
患者男,49岁,因双下肢红疹半月,咽喉部疼痛伴间断发热10 d于2018年4月25日就诊。患者就诊前半个月右胫前出现钱币大小类圆形红疹,局部有灼热疼痛感,后出现咽喉部间歇性疼痛,干咳,咳少量白痰。外院予抗感染治疗后症状无缓解。10 d前出现间断发热,最高39 ℃,自行口服退热药物后体温可恢复正常,伴恶心、呕吐。外院行耳鼻咽喉镜检查提示破裂溃疡,予静脉滴注头孢哌酮他唑巴坦、地塞米松治疗3 d,体温恢复正常,咽喉部疼痛无缓解。皮疹继续蔓延至双下肢,局部出现溃烂结痂。起病以来,精神、饮食、睡眠差,体力明显下降,近半月内体重下降7 kg。我科门诊以"血管炎?淋巴瘤?"收入院治疗。患者既往体健。
版权归中华医学会所有。
未经授权,不得转载、摘编本刊文章,不得使用本刊的版式设计。
除非特别声明,本刊刊出的所有文章不代表中华医学会和本刊编委会的观点。
患者男,49岁,因双下肢红疹半月,咽喉部疼痛伴间断发热10 d于2018年4月25日就诊。患者就诊前半个月右胫前出现钱币大小类圆形红疹,局部有灼热疼痛感,后出现咽喉部间歇性疼痛,干咳,咳少量白痰。外院予抗感染治疗后症状无缓解。10 d前出现间断发热,最高39 ℃,自行口服退热药物后体温可恢复正常,伴恶心、呕吐。外院行耳鼻咽喉镜检查提示破裂溃疡,予静脉滴注头孢哌酮他唑巴坦、地塞米松治疗3 d,体温恢复正常,咽喉部疼痛无缓解。皮疹继续蔓延至双下肢,局部出现溃烂结痂。起病以来,精神、饮食、睡眠差,体力明显下降,近半月内体重下降7 kg。我科门诊以"血管炎?淋巴瘤?"收入院治疗。患者既往体健。
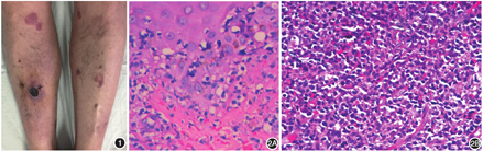
体检:体温38.2 ℃,血压121/73 mmHg(1 mmHg = 0.133kPa);双肺呼吸音粗,未闻及明显干湿性啰音;心率90次,律齐。咽喉部扁桃体Ⅰ度肿大,咽后壁充血红肿,可见浅表点状糜烂面。皮肤科检查:双下肢伸侧散在分布黄豆至钱币大小暗红色浸润性斑疹或斑块,边界清楚,部分破溃,中央可见黑痂(图1)。


实验室及辅助检查:白细胞7.45 × 109/L,红细胞4.29 × 1012/L,血红蛋白133 g/L,血小板133 × 109/L(参考值125 × 109 ~ 350 × 109/L,下同),中性粒细胞4.92 × 109/L。EB病毒DNA阳性,病毒拷贝数1.5 × 105/ml。丙氨酸转氨酶200 IU/L(7 ~ 45 IU/L),天冬氨酸转氨酶178 IU/L(13 ~ 35 IU/L),甘油三酯3.13 mmol/L(0.53 ~ 2.06 mmol/L)。血清铁蛋白1 662.0 ng/ml(13.0 ~ 400.0 ng/ml),20 d后复查血清铁蛋白8 784.0 ng/ml。
右小腿伸侧皮损组织病理:表皮萎缩,基底细胞空泡化,表皮内可见坏死角质形成细胞,真皮浅深层血管周围可见较多淋巴细胞浸润,胞核不规则,核仁不明显,核分裂象易见,伴较多的核尘及血管外红细胞(图2A)。右小腿伸侧皮损免疫组化:CD20、CD79a阴性,CD3、CD4、CD56、CD8阳性,CD30部分阳性,Ki67 > 20%阳性。
诊断及治疗过程:患者入院后反复高热,予静脉滴注甲泼尼龙60 mg/d,1周后体温恢复正常。因患者双下肢有新发皮疹,加口服秋水仙碱片0.5 mg每日2次治疗5 d,皮疹改善不明显,停用秋水仙碱,调整静脉滴注甲泼尼龙30 mg/d,2 d后患者体温再次升至40 ℃,复查血常规示白细胞7.59 × 109/L,红细胞3.90 × 1012/L,血红蛋白87 g/L,血小板43 × 109/L,中性粒细胞绝对值0.47 × 109/L,丙氨酸转氨酶200 IU/L,天冬氨酸转氨酶178 IU/L。
请血液内科会诊,考虑结外NK/T细胞淋巴瘤(extranodal natural killer/T-cell lymphoma,ENKL),转入血液内科治疗。予静脉滴注地塞米松10 mg/d,体温恢复正常,但治疗过程中患者咽喉部疼痛加重伴进食吞咽困难,并再次出现高热,体温上升至39.5 ℃,鼻腔偶有出血,双下肢皮疹处出现大面积坏死、溃疡。耳鼻咽喉内镜检查显示鼻炎伴干痂皮形成(鼻腔新生物?),喉新生物待查?鼻腔新生物组织病理:见弥漫成片的淋巴细胞,伴显著出血、变性坏死及纤维组织增生(图2B)。鼻腔新生物免疫组化:Bcl-6、CD10、CD15、CD20、CD21、CD5、穿孔素阴性,Bcl-2、CD3、CD30、CD56、EBER、Ki67(约50%)、颗粒酶B、T细胞胞质内抗原1阳性。
补充检查:血液可溶性白细胞介素2受体1 865 U/ml(223 ~ 710 U/ml)。噬血细胞综合征基因10项突变检测显示LYST基因外显子32 c.8368A>C(p.Lys2790Gln)杂合突变错义。血液抗核抗体阳性,胞质颗粒型,核仁型,滴度1∶320。鼻腔分泌物细菌培养及鉴定提示金黄色葡萄球菌。血糖、肾功能、电解质分析、粪便检验、降钙素原、类风湿因子、抗中性粒细胞胞质抗体、抗心磷脂抗体、体液免疫功能、结核IgG、IgM抗体检查、咽拭子细菌培养及鉴定、痰细菌培养及鉴定未见明显异常。
诊断:ENKL合并噬血细胞综合征(hemophagocytic syndrome)。予吉西他滨+奥沙利铂+甲氨蝶呤+依托泊苷+地塞米松方案治疗,入院后38 d因消化道出血死亡。
ENKL是一种少见的特殊类型非霍奇金淋巴瘤,主要起源于NK细胞,少数来源于T细胞,常见于成年男性。目前认为与EB病毒感染及多重耐药基因密切相关[1]。临床分为鼻型(68%)、皮肤型(26%)和未分化类型(6%)[2]。多发生于鼻咽部,以鼻塞、流涕、鼻出血或鼻咽部局部肿胀、糜烂、坏死等症状为首发。鼻外部位常发生于皮肤、胃肠道等。侵犯皮肤时常表现为无症状紫红色或肤色结节或肿块,易形成溃疡。病程中可出现高热、体重下降等全身症状,部分患者可出现噬血细胞综合征。张燕和洪小南[3]报道,原发于其他非鼻区域的患者病情可能更加凶险,特别是病程中发生皮肤浸润者,更易发生噬血细胞综合征,预后极差。ENKL确诊常需多次、多点取材行组织病理和免疫组化检查。组织病理可见肿瘤细胞大小不等,核形不整,易见血管浸润伴广泛坏死。肿瘤细胞表达NK相关抗原CD56和T细胞胞质内抗原1、颗粒酶B或穿孔素,但缺乏特异性T细胞抗原,一般缺乏T细胞受体基因克隆性重排[4]。
目前,噬血细胞综合征缺乏特异性的诊断方法,可根据国际组织细胞学会噬血性淋巴组织细胞增生症(hemophagocytic lymphohistiocytosis,HLH,又称噬血细胞综合征)2004(HLH-2004)标准诊断[5]。本例以双下肢浸润性红斑溃疡为首发表现,其后出现咽喉部明显症状伴有反复高热、体重体力下降明显,病程中外周血细胞、血红蛋白、血小板呈进行性下降,转氨酶、甘油三酯、血清铁蛋白持续性升高,血清中可溶性白细胞介素2受体水平升高,符合上述标准中的5条,提示噬血细胞综合征。
本例病情进展迅速,与张燕和洪小南[3]报道的ENKL患者如皮肤受累更易发生噬血细胞综合征,预后更差一致。ENKL首发症状呈多样化,早期缺乏特异性临床表现是误诊的主要原因之一。本例患者首发症状表现为双下肢浸润性的红斑溃疡,常被误认为是血管炎,咽喉部出现疼痛、发热易被误诊为上呼吸感染、病毒感染等。在临床中,对于咽喉部疼痛、鼻出血、皮疹处疼痛不适等症状,若伴有反复高热、体重、体力明显下降提示ENKL可能;鼻部、咽部、皮疹处出现广泛糜烂、溃疡甚至破溃、坏死等,可作为特异性体征,常高度提示ENKL可能。需尽早完善皮肤及鼻咽部的活检,必要时需多次多点取材。
武汉市第一医院病理科冯燕主任及陈晓云医生
所有作者均声明不存在利益冲突





















