
版权归中华医学会所有。
未经授权,不得转载、摘编本刊文章,不得使用本刊的版式设计。
除非特别声明,本刊刊出的所有文章不代表中华医学会和本刊编委会的观点。
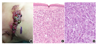
患者女,54岁。因右侧乳腺癌根治术后10年,胸壁瘢痕处新生肿块、结节3个月入院。10年前患者因右侧乳房肿块就诊于当地医院,诊断乳腺癌,行乳腺癌经典根治术,术后组织病理诊断为浸润性乳腺小叶癌。术后半年患者刀口愈合处出现瘢痕增生,表现为表面光滑质硬的条状斑块,未予特殊重视。近3个月来,胸壁瘢痕处出现新生结节及肿块,生长迅速,并伴有破溃、糜烂及出血。否认内科疾病及其他肿瘤病史。体检:患者一般情况可,右侧乳房缺如,右侧胸壁可见长约20 cm弧形手术瘢痕,表面可见密集融合成块的结节及肿块,表面可见破溃出血及脓血痂(图1)。皮下可触及多发性肿块,大小不等,活动度差,质硬。入院后完善相关检查,血尿粪常规未见异常。彩超示:双侧腋窝及锁骨上可见多发低回声结节,最大21.7 mm × 8.7 mm。分别于胸壁瘢痕表面及皮下肿块取材行组织病理检查:真皮内可见大量异形肿瘤细胞弥漫性浸润,肿瘤细胞核大深染,核仁明显,核分裂相易见,部分区域可见腺腔样分化的肿瘤细胞(图2、图3);免疫组化:C-erbB-2(++)、细胞角蛋白(+)、雌激素受体(-)、巨囊性病的液状蛋白15(+)、Ki-67(50%+)、孕酮受体(-)、TTF-1(-)。病理诊断:转移性或浸润性低分化癌。


诊断:右侧乳腺癌复发伴皮肤转移。治疗:给予TX方案化疗(多西他赛120 mg × 1 d、卡培他滨2 000 mg × 14 d,休息7 d为1个疗程)。目前已完成4个疗程,胸部肿块及结节出现明显的坏死并缩小,仍在进一步随访中。
本例患者在乳腺癌术后10年,胸壁再发肿块以及术后瘢痕处新生肿物经组织病理和免疫组化证实为腺体来源的肿瘤,结合病史,其乳腺癌术后胸壁复发伴有皮肤转移,诊断明确。皮肤转移癌是指原发于皮肤以外的恶性肿瘤通过血管、淋巴管转移,或通过组织间隙直接扩散至邻近皮肤而引起的皮肤病变。远处转移是恶性肿瘤的基本特征之一,与肝脏、肺部以及脑部等器官的转移比较,恶性肿瘤皮肤转移相对少见,其发生率为0.7%~ 9%[1]。该病例肿瘤皮肤转移的部位较为特殊,位于手术切口的瘢痕组织,考虑其转移方式可能为直接蔓延。一项对1 711例结肠腺癌术后患者的随访研究发现623例患者复发,其中11例肿瘤复发部位在手术切口[2]。也有学者报道了1例结肠腺癌转移至患者腹部腹壁陈旧的胆囊切除手术瘢痕,推测其机制可能为瘢痕组织容易接纳转移的肿瘤细胞,以及局部黏附分子和免疫监视机制的改变[3]。肿瘤在手术刀口的转移容易与增生的瘢痕组织混淆,这种特殊的情况需要临床医生警惕。





















