患者女,53岁,发现淋巴结肿大6个月,发热伴肌痛3个月,发热呈间歇性,肌痛以四肢和胸前区肌为主,反复发作,上楼困难;无咳嗽、咯血,无关节肿痛。体格检查:左侧腋窝触及多个稍大淋巴结,左下肢肌力Ⅳ级,肌张力正常。实验室检查(括号内为正常参考值范围):免疫球蛋白(immunoglobulin, Ig)G 22.8(7.5~15.6) g/L,IgA 4.90(0.85~4.50) g/L, C反应蛋白55.0(0~8.0) mg/L,铁蛋白362(13~150) μg/L,血红细胞沉降率100(0~20) mm/1 h。串联质谱遗传和代谢疾病检测示多种氨基酸升高,酰基肉碱检测棕榈二酰肉碱0.047(0~0.030) μmol/L,尿有机酸检测未见异常。针极肌电图诱发电位示双正中神经损害(右侧运动感觉纤维均受累,左侧感觉纤维受累),肌源性损害(左三角肌)。左上臂MRI示左肱骨周围肌群片状异常信号,T1加权成像(weighted imaging, WI)呈等信号,T2WI和短时间翻转恢复序列呈高信号,左肱骨未见异常信号,左腋窝见多发稍大淋巴结。行18F-脱氧葡萄糖(fluorodeoxyglucose, FDG)PET/CT显像(图1);左侧肱二头肌活组织检查(图2)诊断为脂质沉积性肌病(lipid storage myopathy, LSM),患者经核黄素治疗症状好转后,主动要求出院,随访3个月未出现复发症状。

点击查看大图
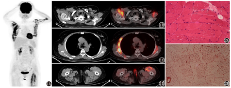
图1
脂质沉积性肌病(LSM)患者(女,53岁)18F-脱氧葡萄糖(FDG)PET/CT显像图。最大密度投影图(1A)、平锁骨水平CT横断位及PET/CT融合图(1B)、支气管隆突水平CT横断位及PET/CT融合图(1C)、肛门水平CT横断位及PET/CT融合图(1D)示双侧肱二头肌和前锯肌、左侧股直肌边缘18F-FDG摄取明显增高,肌肉肿胀,密度稍低,肌间隙不清,肌肉及肌间隙18F-FDG摄取明显增高,大致成对称性。这种对称性头颈部、躯干部和(或)四肢近端肌肉高FDG摄取,与临床LSM患者肌损害呈对称性的特征[1]一致,LSM患者18F-FDG PET/CT影像肌肉对称性代谢活性高有一定的特征性。LSM患者也表现为头颈部和躯干肌群如咬肌、椎旁肌对称性高FDG摄取[2] 图2
同一患者左侧肱二头肌病理检查图。2A. HE染色(×200)示肌纤维大小不等,少量肌萎缩,可见部分空泡纤维;2B.油红O (ORO)染色(×200)示肌纤维脂肪明显增多,呈颗粒化

点击查看大图
图1
脂质沉积性肌病(LSM)患者(女,53岁)18F-脱氧葡萄糖(FDG)PET/CT显像图。最大密度投影图(1A)、平锁骨水平CT横断位及PET/CT融合图(1B)、支气管隆突水平CT横断位及PET/CT融合图(1C)、肛门水平CT横断位及PET/CT融合图(1D)示双侧肱二头肌和前锯肌、左侧股直肌边缘18F-FDG摄取明显增高,肌肉肿胀,密度稍低,肌间隙不清,肌肉及肌间隙18F-FDG摄取明显增高,大致成对称性。这种对称性头颈部、躯干部和(或)四肢近端肌肉高FDG摄取,与临床LSM患者肌损害呈对称性的特征[1]一致,LSM患者18F-FDG PET/CT影像肌肉对称性代谢活性高有一定的特征性。LSM患者也表现为头颈部和躯干肌群如咬肌、椎旁肌对称性高FDG摄取[2] 图2
同一患者左侧肱二头肌病理检查图。2A. HE染色(×200)示肌纤维大小不等,少量肌萎缩,可见部分空泡纤维;2B.油红O (ORO)染色(×200)示肌纤维脂肪明显增多,呈颗粒化