
版权归中华医学会所有。
未经授权,不得转载、摘编本刊文章,不得使用本刊的版式设计。
除非特别声明,本刊刊出的所有文章不代表中华医学会和本刊编委会的观点。
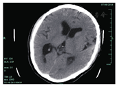
患者男,47岁,已婚。因头晕头痛伴记忆力减退2个月入院。患者于2个月前无明显诱因,出现阵发性头晕头痛,无恶心呕吐,休息后可缓解,记忆力减退,并逐渐加重,易怒,无其他不适。配偶梅毒血清学试验阴性。否认非婚性接触史及输血史。个人史、家族史无特殊。至杭州市第一人民医院心理科就诊,梅毒血清学试验结果:甲苯胺红不加热血清试验(TRUST)阳性(1∶32),梅毒螺旋体明胶凝集试验(TPPA)阳性,遂至皮肤科住院。患者于2016年7月6日行脑脊液检查:潘氏试验(+),白细胞计数9 × 106/L,蛋白74 mg/dl,TRUST阳性(1∶2),TPPA阳性,诊断为神经梅毒,麻痹性痴呆。7月7日,以青霉素钠针600万U,每6小时1次静脉滴注。7月9日凌晨青霉素静脉滴注结束5 min,患者突然倒地,左眼睑肿胀青紫,意识丧失,呼之不应,四肢抽搐,牙关紧闭,口吐白沫。血压198/104 mmHg(1 mmHg= 0.133 kPa),心率104次。查急诊头颅CT:提示两侧基底节区,侧室旁腔隙灶,两侧侧室、三室形态增大(图1)。患者癫痫症状持续30 min不能自行缓解。神经内科会诊诊断继发性癫痫,癫痫持续状态。7月12日,颅脑MRI平扫+弥散成像:两侧额顶枕部分皮层、丘脑区及侧脑室后角旁信号异常,考虑缺血性病变;两侧脑室增大表现。15日头颅CT平扫:左侧眶周软组织肿胀,左侧额窦后侧壁局部皮质断裂;两侧基底节区、侧室旁腔隙灶,幕上脑积水。余检查无明显异常。予安定、咪达唑仑、甘露醇及青霉素钠治疗下,患者仍呈持续浅昏迷状态,反复出现四肢抽搐。体检:右眼瞳孔直径3 mm,对光反射迟钝,左眼肿胀,对光反射无法配合,颈强直3指,左侧偏瘫,粗测肌力1级,左侧病理征阳性,右侧正常。余神经体检无法配合。2 d后转入神经内科,将青霉素钠改头孢曲松2 g每天1次静脉滴注治疗神经梅毒,予地西泮、丙戊酸钠、左乙拉西坦等进一步治疗癫痫。治疗2周后患者症状好转,意识清晰,四肢活动自如,反应仍迟钝,神经体检无特殊。出院后继续以苄星青霉素240万U肌内注射,每周1次,连续3次。3个月后随访,患者具备简单生活自理能力,但记忆力、计算力仍较差,未再出现癫痫。


目前把神经梅毒分为无症状神经梅毒、脑脊膜神经梅毒(梅毒性脑膜炎和梅毒性硬脊膜炎)、脑膜血管神经梅毒、脊髓痨和麻痹性痴呆及神经系统树胶肿五型。麻痹性痴呆是梅毒螺旋体破坏皮质神经元细胞而出现精神神经功能障碍,是晚期神经梅毒中最严重的一种类型。本例患者以进行性记忆力减退及易怒等精神症状首诊,血清及脑脊液检查中TRUST及TPPA均阳性,脑脊液白细胞计数及蛋白量升高,诊断为神经梅毒(麻痹性痴呆)。本例患者颅脑MRI提示有多发缺血灶及脑室增大表现,排除基础疾病,考虑神经梅毒引起。本例神经梅毒患者在规范青霉素治疗过程中出现癫痫,且继续青霉素加抗癫痫药物治疗情况下癫痫持续存在,值得引起重视。本例提示:①神经梅毒患者在大剂量青霉素静脉滴注过程中癫痫发作,要考虑:神经梅毒继发性癫痫、青霉素脑病、吉海反应;②临床用药应考虑患者病理和药动学特点;③青霉素属于时间依赖性抗生素,一日剂量应少量多次注射,静脉滴注速度不宜过快;④神经梅毒治疗标准应采用美国疾病预防控制中心推荐的治疗方案。





















