
食管平滑肌瘤是食管良性肿瘤之一,随着瘤体不断增大,可严重影响患者生活质量。其治疗从外科手术逐步发展至内镜下微创治疗。本文报道1例巨大食管平滑肌瘤行开窗式内镜黏膜下剥离术,瘤体完整切除,患者预后良好。
版权归中华医学会所有。
未经授权,不得转载、摘编本刊文章,不得使用本刊的版式设计。
除非特别声明,本刊刊出的所有文章不代表中华医学会和本刊编委会的观点。
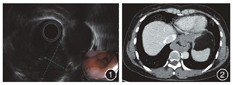
患者女,48岁,因"胸骨后不适6年余,加重半个月余"入院。患者于2013年外院胃镜检查发现食管距门齿35~38 cm右侧壁近后壁一3 cm×3 cm大小半球状隆起,同年在长海医院消化科行内镜超声检查,食管35~38 cm处右侧壁可见多发低回声团块。患者自觉不影响日常生活拒绝手术治疗。2019年10月,患者胸骨后不适感加重,于长海医院行内镜超声检查示食管下段多发低回声团块,相互融合,最大的两个大小分别为3.7 cm×1.7 cm、2.8 cm×1.7 cm,向腔内外突出,内部回声不均匀,平滑肌瘤可能(图1)。胸部CT检查:食管下段管壁外圈环形增厚,局部黏膜完整,局部管腔狭窄,增强后轻度较均匀强化(图2)。患者要求行内镜微创治疗。


经综合评估后予ESD治疗(图3)。内镜下距门齿35 cm处食管前壁、左侧壁、右侧壁可见巨大黏膜下隆起,大小约5.0 cm×6.0 cm,呈低半球状,表面光滑,周围有桥形襞。将肾上腺素、亚甲蓝及甘油果糖混合溶液注射于病灶黏膜下层,用T型海博刀切开黏膜、黏膜下层,显露出白色的瘤体组织。于切开处行黏膜下切除,在剥离时反复用冰肾上腺素生理盐水冲洗止血并以电凝止血;环形切开后用玻璃帽将切除的黏膜推开,保持视野清楚。切除过程中逐步可见肿瘤呈"三分叶"状,且逐渐延伸至胃底黏膜下层,部分分离肿瘤后瘤体呈"弯月"状悬垂包绕贲门及内镜,采用美国Boston圈套器分块切除巨大瘤体后,可见食管下段仍有大块瘤体,直径>3 cm,依次分块切除后可见食管下段的巨大残留腔隙(瘤体压迹),距门齿38 cm处食管固有肌层中断,残腔延续至胃底黏膜下层。因创面过大无法缝合夹闭,部分创面以止血夹闭合,联合日本Olympus电凝钳进行创面止血,留置胃管后退镜。手术持续时间4 h,术中出血较少,患者生命体征稳定,术毕于前胸上部和颈部发现少许皮下气肿。切除的病灶呈多个瘤体融合改变,总体大小约5 cm×6 cm。术后病理诊断:食管下段平滑肌瘤。


术后次日患者体温38.2 ℃,查体胸骨中段两旁可触及皮下气肿。胸部CT检查:食管间质瘤ESD术后,术区可见金属夹影,食管下段管壁外圈环形增厚,管腔局部狭窄,纵隔内见少许气体密度影。予抗感染、补液支持治疗后,第2天体温恢复正常,皮下气肿减少。术后第5天复查胃镜示食管术后溃疡,未发现明显瘘口(图4)。予开放饮食,嘱流质饮食。患者进食后无明显不适,于术后第7天出院。术后6个月复查胃镜,可见瘢痕形成(图5)。
食管平滑肌瘤是一种罕见的食管良性病变,多数无明显症状[1],大多起源于肌层,少数起源于黏膜肌层,形态不规则,呈类圆形、马蹄形等,多为单发。近年来,随着内镜技术的发展,其治疗方式从外科手术逐步转变成内镜治疗[2],内镜下切除方式主要有ESD和黏膜下隧道法内镜切除术(submucosal tunneling endoscopic resection,STER)。STER较ESD维持了食管黏膜的完整性,缩短了切口愈合时间,同时手术时间短,手术成功率及并发症发生率与ESD相当[3,4]。食管下段与贲门连接处的黏膜下肿瘤一直是ESD治疗难点,因该部位肿瘤通常长径较大(>3 cm),多有融合,肿瘤性质以间质瘤或平滑肌瘤为主。食管下段的巨大黏膜下肿瘤通常可延伸至贲门甚至胃底,周围解剖结构复杂,毗邻胸主动脉,ESD治疗风险较高,而外科手术创伤较大,通常需要胸腔镜和腹腔镜联合手术,手术并发症多。本例病变为位于食管下段的巨大平滑肌瘤,呈分叶状,通常建议采取STER切除,但我们采用"开窗"式ESD将病变剥离,具有视野暴露好、瘤体容易分离的优点。尽管研究表明STER摘除食管平滑肌瘤安全有效且能保持黏膜完整[5],但对于直径>35 mm的病变,STER仍然存在技术挑战,尤其是针对多个瘤体融合并且延伸至胃底的情况,STER可能造成黏膜面或食管固有肌层损伤;对于呈分叶状延伸的巨大瘤体,STER难以完整分离,隧道内空间狭小限制了内镜操作,术后残留的巨大黏膜下腔隙容易造成感染或血肿等并发症。本例术中发现食管下段固有肌层与瘤体粘连,其完整性已经破坏,因此会有皮下气肿发生。但因食管下段固有肌层与胃底、贲门的黏膜下层相连,因此未造成纵隔瘘等情况,表明在食管下段"开窗"ESD有一定安全性保证。当然,对于非融合性、长条状食管下段黏膜下肿瘤还是建议行STER更为安全。本例因术前已经预计到瘤体的形状复杂性(术前CT提示食管下段环周肿瘤),因此未采用STER。
由于食管下段与胃底连接部的黏膜下层结构不同,术后应警惕感染、穿孔及食管瘘的发生。本例患者术后体温升高且出现皮下气肿,系因手术创面较大所致,予抗感染、补液支持治疗后体温恢复,皮下气肿减少。随后复查胃镜,未见明显瘘口。因此,对于病变较大的食管平滑肌瘤仍建议行ESD切除,必要时联合胸腔镜或腹腔镜切除,同时对操作医师要求较高,完整切除病灶的同时谨防穿孔,术后也要求密切关注患者病情变化。
所有作者声明不存在利益冲突





















