
版权归中华医学会所有。
未经授权,不得转载、摘编本刊文章,不得使用本刊的版式设计。
除非特别声明,本刊刊出的所有文章不代表中华医学会和本刊编委会的观点。
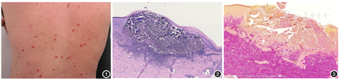
患者男,55岁,躯干、四肢泛发红丘疹伴痒4个月。就诊前4个月,患者因患糖尿病用艾塞那肽(exenatide)治疗后,躯干四肢出现广泛的红丘疹,逐渐增多,伴瘙痒,停药后皮疹未明显好转,遂到中国医学科学院皮肤病医院就诊。既往糖尿病史10年。否认家族中类似病史。体检:一般情况可,各系统检查未见明显异常。皮肤科检查:躯干、四肢见广泛针尖至绿豆大红色、红褐色丘疹,表面环状脱屑,部分丘疹中央见角栓或脐凹,可见Koebner现象(图1)。实验室检查:空腹血糖6.56 mmol/L(参考值3.5 ~ 6.1 mmol/L)。血尿常规和肝肾功能未见异常。抗核抗体阴性。左下肢皮损组织病理:表皮杯状凹陷,其内见大量坏死物质及炎性细胞,下方见坏死变性的胶原纤维穿通表皮,真皮浅深层血管周围淋巴细胞浸润(图2)。Van Gieson染色可见红色胶原纤维有穿通现象(图3)。弹力纤维染色未见弹力纤维穿通现象。结合临床,诊断为获得性反应性穿通性胶原病。治疗:口服泼尼松20 mg每天1次、羟氯喹0.2 g每天2次,外用复方曲安奈德乳膏、复方咪康唑软膏(主要成分为丙酸氯倍他索)。治疗1个月皮损变平,颜色变淡,但未完全消退。


反应性穿通性胶原病少见,分为遗传性和获得性两种。获得性反应性穿通性胶原病见于成年人,病因和发病机制尚不明确,可能与遗传和外伤有关,多并发系统疾病如糖尿病、慢性肾功能不全、高尿酸血症等。获得性反应性穿通性胶原病的诊断标准包括发病年龄> 18岁,有脐凹的丘疹或结节,中央见黏着性角栓;病理检查示变性坏死的胶原纤维穿通火山口样的表皮[1,2]。本例患者合并糖尿病,临床表现和组织病理均符合获得性反应性穿通性胶原病的诊断。以往文献报道氯吡格雷、茚地那韦和雷帕霉素等可诱发获得性反应性穿通性胶原病[2],而本文患者使用艾塞那肽治疗糖尿病后发生皮损,目前尚未见相关报道。
获得性反应性穿通性胶原病需与其他穿通性疾病如匐形性穿通性弹力纤维病、Kyrle病等鉴别。治疗需去除可能诱因,如治疗原发病及停止可疑药物。抗组胺药和外用糖皮质激素一般有效[3],该病还可能自愈[4]。





















