
通过影像学诊断和肽受体放射性核素治疗,核医学在胃肠胰腺神经内分泌肿瘤(GEP NETs)中扮演了重要角色。GEP NETs常被偶然诊断或在出现症状或激素综合征的基础上得以诊断。由于放射性核素显像具有功能显像的特征,可更准确地对GEP NETs进行分期及治疗选择。肿瘤分级有助于显像剂的选择。111In-喷曲肽已成功用于分化好的(G1和G2)肿瘤;然而新型生长抑素类似物[如68Ga-1,4,7,10-四氮杂环十二烷-1,4,7,10-四乙酸-酪氨酸3-奥曲肽(DOTATOC), 68Ga-1,4,7,10-四氮杂环十二烷-1,4,7,10-四乙酸-D-苯丙氨酸1-酪氨酸3-苏氨酸8-奥曲肽(DOTATATE),68Ga-1,4,7,10-四氮杂环十二烷-1,4,7,10-四乙酸-1-萘丙氨酸3-奥曲肽(DOTANOC)和64Cu-DOTATATE] PET/CT显像的灵敏度更高。18F-L-6-氟-3,4-二羟基苯丙氨酸(18F-FDOPA)作为另一种放射性药物,其灵敏度受肿瘤摄取、脱羧和贮存的胺前体的影响。18F-FDOPA对回肠NETs的灵敏度最高,也有助于对胰岛素瘤的显像。18F-脱氧葡萄糖(FDG)的高摄取与生长抑素类似物的低摄取通常提示低分化肿瘤(G3)。依据这些原则,该文讨论原发性和转移性GEP NETs诊疗方法的进展。
版权归中华医学会所有。
未经授权,不得转载、摘编本刊文章,不得使用本刊的版式设计。
除非特别声明,本刊刊出的所有文章不代表中华医学会和本刊编委会的观点。
胃肠胰腺神经内分泌肿瘤(gastroenteropancreatic neuroendocrine tumors, GEP NETs)是异质的上皮性肿瘤,约占所有NETs的60%。由于诊断技术灵敏度的提高,NETs的年龄校正的发病率从1973年的1.09/10万增加到2004年的5.25/10万[1,2]。
1.GEP NETs介绍。胃NETs有3种类型:1型最常见,病灶常小于1 cm,多发、良性,并伴有萎缩性胃炎;2型少见,与Zollinger-Ellison综合征相关;3型也很少见,病灶通常是孤立的,具有潜在的恶性发展倾向。确定肿瘤亚型对选择最佳治疗策略至关重要[3]。
十二指肠NETs通常是一种局限于黏膜下层或黏膜的小病灶,最常出现在十二指肠的第一或第二部分,可能是散在的,也可能与多发性内分泌腺瘤1型有关[3]。
胰腺NETs可分为无功能或功能性的,多数为无功能性的,往往在晚期才被诊断出,其症状与肿瘤体积和转移有关。功能性的胰腺NETs根据细胞来源(如胰岛素、胃泌素、胰高血糖素和血管活性肠肽)可引起与激素分泌过多相关的临床症状。一些胰腺NETs的发生具有一定的遗传背景[4]。
小肠(回肠/空肠)NETs常分泌5-羟色胺,约30%为多灶性,并表现为息肉样病变或多血管壁增厚。当5-羟色胺分泌导致类癌综合征时,小肠NETs往往是功能性的,典型的症状有潮红和腹泻,通常与肝转移有关。右心的类癌病变是一种严重影响生存的并发症,与纤维化和三尖瓣关闭不全有关[5]。
结肠和直肠NETs多为无功能性的,常在结肠镜检查中确诊。结肠NETs在诊断时通常较大,并转移到肝脏、淋巴结、肠系膜或腹膜。腹痛、消化道出血和体质量减轻是其最常见的症状。直肠NETs通常比较小,息肉样病变,很少转移[6]。阑尾NETs常在阑尾炎手术中偶然发现,大多数是Ⅰ期。
2.肿瘤分级与疾病分期。根据2010年WHO分类[7],GEP NETs的分级如下:G1级肿瘤通常进展缓慢(细胞增殖核抗原Ki-67≤2%,核分裂数<2);G2级肿瘤更具有异质性、良好分化性及侵袭性(2%<Ki-67≤20%,核分裂数为2~20);G3级肿瘤是以侵袭行为及生存率差为特征的低分化癌(Ki-67>20%或核分裂数>20)。少数高分化肿瘤的Ki-67>20%(G3级),比典型G3级神经内分泌癌的结局更好[8]。
GEP NETs的分期依据欧洲神经内分泌肿瘤协会(European Neuroendocrine Tumor Society)和美国癌症联合委员会(American Joint Committee on Cancer)/国际抗癌联盟(Union for International Cancer Control)的标准,0~Ⅲa期为无转移性肿瘤,Ⅲb期包含淋巴结转移,Ⅳ期有远处转移[9,10]。
3.显像的作用。结合形态学和功能成像方式的多模态显像对准确分期和治疗至关重要。增强CT和MRI在确定原发肿瘤的位置、明确局部和远处转移方面可提供详细、准确的解剖信息,这些信息对于确定最佳的手术干预、治疗选择、确定病变的持续性或复发性都很重要(表1)。使用合适显像剂的PET/CT或SPECT/CT显像在GEP NETs患者管理中也十分重要。这些功能性成像可准确用于最初的分期和随访,并能发现隐匿性原发肿瘤,尽管十分具有挑战性,但其在优化治疗策略方面,尤其在伴有转移的患者中很有帮助。此外,功能成像可根据靶标特定的放射性显像剂摄取强度,无创地分析肿瘤的功能状态和异质性[11]。最后,在GEP NETs患者管理中,功能成像可提供更好的预后分层和治疗策略的改进,更好地开展个性化的诊疗(表2)。

当前用于GEP NETs的内镜和解剖成像技术
当前用于GEP NETs的内镜和解剖成像技术
| 特征 | 经腹超声 | 超声内镜 | 胶囊内镜 | CTa | MRIa |
|---|---|---|---|---|---|
| 应用 | 原发性胃肠道NETs探查(仅限于实体器官) | 胃、十二指肠和直肠原发NETs检查;诊断性活组织检查 | 食管、胃、十二指肠和小肠原发NETs检查 | 分期和随访(首选方式);原发部位的鉴别;局部范围的评估;转移的评估 | 肝转移瘤的检测与评价(首选方式) |
| 灵敏度 | 有限;较高的操作干扰导致的变异 | 高 | 适中 | 可以通过小肠造影和灌肠提高 | 在骨髓转移中较高;可以通过小肠造影和灌肠提高 |
| 放射性暴露 | 无 | 无 | 无 | 有 | 无 |
| 其他 | 被广泛使用 | 侵袭性 | 可分析整个肠道 | 使用广泛 | 使用螯合物,在过敏反应和肾毒性方面比CT碘制剂更安全 |
注:a多平面对比增强图像;GEP NETs为胃肠胰腺神经内分泌肿瘤,NET为神经内分泌肿瘤

当前用于GEP NETs的功能成像技术
当前用于GEP NETs的功能成像技术
| 特点 | 111In-喷曲肽SPECT/CT | 123I-MIBG SPECT/CT | 68Ga-SSA PET/CT | 18F-FDOPA PET/CT | 18F-FDG PET/CT |
|---|---|---|---|---|---|
| 应用 | 原发病分期;再分期;PRRT前患者的选择 | 131I-MIBG治疗前患者的选择 | 原发病分期;再分期;PRRT前患者的选择;原发灶不明 | 原发病分期;原发灶不明(基于怀疑原发灶位于回肠);再分期? | 预后分层;高级别的G2/G3级NETs |
| 空间分辨率 | 低(>10 mm) | 低(>10 mm) | 高(5 mm) | 高(5 mm) | 高(5 mm) |
| 程序时长 | 2 d | 2 d | 1 d | 1 d | 1 d |
| 放射性暴露 | 中等 | 弱 | 弱 | 弱 | 弱 |
| 其他 | 被批准用于NET成像 | 对GEP NETs的灵敏度很低 | 将很快取代传统的SSTR显像 | 非回肠病变的灵敏度比68Ga-SSA PET/CT低 | 应用广泛 |
注:FDG为脱氧葡萄糖,FDOPA为L-6-氟-3,4-二羟基苯丙氨酸,MIBG为间碘苄胍,PRRT为肽受体放射性核素治疗,SSA为生长抑素类似物,SSTR为生长抑素受体
1.原发肿瘤的检测。内窥镜检查是胃、十二指肠、结直肠和一些末端回肠NETs定位的首选方法[12]。对疑似有小肠肿瘤的患者,多维对比增强CT或MRI已代替小肠造影和钡剂造影。胶囊内镜能对整个小肠进行分析,但灵敏度适中,且无法行肿瘤活组织检查(简称活检),从而无法确定病理诊断。对疑似胰腺NETs的患者,多相CT或MRI是一线的影像选择。胰腺NETs通常表现为富血供,在延迟动脉期可以很好地观察到。当现有的成像方法不能检测到原发肿瘤时,超声内镜也有助于获得组织样本进行病理分析和肿瘤分级评估[12]。
2.肿瘤范围和转移扩散。增强CT通常是肿瘤分期的首选检查,同时其也能识别肠系膜、腹膜后或胃周淋巴结转移。类癌侵犯肠系膜的典型表现为原发性肿瘤附近的一个尖状肿块,与中央钙化有关。正如在NETs中通常观察到的,肝转移在增强CT或MRI多时相扫描时通常可观察到动脉期血供丰富,延迟相洗脱。MRI被认为是肝转移解剖成像的首选方法,NETs病变通常表现为T1加权序列高信号,T2加权序列低信号,弥散加权和表观弥散系数可提高MRI肝转移的检出率。
3.放射性核素显像。特定膜受体的过度表达及NETs细胞摄取胺前体的能力已经被用于放射性显像剂的研发。此外,糖酵解代谢不是高分化NETs特异性能量代谢途径,但在低分化NETs中可观察到,利用这个特征可进行显像。现在可以向患者提供包括临床表现、生物学和组织学肿瘤特征的个性化的核医学评估。
4.放射性标记生长抑素类似物。人生长抑素受体(somatostatin receptors, SSTRs)有6个亚型(1、2A、2B、3、4、5)已被描述[13]。大多数GEP NETs有中~高度表达的SSTRs,其中2A亚型最常见[13]。人工合成的生长抑素类似物(somatostatin analogs, SSAs),如8-氨基酸衍生物奥曲肽已被发射γ射线的放射性核素(111In、123I、99Tcm)标记。111In-喷曲肽作为一种放射性药物,已成功使用超过20年。111In-喷曲肽对G1和G2级NETs有很高的灵敏度和特异性(分别为90%和53%),超过了123I-间碘苄胍(metaiodobenzylguanidine, MIBG)[14]。
一种新的68Ga标记的SSAs用于PET/CT显像已经成为当前NETs诊断的"金标准"。68Ga半衰期为68 min,可从68Ge/68Ga发生器获得(半衰期271 d)。68Ga可通过螯合剂[如1,4,7,10-四氮杂环十二烷-1,4,7,10-四乙酸(1,4,7,10-tetraazacyclododecane-1,4,7,10-tetraacetic acid, DOTA)]附着于生物分子。因为68Ga半衰期短,所以通常是现场标记。
已经有几个68Ga标记的显像剂在临床上使用,如68Ga-DOTA-酪氨酸3-奥曲肽(DOTA-Tyr3-octreotide, DOTATOC), 68Ga-DOTA-D-苯丙氨酸1-酪氨酸3-苏氨酸8-奥曲肽(DOTA-D-Phe1-Tyr3-Thr8-octreotide, DOTATATE),68Ga-DOTA-1-萘丙氨酸3-奥曲肽(DOTA-1-Nal3-octreotide, DOTANOC),统称为68Ga-DOTA-肽。2016年6月,美国食品与药品监督管理局(Food and Drug Administration, FDA)批准了一个68Ga-DOTATATE合成试剂盒。所有的68Ga-DOTA-肽对SSTR2(最过度表达的亚型)具有很高的亲和力。68Ga-DOTANOC是唯一对SSTR5有高亲和力的配体,其半数最大抑制浓度(half-maximal inhibitory concentration, IC50)为7.2 nmol/L,而其他配体的IC50则>70 nmol/L。
68Ga-DOTA-肽比111In-喷曲肽对SSTR2有更高的亲和力:111In-喷曲肽的IC50为22 nmol/L,68Ga-DOTATOC、68Ga-DOTATATE[15]和68Ga-DOTANOC对应指数分别为2.5、0.2和1.9 nmol/L[16]。半定量PET参数[最大标准摄取值(maximum standardized uptake value, SUVmax)、平均标准摄取值(mean standardized uptake value, SUVmean)]与受体密度相关,SUVmean最高可达25,高于此值时,则往往低估受体的密度[17]。
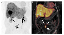
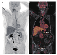
结合PET/CT的自身优势(更高的空间分辨率和灵敏度)并通过改良药理特性,将能检测较小病变或中度SSTR表达的病变,提高诊断的灵敏度和准确性(图1和图2)。




Sadowski等[18]的一项有131例患者的前瞻性研究证实,68Ga-DOTATATE PET/CT优于传统的111In-喷曲肽SPECT/CT和CT,68Ga-DOTATATE PET/CT显像可检出95.1%的病变,而解剖影像检出45.3%,111In-喷曲肽SPECT/CT显像检出30.9%,基于68Ga-DOTATATE PET/CT显像结果改变了三分之一患者的治疗决策。
其他研究先前已经报道68Ga-肽PET/CT显像在临床管理中有类似的影响。Frilling等[19]的一项包含52例患者的研究显示,60%的患者在68Ga-DOTATATE PET/CT显像后改变了治疗计划;另一组15例肝移植患者中,68Ga-DOTATATE PET/CT显像检出7例患者有肝外转移而CT或MRI未能检出。Ruf等[20]的一项包含64例患者的研究表明,68Ga-DOTATATE PET/CT显像(多时相增强CT)可影响其中24例(38%)患者的治疗决策。因此,联合68Ga-肽PET与优化多时相CT可以使患者从中获益。
寻找神经内分泌癌患者原发部位是68Ga-肽PET/CT的主要优势。在一组38例原发灶不明的患者中,增强68Ga-DOTATATE PET/CT比单独增强CT显示出更高的灵敏度(94%与63%)和准确性(87%与68%)[21]。对另一组29例被证实有NETs转移但常规影像未能发现原发灶的患者,68Ga-DOTATATE PET/CT显像检出隐匿性病变17例(58.6%)[22]。基于这些研究,推荐将68Ga-肽PET/CT显像用于所有NETs原发灶不明的患者。68Ga-肽PET/CT显像诊断NETs的准确性很高,Haug等[23]的一项包含63例患者的研究显示,其中有29例复发,灵敏度为90%,特异性为82%;在这项研究中,进行PET/CT显像的原因为定期随访、肿瘤标志物增加或临床怀疑复发。
虽然68Ga-DOTATOC、68Ga-DOTATATE、68Ga-DOTANOC之间的亲和性有差异,但用于相同组人群的比较研究显示上述药物的病灶检出率差异很小。最近的一项包含68Ga-DOTATOC及68Ga-DOTATATE的meta分析认为两者有很高的诊断准确性(灵敏度分别为93%和96%,特异性分别为85%和100%)[24]。同组患者(n=40)的68Ga-DOTATOC和68Ga-DOTATATE比较结果示,2种方法各检出262和254个病灶,SUVmean分别为20.4和16.0[25]。另一个比较研究(n=20)示68Ga-DOTATATE和68Ga-DOTATOC分别检出130和116个病灶,SUVmax分别为29.9和24.5[26]。
在临床实践中,与111In-喷曲肽SPECT显像比较,68Ga-肽PET显像的优势主要在于能检出较小的病变及低~中度SSTR表达的病变;检出更多的病变,指导不同的治疗选择;显像过程更快;患者有较低的辐射暴露(注射100 MBq 68Ga-DOTATATE或68Ga-DOTATOC的有效剂量为2.1 mSv[27],100 MBq 111In-喷曲肽的有效剂量分别为7.3 mSv[28]);在常规显像阴性的患者中发现隐匿性原发肿瘤占30%~60%。应当注意,当比较68Ga-DOTA-肽PET显像与111In-喷曲肽显像结果时,发现新的病变并不一定表明疾病进展。
68Ga-肽PET显像在非胰腺和胰腺NETs有类似的作用(图1,图2,图3)。68Ga-肽PET显像对1型多发性内分泌腺瘤也很灵敏。在19例1型多发性内分泌腺瘤患者中进行68Ga-DOTATOC与111In-喷曲肽及增强CT的对比研究,结果显示68Ga-DOTATATE检出NETs的灵敏度为76%,111In-喷曲肽为20%,增强CT为60%;68Ga-DOTATOC检出胰腺肿瘤46个,111In-喷曲肽检出11个,增强CT检出37个[29]。一项前瞻性研究包括26例1型多发性内分泌腺瘤,对患者行68Ga-DOTATATE、111In-喷曲肽和增强CT,结果显示68Ga-DOTATATE PET/CT显像检出107个病灶,111In-喷曲肽SPECT/CT检出33个病灶,增强CT检出48个病灶;26例患者中8例(31%)因68Ga-DOTATATE PET/CT的结果而改变治疗计划,而111In-喷曲肽SPECT/CT或CT无阳性发现[30]。


SSTR显像检测经典的胰岛素瘤灵敏度较低,但最新的研究结果显示,85%以上的患者通过68Ga-肽PET显像可以被检出内源性胰低血糖的来源肿瘤,包括良性和恶性胰岛素瘤、胰岛细胞增殖症[31]。
SSTRs诊疗显像是SSTR显像和68Ga-DOTA-肽PET/CT显像的重要标志。对SSTR足量表达的患者推荐进行肽受体放射性核素治疗(peptide receptor radionuclide therapy,PRRT)[32]。传统的111In-喷曲肽显像将肿瘤病变摄取与正常肝摄取进行对比,但68Ga-DOTA-肽PET/CT显像可进行简单的定量分析,这比单纯图像分析可选择更合适的患者。研究表明,68Ga-DOTA-肽PET/CT显像的肿瘤基线摄取可预测吸收剂量或PRRT后的治疗反应。Ezziddin等[33]评估177Lu-DOTATATE治疗后21例患者的61个病灶,发现68Ga-DOTATOC的SUVmax及SUVmean与肿瘤初次治疗时的吸收剂量之间存在显著的相关性。Kratochwil等[34]的一项包含30例患者的研究发现,PRRT(90Y-DOTATOC和177Lu-DOTATATE)前68Ga-DOTATOC PET/CT显像的SUVmax在16.4以上是肝转移病灶稳定或缩小的灵敏的预测因子,但需要进一步的前瞻性研究来确定半定量阈值,低于该阈值,PRRT获益可能性太低而无需治疗。
由于这方面的研究有不同的结果,目前尚不清楚在一个治疗周期后或治疗结束时,用68Ga-DOTA-肽评估病灶对PRRT的反应是否比单纯的常规解剖成像更具优势[35,36,37]。
SSTR PET显像可能存在误诊,包括胰头和钩突生理性摄取误诊为NETs;副脾、胰内脾或脾种植误诊为NETs转移,轻中度炎性反应摄取,如炎性淋巴结或骨关节炎误诊为转移性疾病。与PET/CT或PET/MRI的解剖信息相结合在大多数情况下有助于提供正确的解释。最终结果也应该考虑其他潜在的SSTR表达的肿瘤,如脑膜瘤、神经嵴肿瘤、肾细胞癌。
对于SSTR PET/CT显像,最近提出了进一步优化的途径。放射性标记的拮抗剂比先前提到的配体具有更高的肿瘤摄取,所有这些配体都是激动剂类似物。因为拮抗剂是独立的SSTR的激活状态,可以比激动剂结合更多数量的受体。与激动剂不同,拮抗剂不内化进入细胞[38]。
68Ga-DOTA-肽制备需要有放射性药物设备。现有商业化的试剂盒可以利用,目前正在进一步创新开发一个更方便现场标记的试剂盒。一些研究团队用其他正电子发射体,如64Cu(半衰期12.7 h)[39]或螯合Al18F复合物(半衰期110 min)[40],这将为集中生产和分销提供可能。
5.放射性标记的MIBG。123I或131I标记的MIBG是去甲肾上腺素的结构类似物。通过主动运输机制,MIBG聚集在NET细胞的分泌囊泡内。有文献报道MIBG显像对GEP NETs的灵敏度已接近50%[14]。123I-或131I-MIBG可作为一种低SSTR表达的GEP NETs的治疗方法,因为摄取可能意味着对131I-MIBG治疗有潜在的响应。
6.18F-L-6-氟-3,4-二羟基苯丙氨酸(fluorodihydroxyphenylalanine,18F-FDOPA) 。18F-FDOPA PET/CT已成功用于NETs显像[41]。通过非钠依赖性系统L内化,18F-FDOPA脱羧为18F-多巴胺,并通过细胞神经分泌颗粒进行运输和储存。最近提出的一种基于亲核取代的合成过程可产生高比活度的18F-FDOPA[42]。
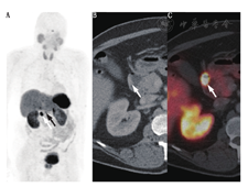
18F-FDOPA PET/CT显像对高分化GEP NETs及发生在前肠和后肠的NETs的灵敏度较低(25%)[43]。相反,18F-FDOPA PET/CT显像对低分化回肠NETs有很好的灵敏度(图4)。肿瘤生物合成5-羟色胺时芳香族氨基酸脱羧酶活性的增加是上述方法灵敏度高的主要原因。在这些情况下,18F-FDOPA PET/CT显像有助于肿瘤的定位和分期[44]。目前,尚不推荐在随访期间行18F-FDOPA PET/CT显像。


18F-FDOPA PET/CT显像检出低级别中肠NETs患者淋巴结、骨骼病变、肝转移要优于CT和111In-喷曲肽SSTR显像[44]。另一方面,对中肠NETs患者,18F-FDOPA PET/CT显像是否优于68Ga-DOTA-肽PET/CT显像尚不清楚,有必要进行大样本前瞻性研究[45]。毫无疑问,68Ga-DOTA-肽PET/CT显像在评估PRRT可行性的能力上优于18F-FDOPA。
相较于常规影像或SSTR显像,18F-FDOPA PET/CT显像似乎是检测回肠原发NETs的灵敏的功能影像工具(图4)[46]。由于手术切除与无症状生存、生活质量,甚至肿瘤转移性疾病等密切相关,尽管原发肿瘤的定位可能是一项挑战,但其对治疗计划仍至关重要[47]。首选显像剂的选择取决于临床评价、实验室评价和转移组织活检标本免疫组织化学标记的研究。
除了SSTRs表达较低的胰岛素瘤,在胰腺和十二指肠小的原发肿瘤中,18F-FDOPA较68Ga-DOTA-肽PET/CT显像灵敏度低,其主要原因是成熟的外分泌胰腺对18F-FDOPA的高摄取和滞留。可通过18F-FDOPA注射前2 h给予卡比多巴(一种芳香族衍生物L-氨基酸脱羧酶抑制剂)抑制这种摄取和滞留。联合卡比多巴预先给药及早期PET/CT显像采集(注射后5 min)可能会提高成人胰岛素瘤的检出率(图5)[48]。由于胰高血糖素样肽-1受体在大多良性胰岛素瘤中高表达,放射性标记的胰高血糖素样肽-1类似物SPECT/CT或PET/CT显像表现良好已被证实,但其使用仍然局限于几个研究中心[11,49,50]。


7.18F-脱氧葡萄糖(fluorodeoxyglucose,FDG)。18F-FDG PET/CT显像用于评价肿瘤糖酵解活性。葡萄糖转运蛋白(主要是转运蛋白1和3)一旦内化进入细胞,葡萄糖被己糖激酶磷酸化后无法进一步代谢,从而滞留于细胞质中。
18F-FDG PET/CT显像是G3级以及一些高级别G2级肿瘤首选的显像方法,G1级肿瘤或低级别G2级肿瘤18F-FDG PET/CT显像的价值仍有争议[51]。通常将Ki-67指数至少为10%作为考虑18F-FDG PET/CT显像用于分化良好的G2级NETs的阈值[52]。18F-FDG PET/CT显像对预后分层具有潜在的价值[53,54]。NETs对18F-FDG摄取增加提示疾病更具侵略性,不利于长期生存,因为证据表明糖酵解率增加者预后差。18F-FDG PET/CT显像比肿瘤分化程度或Ki-67对进展性低级别NETs的早期预测似乎更灵敏。因此,基于18F-FDG PET/CT显像的代谢分级已应用于转移性GEP NETs患者,这种分级对整体存活率有很高的预测能力[55]。
1.建议的影像算法。图6提出了一种在GEP患者中使用成像过程的简化算法。可根据临床症状、肿瘤部位、级别、示踪剂的有效性和专业知识选择形态和功能成像。


2.治疗决策制定。GEP NETs患者评估、治疗和随访应参考由多学科团队(或至少由他们讨论)的意见[56]。只要可行,对于低级别恶性肿瘤应考虑手术(包括肝转移瘤切除术)。多个治疗选择可用于无法手术的进展疾病或分化良好(G1和G2级)肿瘤的转移性疾病,包括SSAs治疗、PRRT、化疗、分子靶向药物治疗、抗血管生成剂。胰腺癌和非胰腺NETs之间应使用不同的治疗决策。不能切除的肝占位性转移也可选择化疗栓塞、射频消融和选择性内放疗。不能切除的孤立肝转移患者也可考虑进行肝移植。高级别肿瘤的治疗以化疗为主[57]。
GEP NETs患者的管理取决于肿瘤的分级和SSTR表达。分子成像有助于检测肿瘤的异质性,并指导临床医师寻求最佳的治疗方案。此外,肿瘤分级和放射性标记的SSAs(或18F-FDOPA)及18F-FDG PET/CT功能显像结果之间存在潜在的翻转现象。放射性标记的SSAs(或18F-FDOPA)高摄取和18F-FDG低摄取的不匹配被广泛认为是低级别GEP NETs功能显像表现形式;相反,放射性标记的SSAs(或18F-FDOPA)低摄取和18F-FDG高摄取则提示高级别肿瘤(图7)。


3.诊疗学:图像-治疗态度。诊疗学已被引入到个性化医学领域,是指对患者进行诊断和治疗的一体化管理。核医学在诊疗中发挥着核心作用,如SSTR显像可使医师在用SSAs治疗前确定功能靶的存在[58]。肽受体为靶点的核医学诊疗很好地阐释了基于图像-治疗路径的患者个性化治疗方式。神经内分泌肿瘤治疗-1(Neuroendocrine Tumor Therapy-1, NETTER-1)试验的良好结果为177Lu-DOTATATE治疗转移性或晚期进展性肠G1和G2级GEP NETs的广泛应用提供了强大动力[59]。胰腺NETs的随机研究也正在进行中。
在这里,笔者强调了核医学显像在GEP NETs管理中的作用,以使人们更好地了解肿瘤病理生理学,并希望为GEP NETs患者提供更精准的治疗。

























