
内镜下异物取出术是目前治疗食管异物的主要方法,而对于复杂异物及并发症者,仍需外科手术。本文报道1例穿透黏膜下食管异物的患者,经胃镜检查食管管腔未见异物,食管CT可见高密度异物影,遂通过和谐夹结合CT三维成像,明确异物具体空间位置,借鉴黏膜下肿物挖除术原理,应用内镜下黏膜及肌切开术,探查被包埋异物,并成功取出异物。
版权归中华医学会所有。
未经授权,不得转载、摘编本刊文章,不得使用本刊的版式设计。
除非特别声明,本刊刊出的所有文章不代表中华医学会和本刊编委会的观点。
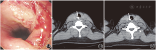
患者女,45岁,因误吞鱼刺致咽痛及异物感12 d就诊。患者入院前6 d曾在外院行胃镜检查提示食管入口处透明鱼刺样异物,因局部黏膜出血未行异物取出术,予保守治疗,咽部疼痛及异物感无缓解,病程中无呕血、发热等症状。在我院门诊行胃镜检查见食管入口一大小约1.0 cm×1.0 cm凹陷灶,基底白苔,周围黏膜充血水肿,食管腔内未见明显异物残留(图1A)。予胸部CT检查,提示食管胸廓入口处(约颈7水平)见条状高密度影,长径约2.3 cm,水平略向左下走行(图1B),周围软组织肿胀、脂肪间隙模糊,见多处气体密度影(图1C),初步诊断:颈段食管异物并穿孔。血常规、C反应蛋白无明显异常。经与患者充分沟通病情及治疗方案,患者同意行内镜下治疗。入院后第2天复查无痛胃镜,食管腔内仍未发现异物,超声胃镜检查亦未探及食管壁内外异常回声影。胃镜下予1枚和谐夹(ROCC-D-26-195,南微医学,中国)夹闭溃疡灶肛侧,行食管薄层CT扫描(每层间隔2 mm)并行三维重建,明确异物与止血夹的相对位置。食管三维CT重建可见鱼刺位于止血夹左后方(图2)。定位后行内镜下病灶处黏膜及肌层切开术。手术过程如下:根据和谐夹与CT定位后相对关系(图3A),于和谐夹左后方,应用Dual刀逐层切开黏膜及环形肌(图3B);切开后见嵌入食管壁外的鱼刺;使用透明帽进一步钝性分离切开的食管黏膜及肌层,暴露鱼刺(图3C、图3D);应用异物钳夹取鱼刺,配合透明帽将鱼刺完整取出(图3E、图3F)。术中全程使用二氧化碳气泵,避免术中穿孔导致或加重皮下气肿。术后予禁食3 d,使用头孢拉定+奥硝唑联合抗感染、抑酸及补液等治疗。术后第4天,患者异物感症状消失,咽痛等不适缓解出院。出院后电话随访无咽痛、发热等不适,2周后复查胃镜提示病灶处黏膜愈合。






成人食管异物多由进食不慎误吞引起,较小的异物可随食物进入胃腔,较大或尖锐的异物可嵌顿在食管狭窄处[1]。主要表现为胸骨后异物感,伴疼痛、吞咽困难,少数可出现出血、穿孔、感染等严重并发症。成人食管异物的种类以鱼刺、骨头、肉类食物、果核及假牙较为常见。根据误食异物病史,结合胸片、食管钡餐、胸部CT等影像学检查以及胃镜检查即可明确诊断。食管异物的治疗为排除禁忌证后,尽快将异物取出。由于消化内镜治疗的高成功率及低风险,目前已成为食管异物的首选治疗方法。多数患者经门诊内镜可取出异物,无严重并发症者,且无须住院。术前完善食管CT平扫有助于判断食管异物大小、部位及与周围器官的毗邻关系。少部分复杂食管异物,或合并食管瘘及感染等因素,需外科手术治疗[2]。但外科手术创伤及风险较大,术后恢复时间长,将增加患者的经济负担及住院时间。
本例患者内镜检查食管腔内未见异物影,超声内镜未能探及,胸部CT平扫可明确异物大致部位,但没有参照物,内镜下仍无法判定其具体部位。患者异物嵌顿时间过长,可能引起食管纵隔脓肿,食管-气管瘘等严重并发症,根据传统治疗经验,患者需要外科开胸手术或行胸腔镜异物取出。
随着内镜下治疗技术的发展,内镜下黏膜及肌切开术已广泛应用于消化道黏膜下病变的治疗[3]。内镜下黏膜及肌切开术可以探查被包埋异物及取出,并起到引流及闭合创口的作用。内镜下治疗创伤小,术后配合禁食、静脉抗感染等治疗也能起到显著效果。受内镜黏膜下肿物挖出术的启发,考虑该病例若可明确异物包埋的具体部位,可应用内镜于异物所在部位进行黏膜层及肌切开术,探查食管壁及食管腔外异物,并行异物取出术。
食管异物CT三维重建可以明确异物在食管腔的位置及毗邻关系,通常用于食管腔内异物内镜取出前的评估,而该患者异物刺入黏膜下达食管肌层。虽然有黏膜破损,但异物体积小而薄,内镜下治疗不似外科探查,需要更精确的定位。内镜结合三维CT的定位并不够精准,止血夹在该治疗中作为黏膜及肌切开部位的参照对比,使得内镜下切开更精确,缩短治疗时间。笔者搜索消化道异物取出术的相关文献,目前国内尚无类似报导。该病例中使用的和谐夹(南微医学)可在胃肠道内放置,用于胃肠道黏膜夹闭术,以及辅助内镜标记。相比钛夹,其张口较大,可调整开口方向,可重复开闭,旋转灵活,且其尾部较短不遮挡视野,易于配合,可缩短操作时间,提高操作成功率。内镜下黏膜及肌切开取异物存在以下难点:(1)颈段食管空间狭窄,内镜操作较为困难;(2)治疗中咽反射反应及肌肉收缩会增加内镜治疗的难度;(3)电切中产生的烟雾会刺激咽部出现呛咳;(4)切口处若大量出血会导致误吸。笔者总结经验如下:(1)对于食管高位隧道建立,要求手术者有良好的控镜技术;(2)由于术区空间狭窄,术中可应用锥形透明,容易进入隧道进行异物探查;(3)适量黏膜下注射生理盐水,及时处理裸露的血管,可减少出血;(4)隧道方向与异物所在局域上缘即短隧道法,避免因异物体积小而不易发现。因此,内镜操作者与助手的配合极为关键,同时还需麻醉医师密切合作,以减少穿孔、出血、误吸等并发症。
所有作者声明不存在利益冲突





















