
版权归中华医学会所有。
未经授权,不得转载、摘编本刊文章,不得使用本刊的版式设计。
除非特别声明,本刊刊出的所有文章不代表中华医学会和本刊编委会的观点。
患者男,53岁,因面部、双手、阴茎、臀部结节斑块5年就诊于福州市皮肤病防治院皮肤科。5年前无明显诱因患者前额出现数个粟粒至蚕豆大小结节,因无自觉症状,未予治疗。皮疹逐渐增多、增大,双上眼睑、鼻背、双手指、阴茎、臀部等部位逐渐出现类似皮疹,伴双手麻木感,呈阵发性,与天气冷热无关,无发热、四肢乏力、关节肿痛等不适,曾自行外用多种药膏(具体不详)无效。既往史及家族史无特殊,各系统检查未见明显异常。
皮肤科检查:前额见数个肤色结节,大小不一,直径0.6 ~ 1.5 cm,部分皮疹触之如疝囊样;双上眼睑及鼻背可见数个绿豆至蚕豆大小肤色结节(图1A);双手十指指背、指间关节可见多个肤色结节,手指伸屈受限(图1B);阴茎包皮可见多个黄豆大小肤色结节,少数融合(图1C);臀部可见对称分布的肤色斑块,局部呈结节状隆起(图1D)。双上眼睑及鼻背、双手、阴茎、臀部与前额皮疹均边界清楚,表面光滑,质地较软,无触压痛。


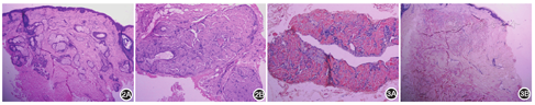
皮损组织病理:额部皮损表皮角化过度,棘层轻度增生,真皮浅层胶原纤维光线性弹性组织变性,胶原束间、血管壁见大量团块状均一红染物质沉积,血管周围少量淋巴组织浸润(图2A、图2B)。臀部皮损病理表现与额部相似。额部和臀部皮损刚果红染色见均一橙红色物质沉积(图3A、图3B)。


实验室检查:血常规、肝肾功能正常;肿瘤标志物包括甲胎蛋白、癌胚抗原、CA125、CA19-9、前列腺特异抗原血清水平均正常;抗核抗体、抗双链DNA抗体、抗nRNP抗体、抗Sm抗体、抗SSA抗体、抗SSB抗体、抗Scl-70抗体、抗Jo-1抗体、抗着丝点抗体、抗心磷脂抗体、类风湿因子以及免疫球蛋白IgG、IgM、IgA、IgE水平均正常。胸部CT、腹部彩超、心电图检查均正常。
诊断:结节性皮肤淀粉样变。
治疗:患者拒绝手术及口服药物等治疗,嘱其门诊定期随访观察。1年后随访,皮疹无变化,双手仍偶有麻木感。
皮肤淀粉样变是一组以淀粉样蛋白沉积于皮肤而不累及其他任何组织为特征的疾病,分为3种亚型,即斑状淀粉样变、苔藓性淀粉样变和结节性淀粉样变[1]。其中,结节性淀粉样变最少见,表现为单个或多个结节斑块[2],其淀粉样蛋白由免疫球蛋白的λ轻链组成,故普遍认为,结节性淀粉样变可能是一种局部髓外浆细胞瘤[3]。结节性皮肤淀粉样变皮损最常见于双下肢,其他好发部位为头面部、躯干、上肢及生殖器[1]。典型皮损为单发或多发的数毫米至数厘米的黄棕色结节或斑块,蜡样光泽,界限清楚,可有毛细血管扩张,结节中央皮肤有时可发生萎缩和松弛,或呈大疱样[1]。本例患者皮肤多发结节、斑块伴双手麻木感,类似麻风表现,实验室检查无明显异常,结合皮损组织病理检查可排除麻风,诊断为结节性皮肤淀粉样变。本例患者皮损泛发伴双手麻木感,临床少见,检索PubMed、万方数据、中国知网等数据库,未见结节性皮肤淀粉样变伴麻木的报道,其麻木发病机制尚不清楚,有待进一步研究。
所有作者均声明不存在利益冲突





















