
胰腺假性囊肿是慢性胰腺炎较常见的并发症,合并脾动脉假性动脉瘤和囊内乳糜漏的复杂假性囊肿相对少见,临床处理难度大,早期诊断和干预对于改善患者预后具有重要意义。现报告1例慢性胰腺炎合并胰腺巨大假性囊肿、囊内脾动脉假性动脉瘤破裂和乳糜漏患者的临床表现、诊断和治疗情况,为此类疾病的多学科协作诊治提供参考。
版权归中华医学会所有。
未经授权,不得转载、摘编本刊文章,不得使用本刊的版式设计。
除非特别声明,本刊刊出的所有文章不代表中华医学会和本刊编委会的观点。
胰腺假性囊肿(pancreatic pseudocyst)是慢性胰腺炎的主要并发症之一,因胰腺主胰管或其分支胰管破坏、胰液渗漏导致持续胰周液体积聚,并且积液被轮廓分明的炎性囊壁所包裹,而外围囊壁并无上皮细胞[1]。脾动脉假性动脉瘤是慢性胰腺炎的罕见并发症,其发病率<1%,常与胰腺假性囊肿共同出现[2]。现报告海军军医大学第二附属医院(上海长征医院)收治的1例慢性胰腺炎合并胰腺巨大假性囊肿、囊内脾动脉假性动脉瘤破裂和乳糜漏患者的诊治情况,为慢性胰腺炎合并胰腺复杂假性囊肿的处理提供参考。
患者男,52岁,因"反复上腹痛4年余"于2019年8月7日就诊于海军军医大学第二附属医院(上海长征医院)。患者自2015年起饮酒后反复出现中上腹阵发性隐痛,无腰背部、肩部放射痛,改变体位腹痛不可缓解,伴腹胀、腹泻,解水样便,时有恶心、呕吐,呕吐物为胃内容物,无畏寒、发热,无皮肤和巩膜黄染,尿液颜色无异常,无胸闷、胸痛等,每次发作时至当地医院就诊,予抗感染治疗后症状可缓解。2019年6月29日患者饮酒后出现中上腹阵发性绞痛,伴腰背部、颈部、肩部放射痛,伴腹胀、恶心,至当地医院就诊,上腹部计算机断层扫描(computed tomography,CT)检查提示胰腺假性囊肿、脾脏囊肿,予脾脏囊肿引流术和抗感染治疗后症状好转。2019年7月23日患者饮酒后再次出现中上腹痛,性质同前,至当地医院行上腹部CT平扫检查示胰腺假性囊肿,对比前片囊肿范围增大,予抗感染和补液支持治疗,症状无明显好转。患者自患病以来,精神状态可,4个月内体重减轻10 kg,饮食、小便和睡眠均无异常。患者有饮酒史30年,每日饮白酒约0.5 kg,截至入院已戒酒6个月。完善相关检查后,于2019年8月7日急诊行腹腔动脉造影+出血动脉栓塞术。术后病情稳定,但中上腹阵发性隐痛时有发作。2019年10月28日行经内镜逆行胰胆管造影(encoscopic retrograde cholangiopancreatography,ERCP)放置胰管塑料支架引流,因主胰管结石堵塞,导丝无法进入,未成功置入胰管塑料支架。2019年12月4日行超声引导下胰腺假性囊肿穿刺置管引流术,成功置管,每日引流出约600 mL淡黄色清亮液体,检测引流液淀粉酶>12 000 U/L,未再出现腹痛、腹胀等不适。2019年12月27日复查上腹部磁共振成像增强扫描提示胰腺假性囊肿积液较前减少。继续予持续引流,口服补充胰酶以促进消化,口服泮托拉唑行抑酸治疗。在予以充分营养支持、待患者全身营养状况显著改善后,于2020年10月13日行全身麻醉下胰管切开取石+胰管-空肠吻合+广泛肠粘连松解术。术后病理提示少量胰腺组织和纤维组织增生,淋巴细胞、浆细胞浸润;免疫组织化学染色示Ki-67阳性(1%),S100钙结合蛋白P(S100 calcium-binding protein P,S100P)阴性,胰腺癌缺失基因4(deleted in pancreatic cancer-4,DPC4)阳性,细胞角蛋白(cytokeratin,CK)7部分阳性,CK19部分阳性,胰岛素样生长因子Ⅱ mRNA结合蛋白3(insulin-like growth factor Ⅱ mRNA binding protein 3,IMP3)阴性。
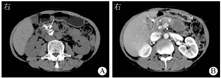
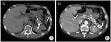
2019年8月7日入院体格检查示体温为36.5 ℃,脉率为78次/min,呼吸频率为20次/min,血压为120/80 mmHg(1 mmHg=0.133 kPa),精神尚可,可自行步入病房,神志清楚,无贫血貌,皮肤、巩膜轻度黄染,浅表淋巴结无肿大,心肺未见明显异常;腹平软,未见胃肠型和蠕动波,未见腹壁静脉曲张,中上腹轻压痛,无反跳痛,未扪及包块,肝脾肋下未扪及,墨菲征阴性,腹部叩诊鼓音,肝肾区无叩击痛,移动性浊音阴性,肠鸣音为4次/min,双下肢无水肿。血常规检查示白细胞计数为3.7×109/L,中性粒细胞占比为0.495,血红蛋白为101 g/L,血细胞比容为31.20%,血小板计数为336×109/L、超敏C反应蛋白为3.89 mg/L;血清淀粉酶为214 U/L。尿常规、粪常规+粪便隐血试验、肝肾功能、血清电解质、凝血功能、肿瘤标志物、甲状腺功能、自身抗体系列、免疫球蛋白G4、人类免疫缺陷病毒、梅毒螺旋体抗体均阴性。2019年8月7日上腹部CT增强扫描检查(图1、图2)提示慢性胰腺炎急性发作、胰腺多发结石,胰体尾部巨大假性囊肿,假性囊肿内脾动脉假性动脉瘤可能,脾囊肿。2019年8月8日磁共振胰胆管造影(magnetic resonance cholangiopancreatography,MRCP)示左右肝管、肝总管、胆总管粗细不均,局部显示不清,但未见扩张,其内未见明显充盈缺损,胰腺体尾部和脾门区见一长径约10 cm的类长圆形异常信号影,T1、T2加权像均呈混杂信号。脾脏外侧及其后方见一囊状水样信号,长径约7 cm。2020年10月13日入院体格检查示腹部有一长约10 cm手术切口,左侧脾窝穿刺引流管在位,引流液较少,腹软,腹部无压痛和反跳痛。血常规检查示白细胞计数为6.8×109/L,血清淀粉酶为196 U/L。假性囊肿引流液李凡他试验弱阳性,乳糜试验阳性,淀粉酶>12 000 U/L。上腹部CT增强扫描检查示慢性胰腺炎腹部术后,术区及其周围改变。




2019年8月7日入院诊断为慢性胰腺炎(酒精性)急性发作、胰腺多发结石、胰腺假性囊肿、脾动脉假性动脉瘤?脾囊肿?2020年10月13日入院诊断为慢性胰腺炎(酒精性)术后、胰腺假性囊肿伴乳糜漏、胰管结石、脾动脉假性动脉瘤栓塞术后。
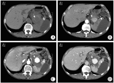
于2019年8月7日急诊行腹腔动脉造影+脾动脉瘤栓塞术(图3),术中经右侧股动脉穿刺置管后,引入5 F Corba导管行腹腔干造影,见脾动脉一条分支中段造影剂外漏,形成假性动脉瘤。经微导管超选择脾动脉出血分支,于破口远端和近端分别予6 mm×2 mm弹簧圈各2枚栓塞,复查造影栓塞满意。最后经Corba导管行腹腔干造影未见明显造影剂外渗,弹簧圈均在位。术后静脉滴注奥美拉唑40 mg(1次/d)抑酸护胃,加贝酯300 mg(1次/d)静脉滴注抑制胰酶活性。患者全身营养状况显著改善后,于2020年10月13日行全身麻醉下胰管切开取石+胰管-空肠吻合+广泛肠粘连松解术,术中见胰腺组织明显萎缩,质地硬,胰尾和脾周致密粘连,胰体尾部假性囊肿与周围组织紧密粘连难以剥离,且易出血。于胰腺表面纵行切开至胰管,沿主胰管纵行切开约5 cm,取出其内结石。取距离十二指肠悬韧带远端约25 cm处空肠,经结肠后方,以可吸收缝线行胰管-空肠侧侧吻合。取距离胰肠吻合口远端约50 cm处空肠,与胰肠吻合口近端空肠行空肠-空肠侧侧吻合。丝线扎闭胰肠吻合口近端肠段,完成非离断式(uncut) Roux-en-Y吻合。2020年10月16日上腹部CT平扫加增强扫描检查(图4)可见胰腺头颈部和部分体部多发点状高密度影,胰腺尾部可见金属伪影,增强扫描无明显强化,周围见部分渗出。术后予以醋酸奥曲肽注射液抑制胰腺分泌,并行窦道造影后以0.9%氯化钠溶液反复冲洗引流管,2周后患者引流液明显减少,无发热、畏寒等不适,予以出院。患者出院后定期复查,胰腺假性囊肿持续置管引流,每日引流约20 mL淡黄色透明液体。2021年3月28日起患者胰腺假性囊肿引流液呈乳糜样(图5),每日引流量为20~30 mL,无畏寒、发热。






消化内科谭炜主治医师:患者为中年男性,病程较长,以反复发作上腹痛为主要表现,伴腹胀、体重减轻,上腹部CT检查见胰腺实质、胰管内多发结石和胰管扩张等典型慢性胰腺炎表现,故慢性胰腺炎诊断明确。入院前出现的中上腹痛考虑为慢性胰腺炎急性发作。患者有饮酒史30年,折合每日乙醇摄入量为208 g,推测胰腺炎病因为酒精性。上腹部CT增强扫描检查发现胰体尾部巨大假性囊肿内高密度影,囊肿内脾动脉破裂出血可能性大,目前尚无失血性休克、感染等其他表现,请普通外科、放射介入科医师会诊讨论下一步治疗方案。
普通外科汤靓主治医师:患者慢性胰腺炎急性发作诊断明确,有长期大量饮酒史,无高脂血症,无胰腺外伤或手术史,血钙正常,腹部影像学检查未见胰腺分裂等先天性解剖结构异常,考虑胰腺炎病因为酗酒。此次入院上腹部CT检查可见胰腺假性囊肿内一高密度影,考虑脾动脉假性动脉瘤破裂出血,但出血局限于囊内。脾动脉假性动脉瘤是慢性胰腺炎的少见并发症,建议请放射介入科医师行栓塞治疗。
放射介入科董伟华主任医师:脾动脉瘤主要分为真性动脉瘤(占72%)和假性动脉瘤(占13%)[3],后者常见于有腹部外伤或慢性胰腺炎病史的患者[4]。假性动脉瘤破裂引起的急性出血是最致命的并发症,未经治疗的患者死亡率高达90%~100%,即使积极治疗,死亡率仍为12%~50%[5]。该患者应考虑脾动脉假性动脉瘤破裂。上腹部CT检查发现患者假性囊肿与主胰管不相通,故破裂局限于假性囊肿内,未发生呕血、黑便和粪便隐血试验阳性等消化道出血表现,且发现及时,暂未出现明显临床预后不良证据。但考虑该病死亡风险极高,需立即行动脉瘤栓塞术止血。
消化内科林勇主任医师:患者腹腔内有多发的囊性病灶,包括胰体尾部和脾脏,胰腺假性囊肿可发生在胰周,也可发生在与胰腺不相邻的部位。上腹部CT检查可见胰体尾部假性囊肿延伸至脾外侧缘,至脾脏受压移位、变形。结合病史,患者的脾囊肿为假性囊肿可能性大,可待后续观察或处理。现酒精性慢性胰腺炎急性发作诊断明确,出现了假性囊肿和囊肿内脾动脉假性动脉瘤破裂等并发症,建议首先行介入治疗紧急处理脾动脉假性动脉瘤破裂,预防大出血。该患者胰腺实质和胰管内均广泛分布结石,堵塞分支胰管和主胰管,导致胰液分泌不畅,后续可能仍会发生胰腺炎反复发作;若症状持续不改善,胰腺假性囊肿持续增大,需进一步处理。由于胰腺结石广泛分布于胰腺实质和体尾部,体外震波碎石效果差,首先考虑ERCP置入胰管塑料支架,结合经皮或超声内镜穿刺引流。
普通外科邵成浩主任医师:同意前述意见,目前需预防脾动脉假性动脉瘤破裂诱发大出血,尽早行介入栓塞治疗。该患者慢性胰腺炎反复急性发作,腹部影像学上可见该患者胰腺实质和胰管内广泛分布结石,造成主胰管和分支胰管堵塞,生活方式干预(戒酒、戒烟)和内科保守治疗效果欠佳,待后续病情稳定后,考虑行内镜或超声引导下引流处理。慢性胰腺炎的主要手术指征为出现顽固性疼痛,其他手术指征包括合并肿瘤可能、巨大胰腺假性囊肿、胰漏和假性动脉瘤或大血管受累等[6]。该患者具备上述手术指征,考虑一般情况较差、消瘦明显,若内科和内镜等治疗效果不佳,在充分营养支持后可选择外科手术治疗。
该患者在明确手术指征后及时行外科手术干预,术后无腹痛、腹泻、恶心、呕吐,无血糖升高等胰腺内、外分泌功能障碍表现,提示尽早行外科手术治疗对改善临床症状意义重大。脾门淋巴结包含在脾蒂中,胰尾常伸入脾蒂紧贴脾门,脾脏的淋巴引流汇集于脾门淋巴结。该患者术中可见胰尾部巨大假性囊肿与脾脏致密相连,术后多次复查引流液淀粉酶显著高于正常参考值,考虑术后胰瘘形成后未闭合,此次术后半年胰腺假性囊肿引流出乳糜样囊液,可能与假性囊肿长期包绕脾脏周围、囊液中的胰液侵蚀脾门淋巴结或小淋巴管,导致淋巴液漏入囊肿所致。
消化内科谢渭芬主任医师:该患者目前存在2个问题,一是胰腺假性囊肿经久不愈,二是假性囊肿引流出乳糜样液体。首先,该患者虽然通过外科手术行主胰管切开取石,完成胰管-空肠吻合术解除主胰管结石梗阻,但考虑到囊肿较大,可能包绕部分分支胰管,且胰管被结石阻塞导致胰管压力升高,当分支胰管压力高于囊内压力时,部分胰液仍无法通过胰肠吻合口进入肠腔而潴留于囊内,导致假性囊肿不能愈合。其次,此次复诊发现患者出现乳糜样囊液,根据引流液乳糜试验阳性,可确定为假性囊肿内出现乳糜漏。乳糜漏为胸导管或淋巴管主要分支发生破损导致乳糜液漏出,腹腔乳糜漏常见于腹部外科手术后,特别是胰腺手术和结肠手术淋巴结清扫后2~3 d,但该患者术后短期内腹腔和假性囊肿引流液均未出现乳糜样改变,此次出现乳糜漏为术后6个月,考虑与手术无关。胰腺炎后乳糜漏非常罕见,胰腺假性囊肿内合并乳糜漏鲜有文献报道。本例患者假性囊肿内出现乳糜漏,其一考虑假性囊肿内的囊液侵蚀淋巴管导致乳糜液漏入囊肿中所致;其二考虑该患者病程较长,反复出现慢性胰腺炎急性发作,胰周渗出长期压迫淋巴管致淋巴回流不畅,远侧淋巴管扩张,最终导致淋巴管破裂至囊内引起乳糜漏。后续治疗中给予醋酸奥曲肽注射液抑制胰腺外分泌、0.9%氯化钠溶液冲洗囊肿,治疗有效,亦证实上述推测。
胰腺假性囊肿是慢性胰腺炎的常见并发症,该病例的特殊性在于其并发复杂假性囊肿,先后出现脾动脉假性动脉瘤破裂出血和乳糜漏等并发症。脾动脉假性动脉瘤是由于胰酶的局部释放导致弹性蛋白纤维断裂和血管壁退行性改变,引起脾动脉假性动脉瘤样扩张[4]。脾动脉假性动脉瘤破裂出血是慢性胰腺炎罕见而凶险的并发症。Bergert等[7]报道慢性胰腺炎患者中假性动脉瘤破裂出血的患病率为5%,最常累及的动脉是脾动脉。
脾动脉假性动脉瘤破裂的症状、预后与出血位置密切相关,破入胰管者因会出现呕血、黑便等出血表现而较易早期诊断、及时治疗,而破入假性囊肿、腹腔或后腹膜者起病隐匿,发现时往往已出现血容量不足,预后不佳,死亡率高达90%[8,9]。因此,早期诊断和干预对于改善慢性胰腺炎并发假性动脉瘤患者的预后非常重要。常用干预手段包括介入栓塞、血管内支架、手术套扎、脾切除、远端胰腺切除等。介入治疗创伤小、操作便捷,适用于一般情况较差、血流动力学不稳定而无法接受麻醉和手术的假性动脉瘤破裂出血患者[10,11]。本例患者脾动脉瘤破于胰腺假性囊肿中,无明显临床表现,经及时介入栓塞出血动脉后未出现不良结局。
胰腺炎后乳糜漏非常罕见,目前尚未见胰腺假性囊肿内出现乳糜漏的文献报道。本例患者乳糜性囊液出现的原因主要考虑为术后假性囊肿侵及淋巴管,以及长期胰周炎性渗出压迫周围淋巴管导致淋巴管阻塞,远端淋巴管压力增大破裂,从而导致乳糜漏。
总之,慢性胰腺炎病程长、并发症变化复杂,多学科协作治疗模式可改善慢性胰腺炎患者的整体疗效。本例慢性胰腺炎合并胰腺巨大假性囊肿、囊内脾动脉假性动脉瘤破裂和乳糜漏患者,通过消化内科、影像科、放射介入科、普通外科多学科协作诊疗,解决了诊治过程中的难点。
所有作者均声明不存在利益冲突





















