
版权归中华医学会所有。
未经授权,不得转载、摘编本刊文章,不得使用本刊的版式设计。
除非特别声明,本刊刊出的所有文章不代表中华医学会和本刊编委会的观点。
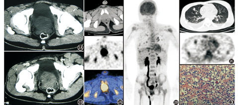
患者男,20岁,2个月前无明显诱因出现腰背疼痛,且进行性加重,出现下肢僵直感。体格检查示精神疲软、贫血貌、消瘦,无发热、黄疸,浅表淋巴结未触及,相关实验室检查提示贫血,对症处理症状未见明显改善。进一步检查发现铁蛋白749(正常参考值80~130) μg/L,其他血清肿瘤标志物(包括总PSA和游离PSA)均正常。骨髓象提示骨髓转移性肿瘤。CT示两肺及胸膜转移性病灶,前列腺增大(图1)。骨扫描示胸骨、前肋骨代谢略活跃。临床以"转移性肺、骨、胸膜肿瘤"申请行PET/CT检查,以探查原发灶。18F-FDG PET/CT(美国GE公司Discovery16型)显像(图2)示前列腺体积明显增大,放射性摄取呈弥漫性异常增高,SUVmax 7.01;右侧肾盂输尿管全程扩张;全身多处骨骼(以锁骨、胸骨、脊柱、骨盆及双上下肢近端骨为著)FDG代谢活跃,SUVmax 5.59,相应部位CT未见明显骨质破坏;两肺散在斑片样、结节样高摄取灶,SUVmax 3.83;双肺门区可见多发高代谢肿大淋巴结影,最大直径约15 mm,SUVmax 6.64;两侧胸腔可见液性密度影,伴结节样、条带样放射性浓聚影,SUVmax 6.31。PET/CT检查结果提示前列腺癌伴全身广泛转移。前列腺穿刺活组织病理检查(图3)提示为前列腺腺泡状横纹肌肉瘤。免疫组织化学检查示:平滑肌肌动蛋白(部分+),结蛋白(+),肌源性决定因子1(+),酸性钙结合蛋白S-100(-),CD99(-),上皮膜抗原(-),人黑色素瘤相关抗原(-)。


横纹肌肉瘤是软组织中较常见的恶性肿瘤,也是儿科最为常见的软组织恶性肿瘤[1]。横纹肌肉瘤来源于横纹肌组织或向横纹肌分化的原始间叶细胞,可发生在身体的各个部位,其中泌尿生殖系统约占29%,多见于膀胱、前列腺、睾丸、阴道等[2,3]。病理学上分为胚胎性横纹肌肉瘤(约占所有横纹肌肉瘤的80%,多发于婴幼儿)、腺泡状横纹肌肉瘤(多发于青壮年)和多形性横纹肌肉瘤3种。
前列腺横纹肌肉瘤极为罕见,约占前列腺恶性肿瘤的0.1%,但恶性程度较高,生长迅速,呈浸润生长,易发生淋巴结或血行转移,侵犯周围组织器官;大部分患者就诊时已达临床Ⅲ、Ⅳ期,有转移的患者无进展生存率只有15%[2,4,5]。本例患者年龄为20岁,处于好发年龄段,发现时已有双肺和全身多发骨转移,双侧肺门淋巴结转移,属临床Ⅳ期。
横纹肌肉瘤的治疗主要依赖于最初分期[6],诊断和分期的方法包括临床及实验室检查、超声、胸部X线片、CT、MRI、骨显像和骨髓穿刺等[2,7,8]。CT及MRI是诊断本病的主要手段。CT平扫可见前列腺体积明显增大,平均前后径在5 cm以上,肿瘤常呈不均质性等低密度,当中心因坏死液化时呈不规则形或类圆形更低密度影;由于前列腺横纹肌肉瘤血供丰富,肿瘤实质部分早期即明显强化,故CT增强扫描呈不规则结节状或环状,肿瘤内坏死液化区不强化;肿瘤较大时,可向四周生长侵犯,累及膀胱后壁及两侧精囊腺。MRI检查可见前列腺明显增大,以中央叶增大为主,T1加权成像(weighted imaging,WI)呈不均质性低信号,T2WI呈中心高信号、外周稍高信号的混杂信号影;病灶中心显示的长T1、长T2信号改变与CT图像上的肿瘤坏死液化相对应;矢状位和冠状位MRI对分叶状前列腺横纹肌肉瘤显示更佳。MRI检查能够从不同角度及剖面更好地显示肿瘤的大小、形态、内部结构和信号特点,以及对邻近结构的侵犯情况,可为外科手术提供有用信息[8,9,10]。
本病需与前列腺癌相鉴别:(1)本病发病年龄较轻,病程进展快,尿潴留出现早,前列腺肿大且质较软,PSA正常,肿瘤主要累及中央叶;而前列腺癌好发于老年人,病程较长,早期可无症状,晚期出现与前列腺增生类似的下尿道症状,同时血清酸性磷酸酶及PSA常升高,肛门检查可触及大小不一、坚硬且界限不清的结节,肿瘤主要生长在周围带。(2)前列腺癌在CT上表现为不规则增大或局限性外突,癌灶常为等或稍低密度;在MRI T2WI上表现为在前列腺高信号而周围带低信号的结节状充盈缺损影,此为前列腺癌的特征性改变;CT及MRI动态增强可显示肿瘤密度(或信号强度)随时间变化的规律,反映前列腺癌的血供特点,易于检出癌结节。(3)前列腺癌骨转移多为成骨性骨转移,而本病骨转移主要为骨髓转移。(4)18F-FDG PET/CT显像本病呈明显弥漫性高摄取,而前列腺癌往往呈假阴性。
PET已被广泛用于横纹肌肉瘤的探查、分期。Völker等[11]对46例经组织学证实的肉瘤(包括12例横纹肌肉瘤)患儿进行的前瞻性多中心18F-FDG PET显像研究结果显示,PET探查原发肿瘤的准确性为100%,探查淋巴结累及和骨转移的灵敏度分别为95%和90%,而常规影像的相应值仅为25%和57%;但CT对肺转移的诊断灵敏度为100%,高于PET的25%。Federico等[12]报告,18F-FDG PET/CT探查横纹肌肉瘤患儿治疗前淋巴结的灵敏度、特异性和准确性分别为94%、100%和95%,而常规显像的准确性仅为49%。Ricard等[6]分析了13例儿童和青少年横纹肌肉瘤的18F-FDG PET/CT显像结果,并与CT、MRI及骨显像等常规影像技术进行比较,结果显示PET/CT确诊了1例被常规影像误诊的前列腺横纹肌肉瘤,更正了4例淋巴结分期和2例骨转移,改变了2例患儿的治疗方案。PET/CT在淋巴结、骨、骨髓和软组织转移的诊断上优于常规影像[6,12]。此外,通过注射利尿剂促进排尿,再憋尿后行盆腔局部延迟显像,可帮助排除膀胱内尿液放射性对包括前列腺恶性病灶在内的盆腔病灶的干扰[13]。
本例患者因腰背疼痛就诊,常规影像学检查先发现肺、胸膜和骨转移灶,18F-FDG PET/CT不仅找到了原发灶,还发现了更多的骨转移灶和肺门淋巴结转移,为横纹肌肉瘤患者的最初分期和治疗后的再分期提供了有价值的信息。
本文直接使用的缩略语:FDG(fluorodeoxyglucose),脱氧葡萄糖;MIP(maximum intensity projection),最大密度投影;PSA(prostate specific antigen),前列腺特异性抗原;SUVmax(maximum standardized uptake value),最大标准摄取值





















