
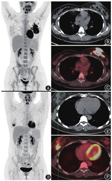
患者女,59岁,体格检查发现右乳肿物2个月。患者2个月前体格检查行胸部CT发现右乳肿物,自述右乳偶有疼痛。进一步行钼靶提示右乳腺内下象限距乳头约40 mm处大小18 mm×12 mm肿块[乳腺影像报告数据系统(breast imaging reporting and data system, BI-RADS) 4B类],左乳腺内下象限粗大钙化灶,双侧腋下多发致密影。乳腺超声提示相同位置低回声团,边界欠清、形态不规则、回声欠均,BI-RADS 4B类;另双侧乳腺腺体层旁可见多个低回声团,范围较广。患者20余年前行双乳聚丙烯酰胺水凝胶(奥美定)注射式丰胸,14年前行双乳奥美定取出手术。为评估乳腺病变性质行18F-FDG PET/CT显像(图1),可见乳腺超声及钼靶提示的右乳内下象限结节为高代谢,大小1.9 cm×1.4 cm,SUVmax为3.9;此外可见左侧乳腺假体影,双侧胸壁皮下、肌间、左乳假体表面广泛分布大量软组织结节,边界尚清晰,代谢不同程度增高,多伴钙化,代谢程度与右乳内下象限结节相似或更高,SUVmax为6.5;双侧腋下、内乳淋巴链未见明确代谢增高或肿大淋巴结。结合患者有乳腺假体植入病史,双乳及胸壁结节分布广泛、多发、形态规则、明显钙化等特征,可判定这些结节很可能为炎性结节,而右乳内下象限病灶可能与其他结节性质相同,也有可能为其他性质病变,单从PET/CT上无法完全明确。之后患者进行了超声定位下右乳肿物局部扩大切除活组织检查(简称活检),病理提示炎性坏死结节,伴炎性细胞浸润、陈旧性出血、多核巨细胞反应及钙化,未见癌。结合病理结果,考虑双侧乳腺及胸壁结节均为乳房假体植入相关的炎性结节。
版权归中华医学会所有。
未经授权,不得转载、摘编本刊文章,不得使用本刊的版式设计。
除非特别声明,本刊刊出的所有文章不代表中华医学会和本刊编委会的观点。
患者女,59岁,体格检查发现右乳肿物2个月。患者2个月前体格检查行胸部CT发现右乳肿物,自述右乳偶有疼痛。进一步行钼靶提示右乳腺内下象限距乳头约40 mm处大小18 mm×12 mm肿块[乳腺影像报告数据系统(breast imaging reporting and data system, BI-RADS) 4B类],左乳腺内下象限粗大钙化灶,双侧腋下多发致密影。乳腺超声提示相同位置低回声团,边界欠清、形态不规则、回声欠均,BI-RADS 4B类;另双侧乳腺腺体层旁可见多个低回声团,范围较广。患者20余年前行双乳聚丙烯酰胺水凝胶(奥美定)注射式丰胸,14年前行双乳奥美定取出手术。为评估乳腺病变性质行18F-FDG PET/CT显像(图1),可见乳腺超声及钼靶提示的右乳内下象限结节为高代谢,大小1.9 cm×1.4 cm,SUVmax为3.9;此外可见左侧乳腺假体影,双侧胸壁皮下、肌间、左乳假体表面广泛分布大量软组织结节,边界尚清晰,代谢不同程度增高,多伴钙化,代谢程度与右乳内下象限结节相似或更高,SUVmax为6.5;双侧腋下、内乳淋巴链未见明确代谢增高或肿大淋巴结。结合患者有乳腺假体植入病史,双乳及胸壁结节分布广泛、多发、形态规则、明显钙化等特征,可判定这些结节很可能为炎性结节,而右乳内下象限病灶可能与其他结节性质相同,也有可能为其他性质病变,单从PET/CT上无法完全明确。之后患者进行了超声定位下右乳肿物局部扩大切除活组织检查(简称活检),病理提示炎性坏死结节,伴炎性细胞浸润、陈旧性出血、多核巨细胞反应及钙化,未见癌。结合病理结果,考虑双侧乳腺及胸壁结节均为乳房假体植入相关的炎性结节。


自1964年硅胶乳房假体问世以来,假体乳房重建/美容手术进入了现代发展阶段。现阶段使用的乳房假体均为硅胶外壳,有光面与毛面之分,内部填充硅凝胶(硅胶假体)或盐水(盐水假体)。在乳房假体的发展历程中,有大量基于各种材料的假体面世,但由于种种原因陆续退市下架:如与引起乳房假体相关间变性大细胞淋巴瘤的Biocell毛面假体、降解物有潜在毒性且难以取出的聚氨酯假体、易渗漏老化破裂引发炎性反应的Trilucent假体、包膜挛缩率高的黄金聚乙烯吡咯烷酮水凝胶假体等[1],其中也包括本例患者所用的聚丙烯酰胺水凝胶(奥美定)假体[2]。奥美定为注射用凝胶状聚合物,1997年获批在国内上市作为注射用软组织充填材料,由于操作简单、利润高,在美容院与小型医院迅速风靡,近30万患者进行了奥美定注射,多用于隆胸,但注射后的并发症较多见,包括硬结或包块、疼痛、畸形、植入物移位、双侧乳房不对称、感染等。数个有关奥美定取出术的研究表明,硬结或包块为最常见的并发症,可出现在乳房及周围肌肉的不同层次,大小不一,可广泛也可局限,肌肉与筋膜中的结节容易引发慢性疼痛,结节的广泛形成可能与单一位置注射体积较大、形成包膜菲薄、柔软强度不够等相关,同时肌肉活动挤压与重力造成额外压力,共同作用使原注射物流动、分散并广泛分布,大量的结节不仅影响乳房形态、引发疼痛,也加大了取出手术的实施难度,不容易取净[2,3,4,5]。本例患者的PET/CT图像即反映了奥美定注射后大量广泛分布于乳腺与胸壁肌间隙的结节,即便已行取出术仍残留大量结节,并且注射后多年仍代谢增高,提示长期存在的异物肉芽肿导致慢性活动性炎性反应。
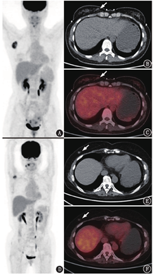
由于奥美定的这些不良事件,2006年我国撤销了其医疗器械注册证。虽然奥美定及相关并发症在现今的影像检查中已不多见,但实际上乳房假体本质上都是异物,如果异物没有被包膜限制住而流入组织间隙,都有可能产生类似的异物巨细胞反应。如图2患者(女,46岁),体格检查发现右腋下淋巴结肿大2周,7年前行双侧乳房假体植入术,近期超声示右乳房假体包膜欠光整,透声欠佳,右侧腋窝肿大淋巴结。18F-FDG PET/CT显像可见右侧腋下、右侧锁骨下、右侧内乳淋巴链区多发代谢增高淋巴结,最大者长径2.0 cm,SUVmax为12.0,另外右上纵隔也可见代谢增高淋巴结;乳腺可见双乳假体植入,右乳外下象限可见小结节,长径0.9 cm,SUVmax为2.7(图2)。这种情况首先要考虑到右侧乳腺癌(或隐匿性乳腺癌)伴同侧引流区淋巴结转移的可能;但若再仔细观察图像并结合病史中超声提示的右乳假体包膜欠光整、透声欠佳的表现,可以发现右乳假体包膜周围的软组织影较左侧略增厚,部分区域包膜不光整,并且右侧假体包膜周围的代谢更高,提示存在右乳假体破裂的可能。如果存在乳房假体破裂,可以形成硅胶颗粒并沿组织间隙或淋巴道扩散,炎性反应与异物巨细胞反应可表现为高代谢。此患者之后行2次右腋下淋巴结活检,病理均未提示肿瘤,之后再行双侧乳房假体取出术,术中见右乳假体包膜有破裂。此后患者每年复查超声乳腺未见明确异常,所以PET/CT所见的右侧腋下及锁骨下、右侧内乳淋巴链区及上纵隔的代谢增高淋巴结,考虑均为右乳假体破裂所致的引流区炎性淋巴结及异物肉芽肿。
乳房重建/美容手术后的并发症并不少见,与假体相关的并发症包括包膜挛缩造成乳房疼痛/压痛/扭曲、盐水假体渗漏造成乳房体积缩小、硅胶假体破裂、假体暴露、移位等[6]。其中硅胶假体破裂特别是硅胶扩散至乳房包膜外时,微小的硅胶颗粒可以在组织间隙扩散或沿淋巴引流扩散,会导致局部炎性反应和肉芽肿,形成可触及的肿块,部分可伴有压痛。假体破裂多发生于术后3~5年,超声、MRI可识别假体破裂,对于比较明显的假体破裂,CT也有一定诊断价值[6]。假体破裂形成的硅结节引发的炎性反应与肉芽肿反应可以为高代谢[7,8,9,10],所以这些患者的18F-FDG PET/CT可能表现为乳腺、胸壁高代谢结节、引流区淋巴结高代谢,有时可能很难与乳腺癌等肿瘤相鉴别,造成诊断陷阱。
实际上对于乳腺结节的性质鉴别,18F-FDG PET/CT的诊断效能仍比较有限,以往研究认为18F-FDG PET/CT对乳腺癌的诊断灵敏度为48%~86%[11]。一方面,乳腺的其他感染或非感染性炎性疾病可以代谢增高,如各种乳腺炎、乳腺脓肿(图3)、结核感染等,影像学上与乳腺癌可能不易鉴别;另一方面,并非所有的乳腺癌都有高代谢的特征,其代谢程度主要与病理及分子特征相关,分化较好、导管原位癌及浸润性小叶癌的代谢通常偏低,而雌激素受体(estrogen receptor, ER;-)、孕激素受体(progesterone receptor, PR;-)、人表皮生长因子受体2(human epidermal growth factor receptor 2, HER2;+)、三阴性乳腺癌、细胞增殖核抗原Ki-67高、分化差、肿瘤体积大则与代谢较高相关[11,12,13]。此外,PET/CT上的隐匿性乳腺癌并不少见(图4),有时在转移灶明确的情况下,乳腺原发病灶可能代谢完全正常。




在乳腺的病变中,18F-FDG PET/CT存在不少诊断难点,除病变本身带来的鉴别困难外,乳腺假体带来的相关影响也是不可忽视的误诊陷阱之一。充分认识这些陷阱,避免诊断误区,再借助更灵敏且特异的分子探针辅助诊断,是核医学医师努力的方向。
所有作者声明无利益冲突





















