
结肠壁脓肿病例临床少见,本文即回顾了一例升结肠壁脓肿患者的资料,包括临床症状、体征、血常规等实验室检查情况,以及肠镜、CT、超声等影像学检查结果。患者经抗感染治疗及脓液引流等对症治疗后,诉右侧腹部闷痛不适感消失,又经肠镜及腹部CT复查,均显示好转。提示内科医师如再遇类似病情,应考虑结肠壁脓肿,并予对应的治疗。
版权归中华医学会所有。
未经授权,不得转载、摘编本刊文章,不得使用本刊的版式设计。
除非特别声明,本刊刊出的所有文章不代表中华医学会和本刊编委会的观点。
患者男,49岁,因"右侧腹部疼痛10 d"入院。患者10 d前无明显诱因下出现右侧腹胀痛不适,时轻时重,同时伴大便性状改变,解稀便2次/d,无黏液脓血,排便后腹痛无明显缓解,无恶心呕吐或畏寒发热等不适。至当地医院就诊,查血常规示白细胞计数(WBC)16.5×109/L,中性粒细胞百分比(N)78.6%。泌尿系、阑尾及肠系膜淋巴结超声检查未见明显异常。予抗生素(具体不详)静滴3 d,同时予复方嗜酸乳酸杆菌、匹维溴铵、头孢呋辛口服对症处理,症状无明显缓解,遂来我院就诊。
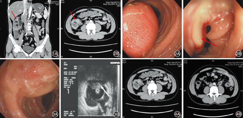
患者自患病以来体重减轻约8 kg。既往体健,否认乙肝、结核传染病史,无食物药物过敏史。入院查体示体温37.2℃,脉搏76次/min,呼吸19次/min,血压112/72 mmHg(1 mmHg=0.133 kPa),右侧腹触之饱满,压痛(+),肠鸣音6次/min,余无明显异常体征。本次复查血常规示WBC 13.8×109/L,N 74.1%,C反应蛋白(CRP)58.50 mg/L。结合患者症状及实验室检查,首先考虑肠道炎症,予左氧氟沙星0.5 g(1次/d)静滴抗感染及培菲康840 mg(2次/d)调整肠道菌群,后相关检查返回,包括大便常规+便潜血试验,大便培养+药敏,产毒素难辨梭菌检测等未见异常。次日肝胆胰脾及浅表淋巴结超声检查示脂肪肝,余未见明显异常。行胸部CT平扫示两肺散在少量间质性病变。入院第3天行全腹部CT平扫+增强,显示升结肠中上段及肝曲局部肠壁增厚伴异常强化,肠系膜根部多发淋巴结(图1);第4天行结肠镜检查见升结肠近肝曲有一长约10 cm的隆起灶,黏膜充血、水肿明显,表面糜烂,活检钳触碰质地较软,有波动感,活检见大量脓性分泌物流出(图2)。后病理示"升结肠"少量炎性肉芽组织。追问患者病史,发病前有不洁食物及贝壳类等食物食用史,且平素喜生食海鲜类食物,为排除因嗜食生冷引起的寄生虫感染损伤肠壁后导致肠壁脓肿的形成,行大便找虫卵及相关寄生虫抗体检测,结果无异常发现。经抗感染治疗及脓液引流,患者诉右侧腹部闷痛不适感明显减轻,查体腹部触诊饱满感及压痛消失,复查血常规WBC 7.4×109/L,N 61.1%,CRP 16.10 mg/L。入院1周后,患者腹痛症状消失,大便正常,复查肠镜见升结肠中段黏膜隆起灶,范围较前明显缩小,长3~4 cm,表面呈斑点状充血糜烂,质软,无波动感,用注射针穿刺后未能抽得液体,用12 mHz超声探头探测见该处肠壁层次清楚,黏膜层明显增厚,呈偏低回声,未见明显无回声区域或低回声区域(图3),遂予出院并嘱左氧氟沙星0.5 g(1次/d)口服。


出院后2周电话随访,患者无腹痛,门诊复查血象无异常。出院1个月后复查腹部CT示升结肠中上段及肝曲局部肠壁轻度增厚、强化,较之前明显好转(图4)。
临床上直肠脓肿、阑尾脓肿、结肠周围腹腔脓肿及实质脏器脓肿较多见,而结肠壁脓肿较少见,国内仅有个别病例报道,且多以误诊被报道[1]。结肠壁脓肿多因肠壁炎症逐步加重而形成,其常见病因主要有以下几方面:(1)克罗恩病;(2)结肠憩室炎;(3)鱼刺、寄生虫等异物刺伤肠壁;(4)腹部其他脏器如胆囊、阑尾穿孔侵蚀肠壁;(5)结肠癌同时并发肠壁、腹壁脓肿。本例患者因无肠结核相关临床症状,肺部CT无明显异常表现,所以未进行结核相关实验室检查,且寄生虫检测结果阴性,故首先考虑病因为误食尖锐贝类,导致肠壁损伤,形成局部肠壁脓肿。肠壁脓肿临床表现无特异性,多表现为腹部相应部位胀痛不适,或伴大便习惯改变,同时可伴高热、寒战等感染性症状。腹部超声、CT、MRI可在脓肿发生部位、进展程度方面提供一定的诊断依据,但在脓肿早期诊断中价值有限。结肠镜检查在该类疾病的诊断和治疗中占有绝对的优势,其不仅可以直观地观察肠腔内病变情况,同时可行活检以明确病变性质,排除恶性肿瘤、克罗恩病等病变;但在与结肠气囊肿症鉴别时需结合其特异性的CT表现[2]。结肠镜必要时还可直接行内镜下脓肿切开引流[3],以避免外科手术。虽然本例患者病因并未完全明确,但为临床上类似病例提供了一定的诊疗思路,当影像学检查不能明确诊断时,应及时行结肠镜检查,防止误诊误治。
所有作者声明不存在利益冲突





















