
1例60岁患者,因腹胀、纳差、发热入院,通过临床逐步排查、经验性用药,最后行胃镜引导下十二指肠液引流术发现肝吸虫卵而明确肝吸虫感染致急性胆管炎诊断。
版权归中华医学会所有。
未经授权,不得转载、摘编本刊文章,不得使用本刊的版式设计。
除非特别声明,本刊刊出的所有文章不代表中华医学会和本刊编委会的观点。
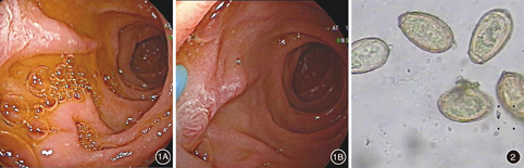
患者男,60岁,因"腹胀1个月,纳差7 d,发热1 d"入院。患者近1个月出现较明显腹胀,逐渐食欲下降,伴有餐后恶心,1 d前突然发热,体温最高达到39℃,不伴明显畏寒、寒战,无腹痛,无呕吐,无咽痛,无咳嗽、咯痰,无头痛,无肌肉痛,大便如常,尿色稍黄。起病前1个月自制药酒饮服,每天约半斤。近期无外出旅游。近期广州市内较多流感病例,患者家属中暂无感染者。患者有"高脂血症"10余年,无长期服药;无"肝炎、肺结核"等传染病史;无嗜酒史,平素喜欢吃鱼,但不吃鱼生。入院查体:体温39.6℃,心率89次/min,呼吸20次/min,血压142/81 mmHg(1 mmHg=0.133 kPa),神志清晰,体型偏胖,营养良好,皮肤无焦痂、斑丘疹、皮下出血斑点等,全身浅表淋巴结无肿大,巩膜无黄染,无咽喉充血,双侧扁桃体无肿大和渗出,胸廓正常,呼吸运动对称,双肺叩诊音清,双肺呼吸音清,无干湿罗音,心浊音界无扩大,心率89次/min,律齐,无心包摩擦音,各瓣膜区无病理性杂音,腹稍膨隆,未见胃肠型或蠕动波,无腹部静脉显露,全腹软,右上腹有压痛,无反跳痛,无肝区叩痛,墨菲征可疑阳性,移动性浊音阴性,肠鸣音4次/min,双下肢无浮肿,腓肠肌无压痛。血常规:白细胞7.33×109/L,中性粒细胞比率0.646,单核细胞比率0.112,嗜酸性粒细胞比率0。肝功能:ALT 94.0 U/L,AST 98.0 U/L,GGT 85 U/L,TBIL和DBIL正常。C反应蛋白(CRP) 76.0 mg/L,降钙素原(PCT) 2.32 ng/mL。尿常规:尿胆原(+++),尿蛋白(++),24 h尿蛋白0.62 g。粪便常规+隐血(-)。肝炎系列(-),肺炎九项(-),EB病毒抗体(-),TORCH四项(-),肥达氏反应(-),外斐氏反应(-),甲型流感抗原(-),乙型流感抗原(-)。两次血培养(-)。腹部超声:脂肪肝并肝稍大,胆囊内胆汁淤积;脾、胰未见异常声像图;门静脉、肝静脉血流未见异常。腹部CT:轻度脂肪肝,肝脏散在小囊肿;前列腺钙化;胆、胰、脾、双肾、双肾上腺及膀胱未见明显异常。患者入院后予多烯磷脂酰胆碱护肝和观察热型,入院后5 d内均有39℃以上发热,第5天达最高(40 ℃),热型呈弛张热,不排除感染性发热,入院后第3天予左氧氟沙星静脉滴注,第5天联合应用头孢噻肟钠舒巴坦钠静脉滴注,第6天体温迅速下降至正常后未再发热,但仍腹胀、食欲减退。复查血常规:白细胞10.65×109/L,中性粒细胞比率0.261,淋巴细胞比率0.669,嗜酸性粒细胞比率0.010。尿常规:尿蛋白(±)。粪便常规+隐血(-)。CRP 18.8 mg/L。PCT 0.27 ng/mL。肝功能:ALT 97.0 U/L,AST 66.0 U/L,GGT 214 U/L,TBIL和DBIL正常。高度怀疑急性胆管炎,不排除肝吸虫感染,于入院第14天行胃镜引导下十二指肠液引流术(图1),收集A、B、C三管胆汁送实验室查找寄生虫卵,3管肝吸虫卵均为阳性(图2)。建议患者服吡喹酮驱虫治疗。


急性胆管炎常有腹痛、发热、黄疸等临床表现,发病最常见的原因是肝内外胆管结石,此外胆道寄生虫、胆管良恶性狭窄等亦可引起。其病理基础主要是胆道感染,伴有胆道完全或不完全梗阻,造成胆管静脉或胆管淋巴管反流,胆汁中大量细菌和毒素经肝内胆管的肝细胞屏障直接进入肝血流而发病[1]。
肝吸虫病是我国目前最严重的食源性寄生虫病,多因素分析显示,经常吃鱼生、年龄越大(≥40岁)、缺乏肝吸虫病防治相关知识、加工淡水鱼生和熟食厨具未分开的居民感染肝吸虫病风险越大[2]。2010年广东省全省抽样调查,人群肝吸虫感染率为6.20% [3]。肝吸虫对人类和其他脊椎动物危害最大的两个属为支睾属的中华支睾吸虫和后睾属的麝猫后睾吸虫,在我国主要为华支睾吸虫。肝吸虫病主要由生食含囊蚴的淡水鱼虾引起,囊蚴进入消化道后,囊内幼虫由于消化液作用而在十二指肠破囊而出,并循胆汁逆流上行,到达肝内胆管,并逐渐发育为成虫[4]。虫体吸盘引起胆管反复溃疡、增生,胆管上皮增生,纤维化,使管腔变窄,肝吸虫排出的虫卵、黏液及成虫或死亡虫体阻塞胆管使胆汁引流不畅,并发细菌感染,导致胆管炎[5]。
肝吸虫感染患者常在诊断肝吸虫病之前以胆管炎症状就诊,症状一般较胆石症引起的胆管炎轻,腹痛多为隐胀痛,也有绞痛发作,可伴轻-中度发热,黄疸一般不深,且多为一过性。经抗炎解痉利胆治疗后胆管炎症状多能缓解,个别患者可演变成重症胆管炎。早期腹部超声、CT可无特殊表现,中后期可见胆管结石及胆管明显特征性扩张,肝内胆管从肝门向周围均匀扩张,肝包膜下胆管呈囊样扩张。因对本病认识不足,临床上常有漏诊。肝吸虫病是目前我国最严重的食源性寄生虫病,肝吸虫感染已被国际癌症研究中心(IARC)确定为胆管癌Ⅰ类致癌因素[4],及早诊断有助于肝吸虫感染并发症的防控。
确诊肝吸虫感染最简便的方法为大便查虫卵,但阳性率仅14.8%~30.80%,有研究认为检出率低的原因可能为胆道梗阻时,虫卵不易排至肠道,或虫卵排出数太少[5]。改良加藤氏厚涂片法要优于生理盐水直接涂片法,此外增加粪便检测次数亦可提高检出率[6]。比较可靠的检查方法是从胆汁中查找肝吸虫卵,阳性率可达86.5%[5]。
本病例发热热型呈弛张热,虽然外周血白细胞和中性粒细胞没有升高,但CRP和PCT升高,故倾向感染性发热,经过一系列感染性疾病的排查,并经验性选用抗菌药物后体温迅速下降,支持细菌性感染,需要进一步明确感染部位。患者GGT较ALT和AST升高明显,高度怀疑急性胆管炎,诱因可能与起病前饮酒有关。此外,结合患者平素喜欢吃鱼,虽然反复粪便常规检查虫卵阴性、外周血嗜酸性粒细胞无升高、腹部B超和CT未见肝内外胆管明显异常,仍不排除存在肝吸虫感染造成肝内小胆管堵塞。最终通过胃镜引导下十二指肠液引流术,收集胆汁发现肝吸虫卵而确诊肝吸虫感染。因此,对疑有肝吸虫感染者,应多种检查结合,以期提高本病诊断率,其中胃镜引导下十二指肠液引流术具有定位快速准确、引流方便快捷、不损伤肝内外胆管等优点,适用于反复粪便常规查找虫卵阴性、无ERCP指征又高度怀疑肝内胆管疾病如肝吸虫感染者[7]。
所有作者声明不存在利益冲突





















