
结外自然杀伤/T细胞淋巴瘤是一种少见的与EB病毒感染相关的非霍奇金淋巴瘤,而结肠自然杀伤/T细胞淋巴瘤则更为少见。该患者以腹泻、腹痛为主要表现,病程长达6个月,结肠存在多部位溃疡并狭窄,病因诊断不明。经厦门大学附属中山医院消化内科、核医学科、影像科、血液内科、胃肠外科、病理科等多学科协作讨论并行手术治疗,最终确诊为结肠自然杀伤/T细胞淋巴瘤。该病常缺乏特异性临床表现,易被误诊为炎症性肠病、肠结核、结肠癌等疾病。现报告其多学科诊治经过以供临床参考。
版权归中华医学会所有。
未经授权,不得转载、摘编本刊文章,不得使用本刊的版式设计。
除非特别声明,本刊刊出的所有文章不代表中华医学会和本刊编委会的观点。
结外自然杀伤/T细胞淋巴瘤是一种少见的非霍奇金淋巴瘤,在西方仅占非霍奇金淋巴瘤的2%[1],在亚洲和中美洲人群中也只占所有非霍奇金淋巴瘤的8%[2]。原发性胃肠道自然杀伤/T细胞淋巴瘤罕见,仅占该部位所有恶性肿瘤的0.2%~0.4%[1]。自然杀伤/T细胞淋巴瘤在组织病理学上表现为异型的肿瘤细胞弥漫浸润肠壁全层,肿瘤细胞多数为小到中等大小,细胞核不规则,染色质呈颗粒状,细胞质淡染或呈略嗜酸性,核分裂象易见;既可以表达T细胞标志物,也可表达部分自然杀伤细胞标志物;伴有多种炎症细胞浸润,易出现明显的血管破坏和凝固性坏死。结外自然杀伤/T细胞淋巴瘤与EB病毒感染有关,常见于鼻腔、鼻咽、副鼻窦或腭部,少部分可见于皮肤、软组织、睾丸和胃肠道等部位[3,4]。结肠自然杀伤/T细胞淋巴瘤缺乏特异的临床表现,常被误诊为其他疾病。现描述1例以腹泻、腹痛等为首发表现的患者的诊治经过,经多学科讨论并行手术治疗,最终经病理检查确诊为结肠自然杀伤/T细胞淋巴瘤。
患者男,51岁,2021年4月10日因"腹泻6个月、腹痛3个月余"被收治于厦门大学附属中山医院消化内科。患者于2020年10月无明显诱因出现排便次数增多,多为黄色糊状便,偶夹杂血丝,3~8次/d,症状持续约半个月,就诊于当地诊所,经对症治疗后好转。2021年1月,患者出现左下腹闷痛,可自行缓解,无黑便或黏液血便,排便次数再次增多,就诊于外院,电子胃镜检查示慢性萎缩性胃炎(C1型)伴糜烂,十二指肠球部溃疡(H2期);结肠镜检查示回盲部多发点状浅溃疡、乙状结肠多发不规则溃疡(性质待定)。活体组织检查(以下简称活检)病理示胃窦轻度慢性萎缩性胃炎,糜烂,轻度肠化生;胃角轻度慢性萎缩性胃炎,糜烂,轻度肠化生,部分腺体呈轻度异型增生;回盲部黏膜慢性炎,活动期;乙状结肠(距肛门20 cm)黏膜慢性炎,活动期,可见炎症坏死组织。盆腹腔增强计算机断层扫描检查示乙状结肠管壁局部增厚,炎症可能;前列腺钙化灶。外院诊断为疑似炎症性肠病,遂给予奥美拉唑、美沙拉秦等药物(具体剂量不详)治疗2个月余,症状无明显改善,且腹痛逐渐加重。2021年4月于外院复查结肠镜示乙状结肠溃疡伴狭窄、出血,横结肠多发溃疡,回肠末端未见异常;活检病理示乙状结肠(距肛门25 cm)可见炎性肉芽和渗出坏死组织,横结肠(距肛门60 cm)黏膜重度慢性炎、轻度活动性炎,伴糜烂。为明确诊断,转入厦门大学附属中山医院。起病以来,患者体重下降约3 kg。
体格检查示体温为36.6 ℃,脉率为57次/min,呼吸频率为20次/min,血压为95/59 mmHg(1 mmHg=0.133 kPa);全身浅表淋巴结未触及肿大;双肺呼吸音清,心律齐,心脏各瓣膜听诊区未闻及病理性杂音;腹部平坦,腹软,左下腹轻度压痛,无反跳痛,肝脾肋下未扪及,移动性浊音阴性,肠鸣音4次/min,双下肢无水肿。
入院后血常规检查示白细胞计数为4.60×109/L,中性粒细胞占比为0.639,淋巴细胞占比为0.226,血红蛋白为138 g/L,血小板计数为229×109/L。血液生物化学检查示白蛋白为38.2 g/L,总胆固醇为6.98 mmol/L,丙氨酸转氨酶、天冬氨酸转氨酶、乳酸脱氢酶、血尿素氮、血肌酐等均未见异常。红细胞沉降率为14.10 mm/1 h,C反应蛋白为8.13 mg/L。粪钙防卫蛋白阳性。凝血功能和D-二聚体均未见异常。人类免疫缺陷病毒抗体阴性,梅毒血清学试验和特异性抗体阴性。甲胎蛋白、癌胚抗原、糖类抗原125、糖类抗原19-9均在正常参考值范围内。免疫功能检查示补体C3、C4阴性。抗中性粒细胞胞质抗体、抗核抗体谱阴性。游离三碘甲腺原氨酸、游离甲状腺素、促甲状腺激素、甲状腺球蛋白抗体、促甲状腺素受体抗体、甲状腺过氧化物酶抗体均在正常参考值范围内。EB病毒DNA为893.00拷贝/mL,巨细胞病毒DNA<400拷贝/mL。结核感染T细胞斑点试验阴性。
2021年4月13日完善18F-氟代脱氧葡萄糖(18F-fluorodeoxyglucose,18F-FDG)正电子发射计算机体层显像(positron emission tomography and computed tomography,PET/CT)检查示结肠多发节段性18F-FDG代谢增高灶(图1),最大标准摄取值(maximal standardized uptake value,SUVmax)为15.6(降结肠-乙状结肠移行部);肠旁可见多发小淋巴结影,部分18F-FDG摄取略增高;纵隔4R区(右下支气管旁淋巴结)见一增大淋巴结影,大小约为0.9 cm×0.6 cm,18F-FDG摄取增高(SUVmax为2.2),考虑炎症改变;鼻中隔右偏、双下鼻甲肥大;双侧上颌窦炎症;所示诸骨结构完整,未见异常18F-FDG浓聚或缺损灶;其余脏器未见异常18F-FDG摄取。


注:PET为正电子发射体层成像;CT为计算机体层成像;18F-FDG为18F-氟代脱氧葡萄糖;SUVmax为最大标准摄取值;SUVmin为最小标准摄取值;SUVavg为平均标准摄取值;SUVpeak为标准摄取值峰值;SULmax为最大去脂肪标准摄取值;SULmin为最小去脂肪标准摄取值;SULavg为平均去脂肪标准摄取值;SULpeak为去脂肪标准摄取值峰值;TLG为病灶糖酵解总量
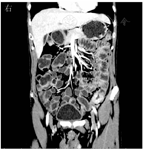
2021年4月19日完善小肠CT造影(computed tomography enterography,CTE)检查示降结肠与乙状结肠交界处可见节段性腔壁增厚、对称,管腔狭窄改变,并可见明显强化征象,未见明确分层和梳状征;所示空肠、回肠大部充盈扩张,未见明显腔壁增厚和管腔狭窄改变,未见明确异常强化征象;腹腔未见积气、积液(图2)。当日完善结肠镜+超声内镜检查,白光内镜下见直肠黏膜光滑,乙状结肠距肛门约20 cm以下可见多发不规则溃疡,伴自发性少量渗血,肠腔狭窄(图3A),无法通过,病灶处予多块深挖活检;超声内镜检查示乙状结肠局部肠壁增厚,最厚处约1.3 cm,肠壁层次结构模糊不清、呈较均匀低回声,浆膜层不完整,病变周围腹腔可见多发低回声区(图3B)。肠镜活检病理示乙状结肠黏膜表面糜烂,伴凝固性坏死,肠黏膜固有层内大量淋巴细胞增生,增生的淋巴细胞呈小到中等大小,可见异型细胞;免疫组织化学检查示增生的淋巴细胞以自然杀伤/T细胞为主,可见少量大B淋巴细胞,EB病毒编码区(Epstein-Barr encoding region,EBER)阳性,未见巨细胞病毒包涵体。




患者存在腹痛,内镜和CTE提示结肠管腔狭窄,符合消化道梗阻的表现;超声内镜提示局部乙状结肠浆膜层不完整,考虑存在慢性穿孔。血液内科会诊认为,根据内镜活检病理结果,倾向自然杀伤/T细胞淋巴瘤,如患者和家属同意,可外送至相关检验机构行基因重排检测以明确诊断。由于检测费用较高,患者表示拒绝。胃肠外科会诊认为,对于局限于肠道的病变,可行手术切除,有利于减轻肿瘤负荷,解除消化道梗阻,以及预防穿孔导致的继发腹腔感染等并发症,同时可以获得手术标本,有助于明确诊断。经患者和家属同意,于2021年4月27日行手术治疗。术中见肿块位于乙状结肠中段,大小约为5 cm×5 cm×2 cm,已突破浆膜层,外观呈灰白色,外周可见脂肪组织增厚(图4A),肝脏表面、胆囊、胃、脾、空回肠、盆腹腔表面光滑,未探及结节或肿块。遂行腹腔镜下乙状结肠根治切除+输尿管周围粘连松解+肾周松解术。手术标本可见溃疡,肠周见脂肪爬行征(图4B)。病理学检查结果示结肠黏膜溃疡形成,黏膜下淋巴样细胞增生,细胞呈中等大小,异型淋巴细胞增生(图5A),胞质透明,可见淋巴细胞浸润上皮,局灶坏死,伴血管炎改变;标本两切缘、环周切缘均未见肿瘤细胞;肠周围淋巴结见肿瘤细胞累及(1/10)。免疫组织化学染色结果(图5B~5F)示CD3、CD5、CD56、T细胞胞质内抗原1(T cell intracytoplasmic antigen 1,TIA-1)、颗粒酶B、EBER、CD20、CD79a、细胞周期蛋白D1(cyclin D1,CycD1)、CD38、CD138、CD68(KP-1)、免疫球蛋白κ链、免疫球蛋白λ链、广谱细胞角蛋白(pan cytokeratin,CK-P)均阳性,Ki-67(90%阳性),CD21阴性。术后病理诊断为乙状结肠非霍奇金淋巴瘤,结外自然杀伤/T细胞淋巴瘤;肿瘤侵犯脉管和神经,累及肠管全层达浆膜外脂肪组织。术后1周复查盆腹腔增强计算机体层成像示乙状结肠术后改变,吻合口结构欠清,壁稍增厚,周围渗出;腹腔少量游离积气。患者术后病情平稳,恢复良好。




结肠自然杀伤/T细胞淋巴瘤。
2021年5月25日患者转入厦门大学附属中山医院血液内科进一步诊治,复查EB病毒DNA为1.03×105拷贝/mL。完善纤维鼻咽镜与喉镜检查,可见鼻咽部光滑,会厌光滑;双侧声带光滑,活动可。双侧颈部、腋窝、腹股沟超声检查示多个增大淋巴结,其中颈部最大者约2.3 cm×0.7 cm,腋窝最大者约1.7 cm×0.7 cm,腹股沟最大者约2.1 cm×0.5 cm,边缘光整,形态规则,部分淋巴门未见,可见血流信号。建议完善淋巴结穿刺活检,患者拒绝。完善骨髓穿刺检查,骨髓象未见明显异常,可见散在少量淋巴细胞,未见异型细胞;EBER阴性。综合上述临床资料,最终诊断为非上呼吸道消化道自然杀伤/T细胞淋巴瘤(non-upper aerodigestive tract NK/T-cell lymphoma,NUAT-NKTCL)(Ⅳ期),高危。予P-GEMOX方案(培门冬酶+吉西他滨+奥沙利铂)规律化学治疗。2021年8月25日复查结肠镜示乙状结肠距肛门20 cm处可见手术瘢痕,黏膜光滑;全结肠、直肠未见明显溃疡、糜烂(图6)。次日复查盆腹腔增强计算机体层成像示乙状结肠术后改变,吻合口壁稍增厚,较前缓解,周围未见明显渗出液(图7)。复查超声示双侧颈部、腋窝、腹股沟可见多个肿大淋巴结,颈部淋巴结最大者约1.4 cm×0.4 cm,腋窝淋巴结最大者约1.5 cm×0.5 cm,腹股沟淋巴结最大者约0.8 cm×0.3 cm,边缘光整,形态规则,部分淋巴门未见,可见血流信号。至截稿,患者接受规律随访,病情平稳。




消化内科许鸿志副主任医师:患者为中年男性,慢性病程,以腹泻、腹痛为主要表现。外院肠镜检查发现结肠节段性溃疡,病理可见炎症、坏死组织。需注意与以下疾病鉴别。①结肠型克罗恩病。部分患者也可出现广泛不规则的类圆形溃疡或阿弗他溃疡,如同时存在特征性的肛周病变或胃十二指肠病变可支持诊断。本例患者结肠溃疡不规则,虽呈节段性分布,但病理学检查未见典型的裂隙样溃疡、非干酪样肉芽肿等表现,也缺乏肛周或相关的上消化道病变,克罗恩病诊断依据不足。②缺血性肠病。常以腹痛为首发症状,可有血便或便血,肠镜检查可见黏膜充血、水肿、溃疡和糜烂,病变与正常黏膜界限清晰,其基本病理生理学机制是结肠灌注不足引起黏膜溃疡、炎症和出血,严重者可发生透壁性梗死。本例患者表现与此不符。③肠结核。可有腹痛、发热、腹泻、便血等临床表现,病变好发于回盲部、回肠末端。因病变淋巴管沿肠管的短轴方向延伸,所以形成环状和带状溃疡。本例患者内镜表现与典型肠结核不符,且结核感染T细胞斑点试验阴性,患肠结核的可能性小。④特殊病原体感染。巨细胞病毒感染初发症状多为出血和腹泻,内镜下表现多样,确诊有赖于黏膜活检(苏木精-伊红染色找到巨细胞病毒包涵体)、免疫组织化学染色(巨细胞病毒抗原阳性)或实时荧光定量聚合酶链反应(外周血巨细胞病毒DNA>1 200拷贝/mL)。本例患者目前无支持证据。⑤结肠癌。溃疡型结肠癌可见深而广的溃疡,周围可见环堤样隆起,经活检病理可确诊。本例患者多次活检病理结果未发现肿瘤组织,诊断依据不足,PET/CT、超声内镜检查和再次活检有助于鉴别;⑥淋巴瘤。大多数结肠淋巴瘤是B细胞来源,而T细胞淋巴瘤通常见于小肠[1];肠淋巴瘤常以发热、腹痛、腹泻和便血为首发表现,内镜下表现为黏膜广泛破坏、溃疡形成,严重者可合并梗阻、穿孔等表现;活检病理诊断率低,往往需对病变处进行多次、深挖活检才能最终确诊。本例患者目前尚不能排除该病,完善PET/CT、超声内镜和再次深挖活检等有助于鉴别诊断。
核医学科苏福主任医师:18F-FDG是PET/CT常用的显像剂,可在肿瘤细胞内大量积聚。患者结肠多段病灶18F-FDG摄取值明显升高,首先需考虑恶性病变,如结肠癌、淋巴瘤等的可能性。但患者多次内镜下活检均未见肿瘤细胞,肿瘤标志物水平在正常参考值范围内,也无发热,以及肝、脾、淋巴结肿大等表现,支持上述诊断的依据尚不充分。实际上,18F-FDG并非恶性肿瘤的特异性显像剂,而是反映了病灶与周围组织之间糖代谢的差异。炎症或者息肉样病变也可导致18F-FDG高摄取,曾有良性病变因此被误诊为淋巴瘤的案例[5]。肠道炎症性疾病由于巨噬细胞、中性粒细胞和淋巴细胞增多,局部组织代谢活跃,可出现18F-FDG摄取值明显升高[5]。在解释PET/CT图像时要综合考虑,可结合CTE和其他辅助检查进一步对病灶性质进行判断。
影像科叶峰副主任医师:本例患者的临床、内镜下表现和活检病理结果均缺乏特异性。当临床上对结肠溃疡的性质鉴别存在困难时,影像学往往可以提供一些线索。CTE所示肠壁增厚和强化的方式有助于鉴别诊断[6,7]。不均匀强化和不对称性的局限性肠壁增厚多见于腺癌、间质瘤或转移瘤,与患者表现不符;结合内镜下表现和活检病理结果,考虑上述疾病可能性小。分层强化(靶征)多见于炎症或感染性疾病。患者CTE未见肠壁分层强化,周围无梳状征象(提示直小血管扩张),不符合克罗恩病活动期典型表现。肠结核可表现为肠管环形增厚,肠壁黏膜不光滑(提示溃疡),呈分层或均匀一致强化,周围可见淋巴结肿大伴环形强化(提示干酪样坏死)或钙化,可见回盲瓣挛缩呈鱼嘴样。本例患者表现与此不符,且其结核感染T细胞斑点试验阴性,该病可能性小。淋巴瘤可见肠壁呈节段性或弥漫性增厚,对称,密度均匀,增强扫描可呈中度或明显强化,病灶内坏死、囊变、出血和钙化少见,肠管周围可见肿大淋巴结,沿血管走行分布。基于以上分析,结合患者CTE表现,不能排除淋巴瘤,建议再次活检。
消化内科胡益群主任医师:本例患者存在腹痛、腹泻,结肠节段性溃疡,外院活检病理结果提示炎症改变,肿瘤标志物不高,容易引导临床医师拟诊为克罗恩病。我国克罗恩病的发病高峰年龄为18~35岁[8],本例患者年龄偏大。实际上,结肠溃疡变化多样,相似的表现可能有不同的病因。超声内镜有助于观察组织层次和周围结构的改变,能比白光内镜提供更多的辅助诊断信息。患者行结肠超声内镜检查,提示局部乙状结肠壁全层增厚,正常层次消失,表现为较均匀的低回声改变,符合淋巴瘤的超声表现。克罗恩病在超声内镜下也可表现为肠壁增厚,层次不清,可见低回声改变,但本例患者无典型克罗恩病的内镜或病理改变,结合CTE结果,考虑克罗恩病诊断不成立。腹痛是淋巴瘤患者最常见的主诉,许多患者往往因可疑炎症性肠病或急腹症入院治疗[9],与患者既往诊治经过相似。最终确诊需依赖病理学检查结果。
病理科林泽泱副主任医师:患者再次活检的病理结果符合EB病毒阳性自然杀伤/T细胞淋巴组织增殖性疾病的表现。该病可分为3级,1级为多形性组织学特征/多克隆T细胞增生,2级为多形性组织学特征/单克隆T细胞增生,3级为单形性组织学特征/单克隆T细胞增生[10]。仅根据活检标本对其进行分级较为困难。部分患者在活检标本上可表现为多形性淋巴细胞和单克隆T细胞增生,很容易被误诊为交界性自然杀伤/T细胞淋巴组织增殖性疾病[10]。炎症性肠病(尤其是溃疡性结肠炎)患者也可在肠道活检中见到分布不均匀的EBER阳性淋巴细胞,但此类患者应首先具有炎症性肠病典型的病理学表现,如隐窝结构破坏、隐窝脓肿、黏膜肌增厚、神经增生等;本例患者病理改变与以上不符,结合其他检查结果,可排除。可由血液内科、胃肠外科评估是否可行手术切除、大块组织病理检查。
消化内科任建林主任医师:患者外周血和结肠组织EB病毒检测阳性,考虑非免疫缺陷的EB病毒感染性肠道疾病诊断成立。该病可分为以下6类。①EB病毒隐性感染;②急性EB病毒感染性肠炎;③慢性活动性EB病毒感染;④肠道局限性EB病毒感染,不伴系统性症状;⑤肠道EB病毒感染伴噬血细胞综合征;⑥肠道EB病毒相关恶性肿瘤[10]。急性感染患者的病程多在1个月内,预后良好,可排除。本例患者血清学检查提示EB病毒DNA阳性,但无发热、肝脾肿大等表现,目前体格检查和影像学检查未见多发肿大淋巴结,也不存在嗜血细胞综合征,不符合慢性活动性EB病毒感染、肠道EB病毒感染伴噬血细胞综合征的诊断标准。需重点鉴别的是肠道局限性EB病毒感染和肠道EB病毒相关恶性肿瘤。目前考虑肠道自然杀伤/T细胞淋巴瘤的可能性最大。我国结肠自然杀伤/T细胞淋巴瘤患者以青年男性为主,中位年龄为33岁[2]。在大多数情况下,病灶以回盲部、升结肠为主,直肠次之[1]。本例患者的表现与此不符,诊断应谨慎,需要请血液科会诊,进一步排查相关疾病。
血液内科张可杰主任医师:肠道自然杀伤/T细胞淋巴瘤为高侵袭性肿瘤,多见于男性,病情常常进展迅速,病理检查可见肿瘤细胞异型性较明显,炎症背景较杂乱,常有周围血管侵犯,伴明显的凝固性坏死[4]。患者活检标本可见自然杀伤/T细胞增殖和凝固性坏死,符合本病表现。但该病的临床表现、内镜下表现常无特异性,如仅有少量活检组织的病理结果为依据,需慎重作出诊断结论。诊断时还需注意鉴别肠病相关性T细胞淋巴瘤。该病罕见,患者以60~70岁的男性为主,肿瘤为多灶性,EBER阴性,T细胞受体可出现单克隆基因重排[4]。患者EBER阳性,可排除。免疫球蛋白和T细胞受体基因重排检测是诊断淋巴瘤的重要辅助检测手段,但患者因经济原因表示拒绝标本外送相关机构检测。考虑其内镜和CTE检查均提示乙状结肠管腔狭窄,可请胃肠外科协助诊断。手术治疗淋巴瘤虽有争议,但手术切除病灶一方面有利于获得完整的标本以协助诊断、确定分期,另一方面有利于治疗或预防梗阻、穿孔等并发症[4,11]。
胃肠外科袁思波主任医师:患者慢性病程,结合内镜和CTE检查结果,考虑乙状结肠恶性病变引起梗阻合并慢性穿孔可能。相关检查提示病灶分布局限于结肠,具备行手术切除乙状结肠病灶的指征,无明确禁忌证。术中见瘤体与侧腹膜后方紧密相连,遂实施腹腔镜下乙状结肠根治切除+粘连松解术。术后病理确诊为结肠自然杀伤/T细胞淋巴瘤。手术标本大体检查可见与回肠型克罗恩病患者脂肪爬行征相似的表现,但其形成机制可能不同。克罗恩病患者可能与肠道屏障破坏,肠系膜组织中的免疫细胞对菌群移位产生反应、促进组织重塑有关[12],而淋巴瘤患者可能与瘤体压迫、侵蚀小血管导致循环不畅,产生局部炎症,刺激脂肪组织增生有关;这种明显的脂肪增生现象在溃疡性结肠炎与结肠型克罗恩病患者的结肠系膜中并不存在[12,13],可能有助于炎症性肠病与结肠淋巴瘤的鉴别。患者术后病理已确诊,请血液内科进一步制订后续化学治疗方案。
血液内科张可杰主任医师:结外自然杀伤/T细胞淋巴瘤仅累及消化道者很少见,需注意排查是否存在鼻咽部受累、骨髓受累等情况。进一步完善纤维鼻咽镜与喉镜检查未见异常。骨髓穿刺活检未见异常。超声检查见多发淋巴结肿大,因其形态规整,且此前PET/CT检查未见高代谢的淋巴结病变,考虑为非特异性淋巴结炎可能性大。建议患者行淋巴结穿刺活检以明确病变性质,并评估是否可作为治疗效果的评价指标,患者表示拒绝。患者结肠播散性受累,瘤体侵破浆膜层,根据Lugano分期标准[14,15],诊断为NUAT-NKTCL(Ⅳ期),高危。NUAT-NKTCL 5年生存率为9%~22%[15]。Ⅰ~Ⅱ期自然杀伤/T细胞淋巴瘤应采用同时或序贯化学治疗、放射治疗的方案,Ⅲ~Ⅳ期患者应以含培门冬酶的联合化学治疗为主[16,17]。免疫检查点抑制剂可用于复发/难治性病例的治疗,部分晚期患者可考虑采用造血干细胞移植[4,17]。向患者解释病情和治疗方案,经其同意,排除禁忌证后采用P-GEMOX方案(含培门冬酶、吉西他滨和奥沙利铂)化学治疗。患者规律化学治疗3个月后复查肠镜提示溃疡消失,复查计算机体层成像仅见吻合口稍增厚,无腹水,嘱其继续在血液内科随诊治疗观察。
结肠溃疡是消化内科常见的内镜下病变,定性诊断和明确病因是治疗的关键。自然杀伤/T细胞淋巴瘤预后不良,与EB病毒感染有关,主要影响亚洲人群或中美洲、南美洲的原住民[18]。结外自然杀伤/T细胞淋巴瘤非常少见,主要发生于上呼吸道、消化道,原发于鼻腔者最多[3]。非上呼吸道、消化道的病灶可见于皮肤、软组织、睾丸、胃肠道等部位[1]。根据既往报道,胃肠道自然杀伤/T细胞淋巴瘤从出现症状到明确诊断需要20 d至3年的时间,平均为6个月[2],本例患者情况与此相符。但其发病年龄和病灶所在部位与既往报道不符[1,2],为明确诊断增加了困难。结肠自然杀伤/T细胞淋巴瘤的瘤细胞以中型或小型为主,也可表现为多形性或间变性,细胞核不规则,染色质粗糙,Ki-67阳性指数高,表达自然杀伤/T细胞标志物,出现凝固性坏死和血管破坏是其典型的病理特征[1,4]。本病可归于EB病毒阳性自然杀伤/T淋巴组织增殖性疾病,活检标本由于组织量少,且因炎症、取材等原因存在组织结构破坏,分级往往困难。本例患者最终确诊有赖于手术标本的病理检查。手术治疗对结肠淋巴瘤是否有效仍具有争议,但手术可用于防治并发症,减少肿瘤负担[4,11]。关于结外自然杀伤/T细胞淋巴瘤的分期系统众多,各有利弊,但晚期患者预后不良,总体生存时间明显缩短[16,17]。本例患者采用P-GEMOX方案化学治疗,随访至截稿病情平稳,但长期的临床结局仍有待观察。
所有作者均声明不存在利益冲突





















