
版权归中华医学会所有。
未经授权,不得转载、摘编本刊文章,不得使用本刊的版式设计。
除非特别声明,本刊刊出的所有文章不代表中华医学会和本刊编委会的观点。
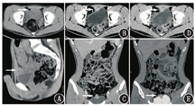
患者男,27岁,3个月前因肉眼血尿在当地医院行膀胱镜检查,于膀胱底部见2.0 cm×2.5 cm乳头状肿物,质脆,触之易出血。随后行经尿道膀胱肿瘤电切术,术后病理示膀胱浸润性腺癌,浸润至固有膜,提示临床关注病灶是原发还是转移性,有否腺癌病史,特别是大肠癌、前列腺癌病史。术后患者继续出现肉眼血尿,入住本院进一步诊治。体格检查无特殊,肿瘤标志物[癌胚抗原(carcinoembryonic antigen, CEA)、甲胎蛋白(alphafetoprotein, AFP)、铁蛋白(ferritin, FERR)、糖类抗原(carbohydrate antigen, CA)125、CA15-3、CA19-9、总前列腺特异抗原(total prostate specific antigen, tPSA)、游离前列腺特异抗原(free prostate specific antigen, fPSA)、fPSA/tPSA、鳞状细胞癌(简称鳞癌)抗原(squamous cell carcinoma antigen, SCCA)、细胞角蛋白19片段(cytokeratin 19 fragment, CYFRA21-1)、CA72-4、神经元特异性烯醇化酶(neuron-specific enolase, NSE)]、肝肾功能电解质全套及大便常规均未见异常。原病理切片会诊意见为:膀胱中等分化腺癌,结合免疫组织化学检查结果,考虑肠道来源可能性大。本院CT泌尿系统成像检查(图1)示膀胱顶前壁实性肿块,突向膀胱外生长,周围组织间隙较清晰,大小为1.2 cm×2.4 cm×3.1 cm,呈明显不均匀强化。为进一步明确病变性质、查找膀胱外可疑原发灶及其他部位转移灶,行18F-脱氧葡萄糖(fluorodeoxyglucose,FDG)PET/CT(德国Siemens mCT-s64型)全身显像。检查前患者禁食6 h、测血糖(5.6 mmol/L),静脉注射18F-FDG 229.4 MBq(患者体质量58 kg),平静休息1 h后显像。嘱患者口服呋塞米20 mg、多饮水、多排尿,以促排膀胱尿液放射性,2 h后行腹盆腔延迟显像(检查前饮水憋尿),影像表现(图2):膀胱顶前壁软组织肿块,18F-FDG摄取异常增高,早期及延迟最大标准摄取值(maximum standardized uptake value, SUVmax)分别为24.8、26.7;双侧盆壁未见明显肿大淋巴结;肠管及全身其他部位未见明显异常18F-FDG高代谢灶。PET/CT显像提示膀胱恶性肿瘤性病变,未见淋巴结及远处转移。随后的肠镜检查未发现明显异常。最终行腹腔镜下膀胱扩大切除术及双侧盆腔淋巴结清扫术,术后病理检查示:膀胱中等分化脐尿管腺癌,肿瘤从膀胱浆膜层浸润至固有层并伴坏死及多核巨细胞反应;双侧盆腔共17枚淋巴结未见癌转移;脐周皮肤未见癌浸润。




脐尿管是胚胎时期尿囊管退化形成的一条连接脐与膀胱的纤维条索,走行在腹横筋膜和腹膜之间的Retzius间隙内,出生前因萎缩、闭锁、纤维化而形成脐中韧带。脐尿管癌是一种较少见的侵袭程度强的恶性肿瘤,占膀胱恶性肿瘤的比例不足1%,中老年男性患者的发病率是女性的2倍[1,2]。脐尿管癌病灶多位于脐尿管中下段与膀胱顶部或前壁交界处,病理类型大多为腺癌(黏液腺癌居多),其余为尿路上皮癌、鳞癌、神经内分泌癌、肉瘤样癌等少见类型肿瘤。
脐尿管癌早期缺乏特异性临床表现,当肿块增大超越耻骨联合或浸润膀胱黏膜时,可出现下腹部疼痛、包块、血尿、膀胱刺激征等症状[2,3]。早期转移多见于盆腔淋巴结,晚期可发生膀胱、肠管、肺、肝、脑及骨转移,偶可伴发腹膜转移[4]。因脐尿管癌早期不易被发现,被诊断时往往分期较晚,导致其预后差,5年生存率约49%,术后2年易发生局部复发,90%发生远处转移的患者在1年内死亡[5]。
临床对脐尿管癌的评价方法包括详细的病史问诊、体格检查、尿液及尿细胞分析、膀胱镜检及影像学检查(B超、CT或MRI)。肿瘤标志物(如CEA、CA125、CA19-9与CA72-4)在脐尿管癌中可出现升高,其水平下降可以反映系统治疗肿瘤的效果[6,7]。脐尿管癌目前尚无统一的诊断和分期标准,WHO推荐采用的诊断标准为:病变局限于膀胱顶前壁;肿瘤位于膀胱壁的中线部位;膀胱顶前壁无广泛性腺性及囊性膀胱炎改变;其他部位无原发灶[8]。分期为:Ⅰ期肿瘤局限于脐尿管黏膜内;Ⅱ期肿瘤浸润突破黏膜层,但仍限于脐尿管;Ⅲ期肿瘤发生局部扩散,向周围侵犯至膀胱(ⅢA期)、腹壁(ⅢB期)、腹膜(ⅢC期)或其他内脏器官(ⅢD期);Ⅳ期肿瘤出现转移,包括区域淋巴结(ⅣA期)或远处器官(ⅣB期)[9]。
脐尿管癌的18F-FDG PET/CT影像学特点:病灶多位于残余脐尿管中下段与膀胱顶部或前壁交界处,与膀胱关系密切,起源于膀胱壁外,由外向内浸润,多以向腔外生长为主;多为单发囊实性肿块,边缘或中心可伴钙化灶,肿瘤囊壁及实性部分多呈轻中度强化;进展期病灶边界多不光整,可侵及膀胱黏膜、邻近腹肌和腹膜等结构,可伴发盆腔淋巴结或远处转移;PET/CT显像病灶实性部分多呈异常FDG高摄取[5,10,11,12]。
尽管脐尿管癌有18F-FDG高摄取特点,但18F-FDG显像对膀胱病灶的显示有一定局限性:18F-FDG从泌尿系统排泄,导致膀胱中的尿液具有较高的放射性,会掩盖膀胱壁病灶的显示;常规显像在排尿后进行,膀胱处于排空状态,膀胱壁较厚,不利于对病变的显示。有研究指出,利尿联合水化后的18F-FDG PET/CT延迟显像不仅能够提高对膀胱病灶的诊断灵敏度和准确性,更有利于对病变进行性质判断[13,14]。一般2~3 h后行延迟显像,显像前嘱患者饮水憋尿,使膀胱处于充盈状态;对于大量饮水有困难的患者,可适当延后其延迟显像时间。
脐尿管癌主要应与以下疾病鉴别:(1)膀胱癌:好发于膀胱三角区及侧后壁,多宽基底与膀胱壁相连,突入腔内生长;多为实性肿块,增强扫描明显强化,早期及延迟PET/CT显像多呈FDG异常高摄取;(2)转移性腺癌:多来源于肠癌、前列腺癌,患者一般有恶性肿瘤史,18F-FDG PET/CT检查可较灵敏地发现其他部位恶性肿瘤;(3)感染性病变(如结核、脓肿):病灶周围脂肪间隙内多出现斑片、絮状及纤维条索影,并呈明显渗出性改变,且患者多具有一些相关临床症状[5,14,15]。另外,还应与残余脐尿管异常(如瘘、憩室)、脐尿管良性肿瘤(如腺瘤、囊腺瘤、纤维瘤)、膀胱嗜铬细胞瘤等进行鉴别。如为女性患者还应考虑子宫内膜异位症的可能。
所有作者均声明不存在利益冲突





















