
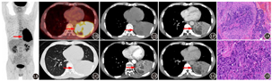
患者男,58岁,10余天前无明显诱因出现咳嗽,于外院治疗未见明显好转,1 d前出现高热来本院就诊。既往饮酒、吸烟30年。实验室检查(括号内为正常参考值范围):WBC计数19.77(3.50~9.50)×109/L,嗜中性粒细胞百分比89.30%(40.00%~75.00%),PLT 365(125~350)×109/L,C反应蛋白149.06(0~6.00) mg/L,降钙素原620(0~50) ng/L;肿瘤标志物神经元特异性烯醇化酶[1.76(0~1.63)×103 ng/L]、细胞角蛋白19片段[7.42(0~3.30)×103 ng/L]增高。多次痰涂片检查未发现肿瘤细胞和结核杆菌。行18F-FDG PET/CT及胸部CT(平扫+增强)(图1),综合考虑为左肺下叶肺癌伴纵隔及左肺门淋巴结转移。支气管镜检查示左主支气管末段"菜花"样新生物生长、左下叶支气管堵塞。左主支气管末段新生物活组织检查考虑为绒毛膜癌(图2)。后补充检测人绒毛膜促性腺激素(human chorionic gonadotrophin, HCG)18 267(0~2.6) U/L。全身其他部位未发现原发灶。男性肺原发性绒毛膜癌临床罕见,既往个案报道仅见于CT检查[1,2]。18F-FDG PET/CT作为无创性多功能影像检查方法,在评估患者全身累及情况时具有明显优势,但其代谢参数对该病的诊断价值尚待研究。
版权归中华医学会所有。
未经授权,不得转载、摘编本刊文章,不得使用本刊的版式设计。
除非特别声明,本刊刊出的所有文章不代表中华医学会和本刊编委会的观点。
患者男,58岁,10余天前无明显诱因出现咳嗽,于外院治疗未见明显好转,1 d前出现高热来本院就诊。既往饮酒、吸烟30年。实验室检查(括号内为正常参考值范围):WBC计数19.77(3.50~9.50)×109/L,嗜中性粒细胞百分比89.30%(40.00%~75.00%),PLT 365(125~350)×109/L,C反应蛋白149.06(0~6.00) mg/L,降钙素原620(0~50) ng/L;肿瘤标志物神经元特异性烯醇化酶[1.76(0~1.63)×103 ng/L]、细胞角蛋白19片段[7.42(0~3.30)×103 ng/L]增高。多次痰涂片检查未发现肿瘤细胞和结核杆菌。行18F-FDG PET/CT及胸部CT(平扫+增强)(图1),综合考虑为左肺下叶肺癌伴纵隔及左肺门淋巴结转移。支气管镜检查示左主支气管末段"菜花"样新生物生长、左下叶支气管堵塞。左主支气管末段新生物活组织检查考虑为绒毛膜癌(图2)。后补充检测人绒毛膜促性腺激素(human chorionic gonadotrophin, HCG)18 267(0~2.6) U/L。全身其他部位未发现原发灶。男性肺原发性绒毛膜癌临床罕见,既往个案报道仅见于CT检查[1,2]。18F-FDG PET/CT作为无创性多功能影像检查方法,在评估患者全身累及情况时具有明显优势,但其代谢参数对该病的诊断价值尚待研究。


所有作者声明无利益冲突





















