
版权归中华医学会所有。
未经授权,不得转载、摘编本刊文章,不得使用本刊的版式设计。
除非特别声明,本刊刊出的所有文章不代表中华医学会和本刊编委会的观点。
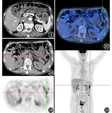
患者男,75岁,因"反复腹痛腹泻1年余"入院就诊。患者入院前1年余无明显诱因出现反复腹泻、腹痛,腹泻4~5次/d,黄色水样便;腹痛多位于脐周,持续性隐痛伴阵发性加剧,与体位及进食无关,便后缓解。2015年2月5日外院结肠镜检查示:进镜60 cm处见一处肠段黏膜水肿明显,管腔狭窄,上覆溃疡,质软,触之易出血,余见多处直径0.5~0.8 cm溃疡面。诊断为结肠多发溃疡(性质待定,炎性肠病待排除)。病理活组织检查(简称活检)提示:炎性肠病。期间患者结核感染T细胞斑点试验(T-SPOT,+),肠镜活检组织分子病理:结核测序(-),抗酸染色(-),网织红细胞染色(-),过碘酸希夫(periodic acid-Schiff, PAS)染色(-)。临床考虑诊断结肠溃疡性病变(肠结核可能,克罗恩病待排除)。先后予抗炎及抗结核治疗,腹痛腹泻症状无明显缓解。于2015年4月23日外院复查结肠镜示:肠腔狭窄,狭窄处黏膜呈溃疡结节性改变;诊断为:结肠多发溃疡性病变伴狭窄(性质待定,克罗恩病?淋巴瘤?肠癌?)。病理活检:进镜30 cm处黏膜萎缩,部分腺体轻度不典型增生,中度炎性反应,深至肌层,并见节细胞及炎性肉芽组织;进镜60 cm处坏死及炎性肉芽组织;倾向炎性肠病(克罗恩病?)。予美沙拉嗪及糖皮质激素治疗,异烟肼抗结核,辅以对症支持治疗,但患者腹痛腹泻症状仍未见明显好转。后入本院就诊,实验室检查:甲胎蛋白(alphafetoprotein, AFP) 6.02(括号内为正常参考值范围,下同;0~7.00) μg/L,癌胚抗原(carcinoembryonic antigen, CEA) 0.95(0~4.80) μg/L,糖类抗原(carbohydrate antigen, CA)19-9 9.7(0~33.0) kU/L,CA125 28.81(0~35.00) kU/L。2015年8月13日于本院行腹部增强CT(图1)示:经饮水及直肠灌水后,升结肠、横结肠肝曲、降结肠、乙状结肠及直肠肠壁增厚伴黏膜异常强化,呈节段跳跃状分布;肠系膜根部多发淋巴结。诊断:考虑炎性肠病,请结合内镜。


为明确病变性质,2015年9月1日于本科行18F-脱氧葡萄糖(fluorodeoxyglucose, FDG) PET/CT(德国Siemens Biograph 64排)显像,患者按体质量注射18F-FDG(上海原子科兴药业有限公司提供) 3.7 MBq/kg。PET/CT显像(图2)示:升结肠、降结肠、乙状结肠、直肠上段见局部肠壁增厚,FDG代谢轻度增高,最大标准摄取值(maximumstandardizeduptakevalue, SUVmax) 3.2~6.4;病灶周围局部脂肪间隙模糊,FDG代谢未见明显异常。诊断:直肠上段、结肠多节段肠壁增厚伴FDG代谢轻度增高,炎性肠病可能性大,请结合肠镜病理。
2015年9月16日于本院行腹腔镜下左半结肠切除术,术中见结肠脾区直径4 cm大小溃疡,绕肠1周,致肠腔堵塞,肠壁僵硬,探查其余结肠见肠壁水肿增厚,未及明显占位性病变;剖开标本,见多发溃疡灶。术后病理:"左半结肠"肠病相关性T细胞淋巴瘤(enteropathy-associated T-cell lymphoma, EATL),侵至肌层。免疫组织化学检查:"左半结肠"肿瘤细胞角蛋白(cytokeratin, CK; -)、CD20(-)、CD79a(-)、CD3(+)、CD5(+)、CD21 (-)、细胞周期蛋白D1(cyclin D1; -)、κ(-)、λ(-)、细胞增殖核抗原Ki-67(90%+)、CD23(-)、B淋巴细胞瘤-2基因(B-cell lymphoma-2,Bcl-2;+/-)、Bcl-6 (-)、CD10(-)、嗜铬粒蛋白A(-)、突触素(-)、CD4(-)、CD8(+)、CD56(-)、CD30(-)、T细胞内抗原-1(+)、粒酶B(-)、穿孔素(perforin;-)。结合HE切片,符合EATL。
肠道T细胞淋巴瘤(intestinal T-cell lymphoma,ITCL)是一类源于肠上皮内T淋巴细胞的恶性肿瘤,病情凶险,预后较差。2008版WHO造血和淋巴组织肿瘤分类[1]将其归于成熟自然杀伤(natural killer, NK)/T细胞淋巴瘤,并命名为EATL。EATL发病率低,在非霍奇金淋巴瘤中占比不足1%[2]。据报道[3],欧美人群中,该病好发于小肠;中国人群则多好发于结肠。本病临床表现复杂,以非特异性症状为主,常有便血、腹泻、腹痛、腹胀等表现,可伴发热、贫血、体质量下降等全身症状,不伴全身淋巴结肿大和骨髓受累;部分患者发病急,常因消化道穿孔、出血及梗阻等急腹症就诊,少数患者可出现红斑、皮疹、杵状指等,常被误诊为炎性疾病[4]。EATL内镜表现多为多形性、多灶性、弥漫性和不规则性溃疡,亦可表现为表面光滑的肿块,与炎性肠病较难鉴别[5]。EATL影像学表现多样且无明显特异性,在消化道造影检查或MRI、CT检查中均可见多发性、节段性炎性病变伴僵硬、狭窄、溃疡、龛影、肠系膜增厚、息肉样改变、肠黏膜皱襞增厚等[5]。病理学检查及免疫组织化学检查是确诊EATL的主要依据。
本病需与以下疾病鉴别:(1)炎性肠病。炎性肠病临床表现及影像学表现与EATL相似,但病程中急性肠穿孔或消化道大出血等急腹症的发生率明显低于EATL。激素治疗通常可获得临床应答[6]。溃疡性结肠炎黏膜组织学检查可见固有膜全层弥漫性炎性病变、隐窝脓肿、杯状细胞减少等;克罗恩病黏膜组织学检查可见非干酪性肉芽肿、裂隙状溃疡、固有膜慢性炎细胞浸润、黏膜下层淋巴细胞聚集等。当病理学难以鉴别时,可结合免疫组织化学检查确诊。(2)肠结核。肠结核多继发于肺结核,患者常有肠外结核病史。病变主要累及回盲部,内镜下可见病变肠黏膜充血、水肿、溃疡、炎性息肉、肠腔狭窄等改变。结核菌素试验阳性等有助于鉴别,鉴别困难者可行诊断性抗结核治疗。病变肠段或肠系膜淋巴结病理组织学检查发现干酪坏死性肉芽肿,可确诊。
本例在影像学方面与炎性肠病较难鉴别。PET/CT图像表现为结直肠多处肠壁增厚,FDG代谢轻度增高,SUVmax为3.2~6.4。其中CT表现并不具有特异性,炎性肠病中亦有肠壁增厚、黏膜强化等CT表现。PET代谢特点方面,Groshar等[7]报道,活动期克罗恩病可见病变肠壁FDG代谢增高,病变肠道SUVmax为5.0±2.5,且代谢高低与炎性病变程度及活动程度相关;而溃疡性结肠炎亦有相似报道[8]。本例病灶SUVmax与上述文献报道的炎性肠病FDG代谢程度相似,CT表现亦无特异性,是误诊为炎性肠病的主要原因。Ciarallo等[9]也曾有类似报道。尽管PET/CT较难鉴别炎性肠病及EATL,但其在明确肠道病变范围方面具有明显优势[9]。
本误诊病例提示,影像医师应提高对EATL的认识;当类似影像学表现的患者经糖皮质激素及5-氨基水杨酸治疗后效果不佳时,需注意EATL的可能性,紧密结合患者病史进行综合考虑。
无





















