
原发性直肠黑色素瘤是一种罕见的侵袭性疾病,恶性程度高,内镜下诊断困难。本文报道了1例直肠黑色素瘤患者的诊治经过,旨在帮助临床医生提高对该病的认识。
版权归中华医学会所有。
未经授权,不得转载、摘编本刊文章,不得使用本刊的版式设计。
除非特别声明,本刊刊出的所有文章不代表中华医学会和本刊编委会的观点。
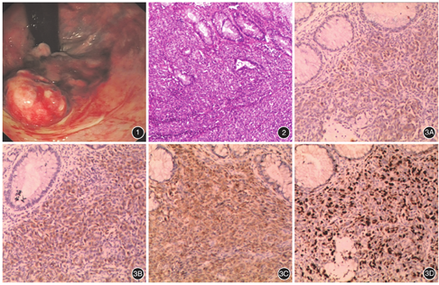
患者女,67岁,因"间断性排新鲜血便7 d,加重1 d"入院。患者入院前7 d无明显诱因出现新鲜鲜血便,约每天1次,每次量约200 mL,伴有里急后重感;1 d前症状加重,排新鲜血便4次,总量约1 200 mL。患者平素无腹胀、腹泻、乏力、纳差、反酸、嗳气等不适症状,既往无胃肠道肿瘤病史。入院诊断:(1)消化道出血;(2)直肠肿物(性质待查)。肠镜报告:直肠近肛缘见一处大小约1.5 cm×2.0 cm息肉样病变,表面被覆坏死物并见血迹(图1)。内镜活检病理报告:恶性肿瘤伴坏死。活检病理结合免疫组化结果诊断为恶性黑色素瘤,遂行直肠恶性肿瘤根治术。术后肿瘤病理回报:距皮肤切缘5.5 cm、齿状线上方0.6 cm见一隆起性肿物,大小1.2 cm×0.8 cm×0.5 cm,表面略灰黑;肿物与齿状线1.0 cm处见灰黑区,范围0.5 cm×0.5 cm,边界不清;肠周围脂肪中找到可疑结节18枚,直径0.2~0.6 cm;(直肠肿物)恶性肿瘤伴坏死(图2),结合免疫标记结果符合恶性黑色素瘤并累及肠壁黏膜层和黏膜下层,未见确切脉管和神经累及,两侧切缘及环周切缘均未见肿瘤,肠周围淋巴结未见肿瘤累及。免疫组化:MelanA(部分+),HMB45(部分+),S-100(+),Ki-67(30%+)(图3),LCA(-)。


恶性黑色素瘤是恶性度极高的肿瘤,发病率仅为4.1/100万,其中原发性直肠黑色素瘤更为少见,仅占恶性黑色素瘤的5%[1]。恶性黑色素瘤患者无特异性临床症状,内镜检查常不能发现色素沉着等内镜下特征性表现,因此常被内镜医师所忽略。该病发病机制尚不完全明确,好发年龄为60~70岁,男女比例为1∶4,病灶多见于齿状线处或略高于齿状线,直肠少见。恶性黑色素瘤患者常见症状有直肠出血、肛周或直肠肿块、疼痛,常有区域扩散、远处转移,常见的扩散区域为肠系膜和腹股沟淋巴结,远处转移的主要部位是肺、肝、骨[1]。
原发性直肠黑色素瘤结肠镜下表现以隆起性病变多见,形状不规则,病变表面及周围黏膜多发黑褐色色素沉着为其特异性表现。病变常表现为褐色或黑色,早期无色素沉着时病变常表现为暗红色,因此与血栓性痔疮常难以区分。因发现时常为晚期,故常伴有表面糜烂、溃疡,被覆污秽苔,质脆,触之易出血;大小无特异性,直径多大于2.0 cm,常占据管腔,致管腔狭窄,管壁僵硬[2]。超声内镜可见病变来源于黏膜层,呈偏低回声,内部回声欠均匀,无特异性,且常依赖于操作者技术,多应用于探查周边淋巴结是否有异常增大[3]。
原发性直肠黑色素瘤的病理类型可分为上皮样细胞类型、梭形细胞类型、淋巴细胞样类型、气球样细胞类型、混合细胞类型。免疫组化表现为HMB45特异度较高、S-100敏感度高,可用于低分化癌、淋巴瘤及大多数软组织肉瘤与之鉴别诊断的重要依据[4]。本例术后病理免疫组化结果为HMB45(部分+)、MelanA(部分+)、Ki-67(30%+)、S-100(+)、LCA(-),符合原发性直肠黑色素瘤特征。
原发性直肠黑色素瘤早期治疗以手术为主,浸润深度≥1 mm或伴原发灶溃疡建议行前哨淋巴结活检,主要术式为腹会阴切除术、经肛门切除术,两种术式间存活率未发现明显差异[5];同时,肿瘤ⅡB期及以上的高危术后患者,区域淋巴结转移≥3个、区域淋巴结未能清扫彻底、转移淋巴结囊外侵犯或转移淋巴结直径≥3 cm建议行区域淋巴结的辅助放疗。本例患者选用腹会阴切除术术式,属于肿瘤Ⅰ期。
所有作者声明不存在利益冲突





















