
版权归中华医学会所有。
未经授权,不得转载、摘编本刊文章,不得使用本刊的版式设计。
除非特别声明,本刊刊出的所有文章不代表中华医学会和本刊编委会的观点。
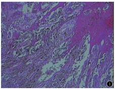
患者 女,59岁。4~5年前无明显诱因下发现右手黑色斑块,约米粒大小,无红肿、痛痒。1年前右手黑斑进行性增大,无触痛,无红肿,无瘙痒,无溃烂。临床检查:右手拇指中节桡侧可见1.2 cm×0.9 cm黑斑,略高于皮面,表面粗糙不平,未见毛发生长、破溃、皲裂及异常分泌物等,皮下尚可推动,未触及粘连固定,周围皮肤无红肿。拇指活动无障碍,肘部滑车淋巴结及腋窝淋巴结未触及肿大。于局部麻醉下行右手皮肤恶性肿瘤扩大切除+任意皮瓣转移修复术,术中见肿块长1.2 cm,宽0.9 cm,先超过肿块边缘3 mm标记切除范围,局部利多卡因浸润麻醉,依据标记线切除右手黑色肿块,深达肌层(标本送快速病理检查)。肿块切除后留下同等大小皮肤缺损,故术中在缺损旁做一个舌形皮瓣,游离周边皮肤以及复合皮瓣,交叉后修复,分层缝合皮下、皮肤。修复右拇指形态、活动基本正常,无明显畸形。快速病理报告为恶性黑色素瘤,建议截肢手术,患者不能接受。术后常规病理报告:右手恶性黑色素瘤,浸润至真皮深层,深度约0.3 cm(图1);侧切缘、底切缘阴性,免疫组化Vimentin、HMB45、S-100、Melan-A均强阳性,CK阴性。术后患者出院赴省级医院进一步扩大手术及后续治疗。


恶性黑色素瘤临床特点多样,取决于病变类型和肿瘤发展阶段以及病变部位。本病起源不明,即没有前驱病变,也可发生于既往存在的良性黑色素细胞痣,最常受累的部位是面部以及男性的耳和颈部皮肤,男性背部和肩部以及女性下肢也是好发部位,但发生于手指较少见[1]。可发生于任何年龄,主要发生在中老年人,高峰发病年龄为60至70岁,临床诊断恶性黑色素瘤的标准有肿瘤不对称性、不规则的边界、不均匀的颜色、直径>0.6 cm。病理组织学形态变异大,瘤细胞在表皮及真皮内浸润性生长,可呈圆形、椭圆形、梭形、上皮样、泡沫样、印戒样,细胞可大、可小,胞质色素可多可少或无色素,有时细胞异形性及体积大,可有强嗜酸性的核仁。免疫组化瘤细胞Vimentin、S-100、HMB45、Melan-A均强阳性,少数病例CK、EMA、CEA、CD117可少量表达。黑色素瘤恶性程度高,转移发生早,转移性率及病死率均较高,肿瘤的Clark浸润水平、breslow厚度、患者的性别及病变部位、组织学类型、有无溃疡均是预后指标。手术彻底切除联合放射、化学治疗是目前主要的治疗方法,近年来细胞免疫治疗已成为恶性黑色素瘤个体化综合治疗的重要组成部分及研究热点[2]。





















