
版权归中华医学会所有。
未经授权,不得转载、摘编本刊文章,不得使用本刊的版式设计。
除非特别声明,本刊刊出的所有文章不代表中华医学会和本刊编委会的观点。
患者女,44岁,因颈部、乳房下、腹股沟、腘窝部红斑、丘疹2年就诊。患者2年前无明显诱因颈部出现红斑、丘疹。2年来皮疹不消退,渐累及左侧乳房下方、左侧腹股沟、左侧腘窝,其余部位皮肤未受累。皮损无瘙痒、疼痛、渗出、脱屑,无口腔溃疡。否认皮肤病及长期服药史,7年前曾因龋齿补牙。
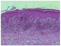
皮肤科检查:颈部、左侧乳房下皱褶、左侧腘窝、左侧腹股沟可见沿皱褶方向分布的紫红色斑丘疹,其中颈部、左侧乳房下皱褶、左侧腘窝皮损可见白色网状条纹,无脱屑(图1)。全身其他部位皮肤及口腔、生殖器黏膜无类似皮疹。皮肤镜检查:颈部、左侧乳房下皱褶皮损可见白色网状条纹伴周围放射状分布的线状血管及色素沉着;左侧腘窝皮损可见模糊的白色网状条纹伴周围少量放射状分布的线状血管、线状不规则血管及蓝灰色点、球;左侧腹股沟皮损可见大片瘢痕样色素减退区伴周围少量不规则血管及色素沉着(图1)。左腹股沟区皮损组织病理:表皮角化过度,角化不全,棘层锯齿状增厚,基底细胞液化变性,真皮浅层淋巴细胞呈带状浸润,并见噬黑素细胞(图2)。




诊断:反向性扁平苔藓。
治疗:局部外用复方克霉唑乳膏每日2次,2周后部分皮疹变平,出现色素沉着。目前随访中。
扁平苔藓临床表现多样,仅发生于皱褶部位者少见,位于皱褶部位的扁平苔藓主要为反向性色素性扁平苔藓和反向性糜烂性扁平苔藓[1,2,3]。反向性扁平苔藓是一种罕见的扁平苔藓亚型,常表现为紫红色的丘疹、斑块,局限于颈、腋下、腹股沟、乳房下皱褶、腘窝等皱褶部位,常无症状或仅有轻微瘙痒。反向性扁平苔藓常无鳞屑、Wickham纹等典型扁平苔藓表现,需与念珠菌性间擦疹、红癣、反向性银屑病、固定型药疹等疾病鉴别。
Wickham纹是扁平苔藓皮肤镜下的特征性表现,呈白色线状、网状、放射状、圆形、球状、垂直线状和面纱样,对应于组织病理学上的颗粒层增厚。有学者[4]发现,Wickham纹主要见于活动期皮损,治疗后消失,是疾病活动的标志。本例患者颈部皮疹肉眼呈红色丘疹,可见线状Wickham纹;皮肤镜下见清晰的线状、放射状白色条纹,周围可见放射状分布的线状血管、色素沉着,符合典型活动期扁平苔藓皮肤镜下表现。左侧乳房下皮疹与颈部类似,肉眼及皮肤镜下Wickham纹稍模糊。腘窝处皮疹肉眼见模糊的Wickham纹及少量色素沉着,此时皮肤镜下可见较模糊、边界不清的浅白色条纹,放射状分布的线状血管、线状不规则血管及少量蓝灰色点、球。腹股沟区皮疹呈淡红色斑丘疹,未见Wickham纹,皮肤镜下见大片瘢痕样色素减退区,边界模糊,周围可见少量不规则血管及色素沉着。以上4个部位皮疹对应于扁平苔藓的不同阶段,皮肤镜下表现亦有所差异,活动期可见清晰的Wickham纹,随后变得模糊、边界不清,消退期则为瘢痕样色素减退,缺乏扁平苔藓的特征性表现,呈动态变化过程。本例患者仅对左腹股沟区皮损进行组织病理检查,显微镜下颗粒层略增厚,真皮上部较多噬黑素细胞,符合皮肤镜下色素沉着及无明显Wickham纹的表现。
皱褶部位的扁平苔藓多采用中、强效糖皮质激素或钙调磷酸酶抑制剂治疗,后者可长期使用,没有皮肤萎缩的不良反应,但多数反向性色素性扁平苔藓对以上两类药物治疗抵抗。本例患者外用复方克霉唑乳膏治疗2周后部分皮疹变平,出现色素沉着,类似于反向性色素性扁平苔藓,目前随访中。
所有作者均声明不存在利益冲突





















