
版权归中华医学会所有。
未经授权,不得转载、摘编本刊文章,不得使用本刊的版式设计。
除非特别声明,本刊刊出的所有文章不代表中华医学会和本刊编委会的观点。
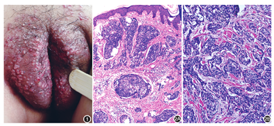
患者女,35岁,因外阴肿胀半年,发生淡红色丘疹结节1个月就诊。半年前,患者大阴唇出现肿胀,无痛痒,就诊前1个月表面出现红斑、丘疹、结节,并逐渐增多。患者自述4年前因宫颈癌于无锡市妇幼保健院行全子宫切除+双附件移位+盆腔淋巴结清扫术+腹主动脉旁淋巴结切除术,术后病理诊断为宫颈鳞状细胞癌2~3级,癌肿累及宫颈全层,上达子宫腔下段,脉管内见癌栓,左右盆腔淋巴结内见转移癌,术后行化疗和放疗,2年后患者无任何不适,胸腹部B超及CT检查未见可疑病灶。外阴部发病前无感染外伤史,否认家族史。各系统检查未见异常。皮肤科检查:外阴两侧阴唇弥漫性肿胀,表面有密集的大小不一的丘疹、结节或斑块,质地较硬(图1)。实验室检查:血尿常规、肝肾功能均正常。皮损组织病理:肿瘤组织位于真皮内,呈巢状或团块状,细胞异形,核大,深染(图2A,图2B)。免疫组化检查示肿瘤细胞P63蛋白及P16蛋白胞核阳性,上皮细胞膜抗原(EMA)胞质阳性,细胞角蛋白5/6部分阳性,ki-67 > 80%阳性,细胞角蛋白20阴性,提示肿瘤细胞为上皮来源,并为宫颈鳞状上皮来源,增殖指数高。结合临床诊断为:宫颈鳞状细胞癌外阴转移。遂请妇产科会诊后转上海肿瘤医院治疗,初期以放疗为主,配合化疗,皮疹有所改善,后失访。


宫颈癌在女性恶性肿瘤中居第2~4位,皮肤转移非常罕见,发生率< 2%[1],国内外少有报道。Agrawal等[1]通过对47例宫颈癌皮肤转移病例总结分析发现宫颈癌皮肤转移的发病年龄23~79岁,平均年龄52岁,出现皮肤转移的时间随着疾病分期的上升逐渐缩短,其中Ⅰ、Ⅱ、Ⅲ、Ⅳ期出现皮肤转移的时间分别为37.6、20.8、24.9、3.4个月。组织病理学上,以鳞状细胞癌为主,占63.8%,腺癌占10.6%,其次是未分化癌和腺鳞状细胞癌,以直接蔓延到临近盆腔器官和淋巴堵塞为主,血行和远处转移比较少见。晚期宫颈癌较早出现皮肤转移的概率更大,Ⅰ期、Ⅱ期、Ⅲ期、Ⅳ期宫颈癌皮肤转移率分别为0.8%、1.2%、1.2%和4.8%[2]。宫颈癌皮肤转移常见的部位依次为腹壁、胸部、外阴、前胸壁和下肢[3]。转移性皮损通常为单个,多发较少,常见表现依次为皮肤结节、斑块、斑丘疹和弥漫性炎症皮疹[4]。皮肤转移的具体机制尚不清楚,出现皮肤转移通常为预后不良的信号,生存期通常仅为8.5个月。宫颈癌外阴转移需与性传播疾病、外阴溃疡等鉴别,组织病理学及血液学检查可以明确。
本例患者表现为阴唇及外阴高度肿胀,表面有丘疹结节,质硬,组织病理显示为肿瘤细胞呈巢状,异形,核深染,免疫组化提示鳞状上皮来源。结合病史,患者4年前有宫颈鳞状细胞癌Ⅰ期手术史,故考虑宫颈癌皮肤转移。阴唇及外阴的高度肿胀考虑是大范围的手术或肿瘤阻塞引起淋巴回流障碍所致。由于患者和医生缺乏对本病的认识,很容易误诊延误病情,定期随访早期诊断对预防疾病非常重要。





















