
版权归中华医学会所有。
未经授权,不得转载、摘编本刊文章,不得使用本刊的版式设计。
除非特别声明,本刊刊出的所有文章不代表中华医学会和本刊编委会的观点。
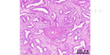
患者女,27岁,因"无明显诱因不规则阴道出血4个月"就诊,出血量少,色暗红,伴轻微下腹隐痛。超声提示宫腔内稍高回声,内膜息肉不排除;宫颈活组织检查病理提示宫颈高分化内膜样腺癌。实验室检查血常规、大小便常规、肝肾功能、凝血全套均正常,人附睾蛋白4(human epididymis protein 4, HE4)73(正常参考值范围:0~65) pmol/L,鳞状上皮细胞癌相关抗原、糖类抗原(carbohydrate antigen, CA)19-9、CA125、甲胎蛋白(alpha fetoprotein, AFP)、癌胚抗原(carcinoembryonic antigen, CEA)、神经元特异性烯醇化酶(neuron specific enolase, NSE)、绒毛膜促性腺激素(human chorionic gonadotropin, HCG)-β均正常。妇科检查发现宫颈"菜花"状肿瘤,短径约3 cm,宫体饱满。患者未婚未育,有性生活史,月经规律,无传染病史,否认手术史。MRI检查示宫颈内壁异常信号肿块,大小约29 mm×24 mm,T1加权成像(weighted imaging, WI)等信号,T2WI稍高信号,增强后呈均匀轻度强化;宫腔内见T2WI低信号结节,直径约16 mm,轻度强化。18F-脱氧葡萄糖(fluorodeoxyglucose, FDG)PET/CT(德国Siemens Biograph 16HR型)显像(图1)示宫颈稍低密度软组织肿块,FDG摄取明显增高,最大标准摄取值(maximum standardized uptake value, SUVmax)为8.1;宫腔低密度影,FDG代谢轻度增高,SUVmax为4.3。后行"子宫颈切除术+宫颈赘生物切除术",病理检查(图2)示宫颈、宫腔内膜腺体复杂性不典型增生,间质纤维组织增生,围绕腺体,考虑为非典型息肉样腺肌瘤(atypical polypoid adenomyoma, APA)。




APA是指具有不同程度非典型性腺体成分的腺肌瘤样息肉,较为罕见,常发生于育龄和绝经前妇女[1]。临床表现无特异性,一般表现为不规则阴道出血、经期紊乱、月经过多及不孕。APA病灶多呈息肉状,边界清,分叶状,属于良性肿瘤范畴,但有一定的恶性潜能,少数可发展为子宫内膜样腺癌[2]。APA诊断困难,病理检查是明确诊断的唯一方法。APA有明显的组织形态学特征,但免疫组织化学并无特异性和灵敏度。光学显微镜下可见间质组织中含有大量平滑肌纤维细胞,且腺体结构及细胞学形态存在不同程度的不典型改变,偶见核分裂象。90%的肿瘤有鳞状细胞化生,平滑肌细胞围绕在腺体周围,表现为良性形态,但结构紊乱,与癌组织对肌层的浸润相似[3]。
APA影像学表现缺乏特异性。MRI上表现为T1WI序列等信号的息肉样结节,偶尔伴有低信号的囊性灶;T2WI序列表现为稍高信号中混杂明显高信号,其中明显高信号的区域对应化生的子宫内膜,增强后病灶不均质强化[4,5]。弥散WI(diffusion WI, DWI)表现为高信号,表观弥散系数明显增高[6]。APA需与子宫内膜息肉、高分化子宫内膜样腺癌进行鉴别:(1)子宫内膜息肉:40~50岁常见,T2WI可见低信号纤维核,高信号光滑囊变区,增强后子宫内膜息肉呈条索强化影;(2)高分化子宫内膜样腺癌:80%的患者发病于绝经后,T1WI序列表现为等信号或稍低信号,T2WI为等信号或稍高信号,DWI为明显高信号。
PET/CT显像在APA中的应用国内外报道少见[7,8]。本病例中,PET/CT显像发现病灶FDG摄取明显增高,与国外报道相同;但本例病灶主要集中在宫颈。虽然部分子宫良性肿瘤可以摄取18F-FDG(如APA[2,7]、子宫肌瘤[8,9,10]等),但发生在宫颈的18F-FDG假阳性病例鲜有报道。根据本病例可知,对于宫颈18F-FDG高代谢的肿瘤性病灶,除考虑宫颈恶性病变外,还应考虑APA的可能性。值得注意的是,除了宫颈明显的APA病灶外,本病例子宫内膜也存在APA病灶,其在PET/CT显像上表现为子宫内膜轻度增厚,片状FDG摄取增高,SUVmax为4.3,鉴于患者为青年女性,需要与子宫内膜的生理性摄取相鉴别。目前APA摄取18F-FDG的机制并不清楚,Maeda等[7]发现APA中内膜腺体上皮细胞增殖活跃,18F-FDG摄取明显增高。APA是否同恶性肿瘤一样具有18F-FDG摄取程度与细胞增殖能力有关的特性,仍需要进一步研究。
所有作者均声明不存在利益冲突





















