12例IBD患者(5例UC,7例克罗恩病)肾移植术后IBD的病情和移植结局,轻、中度IBD患者肾移植前后使用氨基水杨酸制剂、糖皮质激素、生物制剂,IBD病情保持稳定,并且对移植的结局不会产生不良影响。Olmedo-Martín等[7]汇总了6例行肝移植的IBD患者使用生物制剂的情况,2例使用IFX,2例使用阿达木单克隆抗体,2例使用维得利珠单抗,均能有效控制IBD病情,且未见明显移植不良反应。与患者沟通后,予以IFX治疗,患者病情得到控制,极大缓解了腹泻、便血症状,为器官移植患者IBD的治疗提供了参考。
消化内科吴开春主任医师:患者肾移植术后5年,长期口服免疫抑制剂和糖皮质激素,突发腹泻、便血,外院肠镜检查示肠道弥漫性水肿,多发糜烂、溃疡,同时血清学检查提示有病毒感染可能。多种疾病可导致结肠溃疡,如感染、IBD或免疫相关疾病,血管、药物、肿瘤、放射治疗、过敏等因素,甚至还有一部分属不明原因。结合本例患者发病和肠镜下特征,细菌、病毒感染,UC,免疫相关肠炎等均不能排除。对于UC和感染的鉴别诊断,既困难又重要,两者既可有相同的临床表现(腹痛、腹泻、便血、发热等),发病诱因(不洁饮食等),以及辅助检查表现(炎症指标升高、内镜下结肠溃疡、肠道黏膜炎症CT表现等),又可同时存在。从UC的发病机制来看,UC和感染可互为发病诱因,临床中极易混淆。UC和感染的治疗方式存在矛盾,UC需要糖皮质激素或生物制剂治疗,会降低患者的免疫功能,加重感染。UC和感染的治疗周期不同,UC属于慢性病,大部分患者需终身用药,而大部分感染经有效治疗可治愈,如果UC和感染同时治疗后病情好转时仍无法鉴别病因,会导致后续用药困难。该患者在外院治疗时即存在UC和感染同时治疗的问题,导致鉴别诊断困难。在面临鉴别诊断困难时,通常先按可治愈的疾病治疗,如感染性肠炎,若效果不佳,再进行UC治疗,这可能是一个更合适的治疗方式。患者在入院后,完善病原学检测、肠镜、肠道双源CT等检查后,结合患者外院诊疗经过,最终诊断为UC,在转换为IFX治疗后,患者病情好转。
腹泻是器官移植术后常见的并发症之一,感染和免疫抑制药物是较常见的病因,IBD导致的腹泻比较少见,而器官移植术后患者新发IBD十分罕见,明确腹泻原因和诊断是有效治疗的关键。该例患者以腹泻、便血为首发症状,实验室检查和肠镜下表现均提示存在肠道感染,但肠道感染是因或果,需要仔细鉴别。经多学科协作,明确UC诊断,并根据国外相关病例报道和当时国内生物制剂批准使用情况运用IFX治疗,成功缓解了患者病情。值得思考的是,他克莫司和泼尼松在临床上可用于IBD治疗,为何在接受强有力的全身免疫抑制治疗的过程中,患者仍发生UC,其机制目前仍不明确。器官移植术后的IBD患者,在自身免疫制剂治疗基础上再使用抗TNF-α制剂,仍能较好控制IBD病情,但患者的感染风险可能会增大,须预防感染以免病情加重。此外,2020年11月批准上市的α4β7整联蛋白受体拮抗剂维得利珠单抗具有肠道选择性,对于器官移植术后长期服用免疫抑制剂的IBD患者,使用维得利珠单抗较抗TNF-α制剂是否更加安全、减少机会性感染风险,仍需更多的临床研究验证。
所有作者均声明不存在利益冲突





















