
患者男,85岁,因手足红斑、脱屑、水疱10个月,双下肢瘀斑、脓疱伴痛4个月于2019年11月入院。患者1年前于外院诊断为肝细胞癌,2018年11月开始口服仑伐替尼8 mg/d,1个月后出现掌跖、肢端暗红斑伴脱屑,双足散在水疱、大疱,伴足跟痛。期间在当地医院诊断为"痛风"。4个月前无诱因双下肢出现散在瘀斑、少许水疱、结痂,逐渐增多,伴胀痛,行走时加剧。患者无发热、畏寒,无腹痛腹泻,无关节疼痛等。入院前1周自行外用聚维酮碘,口服泼尼松5 mg/d等治疗,未缓解。患者有高血压病史40余年,长期口服氨氯地平、厄贝沙坦,血压控制可;50年前曾患肺结核,已治愈。家族成员无类似疾病史。
版权归中华医学会所有。
未经授权,不得转载、摘编本刊文章,不得使用本刊的版式设计。
除非特别声明,本刊刊出的所有文章不代表中华医学会和本刊编委会的观点。
患者男,85岁,因手足红斑、脱屑、水疱10个月,双下肢瘀斑、脓疱伴痛4个月于2019年11月入院。患者1年前于外院诊断为肝细胞癌,2018年11月开始口服仑伐替尼8 mg/d,1个月后出现掌跖、肢端暗红斑伴脱屑,双足散在水疱、大疱,伴足跟痛。期间在当地医院诊断为"痛风"。4个月前无诱因双下肢出现散在瘀斑、少许水疱、结痂,逐渐增多,伴胀痛,行走时加剧。患者无发热、畏寒,无腹痛腹泻,无关节疼痛等。入院前1周自行外用聚维酮碘,口服泼尼松5 mg/d等治疗,未缓解。患者有高血压病史40余年,长期口服氨氯地平、厄贝沙坦,血压控制可;50年前曾患肺结核,已治愈。家族成员无类似疾病史。
体检:血压143/86 mmHg(1 mmHg = 0.133 kPa)。腹微隆,移动性浊音阳性,双下肢凹陷性水肿,其他系统检查未见异常。皮肤科检查(图1):双小腿散在小片状瘀斑及黄豆大小脓疱,稍高出皮面,压之不褪色,部分融合,部分表面结痂,见褐色较厚痂皮,无明显结节、溃疡。指(趾)端皮肤干燥、脱屑,角质增厚,双足散在水疱、大疱,疱液浑,皮损处触痛明显。


实验室检查:血常规中性粒细胞比例0.8,超敏C反应蛋白39.47 mg/L(参考值0 ~ 1 mg/L,下同),血浆降钙素原0.4 μg/L(< 0.05 μg/L)。甲胎蛋白55.5 μg/L(< 8.78 μg/L)。肝炎标志物:乙型肝炎表面抗原、核心抗体、e抗体均阳性。肝肾功能、体液免疫、ANA抗体谱、血管炎抗体谱检查正常。腹部CT检查:肝左叶斑片状高密度占位(5.4 cm × 5.5 cm)。小腿皮肤分泌物细菌培养:凝固酶阴性葡萄球菌阳性。
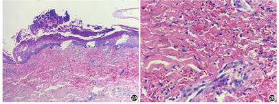
诊疗过程:入院后考虑变应性皮肤血管炎,予静脉滴注复方甘草酸苷120 mg/d及头孢替唑2.0 g每日2次,口服洛索洛芬钠60 mg每日2次,外用卤米松乳膏、尿素乳膏2次/d。右小腿皮损组织病理(图2):表皮间断角化过度、角化不全,角质层及棘层上部中性粒细胞及炎性渗出物聚集,棘细胞间水肿,海绵形成,真皮水肿,大量红细胞外溢,出血,真皮浅层厚壁小血管增生。结合临床表现及用药史,诊断为手足皮肤反应(hand-foot skin reaction,HFSR)Ⅲ级。加用静脉滴注维生素B6 200 mg/d治疗2周,皮肤红斑、瘀斑减轻,痂壳部分脱落,脱落后见正常皮肤,无明显皮肤溃疡,双足偶有散在新发水疱。嘱患者肿瘤内科随诊,调整仑伐替尼用量。


仑伐替尼是一种口服小分子多靶点酪氨酸酶抑制剂,可抑制血管内皮生长因子受体(VEGFR)的激酶活性,影响微血管生成,可致黏膜和皮肤出血,影响角质形成细胞增殖、分化,具有较强的靶向调控皮肤炎症的功能[1,2]。
HFSR皮损表现具多形性,可见皮肤红斑、肿胀、水疱、干燥、皲裂、皮肤脱屑等,常以手足受压区严重,多见于靶向药物治疗的2 ~ 6周。HFSR的发病机制尚不清楚,目前推测HFSR的发生与血管内皮细胞生长因子受体(VEGFR)的抑制相关[3]。根据HFSR严重程度可分为,Ⅰ级:轻微的皮肤改变或皮炎(如红斑),无疼痛;Ⅱ级:皮肤改变(如水疱、脱屑、出血、水肿)或疼痛,不影响日常生活;Ⅲ级:溃疡性皮炎或皮肤改变伴疼痛,影响日常生活[4]。本例患者口服仑伐替尼近1个月后出现红斑、瘀斑、水疱、大疱、脱屑等多种皮损,以双小腿、双足为重,伴有明显疼痛,影响生活。HFSR的组织病理无特异性,表皮层见角化不全、角化不良,真皮层无特异表现[5]。
HFSR需要与手足综合征、变应性皮肤血管炎鉴别。手足综合征常为掌跖部位水肿性红斑,边界不清,表面可发生水疱和溃疡,多由卡培他滨、氟尿嘧啶或多柔比星等化疗药物导致。变应性皮肤血管炎皮损表现以红斑、紫癜、结节、溃疡为主,多发于下肢,组织病理表现为白细胞碎裂性血管炎,可与手足皮肤反应鉴别。本例患者皮疹表现与变应性皮肤血管炎相似,入院初以变应性血管炎诊治,其组织病理无特异性,以棘层上方、角质层内炎性痂壳形成、真皮以非血管炎紫癜为特点。结合临床表现,肿瘤病史及靶向药物用药史,最终诊断为手足皮肤反应Ⅲ级。
发生HFSR后应根据肿瘤科医生建议是否停药或调整剂量,给予局部治疗药物如尿素乳膏、糖皮质激素乳膏等,系统使用维生素B6、维生素E、糖皮质激素等。同时应避免寒冷刺激,避免体力劳动,减轻手足部压力。本例患者系统使用维生素B6、复方甘草酸苷,局部使用卤米松乳膏、尿素乳膏等治疗,皮疹好转,仍偶有新发,可能与患者高龄,不愿停用仑伐替尼有关。建议肿瘤科随诊,根据肿瘤科医师建议调整靶向用药。
所有作者均声明不存在利益冲突





















