
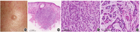
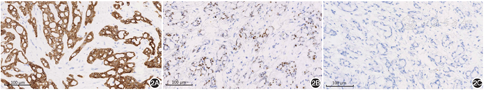
患者男,52岁,右面颊结节2年余。患者2年前右面颊无明显诱因出现一坚实肤色结节,表面光滑,无明显自觉症状,皮疹缓慢增大。既往有痛风史10余年,长期口服秋水仙碱,否认肿瘤史,家族中无类似病例及其他遗传病史。体检:一般情况可,全身浅表淋巴结未触及肿大,各系统检查无异常。皮肤科检查:右颊可见一0.4 cm × 0.4 cm大小肤色结节,表面光滑,无破溃,边界清晰,质韧,与皮肤粘连,无明显压痛(图1A)。实验室检查:双侧唾液腺(腮腺、颌下腺)磁共振平扫+增强、唾液腺B超检查未见明显异常。头颅及胸腹CT平扫检查未发现占位性病变。胃镜及肠镜检查未见占位性病变。面部皮损组织病理检查:表皮大致正常,病变位于真皮中下部及皮下组织,基底样细胞团块呈浸润性生长,可见大量管腔形成,部分管腔呈蝌蚪状;瘤细胞较小,有卵圆形深染的核,胞质丰富淡染,胞膜边界不清,异型性不明显,未见有丝分裂;管腔内可见黏液样物质;肿瘤细胞侵犯毛囊上皮,未见角囊肿及筛状结构(图1B、1C)。免疫组化:肿瘤细胞细胞角蛋白(CK)7胞质弥漫强阳性(图2A),CK5/6胞质弱阳性;肿瘤细胞及周围肌上皮细胞S100胞质/胞核阳性,P63胞核阳性(图2B);雌激素受体(ER)弱阳性、少许细胞P53胞核阳性;CD117、囊泡病液体蛋白15、癌胚抗原(图2C)、孕激素受体阴性。肿瘤增殖抗原Ki-67:5%阳性。
版权归中华医学会所有。
未经授权,不得转载、摘编本刊文章,不得使用本刊的版式设计。
除非特别声明,本刊刊出的所有文章不代表中华医学会和本刊编委会的观点。
患者男,52岁,右面颊结节2年余。患者2年前右面颊无明显诱因出现一坚实肤色结节,表面光滑,无明显自觉症状,皮疹缓慢增大。既往有痛风史10余年,长期口服秋水仙碱,否认肿瘤史,家族中无类似病例及其他遗传病史。体检:一般情况可,全身浅表淋巴结未触及肿大,各系统检查无异常。皮肤科检查:右颊可见一0.4 cm × 0.4 cm大小肤色结节,表面光滑,无破溃,边界清晰,质韧,与皮肤粘连,无明显压痛(图1A)。实验室检查:双侧唾液腺(腮腺、颌下腺)磁共振平扫+增强、唾液腺B超检查未见明显异常。头颅及胸腹CT平扫检查未发现占位性病变。胃镜及肠镜检查未见占位性病变。面部皮损组织病理检查:表皮大致正常,病变位于真皮中下部及皮下组织,基底样细胞团块呈浸润性生长,可见大量管腔形成,部分管腔呈蝌蚪状;瘤细胞较小,有卵圆形深染的核,胞质丰富淡染,胞膜边界不清,异型性不明显,未见有丝分裂;管腔内可见黏液样物质;肿瘤细胞侵犯毛囊上皮,未见角囊肿及筛状结构(图1B、1C)。免疫组化:肿瘤细胞细胞角蛋白(CK)7胞质弥漫强阳性(图2A),CK5/6胞质弱阳性;肿瘤细胞及周围肌上皮细胞S100胞质/胞核阳性,P63胞核阳性(图2B);雌激素受体(ER)弱阳性、少许细胞P53胞核阳性;CD117、囊泡病液体蛋白15、癌胚抗原(图2C)、孕激素受体阴性。肿瘤增殖抗原Ki-67:5%阳性。




诊断:汗管样小汗腺癌。
治疗:扩大切除肿瘤,术后切缘未见肿瘤细胞残余,随访1年未复发。
汗管样小汗腺癌于1969年由Freeman和Winkelmann首次报道[1],至今报道已超100例,国内由刘彤云等[2]首报。汗管样小汗腺癌好发于40 ~ 70岁,男女发病率相当,最常见于面部和头皮,也可见于躯干、肢端、乳头、外阴、甲单位、肩胛、足底、外耳道等部位。肿瘤生长缓慢,临床表现无特异性,常表现为一质地坚韧的斑块或皮下结节,表皮破溃罕见。皮损局部呈浸润性生长,切除后常有复发,但远处转移或淋巴结转移较罕见。
汗管样小汗腺癌组织病理学特征为镶嵌于纤维化或硬化性基质中的基底样细胞组成的导管样结构或小囊肿,病变累及整个真皮,常浸润至皮下。肿瘤细胞表现为轻中度的核异型性,有丝分裂不定,并可累及周围神经、皮下脂肪及肌肉,亲神经现象比微囊肿附属器癌少见。免疫组化较多变,无特异性,CK7和癌胚抗原始终阳性[3],但也有1例报道癌胚抗原仅表现为真皮上层局灶弱阳性[4];其他抗原如上皮细胞膜抗原、Ber-EP4、ER和孕激素受体可呈阳性[3];Ki-67和P53为低表达。尽管本文患者免疫组化癌胚抗原阴性,但结合患者临床资料、组织病理及免疫组化特征,仍诊断为汗管样小汗腺癌。
汗管样小汗腺癌的鉴别诊断包括汗管瘤、硬斑病样基底细胞癌、微囊肿附属器癌、分泌性癌和内脏腺癌皮肤转移。汗管瘤通常表现为眼睑、外阴多发的小的肤色丘疹,且病变较表浅,表现为硬化性的纤维间质中的小导管或蝌蚪状结构,无神经受累,与汗管样小汗腺癌的单发皮损及浸润性组织学模式不同。硬斑病样基底细胞癌表现为基底样肿瘤细胞的深部浸润,上皮细胞膜抗原阴性,Ber-EP4阳性,真正的导管分化少见,无蝌蚪样形态,可与汗管样小汗腺癌相鉴别。汗管样小汗腺癌和微囊肿附属器癌可能是同一种疾病的不同表现形式。微囊肿附属器癌好发于头部(尤其是鼻唇部及眶周),表现为边界不清、浸润性生长肤色、黄色或红色的坚实斑块或结节,组织病理显示汗管和毛囊的双向分化,而汗管样小汗腺癌无毛源性分化,与之不同。皮肤分泌性癌临床特征没有特异性,镜下边界清楚、无胞膜,背靠背样增生的管腔、微囊腔、囊状结构形成筛状外观,腔内具有特征性粉红色胶质样分泌物;免疫组化CK5/6、CK7、S-100弥漫强阳性,GCDPF-15、CD10可变表达,癌胚抗原阴性,肌上皮细胞少数表达P63,大部分肿瘤表达ETV6-NTRK3融合基因;我们的病例虽癌胚抗原阴性,但镜下大部分管腔呈蝌蚪样形态,仅局灶呈筛状,细胞比分泌性癌更嗜碱性,腔内分泌物为蓝紫色嗜碱性而非粉红色嗜酸性,且CK5/6为灶状弱阳性,而不像分泌性癌中弥漫强阳性,可与之鉴别。内脏腺癌皮肤转移通常出现在有乳房、结肠、胃和卵巢肿瘤病史的患者中,组织病理学和免疫组化检查结果取决于原发肿瘤,转移性腺癌通常有显著的异型性、有丝分裂和坏死,可与原发皮肤汗管样小汗腺癌鉴别。因条件所限,我们没有对本例检测ETV6-NTRK3融合基因,唾液腺磁共振、B超及头颅、胸腹CT及胃肠镜排除唾液腺肿瘤或内脏肿瘤转移,结合组织病理和免疫组化结果,诊断本例为汗管样小汗腺癌。
汗管样小汗腺癌首选手术切除,因40% ~ 60%的患者在切除术后6个月至30年内复发,随访是必要的[5],Mohs手术可以降低手术复发率[6]。淋巴结和内脏转移罕见,不建议预防性切除淋巴结[7]。放射治疗和化疗的作用尚在争论中[5]。本例患者予扩大手术切除,随访1年未复发。
所有作者均声明不存在利益冲突





















