
脾动脉瘤破裂致下消化道出血是一类极其罕见且凶险的疾病,检索国内近30年文献未见报道。北京大学第一医院收治了1例首发症状为排暗红色血便的40岁女性患者,通过结肠镜、全腹部+盆腔增强计算机断层扫描和脾动脉造影检查发现,患者脾动脉真性动脉瘤破裂入结肠脾曲致下消化道出血,最终经弹簧圈介入栓塞治疗后康复出院。出院后随访1.5年,未再便血。
版权归中华医学会所有。
未经授权,不得转载、摘编本刊文章,不得使用本刊的版式设计。
除非特别声明,本刊刊出的所有文章不代表中华医学会和本刊编委会的观点。
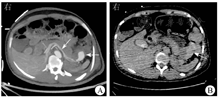
患者女,40岁,主因排"暗红色血便7 d,加重1 d"于2020年10月31日就诊于北京大学第一医院。患者7 d前无明显诱因排暗红色血便伴血块,就诊于某三级甲等医院,行胃镜检查示幽门管溃疡,结肠镜检查示直肠溃疡伴出血可能,但胃镜和结肠镜下皆未见活动性出血,内镜检查后仍有大量鲜血便排出;转诊至另一所三级甲等医院行内科保守治疗,给予200 mL氨甲环酸氯化钠注射液(每100 mL内含氨甲环酸0.5 g、氯化钠0.85 g)止血、4 U悬浮红细胞输注,患者仍间断排鲜红色血便,血红蛋白进行性下降;再转诊至第3所三级甲等医院行肠系膜下动脉+髂内动脉造影术,并予直肠上动脉小分支血管栓塞,后便血再次加重,遂转诊至北京大学第一医院急诊科。急查血常规示白细胞计数为9.56×109/L,红细胞计数为1.84×109/L,血红蛋白为57 g/L,平均红细胞体积为91.8 fL,平均红细胞血红蛋白含量为31 pg,平均红细胞血红蛋白浓度为337 g/L;血生物化学检测示丙氨酸转氨酶为9 U/L,天冬氨酸转氨酶为14 U/L,白蛋白为24.1 g/L,钾离子为3.23 mmol/L;凝血功能检测示凝血酶原时间为13.5 s,活化部分凝血活酶时间为25.8 s,国际标准化比值为1.17,纤维蛋白原为1.38 g/L,D-二聚体为0.29 mg/L;粪便常规检查示镜检红细胞满视野,粪便隐血试验阳性。2020年10月31日21:02行全腹部+盆腔计算机断层扫描(computed tomography,CT)平扫检查示结肠腔内可见稍高密度灶(图1A);胰尾部与结肠间可见一大小为48 mm×43 mm的类圆形病灶,病灶右部呈稍高密度,病灶左部呈稍低密度(图1B);直肠上段可疑增厚,盆腔少量积液。患者自述既往体健,孕2产1,月经规律,无胰腺炎和腹痛病史,未口服抗凝、抗血小板药。体格检查示体温为36.7 ℃,血压为117/71 mmHg(1 mmHg=0.133 kPa),心率为96次/min,呼吸频率为16次/min;神志清楚,精神可,贫血貌,腹软无压痛,无腹膜刺激征,肝、脾肋下未及,肠鸣音8次/min,墨菲征阴性,移动性浊音阴性。


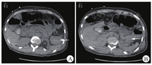
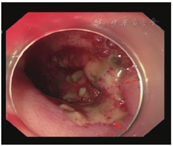
患者生命体征平稳,入院后未再次便血,暂予禁食水、补液、抑酸处理,给予200 mL氨甲环酸氯化钠注射液止血、2 U悬浮红细胞输注。2020年11月1日9:00复查血红蛋白为66 g/L,生命体征平稳,无便血,继续给予内科保守治疗并观察。11月2日4:22患者排大量(约500 mL)鲜血便,伴意识模糊,血压为57/35 mmHg,急查血常规示红细胞计数为0.85×109/L,血红蛋白为26 g/L,平均红细胞体积为93 fL,平均红细胞血红蛋白含量为30 pg,平均红细胞血红蛋白浓度为329 g/L。11月2日8:22急诊行第1次结肠镜检查,在直肠下段可见溃疡糜烂面,边界清楚,有黄苔附着,表面见大小约3.0 cm×2.5 cm的陈旧血块,未见明显活动性出血;进镜至回盲部观察3 min,未见血液从小肠流出;退镜过程中可见结肠腔内大量血凝块,反复冲洗未见新鲜出血(图2)。肠镜退出后20 min,患者再次排出大量(约500 mL)鲜血便,伴意识丧失。给予患者双通道加压补液、血管活性药物泵入、4 U悬浮红细胞输注、400 mL新鲜冰冻血浆输注后,收缩压上升至60~90 mmHg,意识稍有恢复。11月2日11:02急诊行全腹部+盆腔增强CT检查,动脉期、门脉期扫描示胰尾部与结肠间类圆形病灶明显强化,程度均与动脉相近,最大密度投影重建图像示病灶与脾动脉、结肠脾曲相连(图3A);延迟期扫描示结肠脾曲左侧肠腔内可见密度增高,提示肠腔内对比剂进入(图3B)。考虑脾动脉瘤破裂致结肠脾曲活动性出血。11月2日13:35行第2次结肠镜检查,进镜至结肠脾曲,可见黏膜隆起伴充血肿胀,顶端可见糜烂,有白色血栓头附着,未见活动性出血,以肠镜触碰血栓头可见鲜红色血液喷出(图4A);予以钛夹夹闭出血动脉,夹闭过程中可见大量活动性出血,6枚钛夹夹闭后暂无活动性出血(图4B)。结肠镜下止血后,患者仍持续排出少量血便(约80 mL/h),收缩压为80~100 mmHg。考虑动脉瘤破裂致结肠脾曲出血,钛夹止血不彻底,病因不能去除,仍有出血可能,遂于11月2日15:05行数字减影血管造影(digital subtraction angiography,DSA),可见脾动脉瘤样扩张,最大径为4.2 cm(图5A),证实为脾动脉真性动脉瘤,但未发现对比剂大量外渗,考虑因患者血压较低暂未出血或内镜下钛夹成功止血;在瘤体左侧可见结肠腔内的钛夹,证明存在脾动脉瘤结肠脾曲瘘。采用介入导管超选至脾动脉,置入6枚弹簧圈栓塞,再次造影未见对比剂溢出,动脉瘤不再显影(图5B)。11月3日患者排出少量血便,但生命体征平稳。术后1周复查增强CT示脾动脉栓塞术后,脾动脉瘤腔内未见对比剂进入,肠腔未见活动性出血。术后2周患者无便血、腹痛等不适,恢复进食后粪便常规和隐血试验均阴性,复查血红蛋白为97 g/L,康复出院。随访1.5年,患者未再便血,血红蛋白、血小板计数均在正常参考值范围内,粪便常规检查未见异常。








脾动脉瘤是腹部常见的真性动脉瘤之一,其发病率为0.2%~2.0%,仅次于主动脉瘤和髂动脉瘤[1,2]。脾动脉瘤通常是孤立的,呈囊状,根据瘤体所处的部位分为远离脾门型、近脾门型和中间型3型。远离脾门型瘤体位于脾动脉主干,距脾脏5 cm以上;近脾门型瘤体位于脾门处脾动脉分支上,甚至伸入脾实质;中间型介于上述两者之间[3]。本例患者为远离脾门型。脾动脉瘤破裂出血发生率为4%~30% ,一旦发生破裂则预后较差,死亡率可达90%[4] 。一项大型病例系列研究显示,约5%的脾动脉瘤初诊时即破裂,平均最大径为3.5 cm,未破裂的脾脏动脉瘤平均最大径为2.2 cm[5],本例患者动脉瘤最大径为4.2 cm。
脾动脉瘤破裂致消化道出血是一类罕见、隐匿且凶险的疾病。经检索发现,本例患者为国内报道的第1例脾动脉真性动脉瘤破裂致下消化道出血病例。回顾国内外近20年关于脾动脉瘤破裂致消化道出血的68篇文献,共计73例患者,其中男57例(78.1%),女16例(21.9%),年龄为(51.67±15.01)岁,主要临床表现为腹痛、黑便、呕血和血便;脾动脉假性动脉瘤占58.9%(43/73),真性动脉瘤占27.4%(20/73),其余10例未获取病理标本且从影像学难以明确诊断。假性动脉瘤常见的原因为慢性胰腺炎(44.2%,19/43)和急性胰腺炎(18.6%,8/43),其他原因包括术后、肿瘤、外伤、结核、腹膜炎等,还有部分原因不明[6]。真性动脉瘤通常与血流量增加有关,如妊娠(特别是多胎)、原发性高血压、动静脉瘘或畸形、门静脉高压症等。脾动脉瘤破入消化道的部位包括胰管(38.4%,28/73)、胃(27.4%,20/73)、结肠(13.7%,10/73)、手术切口(4.1%,3/73)、十二指肠(4.1%,3/73)与位置不明(12.3%,9/73),值得关注的是上消化道出血占比较高,胰管、胃和十二指肠出血共51例,占69.9%。在治疗和预后方面,接受手术治疗的患者占43.8%(32/73),包括动脉瘤体切除,以及脾脏和受累脏器的部分切除、修补和吻合等,预后均较好。接受介入治疗的患者占39.7%(29/73),其中4例因介入术后再出血行手术治疗,1例介入栓塞治疗失败,1例出现严重的术后感染。9例患者明确病因后行内科保守治疗,均效果不佳。有2例患者在明确病因前即死亡,最终通过尸体解剖明确动脉瘤破裂诊断。1例患者明确病因后放弃治疗自愿出院,预后不详。
本例患者为青年女性,因排暗红色血便就诊于多家医院,通过胃镜、结肠镜、平扫CT等检查未能明确病因和出血部位,多次出现排大量血便伴失血性休克,起病具有隐匿性且病情凶险。完善全腹部+盆腔增强CT后最终考虑脾动脉瘤破裂入结肠脾曲致下消化道出血的诊断,通过结肠镜检查明确出血部位并给予钛夹封闭后,在急诊DSA下行脾动脉造影,证实了脾动脉真性动脉瘤破裂入结肠脾曲致下消化道出血的诊断,经弹簧圈栓塞治疗后病情得到有效控制。
本例患者无多胎妊娠、外伤、腹部手术、慢性胰腺炎、门静脉高压、原发性高血压等相关病史,脾动脉瘤破裂入结肠脾曲的具体机制不明,推测可能既往存在脾动脉瘤,动脉瘤对结肠壁产生长期的机械性压迫,局部形成粘连,肠壁坏死,动脉瘤冲击破溃进入肠腔导致出血。Panzera等[7]于2020年报道了1例类似病例并获得术后病理结果,该例患者为35岁男性,无既往相关病史,因上消化道出血、严重贫血和低血压休克就诊,完善增强CT检查后,考虑脾动脉真性动脉瘤胃后壁瘘致上消化道出血,治疗上采用脾动脉瘤切除+脾切除+胰腺部分切除+胃部分切除术。术后大体标本可见脾动脉瘤样扩张,呈梭形,累及所有壁层,周围无炎症,脾脏表面血管充血扩张,远端胰腺样本未见异常;显微镜下观察可见脾动脉血管壁内皮层多种活性蛋白被破坏,伴黏液样变性和炎性浸润,中膜层平滑肌增生,外膜层血管壁弹性纤维被破坏。
目前,国内外尚无通用的脾动脉瘤破裂致消化道出血的管理指南,相关报道均为个案回顾。CT血管造影和DSA是脾动脉瘤常用的影像学检查,可明确瘤体大小、破口位置和出血速度。脾动脉瘤治疗方法包括经皮介入(弹簧圈栓塞或覆膜支架技术)、开放手术修复、腹腔镜下切除或钳夹。由于脾脏存在胃短动脉的侧支供应,通常理想的脾动脉瘤治疗方式是弹簧圈栓塞术,报道的成功率为90%~100%[8]。弹簧圈栓塞术的并发症包括脾梗死和动脉瘤再灌注。研究显示,脾梗死是门静脉高压症或脾门动脉瘤患者的常见并发症,发生于25%~40%的患者,但通常予以镇痛为主的对症治疗即可[9]。动脉瘤再灌注见于5%~20%的患者,为了评估术后是否有动脉瘤再灌注,需要每年进行CT或磁共振成像检查随访[10]。开放性手术的选择通常取决于动脉瘤的部位及其表现,脾切除术多用于脾动脉瘤破裂和累及脾门的动脉瘤[11],手术修复的整体成功率高达98%,术后并发症少且不易复发,但是当患者血流动力学不稳定、基础疾病较多时手术风险会相应增高[12]。有学者认为腹腔镜手术是治疗脾动脉瘤最安全、可行的方法,其与开放手术相比具有并发症发生率低、手术时间短和住院时间短的优点[13]。
对于血流动力学稳定患者,建议首选腹腔镜手术;血流动力学不稳定患者可先通过介入治疗置入弹簧圈栓塞动脉瘤,待血流动力学稳定后再予腹腔镜手术治疗。本例患者明确诊断时已多次出现失血性休克,血流动力学不稳定,在血管活性药物和双通道加压补液下紧急行介入弹簧圈栓塞术,术后未出现脾梗死、再出血等并发症,随访1.5年未见动脉瘤再灌注。考虑到远期复发的可能,已与患者沟通进一步腹腔镜手术治疗的计划,患者及其家属出于多方面因素暂不同意手术治疗。
脾动脉瘤破裂致下消化道出血是一类极其罕见且凶险的疾病,尽早行CT血管造影或DSA检查可明确诊断,经介入或手术治疗能获得较好的预后。国内外关于消化道出血的指南和规范均未提及脾动脉瘤破裂相关的消化道出血,该病例诊治过程望能引起临床医师的重视。
所有作者均声明不存在利益冲突





















