
版权归中华医学会所有。
未经授权,不得转载、摘编本刊文章,不得使用本刊的版式设计。
除非特别声明,本刊刊出的所有文章不代表中华医学会和本刊编委会的观点。
患者女,58岁,因颈部、双上肢丘疹、红斑伴痒1年余就诊。患者1年余前无明显诱因颈部出现红丘疹,无明显自觉症状,未治疗。后丘疹逐渐增多,累及双上肢及后背,伴瘙痒。曾多次被诊断"湿疹",应用抗组胺药物口服,外用糖皮质激素药膏,皮疹无明显好转,且逐渐增多,瘙痒加重,来深圳市皮肤病防治研究所诊治。患者从事室内工作,否认长期日光曝晒史。既往体健,否认外伤及手术史,否认药物及食物过敏史,否认肝肾疾病、糖尿病及结核等疾病病史,否认家族中有类似疾病史。
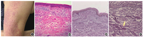
体检:各系统检查未见异常。皮肤科检查:颈部、前胸、后背上部及双上肢伸侧大量红色丘疹,部分融合成斑片,表面轻度苔藓化,边缘无明显隆起(图1)。实验室及辅助检查:血尿常规、肝肾功能、血糖、血脂检查均未见异常。胸部X线检查未见异常。取右上肢丘疹行组织病理检查:表皮轻度萎缩,真皮浅层见大量组织细胞、多核巨细胞及淋巴细胞浸润,浸润区未见明显渐进性坏死及黏蛋白沉积,周围未见明显日光弹性纤维变性(图2A)。阿辛蓝染色阴性。弹性纤维染色显示真皮浅层弹性纤维基本消失,可见多核巨细胞吞噬弹性纤维碎片现象(图2B、图2C)。诊断:丘疹型环状弹性纤维溶解性巨细胞肉芽肿(annular elastolytic giant cell granuloma,AEGCG)。


治疗:口服雷公藤多苷20 mg每天3次,羟氯喹20 mg每天2次、左西替利嗪5 mg每晚1次,外用复方丙酸氯倍他索及复方氟米松软膏。1个月后皮疹大部分消退。
AEGCG是一种少见的肉芽肿性皮肤病,好发于中老年人,女性多见。皮损多见于面颈、手背等曝光部位,非曝光部位也可发生,偶而可发生于结膜[1]。典型皮疹为大小不一的环状红斑,边缘轻度隆起,中央常萎缩,伴有色素沉着或色素减退。多核巨细胞吞噬弹性纤维及不形成栅栏状肉芽肿是本病的两大组织学特点[2]。AEGCG的诊断主要依据临床表现及组织病理学检查。典型的AEGCG与环状肉芽肿临床表现相似,但组织病理学上AEGCG具有不同于环状肉芽肿的显著特点[3]:①不形成栅栏状肉芽肿;②大量的多核巨细胞浸润、弹性纤维溶解和被吞噬现象;③无黏蛋白沉积和渐进性坏死。临床上需与环状扁平苔藓、亚急性皮肤型红斑狼疮、匍行性穿通性弹性纤维病等相鉴别。本例患者为中老年女性,皮损主要发生于双上肢及颈部等曝光部位,临床表现为泛发性红色丘疹,部分区域融合成苔藓化斑片,组织病理表现为真皮浅层组织细胞及多核巨细胞非栅栏状肉芽肿性浸润,无日光弹性纤维变性,无渐进性坏死及黏蛋白沉积,皮损区弹性纤维基本消失,可见多核巨细胞吞噬弹性纤维碎片现象,诊断明确。患者皮损表现为泛发性红色丘疹,而非典型的环状红斑,临床少见。
中国医学科学院皮肤病医院孙建方教授





















