
版权归中华医学会所有。
未经授权,不得转载、摘编本刊文章,不得使用本刊的版式设计。
除非特别声明,本刊刊出的所有文章不代表中华医学会和本刊编委会的观点。
患者女,45岁,左下肢近踝部出现暗红色孤立肿物5个月,无明显主观症状,近1月余生长迅速。患者既往体检,无系统疾病及恶性肿瘤病史,家族中无恶性肿瘤病史。体检:左下肢近踝部见一肿物,暗红色,表面糜烂结痂,直径0.8 cm,边缘整齐,周边未见卫星灶,见图1。皮肤镜下肿物中央可见鳞屑、结痂,周边见少量袢状血管结构,见图2。


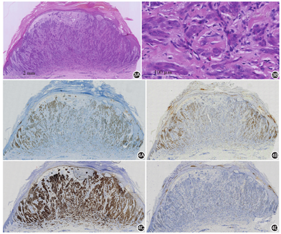
组织病理检查:肿瘤整体对称,两侧表皮突抱球样改变,真皮浅层痣细胞呈巢状分布,深层痣细胞呈索条状分布,少量呈巢状分布,无病理性核分裂象,见图3。免疫组化(图4):Melan-A阳性,表皮及真皮上层呈巢状分布的上皮样细胞和肿瘤下部呈巢状分布的部分梭形细胞HMB-45、P16阳性;Ki-67 10%阳性,主要表达于真皮浅层呈巢状分布的细胞。


诊断:非典型Spitz痣。
Spitz痣是一种可能来源于黑素细胞的良性皮肤肿瘤,因为其好发于儿童,故又称为幼年良性黑素瘤。因为其组织学上常常出现一系列不同于一般色素痣的特征,如痣细胞巢分布不规则,Paget样扩散,成熟现象不明显,出现较多病理性核分裂象等,若发生于成人,更难以与黑素瘤相鉴别。
本例患者为成年女性,年龄> 45岁,且皮损位于下肢,均提示临床上需与黑素瘤相鉴别。Spitz痣临床上多呈现粉红色半球状外观,顶端可出现鳞屑结痂,故临床可被误认为化脓性肉芽肿或附属器肿瘤等。本例皮损中央出现显著鳞屑痂皮,周边可见血管扩张,故临床考虑角化棘皮瘤。组织病理上,该患者皮损中出现明显的痣细胞向表皮上部的Paget样扩散,双侧表皮内痣细胞呈不对称巢状分布,深部痣细胞出现巢状分布,以上现象虽然并非诊断黑素瘤的确切标准,但仍提示皮损中出现了有别于典型Spitz痣的特征表现。然而,该皮损切片整体大致对称,双侧表皮突呈抱球样改变,顶端表皮轻度水肿,可见痂皮,真皮浅层水肿,毛细血管扩张。有研究者认为,Spitz痣出现角化不全、痂皮、真皮水肿等炎症表现,提示肿瘤为良性[1]。痣细胞在同一层面形态大致相同,深部痣细胞未见病理性核分裂象,是提示其为良性改变的特征线索。
为了更好地鉴别Spitz痣与黑素瘤,Spatz等[2]提出以年龄大小、直径、脂肪组织是否累及、是否形成溃疡、核分裂象数量作为评分标准将皮损分为低、中、高风险。Ritter等[3]分析25例Breslow厚度> 1 mm的黑素瘤以及18例病理改变典型的Spitz痣,认为在病理表现上Paget样扩散、肿瘤细胞异形性、弹性纤维变性、Kamino小体的存在与否、P16的表达、HMB-45的表达模式对于鉴别Spitz痣与黑素瘤具有重要价值。同时,BRAF基因突变检测、FISH检测也对二者的鉴别具有重要意义。然而,作者同时指出,二者之间的鉴别仍然缺乏绝对可靠的指标。
本例患者由于发生于中年患者,皮损位于下肢,组织病理改变上出现部分非典型特征,经与患者沟通,给予皮损扩大切除,术后密切随访半年余,未见复发及转移病灶。
所有作者均声明不存在利益冲突





















