
版权归中华医学会所有。
未经授权,不得转载、摘编本刊文章,不得使用本刊的版式设计。
除非特别声明,本刊刊出的所有文章不代表中华医学会和本刊编委会的观点。
患者男,78岁,右前臂红肿1个月,加重伴破溃半月。患者1个月前无明显诱因右前臂出现小片状红斑,无自觉症状,表面皮温稍高,无压痛、水疱、破溃,无畏寒、发热,自行外用喜辽妥无改善,红斑面积渐扩大。半月前红斑上出现血疱,很快形成溃疡,伴有渗出,疼痛明显,来我院就诊,予青霉素抗感染治疗无改善。后考虑可能为血管炎类疾病,予泼尼松治疗,皮损很快扩大,溃疡加重,疼痛明显,收住入院治疗。既往病史无特殊。
体检:生命体征正常,各系统检查无异常。右前臂12 cm × 24 cm水肿性红斑,境界清楚,表面皮温高,无波动感,压痛明显。红斑上散在血疱,黄豆至钱币大小浅表性溃疡,表面有渗出,少量脓性分泌物,无结节、增生(图1A)。实验室检查:血常规白细胞9.53 × 109/L,中性粒细胞比率0.80;血细胞沉降率32 mm/1 h,C反应蛋白26.1 mg/L;生化全套、结核抗体、肿瘤标志物、乙肝病毒、艾滋病病毒、快速血浆反应素环状卡片试验、甲状腺功能、抗核抗体系列、抗中性粒细胞胞质自身抗体、IgA、IgG、IgM检测均正常;皮损分泌物细菌培养、抗酸杆菌涂片均阴性;右上肢血管B超未见异常;头颅、胸部及腹部CT平扫无异常。


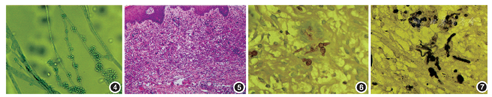
真菌学检查:多次、多处溃疡处刮片直接镜检,可见棕色、分支分隔菌丝,未见典型厚壁孢子(图2)。真菌培养:多次取溃疡边缘组织、分泌物分别接种于含氯霉素沙氏培养基和含氯霉素、放线菌酮的沙氏培养基,置27 ℃培养,开始为黑色、湿润的酵母样菌落,后逐渐有绒毛状灰色气生菌丝生长,背面为黑色(图3);小培养:可见管状瓶梗,瓶梗无领口状结构,椭圆形、光滑的单分生孢子聚集在瓶梗顶端(图4)。温度试验:将该菌种接种于沙氏培养基,分别在27、35、38、40、42 ℃条件下培养2周,结果在所有温度下均生长。体外药敏试验:参照美国国家实验室标准委员会(CLSI)颁布的产孢丝状真菌微量液体稀释法(M38-P)方案,最低抑菌浓度(MIC)分别为:两性霉素B 4.0 mg/L,氟康唑4.0 mg/L,酮康唑1.0 mg/L,伊曲康唑0.5 mg/L,伏立康唑0.125 mg/L,特比萘芬0.25 mg/L,米卡芬净4.0 mg/L,阿尼芬净4.0 mg/L。


皮损组织病理检查:棘层肥厚,真皮层肉芽肿性炎症,可见以中性粒细胞为主的混合性炎症细胞,大量多核巨细胞(图5)。PAS染色(图6)及GMS染色(图7)可见大量孢子和菌丝,抗酸染色阴性。
分子生物学检查:利用真菌DNA提取试剂盒(GeneRay公司)提取致病菌基因组DNA,设计引物如下:NS1-F:GTAGTCATATGCTTGTCTC,NS8-R:TCCGCAGGTTCACCTAC GGA,扩增的序列为18S rDNA; ED1-F:TCGTGTCCAATGTCT GAGTATATTAC,ED2-R:GTGCTCAGTGAAGAAGCTCCG,扩增的序列为ITS. PCR产物送上海桑尼生物科技有限公司测序,测序结果登录http://blast.ncbi.nlm.nih.gov/Blast.cgi进行BLAST比对,扩增序列与皮炎外瓶霉中相应序列100%匹配。
诊断:根据真菌学、组织病理、分子生物学检查结果,诊断为皮炎外瓶霉引起的皮肤暗色丝孢霉病。
治疗:口服伊曲康唑400 mg/d,治疗期间每月复查肝功能,治疗2个月后溃疡愈合,皮损面积缩小(图1B),继续伊曲康唑400 mg/d治疗,目前仍在治疗随访中。
暗色丝孢霉病是由一大组条件致病性暗色真菌引起的皮肤、皮下组织甚至系统性感染,其病原菌在寄生组织内主要以暗色分隔菌丝为特征,还可见有发芽或不发芽的酵母样细胞。外瓶霉属是常见的引起暗色丝孢霉病的致病菌。
皮炎外瓶霉广泛分布于植物、泥土和空气中,尤其是气温高、潮湿和低浓度有机化合物的环境中。国内近十年的调查研究资料显示,我国华北、华东、华南、西北等地均有分布,干旱地区较少见[1]。暗色丝孢霉病多侵犯免疫功能低下人群,一项72例播散性暗色丝孢霉病病例的回顾性研究发现,绝大部分病例都有免疫功能低下,9例由于外瓶霉属引起,其中3例致病菌为皮炎外瓶霉[2]。本病例免疫功能正常,无原发感染灶,否认外伤史及注射史,感染途径不明确。与其他外瓶霉相比,皮炎外瓶霉更易引起播散性感染,包括颅脑、心脏、肺脏、消化道,在这些深部感染病例中,死亡率至少40%[2,3,4]。本患者仅表现为皮肤感染,系统无累及,较为罕见。
皮炎外瓶霉的鉴定主要依靠形态学、温度耐受试验、硝酸盐利用试验及分子生物学方法。皮炎外瓶霉在沙氏培养基上生长缓慢,开始为黑色、湿润的酵母样菌落,以后逐渐有绒毛状灰色气生菌丝,镜下可见环痕产孢结构(又称为无领口的瓶梗),能够在42 ℃下生长,不能利用硝酸盐。有学者通过对不同来源的皮炎外瓶霉和其他菌种的rDNA及ITS1、ITS2区序列进行分析,在ITS1高变区和ITS2高变区设计了特异性引物,15株皮炎外瓶霉扩增结果均为阳性,而皮炎外瓶霉外的菌株扩增结果均为阴性[5]。本文菌种同时采用了上述特异性引物及18S rDNA引物扩增出ITS序列及18S rDNA序列,均与皮炎外瓶霉符合。
治疗应依据药敏结合选择合适的抗真菌药物,剂量和疗程应个体化。





















