
版权归中华医学会所有。
未经授权,不得转载、摘编本刊文章,不得使用本刊的版式设计。
除非特别声明,本刊刊出的所有文章不代表中华医学会和本刊编委会的观点。
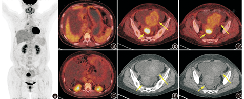
患者女,54岁,主诉腹胀1个月。1个月前患者无明显诱因出现腹胀,伴食量减少,后腹胀逐渐明显,腹围增加。外院腹部B超提示腹盆腔大量积液,盆腔内实性肿物,大小为7.0 cm×6.7 cm,子宫多发肌瘤;腹部增强CT提示左附件区混杂密度影,呈分叶状,增强后不均匀明显强化,考虑卵巢来源可能性大。血清糖类抗原(carbohydrate antigen, CA)125为260.57(正常范围0~35) kU/L,癌胚抗原(carcinoembryonic antigen, CEA)、CA19-9正常。18F-脱氧葡萄糖(fluorodeoxyglucose, FDG) PET/CT显像(图1)可见盆腔内左附件区肿物,呈分叶状,密度不均匀,大部分为软组织密度影,大小为7.4 cm×9.8 cm,中央密度略高,病变代谢活性轻度升高(高于肌肉,略低于肝脏),最大标准摄取值(maximum standardized uptake value, SUVmax)3.7,代谢不均匀,病灶中央密度略增高区为代谢减低区;子宫后壁另见一代谢异常增高的肿物,位于宫体后缘,密度与子宫体相同,大小为3.3 cm×2.4 cm,SUVmax 12.8;此外腹盆腔可见大量积液。在胸部可见双肺胸膜下区多发代谢轻度增高的斑片影。


该例病变较为简单,为单侧附件区占位、子宫体后壁占位、腹盆腔大量积液;双肺内代谢轻度增高斑片影为慢性炎性反应表现,与腹盆腔病变关联不大。考虑到患者为中老年女性,附件肿物和子宫后壁占位、腹盆腔大量积液、血清CA125明显升高这几点支持卵巢原发恶性肿瘤的诊断。但仔细琢磨又有奇怪之处:(1)卵巢癌可有大量腹腔积液,但多见于有种植转移灶的患者(腹膜系统受累),本例除子宫后壁高代谢占位之外,腹盆部并未见明确的种植转移灶。那么子宫后壁高代谢占位有没有可能是转移灶?从位置上看有这种可能性,若子宫后壁的病变是定位在子宫外并与子宫后壁粘连,则子宫后壁的病变也可能是子宫直肠窝的种植转移灶,这里是种植转移的好发部位之一(子宫直肠窝正好处于腹膜反折处,又是重力依赖部位),但子宫后壁占位代谢程度远高于左附件区的病灶,又提示二者不是同一性质的病变。根据子宫后壁病灶的边缘与正常子宫体间是否有夹角(呈锐角或钝角)、两者密度是否有差异等征象可判断病灶在子宫内还是子宫外。本例病灶位于正常子宫体的轮廓内,判断其为子宫内病变的可能性更大,若结合妇科超声、诊断CT、MR可更明确地判断。(2)卵巢恶性肿瘤诸多病理类型中最常见的是上皮来源的卵巢癌,其中又以浆液性和黏液性囊腺癌为主,还有透明细胞癌和子宫内膜样癌等。这些肿瘤的主要影像学特点是囊实性病变(常以囊性成分为主),代谢通常明显增高(若为交界性囊腺瘤代谢可仅轻度增高或不高)。但本例的影像学特点与此并不一致,首先病灶的代谢活性远低于典型的卵巢浆液性和黏液性囊腺癌,若为交界性囊腺瘤,又难以解释为何有大量的腹盆腔积液(通常代表有腹膜转移);另外病灶密度与FDG代谢分布上都比较均质(中央有片状稍高密度影,代谢呈减低区,可能为出血),提示其为实性病变而非囊实性病变。
既然不符合卵巢癌的特点,那就从附件区轻中度代谢活性的实性占位方向考虑。首先需鉴别来源于卵巢的病变。卵巢的实性占位和囊性占位提示不同的病变类型。一般囊实性病变以上皮来源肿瘤为主要考虑方向,另外还包括生殖细胞来源的成熟畸胎瘤;实性为主病变则需考虑上皮来源中的Brenner瘤,生殖细胞来源的无性细胞瘤和卵黄囊瘤,性索-间质来源肿瘤中的卵泡膜纤维瘤、颗粒细胞瘤等;此外卵巢转移瘤(Krukenberg瘤)也可以表现为实性成分为主的病变。其次,附件区占位也可起源于卵巢外组织,如肌瘤(子宫的浆膜下肌瘤、阔韧带肌瘤)、各种肉瘤。
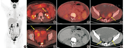
卵巢无性细胞瘤、卵黄囊瘤等生殖细胞来源恶性肿瘤好发年龄为青少年,一般<20岁,与本例流行病学不符。卵巢性索-间质来源肿瘤可为良性或恶性,即便为恶性通常也为低级别,与本例的代谢特点较符合,而卵巢颗粒细胞瘤由于可分泌雌激素或孕激素,常常以相应的内分泌症状起病,包括子宫内膜增生、阴道出血等,本例患者无雌激素相关症状,不支持,因此若考虑性索-间质肿瘤则更有可能为卵泡膜纤维瘤。卵巢转移瘤多发生于胃肠道肿瘤等易发生腹腔种植转移的肿瘤,值得注意的是,当胃肠道肿瘤为代谢活性不高的类型(如胃印戒细胞癌)时,其卵巢的转移灶也可代谢不高或仅轻度升高(图2,图3),同时腹膜、网膜的种植转移灶也可能为假阴性。本例附件区病变代谢不高,伴大量腹盆腔积液,患者为老年女性,因此恶性病变中需高度警惕卵巢转移瘤,在查看图像时需特别关注胃肠道,需判断检查时胃充盈程度如何、胃壁代谢是否均匀、胃壁是否有局部增厚、胃壁有无可疑的僵硬等表现,另外还需仔细观察腹膜、大网膜是否有结节、絮状影、局部增厚等隐匿性种植转移的表现。本例胃肠道未见异常,也未发现隐匿性的种植病灶,临床上血清CA125高而CEA正常,暂无支持性证据,若有胃镜检查结果则可更有把握地排除这一诊断。肉瘤的代谢程度变异较大,取决于具体的病理类型,脂肪肉瘤等恶性程度较低的肉瘤可以仅有轻中度代谢增高,而像横纹肌肉瘤等恶性程度较高的肉瘤代谢常明显增高,本例附件区占位代谢轻中度增高,若考虑肉瘤则可能为低级别的类型。


从左附件区占位的表现来看,卵巢Brenner瘤、卵泡膜纤维瘤、子宫的浆膜下肌瘤或阔韧带肌瘤、低级别肉瘤均可为孤立性的附件区实性肿物,代谢轻度增高或不高。附件区病灶局限,未见明确的周围侵袭或转移,如何解释大量的腹盆腔积液?对于卵巢占位+腹盆腔大量积液,有经验的医师可能会考虑到Meigs综合征。Meigs综合征是指合并胸、腹腔积液的卵巢良性肿瘤,在切除卵巢肿瘤后积液可自行缓解吸收,常见于卵巢Brenner瘤、卵巢纤维瘤和卵泡膜纤维瘤,多见于绝经后女性,其具体发病机制尚不清楚,常伴CA125升高。上述表现与本例的特点相符。子宫后壁代谢增高的占位是否与之相关?实际上子宫后壁的占位与超声提示的子宫肌瘤部位一致。子宫肌瘤多没有明显的代谢活性,有时仅能在CT上看到形态学的改变,如外突、伴钙化灶等,但良性子宫肌瘤的FDG代谢也可以表现为不同程度的代谢增高,标准摄取值(standardized uptake value, SUV)可达10以上[1,2,3,4],目前尚不明确良性子宫肌瘤的代谢增高是否与肌瘤变性等因素相关。另外,子宫肌瘤若发生恶变成为肉瘤,代谢活性同样可以明显升高,这为鉴别子宫肌瘤和肉瘤带来困难。
本例患者最终行子宫双附件切除术,病理为左卵巢卵泡膜纤维瘤,子宫多发平滑肌瘤。看似简单的病例中间可能有不简单的道理,需大胆推测,小心论证。
无





















