
胰腺转移性肿瘤较少见,黑色素瘤转移至胰腺尤为罕见。组织病理学检查为其金标准,内镜超声引导下细针抽吸术有较好的诊断价值。现结合文献,报道入院收治的1例内镜超声引导下细针抽吸术诊断为黑色素瘤胰腺转移的患者情况。
版权归中华医学会所有。
未经授权,不得转载、摘编本刊文章,不得使用本刊的版式设计。
除非特别声明,本刊刊出的所有文章不代表中华医学会和本刊编委会的观点。
患者男,56岁,因"右上腹痛1个月余"入院。2018年7月患者出现右上腹部阵发性钝痛,当地医院予查全腹CT平扫示"胰腺头部稍饱满,密度欠均"。
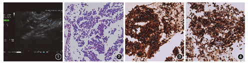
查胰腺增强磁共振(MRI)示"十二指肠乳头内下方胰头钩突后方区域异常信号结节灶"。2015年12月患者因左鄂部黏膜恶性黑色素瘤伴淋巴结转移行手术切除加化疗,因化疗副反应明显后停止化疗。2018年1月患者因左锁骨上淋巴结疼痛行淋巴结切除,术后病理提示符合黑色素瘤淋巴结转移。进一步明确胰头钩突部占位性病变性质,患者于2018年8月27日入院诊治,完善相关检查并排除禁忌后于2018年8月29日行胰腺内镜超声引导下细针抽吸术(EUS-FNA),超声扫描见胰头部胰管扩张,内径约3.5 mm(图1),胰腺钩突部见一占位,内部回声不均匀,病灶中央中等回声为主,周边低回声为主,大小约1.9 cm×1.8 cm,彩色多普勒血流图像(color doppler flow imaging, CDFI)提示病灶血供丰富,六氟化硫微泡剂造影提示动脉期实质期高增强,血流多普勒见穿刺路径,未见明显血流,用22 G穿刺针(波士顿科学,美国)刺入胰腺钩突部肿块,来回提插取得组织条长约10 cm,送检涂片、细胞学及组织学。术后液基细胞涂片提示:恶性肿瘤细胞,胞浆内可见色素沉着,黑色素瘤转移可能。病理结果示:胰腺钩突部符合恶性黑色素瘤转移,CK(pan)(-),Ki-67(20%+),P63(-),HMB 45(+),Melan A(+),S-100(-)(图2,图3,图4)。证实为恶性黑色素瘤胰腺转移,后转至我院化疗科继续治疗,查浅表淋巴结超声提示:左锁骨上淋巴结肿大。颈部CT示右颈部颌下团块影(大小约3.1 cm×1.7 cm),淋巴结转移考虑。头颅CT平扫未见明显异常改变。全身骨骼ECT示骨骼未见明显骨质代谢异常。诊断:左腭部恶性黑色素瘤(术后,化疗后)伴颈部淋巴结转移,胰腺转移,予纳武单抗220 mg化疗已11次。患者现继续治疗和随访中。


相较于原发性胰腺恶性病变而言,胰腺转移性肿瘤并不常见,发生率仅为2%~5%,通常见于原发肿瘤伴广泛转移的患者。最常见的转移至胰腺的恶性肿瘤有肾癌、肺癌、乳腺癌和结肠癌,其次是肉瘤和黑色素瘤[1]。黑色素瘤是临床上较为常见的皮肤黏膜和色素膜恶性肿瘤,也是发病率增长最快的恶性肿瘤之一,年增长率为3%~5%[1]。原发于胰腺的恶性黑色素瘤鲜有文献报道[2],胰腺转移性恶性黑色素瘤也相对少见[3]。
恶性黑色素瘤通常易转移至胃肠道,国外的尸检数据表明50%~60%的转移性恶性黑色素瘤患者可以有胃肠道转移,但仅有1.5%~4.4%的患者被明确诊断。EUS为我们观察胰腺及其附近的结构提供了高质量图像,并且纵轴超声镜的工作腔道允许我们对胰腺的不同部位进行准确穿刺而最大程度上减少对周围组织的损伤。因此,EUS-FNA已成为获取胰腺组织标本的常规方法。特别是伴有胰腺转移的病例,EUS-FNA具有实时组织取样的优势。EUS-FNA对胰腺病灶是否进一步需要外科手术治疗的指导尤为重要[4]。对于胰腺的小病灶,EUS-FNA更能体现其优势,通过近距离观察,EUS可早期发现直径<1 cm的肿瘤,EUS-FNA用于诊断胰腺肿瘤的准确性和特异度均较高,并发症较少,且出现随穿刺针的播散性肿瘤转移亦少见[5]。即使患者既往无肿瘤病史,组织细胞学检测仍能鉴别其为胰腺原发肿瘤还是其他脏器转移性肿瘤。
黑色素瘤恶性程度高,转移早,预后较差。尽管不断有新的治疗药物出现,我国黑色素瘤患者的五年生存率为41.6%,五年生存期为43个月,五年无病生存率为12.3%,五年无病生存期为20个月[6]。恶性黑色素瘤一旦诊断明确,力争治愈性切除,这是唯一能够延长患者生存期的方法。黑色素瘤对放化疗不敏感,无肯定疗效。近来,肿瘤免疫疗法取得了令人振奋的进展,相较于化疗,免疫治疗可获得更大的持续应答,其在多种肿瘤患者身上表现出更显著的长期疗效。在控制肿瘤细胞的生长、扩散和复发过程中,T细胞介导的免疫应答具有重要作用。纳武单抗是一种程序性死亡受体(PD-1)阻断剂,可阻断PD-1与PD-L1的结合,使得处于免疫耐受的T细胞重新激活并参与杀灭肿瘤细胞,适用于转移性、无法施行手术切除或对其他治疗药物无反应的黑色素瘤患者,其远期疗效仍在进一步研究中[7]。随着对免疫学与分子生物学的深入了解,免疫治疗和靶向治疗必将是今后的研究热点,值得期待。
所有作者声明不存在利益冲突





















