
特发性肠系膜静脉硬化性肠炎(idiopathic mesenteric phlebosclerosis,IMP)临床少见,病因及发病机理不明。本文报告1例IMP并发结肠自发性穿孔破裂的临床表现,内镜、CT及病理特征,并结合复习文献,以期提高医师对IMP的认识水平。
版权归中华医学会所有。
未经授权,不得转载、摘编本刊文章,不得使用本刊的版式设计。
除非特别声明,本刊刊出的所有文章不代表中华医学会和本刊编委会的观点。
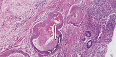
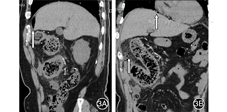
患者男,74岁,因"右侧腹部疼痛1个月,发热1 d"于2019-03-17入院浙江省衢州市人民医院。患者1个月来持续性腹部隐痛,右下腹为主,大便不成形,色黄,入院1 d前出现发热,达38.6℃,无畏寒。饮酒史40余年,日饮中药酒"五加皮酒"200 mL。入院查体:血压150/73 mmHg(1 mmHg=0.133 kPa),腹软,右侧腹压痛明显,无反跳痛,肝脾肋下未及,双下肢无凹陷性水肿。实验室检查:血红蛋白127 g/L,白细胞计数7.6×109/L,血沉55 mm/h,C-反应蛋白101.52 mg/L,血清白蛋白31.6 g/L,球蛋白35.5 g/L,血清降钙素原0.63 ng/mL;大便隐血(+);肝炎系列、肿瘤标志物检查均无异常,结核抗体阴性。心电图正常。腹部超声:肝、胆、胰腺未见异常。结肠镜检查:肠腔黏膜充血水肿、灰暗,糜烂从回盲部至乙状结肠均有,升、横结肠皱襞消失,溃疡附着有脓性分泌物(图1)。肠镜活检病理:(升结肠)黏膜慢性炎伴坏死。腹部CT平扫:升、横结肠管壁明显增厚水肿,四周脂肪间隙模糊,系膜血管钙化,考虑缺血性肠病。门静脉CT血管成像:门静脉主干走形正常,管腔内无充盈缺损影;右半结肠静脉管壁见多发点状、细条状钙化影,相应结肠管壁增厚,考虑为静脉硬化性肠炎(图2)。入院后予抗炎,丹参川芎嗪注射液、前列地尔注射液改善微循环等治疗。次日热退,腹痛逐渐好转,复查C-反应蛋白14.90 mg/L,谷丙转氨酶18.3 U/L,血清降钙素原0.22 ng/mL。住院8 d出院。出院诊断:特发性肠系膜静脉硬化性肠炎(idiopathic mesenteric phlebosclerosis,IMP)。嘱戒酒。电话随访,患者未戒酒,时有腹部隐痛,大便稀糊。出院26 d因"突发腹痛5 h余"急诊入院。查体:痛苦面容,腹肌明显紧张,显著压痛,伴反跳痛,以右侧腹部为著,听诊肠鸣音未闻及。急诊全腹部CT平扫:膈下及上腹腔游离气体,消化道穿孔考虑;结肠肝曲肠壁增厚,四周有明显渗出,周围系膜血管多发钙化(图3)。实验室检查:C-反应蛋白126.62 mg/L。急诊手术:切开腹膜见腹腔淡血性积液及气体逸出,积液100~120 mL,探查见盲肠向升结肠方向明显弯曲,升结肠偏下方结肠破裂,破口大小约3.5 cm,间断有大便自破口溢出,升、横、降结肠广泛发黑、挛缩、水肿,其中以升结肠为著,伴多发性地图样坏死灶。行右半结肠切除和回肠造瘘术。大体病理:见切除右半结肠肠管长26 cm,近回盲部肠管增粗,最大径7.5 cm;剪开肠管有大量粪便潴留,皱襞消失,结肠肠壁增厚,浆膜面暗红色。镜检病理:(右半结肠)黏膜慢性炎伴出血,肠血管壁增厚、玻璃样变及钙化(图4),部分肠壁伴坏死;(肠周)14只淋巴结慢性炎。术后5个月后再次行结肠次全切除术加回肠造瘘回纳术,随访至今5个月,局部继发肠瘘,一般状况良好。






IMP是一种极为少见的缺血性肠炎,国内外文献多为个例报道[1,2,3]。其以结肠肠壁增厚、结肠壁静脉管壁钙化及肠系膜上静脉分支不同程度钙化为主要病理表现[3,4]。IMP临床上可见腹痛、腹泻、便秘、便血等非特异性表现,也有以肠梗阻为首发的报告,极少数患者可出现肠穿孔。董惠和孟立娜[5]2015年总结国内外文献报道的IMP 29例,其中15例患者同时累及升结肠和横结肠,7例累及升结肠,说明该病多累及右半结肠,可以表现为反复右侧腹痛。由于IMP无明确特征性表现,容易误诊为其他常见消化道疾病,本例患者初次就诊就怀疑阑尾炎。
IMP病因与发病机制目前不是十分明了,有报告多与长期服用特定中草药或药酒有关[6,7]。本例患者长期定量饮用"五加皮酒",该酒蕴含多种中草药,而这些中药成分的药理作用对结肠及肠系膜静脉的影响不明确,有推测其中某些中药成分或毒素可以经过静脉回流被吸收,经过长时间细胞及组织缺氧损伤静脉肌层,并逐步导致静脉钙化及硬化。
IMP尽管少见,但其在影像学尤其是腹部CT上有一定特色表现,典型病例提示受累结肠段增厚、僵硬,肠管及四周出现多发、细条状多发钙化,肠系膜上静脉分支可有不同程度细条状钙化。肠镜可见肠腔表面黏膜静脉曲张淤血,呈特殊暗紫色,触之易出血,结肠皱襞消失,伴有多发糜烂及溃疡[3,6]。
典型的结肠镜、影像学及病理特殊改变对IMP诊断有支持,但该病仍然需要同其他缺血性肠病、肠淋巴瘤等相鉴别。缺血性肠病因大、小肠供血不足造成肠缺血、肠组织坏死,可分为急、慢性肠系膜缺血和缺血性结肠炎,以后者最多见。左半结肠由于血液供给的特殊性,它由肠系膜下动脉供血,并且后者同腹主动脉呈锐角状态,影响血液流速,故缺血性结肠炎多好发左半结肠[8]。而IMP多累及右半结肠,CT表现为特殊的肠系膜静脉分支有不同程度钙化,有助鉴别。
本例在确诊IMP后1个月出现结肠自发性穿孔破裂,紧急剖腹手术见盲肠向升结肠方向弯曲,升结肠偏下方结肠破裂,破口大小约3.5 cm,伴多发性地图样坏死灶。病理示肠血管壁增厚、玻璃样变及钙化,部分肠壁伴坏死。复习文献该病有少数肠坏死手术报告[1,9],但未见有结肠自发性穿孔至破裂。回顾患者结肠镜图像显示升、横结肠蓝色的水肿黏膜,溃疡深凿相邻而且有脓苔、粪质附着,肠皱襞消失;手术探查见盲肠向升结肠方向弯曲压迫,使此段结肠在肠系膜静脉广泛钙化基础上,静脉淤血、肠壁缺血加重,造成相邻溃疡坏死穿透,形成肠管破裂。此病例罕见,重视对IMP及其少见并发症的认识,及时正确处理是治疗成功的关键。
所有作者声明不存在利益冲突





















