
版权归中华医学会所有。
未经授权,不得转载、摘编本刊文章,不得使用本刊的版式设计。
除非特别声明,本刊刊出的所有文章不代表中华医学会和本刊编委会的观点。
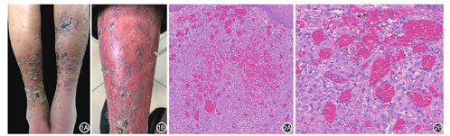
例1 女,66岁,汉族,因双下肢紫红色结节半年余于2019年1月就诊。患者半年余前无明显诱因下出现双下肢散在紫红色结节,无明显不适。既往有慢性肾病史7年余,长期予糖皮质激素治疗,目前口服泼尼松35 mg/d。患者无器官移植病史。皮肤科检查:双侧小腿及右足散在分布直径0.5~1 cm紫红色结节,部分融合,可见渗出结痂(图1A)。人免疫缺陷病毒(HIV)抗体阴性。皮损病理:真皮内梭形细胞增生,见大量裂隙样血管腔,红细胞外溢,可见少量核分裂象,病变周围可见淋巴细胞、浆细胞浸润(图2A,图2B)。免疫组化:CD31、CD34、人类疱疹病毒8型(HHV8)均阳性。


诊断:免疫抑制相关性卡波西肉瘤(Kaposi′s sarcoma,KS)。
治疗:口服沙利度胺片50 mg/d,服用20余天时出现全身红斑伴瘙痒,未重视,继续服药共1月余。复诊时双下肢皮疹好转(图1B),新发皮疹考虑为药疹可能,停沙利度胺并给予对症治疗,后全身红斑逐渐消退,双下肢皮疹无新发。后患者自觉无法耐受药物或其他治疗,遂停药,予定期随访观察。2019年6月随访时患者双下肢皮疹无进展。2019年10月电话随访,患者双下肢皮疹加重伴明显水肿,后因严重肺部感染于外院住院治疗,最后感染控制不佳而死亡。
例2男,69岁,汉族,因右大腿内侧红色结节1月余于2019年3月就诊。患者1个月前无明显诱因下右大腿内侧出现散在红色结节,无瘙痒、疼痛,后逐渐增多。既往体健,无长期用药史。皮肤科检查:右大腿内侧弥漫性红斑,其上见簇状分布紫红色结节,部分融合成斑块,表面见破溃和结痂(图3)。HIV抗体阴性。皮损组织病理:真皮中裂隙样血管聚集,基质中梭形细胞增生,可见少数核分裂象,可见红细胞外溢,血管周围少量淋巴细胞、浆细胞浸润(图4A、图4B)。免疫组化:HHV8、CD31、CD34、D2-40均阳性。


诊断:经典型KS。
治疗:予局部放疗25次,总剂量50 Gy,腿部结节大部分消退。于放疗结束后1年即2020年7月电话随访,患者右大腿皮疹无进展,全身其他部位无新发皮疹。
KS是一种临床少见的恶性肿瘤,发病与HHV8相关[1]。KS根据临床表现可分为4种类型:经典型KS、艾滋病相关或流行性KS、地方性或非洲KS、免疫抑制相关性或移植相关KS[2]。我国报道的经典型KS以新疆地区多见[3]。而免疫抑制相关性KS见于因自身免疫性疾病、药物或器官移植而免疫抑制的患者,可能伴有内脏损害。
本文报道的两例汉族KS患者,例2发病前无明显诱因。两例皮损均表现为下肢多发性紫红色结节,病理符合KS典型表现,诊断明确。在治疗上,由于例2皮损较局限,故采用放疗,疗效也较确切。例1由于一般情况较差,且皮损泛发,难以耐受放疗,予沙利度胺保守治疗,有一定疗效。由于免疫抑制相关性KS可能出现内脏累及,同时患者长期的免疫抑制状态可导致其他并发症,所以对于此类患者,需要密切随访监测病情变化。
所有作者均声明不存在利益冲突





















